Elsevier Masson
ECOS Neurochirurgie

ECOS Neurochirurgie

Caroline Apra, Pierre Bourdillon
ISBN : 978-2-294-78748-5

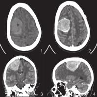
 Station 2

-
+


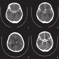
 Station 4

-
+


 Station 8

-
+


 Station 9

-
+


 Station 10

-
+


 Station 12

-
+


 Station 16

-
+


 Station 18

-
+