x Fermer
Sémiologie
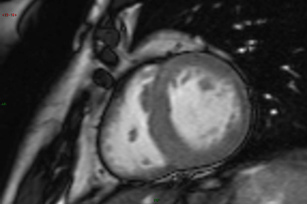
Zone hypokinétique
Définition  | Reconnaître  | Éléments associés  | Étiologie 
Agrandir

Définition : zone ou portion de la paroi ventriculaire caractérisée par une diminution d'épaississement au cours de la systole.  < 

Reconnaître : par définition, une zone hypokinétique ne peut être visualisée que sur des coupes dynamiques en mode ciné-IRM. Il convient de repérer la zone caractérisée par une diminution de contraction lors de la systole en la comparant à d'autres portions pariétales de contraction normale. La difficulté est de correctement distinguer une diminution de contraction des mouvements passifs qui continuent d'animer de proche en proche l'ensemble de la paroi ventriculaire. En fonction des habitudes, les coupes réalisées avec un marquage tissulaire à l'aide de bandes de présaturation (tagging) peuvent aider à repérer une zone hypokinétique. Il faut préciser la localisation de la zone hypokinétique et notamment chercher une distribution vasculaire (paroi antérieure : interventriculaire antérieure ; paroi latérale : circonflexe ; septum inférieur : coronaire droite).  < 

Éléments associés : il faut chercher d'autres zones akinétiques ou dyskinétiques, un rehaussement tardif sur les coupes réalisées à distance de l'injection de produit de contraste. Il faut chercher de façon systématique un thrombus en regard de la zone hypokinétique.  < 

Étiologie : au niveau ventriculaire gauche, les zones hypokinétiques sont le plus fréquemment la conséquence d'une cardiopathie ischémique. Au niveau ventriculaire droit, les zones hypokinétiques sont le plus fréquemment observées au cours d'une dysplasie arythmogène du ventricule droit.  < 

Haut de page