Retour
CHAPITRE 3
OCT du segment antérieur

C. BAUDOUIN,

A. LABBÉ,

D. TOUBOUL

3.1
CORNÉE
SÉMIOLOGIE DE L'OCT CORNÉEN

D. TOUBOUL

Introduction
L'OCT repose sur le concept d'interférométrie optique (Michelson) et a en quelque sorte pris le relais des ultrasons dans l'épopée de l'échographie oculaire. Les analyses sont affichées dans une échelle de couleurs correspondant à des niveaux variables de réflectivité [ 1 , 2 ]. Il est certain que les mesures non-contact de l'OCT offrent une grande versatilité et un usage très convivial pour le segment antérieur (SA) ( fig. 3-1
Fig. 3-1
Position du patient lors de l'acquisition non-contact avec la lentille adaptée à la visualisation de la cornée.
). L'échographie du SA par ultrasons reste à présent réservée aux situations où l'absorption ou la dispersion de la lumière ne permettent pas d'imagerie efficace et ainsi conserve certaines indications spécifiques et pour lesquelles elle continue de se perfectionner (imagerie derrière l'iris, élastographie tissulaire) [ 3 ]. Initialement, les OCT ne permettaient pas une bonne pénétration de la sclère avec une longueur d'onde (LO) fixée à 830 nm. Ultérieurement, avec les progrès des fibres laser, le développement d'une LO à 1 310 nm a permis une plus forte pénétration. Le bénéfice est par exemple évident dans l'analyse de la choroïde et de l'angle irido-cornéen. Le passage du mode time domain (TD) au mode spectral domain (SD) a concomitamment permis d'améliorer la résolution axiale, passant de 10 microns à 1 micron pour les plus élaborés [ 4 ]. La résolution des tomographies se rapproche ainsi de celle des coupes histologiques, s'inscrivant dans le projet de la biopsie optique 3D dite «non invasive». Les dernières machines qui fonctionnent en mode swept source (SS) ont une résolution axiale intermédiaire mais ont une forte pénétration tissulaire pour le segment antérieur et permettent une reconstruction très rapide combinée à un large champ d'analyse, pouvant recouvrir sur une seule acquisition le diamètre oculaire entier. Des SS-OCT encore plus complets pouvant scanner de la cornée jusqu'à la choroïde sont en cours de développement, ils procéderont par un balayage du focus en z et par sommation des images pour chaque position de focalisation [ 5 , 6 ]. Ainsi, l'OCT peut, de plus en plus, être une alternative aux biomètres optiques et aux topographes cornéens, pour plus de précision, de versatilité et d'intégration [ 7 ]. Le bénéfice est potentiellement considérable, en particulier pour l'analyse de la cornée et de ses rapports dans le SA [ 8 ]. Pour résumer, il faut pouvoir distinguer les trois générations d'appareils pour l'imagerie OCT du SA, énumérés dans le tableau 3-1
Tableau 3-1
Typologie des différents OCT de SA disponibles sur le marché en 2018.
TechnologiesLongueur d'onde (nm)Lentille amovible pour voir le SAA-scan/sNom des produitsAnnée
TD-OCT1 310Non2 000Visante®, Carl Zeiss Meditec 2005
SD-OCT1 310Oui40 000SL-OCT Spectralis®, Heidelberg Engineering2006
820 à 88026 000Cirrus HD-OCT®, Carl Zeiss Meditec2008
53 000RS 3000 advance®, Nidek2009
70 000Rtvue®, Optovue2010
110 000Copernicus REVO®, Optopol2015
1 600ZEUS MS-39®, CSO2017
SS-OCT1 300 à 1 350Non30 000Casia®, Torney2016
Oui2 000IOL master 700®, Carl Zeiss Meditec2016
100 000Triton OCT®, Topcon Medical System2017
SA : segment antérieur ; SD : SS : TD : .
. La résolution axiale est comprise entre 5 et 25 microns, la résolution transverse est comprise entre 15 et 60 microns, la profondeur d'acquisition varie entre 2 et 7 mm [ 9 ].
Les champs d'applications de l'OCT pour la cornée sont très larges, à la fois pour le diagnostic mais aussi pour la thérapeutique et en particulier pour les diverses chirurgies cornéennes. L'OCT est également parfois intégré aux machines qui réalisent la chirurgie cornéenne réfractive, la chirurgie de la cataracte et, plus récemment, ils sont montés en assistance peropératoire sur le microscope des chirurgiens [ 10 ]. Certains développements sont en cours pour augmenter la résolution ultime et la versatilité des OCT. C'est le cas de l'OCT dit « grand champ » et de l'élastographie OCT qui trouvent respectivement un intérêt pour aller regarder à l'échelle cellulaire et permettre de cartographier la dureté des milieux sans passer par les ultrasons ( shear wave imaging ) [ 11 ]. Enfin, le cahier des charges de la télémédecine saura certainement intégrer ce formidable «scanner de l'œil » que constitue l'OCT [ 12 ].
Éléments sémiologiques de l'OCT cornéen
RÉFLECTIVITÉ DES INTERFACES
La lumière est naturellement réfléchie à chaque interface entre deux milieux, en fonction de la variation de l'indice réfractif et de son incidence. Les couches de la cornée sont ainsi individualisables. Il existe une perte de signal du centre à la périphérie en raison de la courbure de la cornée ( fig. 3-2
Fig. 3-2
OCT de la cornée normale : résolution du SD-OCT (a) comparée à celle du SS-OCT (b). Les différentes couches sont mieux individualisables en mode SD.
). En pratique, de l'avant vers l'arrière de la fenêtre cornéenne, le film lacrymal est hyper-réflectif, l'épithélium hypo-réflectif, le couple Bowman/membrane basale épithéliale est hyper-réflectif, le stroma a une réflectivité moyenne, la membrane de Descemet est hypo-réflective, enfin, l'endothélium est hyper-réflectif. L'OCT permet ainsi d'analyser précisément la réflectivité des interfaces ( haze post-laser cornéen; dystrophie des membranes basales, de l'endothélium cornéen; ligne de démarcation post-corneal cross-linking, etc.), la géométrie des incisions intracornéennes (invasions épithéliales, mèches de vitré, languettes tissulaires), la profondeur des poches de dissection, des inlays, des volets de laser in situ keratomileusis ou Lasik (mur stromal postérieur résiduel), des extractions tissulaires lenticulaires ( small incision lenticule extraction [SMILE]) ( fig. 3-3
Fig. 3-3
SD-OCT montrant l'hyper-réflectivité du stroma antérieur obtenue normalement à 1 moispost cross-linkingaccéléré pour kératocône (ligne de démarcation).
).
Les lentilles de contact sont bien individualisées en OCT, leur face avant est hyper-réflective, les verres scléraux ont leur face arrière peu réflective et il existe une zone de non-réflectivité en dessous, correspondant à l'effet réservoir recherché ( fig. 3-4
Fig. 3-4
a, b. SS-OCT d'un verre scléral et d'une lentille rigide adaptés sur des cornées kératocôniques.Il existe un effet réservoir bien visible sous le verre scléral.
) [ 13 ]. Les variations d'épaisseur du film lacrymal sont subtiles, mais la hauteur du ménisque peut être évaluée en coupe verticale centrée sur le bord libre inférieur, dans sa portion médiane. Sa fluctuation peut rendre compte de l'efficacité de la mise en place de bouchons méatiques [ 14 ].
RÉFLECTIVITÉ DES MILIEUX
De nombreuses affections peuvent entraîner des modifications de la réflectivité stromale par : la densification du collagène (taies); l'infiltration par du matériel amorphe (lipides, complexes immuns); des molécules anormalement accumulées (troubles métaboliques) d'infiltrats inflammatoires ou infectieux ( fig. 3-5
Fig. 3-5
SD-OCT montrant les opacités stromales d'une dystrophie granulaire.Il existe des cônes d'ombre en arrière de certaines opacités.
). Les matériaux les plus denses arrêtent la propagation de la lumière induisant un cône d'ombre postérieur (calcifications, inlays opaques, corps étrangers, tatouages cornéens) [ 15 ]. S'ils sont parfois accessibles à la photothérapie dynamique ou à la thermocoagulation, les dépôts lipidiques sont habituellement peu résolutifs ( fig. 3-6
Fig. 3-6
SD-OCT montrant une infiltration vasculaire dans une kératite stromaleà herpes simplex virus(HSV) évoluée.On ne visualise pas les vaisseaux directement mais plutôt l'aspect peigné du stroma évoquant l'exsudat associé.
).
VOLUMETRIE DES MILIEUX
CAUSES D'AMINCISSEMENTS
Une cornée normale présente une pachymétrie moyenne au point le plus fin d'environ 540 microns (± 20). Elle présente un gradient d'amincissement progressif du centre à la périphérie. Sa géométrie est légèrement prolate (coefficient Q entre 0 et –0,2), avec une légère ovalisation dans l'axe horizontal. Son diamètre total est proche de 12 mm en horizontal et 11 mm en vertical [ 16 ]. Les causes d'amincissement peuvent être classifiées en différents mécanismes :
  • causes ethniques : cornées fines des pays du Maghreb [ 17 ];
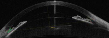
  • causes ectatiques : amincissement apical et irrégulier du kératocône, global et diffus du kératoglobe ( fig. 3-7
    Fig. 3-7
    SS-OCT montrant un stade IV de kératocône; la profondeur de chambre antérieure est très importante.
    ) [ 18 ];
  • causes inflammatoires dans les maladies de Mooren, les pseudo-Mooren, la dégénérescence de Terrien, les nécroses aseptiques ou sceptiques ( fig. 3-8
    Fig. 3-8
    SD-OCT d'une kératite amibienne au stade aigu (a) évoluant vers l'opacification au stade cicatriciel (b).L'OCT (c) illustre la cicatrisation épithéliale et l'amincissement, ainsi qu'une opacification diffuse après greffe de membrane amniotique.
    et 3–9
    Fig. 3-9
    Infection nosocomialeà Candidadéclarée à 2 mois d'une greffe endothéliale, vue en lumière blanche (a) et après colorationàla fluorescéine (b).L'image SD-OCT (c) montre les deux foyers de dissémination dans le stroma et l'inoculum coincé entre la cornée du receveur et le greffon endothélial.
    );
  • causes mécaniques lors des compactions stromales cicatricielles, des effets Dellen, des avulsions post-traumatiques (volets de Lasik) ( fig. 3-10
    Fig. 3-10
    SD-OCT montrant le résultat de la fermeture spontanée d'un hydrops cornéen sur le kératocône.Il persiste une ouverture de la couche descemétique, la migration cellulaire a néanmoins permis la résorption de l'œdème stromal.
    );
  • causes chirurgicales : kératites neurotrophiques iatrogènes, amincissements post laser Excimer. L'hyperplasie épithéliale est un moyen de limiter les amincissements localisés du stroma, ils sont parfois très importants. L'hypo-réflectivité de l'épithélium est facile à discerner ( fig. 3-11
    Fig. 3-11
    SD-OCT montrant une importante hyperplasie épithéliale compensatoire sur une zone de défect du stroma cornéen (> 240 µm)
    ) [ 19 ].
CAUSES D'ÉPAISSISSEMENT
Les causes d'épaississement peuvent être classifiées en différents mécanismes :
  • causes endothéliales : défaillances de la pompe endothéliale, associées à un œdème et une ondulation de la face endothéliale (dystrophie de Fuchs, décompensation du pseudophaque, syndromes irido-cornéo-endothéliaux, endothélites) ( fig. 3-12
    Fig. 3-12
    SD-OCT de décompensation endothéliale du pseudophaque.Il existe une hyperplasie fibreuse de l'épithélium; une bulle épithéliale est bien visible; la face postérieure est ondulée en raison de l'œdème.
    ). Les hydrops post-rupture de la couche endothélio-descemétique sont des cas extrêmes, d'apparition brutale dans le kératocône ou, plus rarement, dans des circonstances congénitales (traumatismes obstétricaux, glaucomes congénitaux). Des lacunes intrastromales hypo-réflectives sont bien individualisables dans le cas des hydrops ( fig. 3-13
    Fig. 3-13
    a-c. Hydops cornéen chez un patient trisomique 21, porteur d'un kératocône induit par les frottements oculaires.L'analyse en SD-OCT permet de mieux visualiser qu'en lampe à fente l'importance de l'œdème, l'épaisseur de la cornée, l'orientation de la brèche et les lacs intrastromaux.
    ) [ 20 ];
  • causes dégénératives et tumorales : dysplasies de la surface oculaire, bénignes ou tumorale (nodules de Salzmann, carcinome in situ, dermoïde du limbe) ( fig. 3-14
    Fig. 3-14
    SD-OCT montrant un nodule cornéen de Salzmann.Le plan de clivage naturel entre la membrane de Bowman et le nodule est visible.
    );
  • causes chirurgicales : la cornée peut augmenter d'épaisseur en relation à la greffe d'une lamelle antérieure (épikératoplasties, greffes de Bowman) ou postérieure ( Descemet's stripping automated endothelial keratoplasty [DSEAK]) ( fig. 3-15
    Fig. 3-15
    SD-OCT montrant une greffe endothéliale de type ultra fine DSEAK à 3 mois postopératoire.Il existe une hyper-réflectivité des interfaces, le stroma sous-épithélial est très réflectif, car le patient présentait une décompensation sévère et ancienne (haze).
    ) [ 21 ]. Certains implants intracornéens à vocation réfractive induisent une modification localisée de la cornée, soit pour en changer la courbure, soit pour faire varier l'indice de réfraction. Les anneaux intracornéens sont utilisés pour régulariser les cornées déformées par les maladies ectatiques ( fig. 3-16
    Fig. 3-16
    SS-OCT montrant le positionnement de deux segments d'anneaux intracornéens pour kératocône.Les cartes topographiques et pachymétriques sont représentées à gauche.
    ). Ils sont hypo-réflectifs mais font parfois le lit de l'accumulation, sur leurs flancs, de matériels amorphes plutôt hyper-réflectifs [ 22 ].
ARTÉFACTS
Il existe un pic d'hyper-réflectivité à l'endroit du passage de l'OCT par l'axe optique du patient (faisceau de saturation), c'est-à-dire également au niveau du centre topographique ( fig. 3-17
Fig. 3-17
SS-OCT montrant la ligne d'hyper-réflectivité axiale traduisant l'alignement de l'imagerie sur l'axe visuel du patient.Corrélation possible avec les cartes topographiques et pachymétriques à gauche.
). Ce signal est dépendant de la qualité de fixation du patient. Lorsque le patient présente un mouvement rapide lors de l'acquisition, les surfaces sont parfois ondulées et la segmentation est erronée ( fig. 3-18
Fig. 3-18
Illustration d'un artéfact de mouvement (a) obtenu sur une des coupes SS-OCT réalisées pour illustrer le décollement partiel d'une DSEAK sous kératoplastie transfixiante (b) dont l'évolutionaété favorable spontanément (c).
). Ce phénomène diminue avec les SS-OCT car l'acquisition est presque instantanée. L'image brute obtenue par l'OCT induit également une distorsion de la courbure que le logiciel doit secondairement compenser [ 23 ]. Les erreurs de segmentation des images sont possibles pour la reconstitution des cartes topo- et tomographiques, en particulier pour la carte épithéliale. En cas de doute, il faut revoir la position des surfaces de référence sur les coupes de construction. Ainsi, l'image observée pendant l'acquisition de l'examen ne présente pas les caractéristiques géométriques affichées sur le rapport. Enfin, lors de l'acquisition, des images en miroir peuvent parasiter la visualisation, elles seront soustraites lors du traitement des données ( fig. 3-19
Fig. 3-19
Artéfact de superposition en miroir de l'image cornéenne sur le module grand champ d'un SD-OCT (zones en violet).
).
Présentation des données de l'OCT cornéen
COUPES TOMOGRAPHIQUES SIMPLES
Le mode d'examen « line scan » représente une analyse sur une seule ligne. Sa résolution latérale et axiale peut être optimisée en reproduisant plusieurs fois la mesure, en diminuant la largeur du champ mesuré. Le mode « cross scan » permet l'analyse sur deux axes perpendiculaires. Le mode « radial scan » propose une analyse sur plusieurs axes concentriques permettant une reconstitution volumique. La précision est fonction de la vitesse d'acquisition et du nombre de coupes car, entre deux méridiens, la forme est extrapolée. L'OCT grand champ devrait encore permettre d'améliorer la résolution dans l'avenir ( fig. 3-20
Fig. 3-20
Cartographie tomographique obtenue par SS-OCT.Les deux coupes orthogonales principales sont représentées en plus de la carte pachymétrique. Les valeurs kératométriques principales sont indiquées à gauche.
) [ 24 ].
RECONSTITUTIONS DES SURFACES ET DES VOLUMES
Depuis l'avènement du SS-OCT, la rapidité d'analyse permet la reconstitution du profil cornéen pour la représentation en topographie d'élévation [ 25 ]. Ainsi, la tomographie OCT vise à supplanter la traditionnelle tomographie par balayage en fente optique ou par rotation de type Scheimpflug. Elle a une plus grande efficience pour passer à travers des milieux de transparence réduite tout en conservant une résolution spatiale comparable ( fig. 3-21
Fig. 3-21
Représentation de la cartographie cornéenne en mode élévation obtenue par SS-OCT.Les élévations antérieures et postérieures sont définies par rapport à une surface de référence préétablie.
). Les cartes habituelles sont proposées, apportant une analyse très complète du profil cornéen. Le couplage avec un mode biométrie OCT (longueur axile) permet d'obtenir une machine très versatile pour la chirurgie réfractive de la cornée et du cristallin. En particulier, l'angle kappa est enfin réellement mesuré, la profondeur de la chambre antérieure et la flèche cristallinienne sont des paramètres disponibles, permettant de jauger au mieux les indications des implants phaques ( fig. 3-22
Fig. 3-22
Reconnaissance automatisée des courbures par SS-OCT, donnant accès à la profondeur de chambre antérieure, l'estimation du blancàblanc, mais aussi à tous les paramètres biométriques du cristallin représentés ici.
) [ 26 ]. Les SD-OCT ont la capacité de bien individualiser la couche de Bowman et de pouvoir fournir sur un diamètre proche de 8 mm une cartographie épithéliale dont la précision est proche du micron. Cette carte est très utile en chirurgie réfractive pour déjouer les pièges de la compensation épithéliale (formes suspectes de kératocône, régressions réfractives, ajustement des procédures de photo-réticulation du collagène cornéen) ( fig. 3-23
Fig. 3-23
Réalisation par SD-OCT d'une carte pachymétrique épithéliale (en bas) à soustraire de la carte pachymétrique totale (en haut) pour en déduire la carte stromale.L'analyse de la carte de l'épithélium est plus large que la carte totale avec ce dispositif.
) [ 27 ]. Les OCT à champs larges sont capables de donner une mesure dite du blanc à blanc, permettant une extrapolation de la mesure du sulcus ciliaire, très utile pour le choix des implants phaques de chambre postérieure. Les points caractéristiques sont également disponibles : points de cambrure et d'élévation les plus forts, point d'amincissement le plus grand. Enfin, les aberrations optiques d'ordre inférieur et supérieur sont disponibles par simulation des trajets lumineux transcornéens ( ray-tracing ) ( fig. 3-24
Fig. 3-24
Carte SS-OCT montrant la décomposition de la carte courbure cornéenne antérieure en puissances dioptriques d'aberrations optiques (sphère, cylindre, coma, trefoil).
et 3–25
Fig. 3-25
Carte SS-OCT montrant la décomposition de la carte courbure cornéenne en puissances dioptriques d'aberrations optiques de la cornée (de gauche à droite) pour les faces avant, arrière puis cumulées (de haut en bas).
). Cela permet de voir le poids des aberrations de la face avant par rapport à celles de la face arrière. C'est spécifiquement utile pour l'évaluation de la puissance et de l'axe des implants toriques pour la chirurgie de la cataracte. Un mode 3D est souvent proposé pour visualiser le SA en totalité ou faire défiler un volume cornéen déterminé. Cette présentation est utile en SS-OCT car elle permet d'avoir une vue en perspective et précise des rapports de la cornée avec l'iris, le cristallin, l'angle irido-cornéen ( fig. 3-26
Fig. 3-26
Image de reconstitution 3D d'un segment antérieur normal avec SS-OCT.La navigation se fait en mode dynamique et permet de visiter le SA avec l'impression de perspective.
). La vue en face permet de faire une coupe dans le plan frontal de la cornée, elle est utilisée pour la rétine assez couramment [ 28 ].
Technologies couplées à l'OCT cornéen
MESURE DE LA LONGUEUR AXIALE
L'OCT de SA peut être combiné avec une mesure concomitante de la longueur axiale par interférométrie optique de très faible champ mais de grande longueur de propagation. L'intérêt est de combiner sur la même machine, le long du même axe optique, toutes les données biométriques utiles aux calculs des implants intra-oculaires [ 29 ].
KÉRATOMÉTRIE ET TOPOGRAPHIE SPÉCULAIRE
La réflexion de mires à la surface de la cornée sous forme de points ou de cercles permet d'obtenir une information complémentaire à la tomographie optique. Ce recoupement permet d'affiner l'alignement des cartes topographiques et pachymétriques obtenues avec la technologie SD-OCT, avec un moindre coût en comparaison de la technologie SS-OCT [ 30 ].
MICROSCOPE OPÉRATOIRE ET LASER FEMTOSECONDE
L'OCT de SA peropératoire permet de donner en temps réel des informations pertinentes pour les décisions chirurgicales. Cet outil est particulièrement utile pour les cornéoplasties. Par exemple, il permet d'affiner les dissections lamellaires, de vérifier la complétude du pelage de l'endothélium, de guider l'injection de fluides pour obtenir une greffe lamellaire antérieure pré-descemétique, de voir un peu mieux à travers une cornée opalescente, d'estimer les épaisseurs, de rechercher des anomalies d'adossement de l'iris, etc. [ 31 ]. L'outil donne des informations complémentaires qui n'étaient pas disponibles au préalable. Cet atout permet de réaliser des gestes opératoires avec plus de précision et de sécurité ( fig. 3-27
Fig. 3-27
Image SD-OCT peropératoire (microscope Rescan®, Carl Zeiss Meditec) montrant le guidage de la réalisation de la« big bubble »dont la profondeur de l'aiguille est guidée par l'OCT (surélévation courbe et hyperréflective au niveau de l'aiguille).
). L'OCT est parfois couplé à un laser femtoseconde pour visualiser la progression en temps réel des découpes cornéennes [ 32 ]. Le laser Victus® (Bausch et Lomb) embarque la technologie SS-OCT pour voir la progression du laser pour le Lasik, par exemple. Leur intérêt pour les greffes assistées par laser est certain ( fig. 3-28
Fig. 3-28
SD-OCT d'une greffe de cornée de type lamellaire profonde réalisée avec assistance laser femtoseconde.Aux extrémités, on constate la bonne congruence obtenue grâce à la réalisation d'un profil en champignon.
). Certains lasers utilisés pour la femtocataracte ont également un module d'imagerie OCT permettant de positionner les incisions cornéennes (incisions relaxantes arciformes limbiques, portes d'entrée pour la phaco-émulsification). La plupart des lasers de femtocataracte, Catalys® (Johnson & Johnson) [ 33 ], LensX® (Alcon), Victus® (Bausch & Lomb) et Z8® (Ziemer) ont une technologie de photo-disruption reposant sur un OCT embarqué.
Conclusion
L'intérêt de l'OCT en cornéologie est évident. Son avenir est grand depuis qu'il allie les quatre atouts fondamentaux suivants : bonne pénétration tissulaire, résolution axile < 10 µm, grand champ d'examen et rapidité d'acquisition.
BIBLIOGRAPHIE
1
Izatt JA, Hee MR, Swanson EA, et al. Micrometer-scale resolution imaging of the anterior eye in vivo with optical coherence tomography, Arch Ophthalmol 1994; 112 : 1584 - 1589.
2
Aptel F, Chiquet C, Gimbert A, et al. Anterior segment biometry using spectral-domain optical coherence tomography, Refract Surg 2014; 30 : 354 - 360.
3
Grulkowski I, Manzanera S, Cwiklinski L, et al. Swept source optical coherence tomography and tunable lens technology for comprehensive imaging and biometry of the whole eye, Optica 2018; 5 : 52 - 59.
4
Hall RC, Mohamed FK, Htoon HM, et al. Laser in situ keratomileusis flap measurements : comparison between observers and between spectral-domain and time-domain anterior segment optical coherence tomography, J Cataract Refract Surg 2011; 37 : 544 - 551.
5
Grulkowski I, Liu JJ, Potsaid B, et al. Retinal, anterior segment and full eye imaging using ultrahigh speed swept source OCT with vertical-cavity surface emitting lasers, Biomed Opt Express 2012; 3 : 2733 - 2751.
6
Li P, Johnstone M, Wang RK, Full anterior segment biometry with extended imaging range spectral domain optical coherence tomography at 1340 nm, J Biomed Opt 2014; 19 : 046013.
7
Hirnschall N, Varsits R, Doeller B, Findl O, Enhanced penetration for axial length measurement of eyes with dense cataracts using swept source optical coherence tomography : a consecutive observational study, Ophthalmol Ther 2018; 7 : 119 - 124.
8
Chan HH, Zhao Y, Tun TA, Tong L, Repeatability of tear meniscus evaluation using spectral-domain Cirrus® HD-OCT and time-domain Visante® OCT, Cont Lens Anterior Eye 2015; 38 : 368 - 372.
9
Ang M, Baskaran M, Werkmeister RM, et al. Anterior segment optical coherence tomography, Prog Retin Eye Res 2018; 66 : 132 - 156.
10
Hallahan KM, Cost B, Goshe JM, et al. Intraoperative interface fluid dynamics and clinical outcomes for intraoperative optical coherence tomography-assisted Descemet stripping automated endothelial keratoplasty from the PIONEER Study, Am J Ophthalmol 2017; 173 : 16 - 22.
11
Nahas A, Tanter M, Nguyen TM, et al. From supersonic shear wave imaging to full-field optical coherence shear wave elastography, J Biomed Opt 2013; 18 : 121514.
12
Mehta R, Nankivil D, Zielinski DJ, et al. Wireless, web-based interactive control of optical coherence tomography with mobile devices, Transl Vis Sci Technol 2017; 6 : 5.
13
Rathi VM, Mandathara PS, Taneja M, et al. Scleral lens for keratoconus : technology update, Clin Ophthalmol 2015; 9 : 2013 - 2018.
14
Napoli PE, Satta GM, Coronella F, Fossarello M, Spectral-domain optical coherence tomography study on dynamic changes of human tears after instillation of artificial tears, Invest Ophthalmol Vis Sci 2014; 55(7) : 4533 - 4540.
15
Celebi AR, Kilavuzoglu AE, Altiparmak UE, et al. The role of anterior segment optical coherence tomography in the management of an intra-corneal foreign body, Springerplus 2016; 5 : 1559.
16
Werkmeister RM, Sapeta S, Schmidl D, et al. Ultrahigh-resolution OCT imaging of the human cornea, Biomed Opt Express 2017; 8 : 1221 - 1239.
17
Lazreg S, Mesplié N, Praud D, et al. Comparison of corneal thickness and biomechanical properties between North African and French patients, J Cataract Refract Surg 2013; 39 : 425 - 430.
18
Sandali O, El Sanharawi M, Temstet C, et al. Fourier-domain optical coherence tomography imaging in keratoconus : a corneal structural classification, Ophthalmology 2013; 120 : 2403 - 2412.
19
Temstet C, Sandali O, Bouheraoua N, et al. Corneal epithelial thickness mapping using Fourier-domain optical coherence tomography for detection of form fruste keratoconus, J Cataract Refract Surg 2015; 41 : 812 - 820.
20
Xie W, Xu Y, Yao YF, Case report : acute hydrops with descemet membrane schisis in corneal ectasia after radial keratotomy, Optom Vis Sci 2018; 95 : 76 - 81.
21
Arnalich-Montiel F, Ortiz-Toquero S, Auladell C, Couceiro A, Accuracy of corneal thickness by swept-source optical coherence tomography and Scheimpflug camera in virgin and treated fuchs endothelial dystrophy, Cornea 2018; 37 : 727 - 733.
22
Oatts JT, Savar L, Hwang DG, Late extrusion of intrastromal corneal ring segments : a report of two cases, Am J Ophthalmol Case Rep 2017; 8 : 67 - 70.
23
Ramasubramanian V, Glasser A, Distortion correction of visante optical coherence tomography cornea images, Optom Vis Sci 2015; 92 : 1170 - 1181.
24
Ghouali W, Grieve K, Bellefqih S, et al. Full-field optical coherence tomography of human donor and pathological corneas, Curr Eye Res 2015; 40(5) : 526 - 534.
25
Savini G, Schiano-Lomoriello D, Hoffer KJ, Repeatability of automatic measurements by a new anterior segment optical coherence tomographer combined with Placido topography and agreement with 2 Scheimpflug cameras, J Cataract Refract Surg 2018; 44 : 471 - 478.
26
Nakamura T, Isogai N, Kojima T, et al. Implantable collamer lens sizing method based on swept-source anterior segment optical coherence tomography, Am J Ophthalmol 2018; 187 : 99 - 107.
27
Hashmani N, Hashmani S, Saad CM, Wide corneal epithelial mapping using an optical coherence tomography, Invest Ophthalmol Vis Sci 2018; 59(3) : 1652 - 1658.
28
Tahiri Joutei Hassani R, Liang H, El Sanharawi M, et al. En-face optical coherence tomography as a novel tool for exploring the ocular surface : a pilot comparative study to conventional B-scans and in vivo confocal microscopy, Ocul Surf 2014; 12(4) : 285 - 306.
29
Savini G, Hoffer KJ, Shammas HJ, et al. Accuracy of a new swept-source optical coherence tomography biometer for IOL power calculation and comparison to IOLMaster, J Refract Surg 2017; 33 : 690 - 695.
30
Wang W, Miao Y, Savini G, et al. Precision of a new ocular biometer in eyes with cataract using swept source optical coherence tomography combined with Placido-disk corneal topography, Sci Rep 2017; 7 : 13736.
31
Ehlers JP, Modi YS, Pecen PE, et al. The DISCOVER Study 3-year results : feasibility and usefulness of microscope-integrated intraoperative OCT during ophthalmic surgery, Ophthalmology 2018; 125 : 1014 - 1027.
32
Kermani O, Will F, Massow O, et al. Control of femtosecond thin-flap LASIK using OCT in human donor eyes, J Refract Surg 2010; 26 : 57 - 60.
33
Rivera RP, Hoopes PC, Linn SH, Hoopes PC, Comparative analysis of the performance of two different platforms for femtosecond laser-assisted cataract surgery, Clin Ophthalmol 2016; 10 : 2069 - 2078.
DYSTROPHIES CORNÉENNES

V. BORDERIE,

C. GEORGEON

Le terme « dystrophie cornéenne » recouvre l'ensemble des pathologies d'origine génétique de la cornée. Il s'agit de kératopathies héréditaires bilatérales, symétriques, avasculaires, lentement progressives, entraînant une perte de la transparence ou des propriétés optiques de la cornée. Le plus souvent isolées, elles sont parfois associées à un désordre métabolique général. Sur le plan clinique, souvent, un seul membre de la famille est atteint. Cela traduit la variabilité d'expression de ces maladies génétiques. Certaines entités cliniques correspondent plus à des syndromes dont l'étiologie peut être génétique ou dégénérative. Si le diagnostic génétique présente l'intérêt d'être précis et exact, il n'est le plus souvent pas accessible en pratique clinique courante. L'imagerie prend alors toute sa place pour le diagnostic. L'OCT-SD est la technique de routine à utiliser pour l'ensemble des dystrophies cornéennes. Elle peut être complétée par la microscopie confocale.
Une classification des dystrophies cornéennes a été proposée par un groupe d'experts internationaux. Il s'agit de la classification IC3D (International Committee for Classification of Corneal Dystrophies) qui distingue des dystrophies dont les mutations sont connues (C1), des dystrophies dont le gène est localisé sans mutations connues (C2), des dystrophies dont la génétique n'est pas connue mais le caractère héréditaire est sûr (C3) et des dystrophies pour lesquelles l'origine génétique est douteuse (C4) [ 1 ]. Cette classification exclut volontairement le kératocône et les pathologies systémiques génétiques avec atteinte cornéenne.
  • Dystrophies épithéliales et sous-épithéliales : dystrophie de la membrane basale épithéliale, le plus souvent d'origine dégénérative, rarement classée C1; érosion épithéliale récurrente (C3); dystrophie sous-épithéliale mucineuse (C4); dystrophie de Meesmann (C1); dystrophie de Lisch (C2); dystrophie gélatineuse en gouttes (C1).
  • Dystrophies épithélio-stromales liées au gène TGFBI : dystrophie de Reis-Bücklers (C1); dystrophie de Thiel-Behnke (C1); dystrophie grillagée de type I avec des variants (III, IIIA, I/IIIA, IV) (C1); dystrophie granulaire de type 1 (C1); dystrophie granulaire de type 2 (C1).
  • Dystrophies stromales : dystrophie maculaire (C1); dystrophie de Schnyder (C1); dystrophie stromale congénitale (C1); dystrophie de Fleck (C1); dystrophie postérieure amorphe (C1); dystrophie nuageuse centrale de François (C4); dystrophie pré-descemétique (C1 ou C4).
  • Dystrophies endothéliales : dystrophie de Fuchs (C1, C2 ou C3); dystrophie postérieure polymorphe (C1 ou C2); dystrophie endothéliale congénitale héréditaire (C1); dystrophie endothéliale liée à l'X (C2).
Dystrophies épithéliales et sous-épithéliales
DYSTROPHIE DE MEESMANN
La dystrophie épithéliale de Meesmann est une dystrophie très rare, bilatérale, autosomique dominante, liée à des mutations des gènes des cytokératines 3 et 12. Elle se manifeste précocement, aussi est-elle souvent appelée dystrophie épithéliale juvénile de Meesmann. Elle se caractérise par des petites vésicules initialement centrales, puis diffuses à tout l'épithélium. Cette dystrophie est le plus souvent asymptomatique, mais elle peut dans les cas évolués aboutir à une irritation oculaire, voire à des érosions épithéliales et, exceptionnellement, à une baisse de l'acuité visuelle.
En OCT, l'épaisseur épithéliale est irrégulière. L'épithélium cornéen est globalement hyper-réflectif ( fig. 3-29
Fig. 3-29
Dystrophie de Meesmann. Cornée centrale (a), limbe (b).
). L'hyper-réflectivité est maximale en superficie et se prolonge jusqu'au limbe. Les microkystes sont à l'origine de fines ponctuations hyper-réflectives, plus ou moins coalescentes.
DYSTROPHIE DE COGAN (OU DYSTROPHIE MICROKYSTIQUE)
L' epithelial basement membrane dystrophy (appellation anglo-saxonne) est la dystrophie cornéenne la plus fréquente. Affection habituellement sporadique d'origine dégénérative, elle peut avoir une cause génétique et se transmettre selon un mode autosomique dominant. La physiopathologie est un défaut d'adhérence des cellules épithéliales à la couche de Bowman. Un traumatisme local peut être un facteur déclenchant. La dystrophie se manifeste habituellement par des kératalgies récidivantes.
On retrouve en OCT les lésions vues en lampe à fente dans presque tous les cas :
  • hyper-réflectivité des kystes qui sont situés dans l'épithélium, entraînant un effacement de la membrane basale;
  • membrane basale épaissie et irrégulière, pluristratifiée dont les différentes lamelles sont hyper-réflectives, s'invaginant dans l'épaisseur de l'épithélium ( fig. 3-30
    Fig. 3-30
    Dystrophie de la membrane basale épithéliale. Aspect en lampe à fente (a), coupe OCT (b) etmappingépithélial (c).
    et 3–31
    Fig. 3-31
    Dystrophie de la membrane basale épithéliale.
    ) [ 2 ];
  • espaces hypo-réflectifs entre l'épithélium et le stroma. La carte de pachymétrique épithéliale montre une hétérogénéité de l'épaisseur épithéliale avec des zones d'épaississement et des zones d'amincissement ( fig. 3-30 ).
CORNEA VERTICILLATA
La cornea verticillata est une anomalie cornéenne très fréquente liée à plusieurs pathologies différentes. Elle ne donne aucun signe fonctionnel, sa découverte est fortuite lors d'un examen ophtalmologique.
Les formes iatrogènes sont de loin les plus fréquentes, secondaires à un traitement chronique par l'amiodarone, la chloroquine, la chlorpromazine ou l'indométacine. L'atteinte clinique est réversible après l'arrêt du traitement. La maladie de Fabry est héréditaire à transmission récessive liée à l'X (déficit en céramide trihexoxidase). Elle est habituellement diagnostiquée chez le jeune devant des angiokératomes cutanés diffus associés à une cornea verticillata . En histologie, il s'agit de dépôts de glycolipides dans les cellules épithéliales basales. La cornea verticillata se rencontre également au cours de la mannosidose (déficit en α-mannosidase), de la fucosidose (déficit en α-fucosidase) et du myélome.
L'OCT montre une discrète hyper-réflectivité épithéliale prédominant dans la partie profonde de l'épithélium ( fig. 3-32
Fig. 3-32
Cornea verticillata.
). Le stroma et le complexe endothélio-descemétique sont normaux.
Dystrophies stromales
KÉRATOCÔNE
Le kératocône est une dystrophie cornéenne se manifestant par une protrusion non inflammatoire de la cornée d'évolution lentement progressive, apparaissant généralement pendant l'adolescence. Son origine est multifactorielle : prédisposition génétique et facteurs environnementaux (notamment le frottement des yeux).
Il s'agit d'une maladie bilatérale qui se déclare en règle de façon asymétrique.
L'OCT est devenu un outil incontournable pour évaluer la cornée kératocônique. Il permet d'établir une classification du kératocône qui comprend cinq stades [ 3 ] :
  • stade 1 : amincissement des couches épithéliales et stromales d'apparence normale au niveau du dôme cornéen ( fig. 3-33
    Fig. 3-33
    Kératocône – stade 1.
    );
  • stade 2 : hyper-réflectivité au niveau de la couche de Bowman et épaississement épithélial en regard, au niveau du cône ( fig. 3-34
    Fig. 3-34
    Kératocône – stade 2.
    );
  • stade 3 : invagination postérieure de structures hyper-réflectives au niveau de la couche de Bowman avec accentuation de l'épaississement épithélial et de l'amincissement stromal ( fig. 3-35
    Fig. 3-35
    Kératocône – stade 3.
    );
  • stade 4 : cicatrice panstromale au niveau du cône ( fig. 3-36
    Fig. 3-36
    Kératocône – stade 4.
    ) formant typiquement un aspect en sablier;
  • stade 5 : ruptures de la membrane de Descemet entraînant un hydrops (forme aiguë) ou des aspects cicatriciels ( fig. 3-37
    Fig. 3-37
    a, b. Kératocône – stade 5A.
    et 3–38
    Fig. 3-38
    a, b. Kératocône – stade 5B.
    ).
La carte pachymétrique cornéenne globale montre une diminution de l'épaisseur cornéenne minimale (< 492 µm) [ 4 ]. C'est un élément important du diagnostic de kératocône fruste ou avéré ( fig. 3-39
Fig. 3-39
Kératocône – diminution de l'épaisseur cornéenne centrale et minimale. Aspect endoughnutdumappingépithélial.
). L'amincissement épithélial apparaît dès le stade du kératocône fruste et le point le plus fin de l'épithélium est décalé en général en inférieur [ 5 , 6 ]. L'aspect en doughnut est également très évocateur de kératocône : amincissement épithélial localisé à l'apex entouré d'une couronne d'épithélium épaissi ( fig. 3-39 ) [ 7 ].
Les anomalies de la couche de Bowman semblent précéder les autres atteintes cicatricielles du stroma cornéen et de la membrane de Descemet [ 8 ]. Les stries de Vogt se présentent sous la forme de lignes sombres parallèles entre elles allant de la membrane de Descemet jusqu'à la couche de Bowman ( fig. 3-40
Fig. 3-40
Kératocône – stries de Vogt.
) [ 9 ].
FORME AIGUË : HYDROPS CORNÉEN
Cette rupture spontanée de la membrane de Descemet entraîne une communication directe entre l'humeur aqueuse et le stroma cornéen à travers la déhiscence descemétique. Elle survient chez moins de 5 % des patients atteints de kératocône.
L'hydrops constitue le stade 5 de la classification OCT du kératocône :
  • stade aigu 5A : rupture de la membrane de Descemet avec œdème cornéen important et dilacération des lamelles de collagène, et formation de kystes intrastromaux et intra-épithéliaux (voir fig. 3-37 );
  • stade cicatriciel 5B : cicatrice panstromale et aspect résiduel de rupture de la membrane de Descemet (voir fig. 3-38 ).
Les autres anomalies possibles de la membrane de Descemet sont un épaississement, un aspect ondulé, un décollement descemétique autour de la zone de rupture, voire un enroulement descemétique autour de cette zone. L'OCT permet d'identifier les patients à haut risque d'hydrops [ 10 ]. Les caractéristiques OCT associées à ce risque sont un épaississement et un amincissement épithéliaux marqués avec une hyper-réflectivité de la couche de Bowman sans fibrose stromale (stade 3a).
DÉGÉNÉRESCENCE MARGINALE PELLUCIDE
De plus en plus considérée comme une forme clinique particulière du kératocône, la dégénérescence marginale pellucide est une maladie cornéenne ectasiante bilatérale caractérisée par une bande d'amincissement de la cornée périphérique inférieure habituellement située entre 4 et 8 heures.
L'OCT montre un amincissement stromal périphérique inférieur avec bombement de la face postérieure et de la face antérieure de la cornée ( fig. 3-41
Fig. 3-41
a-c. Dégénérescence marginale pellucide.
). Des ruptures de la membrane de Descemet sont visibles en cas d'hydrops. La cornée centrale est normale ( fig. 3-41 ). La carte pachymétrique cornéenne est importante pour différencier le kératocône de la dégénérescence pellucide en montrant un amincissement cornéen inférieur et périphérique dans la dégénérescence marginale pellucide ( fig. 3-42
Fig. 3-42
Dégénérescence marginale pellucide : carte pachymétrique.
).
DYSTROPHIES DE LA COUCHE DE BOWMAN : DYSTROPHIE DE THIEL-BEHNKE ET DYSTROPHIE DE REIS-BÜCKLERS
Il s'agit de deux dystrophies liées au gène de la kérato-épithéline (gène βIGH3) à transmission autosomique dominante. Les signes fonctionnels sont des érosions récidivantes, une baisse d'acuité visuelle progressive et une photophobie. Ces dystrophies apparaissent dans l'enfance. L'atteinte est bilatérale et symétrique.
L'aspect OCT de ces deux dystrophies est proche :
  • dystrophie de Thiel-Behnke : plage hyper-réflective sous-épithéliale homogène et continue, crénelée, en dents de scie. La surface stromale est irrégulière et ondulée. Cette irrégularité est masquée par l'épithélium qui s'hyperplasie dans les zones creuses et s'hypoplasie dans les zones surélevées ( fig. 3-43
    Fig. 3-43
    Dystrophie de Thiel-Behnke.
    );
  • dystrophie de Reis-Bücklers : plage hyper-réflective sous-épithéliale dans le plan de la couche de Bowman ( fig. 3-44
    Fig. 3-44
    Dystrophie de Reis-Bücklers.
    ), moins crénelée que dans la dystrophie de Thiel-Behnke [ 11 ]. Dans les deux formes, l'épaisseur cornéenne est normale ou augmentée ( fig. 3-44 ). La récidive après greffe se fait dans la zone sous-épithéliale.
DYSTROPHIE GRANULAIRE
C'est une des dystrophies liées au gène de la kérato-épithéline, à transmission autosomique dominante. Les premiers signes apparaissent dans l'enfance : érosions douloureuses, photophobie, puis baisse d'acuité visuelle.
En OCT, les dépôts sont hyper-réflectifs, bien limités, de forme volontiers polygonale fig. 3-45
Fig. 3-45
Dystrophie granulaire.
) [ 12 ]. Ils peuvent créer des zones d'ombre postérieure. En mode plein champ, la forme de dépôts peut être stellaire. La surface stromale est irrégulière et ondulée. Cette irrégularité est masquée par l'épithélium. L'épaisseur cornéenne est normale ou augmentée. La récidive après greffe débute dans la zone sous-épithéliale ( fig. 3-46
Fig. 3-46
Récidive de dystrophie granulaire après kératoplastie transfixiante.
) [ 13 ].
DYSTROPHIE GRILLAGÉE
C'est, le plus souvent, une des dystrophies liées au gène de la kérato-épithéline à transmission autosomique dominante (dystrophies grillagées de type I, intermédiaire I/IIIa, IIIa et profonde) et rarement une dystrophie liée au gène de la gelsoline situé sur le chromosome 9q34 à transmission autosomique récessive (dystrophie grillagée de type II). Les signes fonctionnels sont une baisse d'acuité visuelle progressive, une photophobie et des érosions récidivantes.
En OCT, les dépôts sont hyper-réflectifs, mal limités, créant une hyper-réflectivité stromale plus marquée dans le stroma antérieur ( fig. 3-47
Fig. 3-47
Dystrophie grillagée.
). La surface stromale est irrégulière et ondulée. Cette irrégularité est masquée par l'épithélium. L'épaisseur cornéenne est normale ou augmentée. La récidive après greffe débute dans la zone sous-épithéliale [ 13 ].
DYSTROPHIE MACULAIRE
C'est une anomalie du métabolisme du kératan sulfate d'origine génétique, autosomique récessive. Les signes fonctionnels sont une baisse d'acuité visuelle importante, des érosions douloureuses et une photophobie importante.
L'OCT montre une hyper-réflectivité diffuse du stroma débutant sous l'épithélium ( fig. 3-48
Fig. 3-48
Dystrophie maculaire.
) [ 14 ]. La surface stromale est légèrement irrégulière et ondulée. Cette irrégularité est masquée par l'épithélium. L'épaisseur cornéenne est diminuée. La membrane de Descemet peut être hyper-réflective.
DYSTROPHIE DE SCHNYDER
Il s'agit de dépôts de cristaux de cholestérol et de phospholipides dans le stroma cornéen associés à une dégénérescence des fibrilles de collagène. Le début peut se faire pendant la petite enfance. La symptomatologie est une baisse de vision progressive. Une hypercholestérolémie familiale est associée dans deux tiers des cas. Les diagnostics différentiels sont nombreux : cystinose, tyrosinémie, dystrophie cristalline de Bietti, hyperuricémie/goutte, myélome, gammapathie monoclonale, kératite microcristalline, kératite liée au dieffenbachia, dépôts médicamenteux (sels d'or, chlorpromazine, chloroquine et clofazamine), déficit en lécithine-cholestérol acétyltransférase et maladie de Tangier.
L'OCT montre une hyper-réflectivité diffuse du stroma, maximale sous l'épithélium ( fig. 3-49
Fig. 3-49
Dystrophie de Schnyder.
) [ 15 ]. La surface stromale est régulière. L'épaisseur cornéenne est normale. L'épithélium et la membrane de Descemet sont normaux.
DYSTROPHIE PRÉ-DESCEMÉTIQUE
C'est une pathologie orpheline sans conséquence fonctionnelle dont la physiopathologie est encore mal connue. Cette dystrophie peut être associée à une ichtyose liée à l'X secondaire à des mutations du gène STS ( steroid sulfatase ) localisé en Xp22.31. En histologie, les kératocytes du stroma postérieur présentent des vacuoles et des inclusions lipidiques. La dystrophie est considérée comme asymptomatique, sans retentissement visuel.
Les coupes OCT montrent des particules fines et hyper-réflectives présentes dans toute l'épaisseur du stroma, mais plus intenses en pré-descemétique ( fig. 3-50
Fig. 3-50
Dystrophie pré-descemétique.
), les autres couches de la cornée ayant une réflectivité normale [ 16 , 17 ].
Dystrophies endothéliales
DYSTROPHIE DE FUCHS
La dystrophie de Fuchs est une pathologie primitive de l'endothélium cornéen caractérisée par la formation de verrucosités de la membrane de Descemet (gouttes), une mort cellulaire endothéliale accélérée par apoptose et l'évolution vers l'œdème cornéen. Elle présente au début un aspect de cornea guttata sans œdème cornéen. La cornea guttata est une anomalie très fréquente, ubiquitaire, liée au vieillissement. La plupart des cornea guttata n'évoluent jamais vers l'œdème cornéen. La dystrophie de Fuchs est une pathologie héréditaire à transmission autosomique dominante ayant un haut degré de pénétrance et une expressivité variable.
La dystrophie de Fuchs symptomatique évolue lentement sur environ 10 à 20 ans. Elle est bilatérale et asymétrique. Parfois le caractère asymétrique de la pathologie est très marqué, en imposant pour une affection unilatérale. Globalement, elle évolue en passant par des stades de cornea guttata, puis d'œdème cornéen, suivi de kératopathie bulleuse et enfin de néovascularisation et d'opacification cornéenne.
En OCT, la membrane de Descemet est hyper-réflective, épaissie et irrégulière ( fig. 3-51
Fig. 3-51
Dystrophie de Fuchs.Au stade avancé (coupe du bas), une fibrose sous-épithéliale hyper-réflective se développe.
) [ 18 ]. Elle a l'aspect d'une bande épaissie composée de deux lignes hyper-réflectives (ligne antérieure lisse et ligne postérieure ondulée et irrégulière). Elle peut prendre un aspect multistratifié [ 19 ]. L'épaisseur cornéenne centrale est augmentée. L'épaississement cornéen prédomine au centre. L'augmentation de l'épaisseur centrale de la cornée est corrélée à l'évolution de la dystrophie [ 20 ].
DYSTROPHIE POSTÉRIEURE POLYMORPHE
Il s'agit d'une pathologie rare, congénitale, autosomique dominante, parfois rapportée comme récessive, à début précoce. Elle est bilatérale et souvent asymétrique, d'évolution progressive ou bien (cas le plus fréquent) non évolutive (absence d'œdème cornéen). Le plus souvent, il n'existe pas de symptomatologie fonctionnelle et le diagnostic est porté lors d'un examen à la lampe à fente. Ailleurs, le patient consulte pour une Symptomatologie d'œdème cornéen.
Les coupes OCT montrent des cratères dans le stroma postérieur, un épaississement et des ruptures de la membrane de Descemet, une hyper-réflectivité du stroma postérieur, une augmentation de l'épaisseur cornéenne en cas d'œdème ( fig. 3-52
Fig. 3-52
Dystrophie postérieure polymorphe. La coupe en face (bas) montre bien l'hétérogénéité de la membrane de Descemet.
).
DYSTROPHIE ENDOTHÉLIALE HÉRÉDITAIRE CONGÉNITALE ( CONGENITAL HEREDITARY ENDOTHELIAL DYSTROPHY [CHED])
Il s'agit d'une pathologie très rare, autosomique récessive, découverte à la naissance, chez l'enfant ou l'adulte jeune, bilatérale et symétrique, due à une migration centrale incomplète des précurseurs des cellules endothéliales. La barrière endothéliale est altérée.
Les coupes OCT montrent une augmentation de l'épaisseur cornéenne liée à l'œdème stromal et épithélial et un épaississement de la membrane de Descemet ( fig. 3-53
Fig. 3-53
a, b. Dystrophie endothéliale héréditaire congénitale.
) [ 21 ].
BIBLIOGRAPHIE
1
Weiss JS, Moller HU, Aldave AJ, et al. IC3D classification of corneal dystrophies-edition 2, Cornea 2015; 34 : 117 - 159.
2
El Sanharawi M, Sandali O, Basli E, et al. Fourier-domain optical coherence tomography imaging in corneal epithelial basement membrane dystrophy : a structural analysis, Am J Ophthalmol 2015; 159 : 755 - 763.
3
Sandali O, El Sanharawi M, Temset C, et al. Fourier-Domain Optical coherence tomography imaging in keratoconus : a corneal structural classification, Ophthalmology 2013; 120 : 2403 - 2412.
4
Meisler DM, Tang M, Lu AT, et al. Keratoconus diagnosis with optical coherence tomography pachymetry mapping, Ophthalmology 2008; 115 : 2159 - 2166.
5
Temstet C, Sandali O, Bouheraoua N, et al. Corneal Epithelial thickness mapping by Fourier-domain optical coherence tomography for detection of forme fruste keratoconus, J Cataract Refract Surg 2015; 41 : 812 - 820.
6
Rocha KM, Perez-Straziota CE, Stulting RD, et al. SD-OCT analysis of regional epithelial thickness profiles in keratoconus, postoperative corneal ectasia, and normal eyes, J Refract Surg 2013; 29 : 173 - 179.
7
Li Y, Tan O, Brass R, et al. Corneal epithelial thickness mapping by Fourier-domain optical coherence tomography in normal and keratoconic eyes, Ophthalmology 2012; 119 : 2425 - 2433.
8
Grieve K, Georgeon C, Andreiuolo F, et al. Microscopic features of keratoconic corneal morphology observed with multiple imaging modalities and with histology, Cornea 2016; 35 : 1621 - 1630.
9
Grieve K, Ghoubay D, Georgeon C, et al. Stromal striae : a new insight 1 into corneal physiology and mechanics, Sci Rep 2017; 7 : 13194 - 13196.
10
Fuentes E, Sandali O, El Sanharawi M, et al. Anatomic predictive factors of acute corneal hydrops in keratoconus : an optical coherence tomography study, Ophthalmology 2015; 122 : 1653 - 1659.
11
Liang Q, Pan Z, Sun X, et al. Reis-Bucklers corneal dystrophy : a reappraisal using in vivo and ex vivo imaging techniques, Ophthalmic Res 2014; 51 : 187 - 195.
12
Schneider S, Sorbara L, Jones L, Confocal microscopy and optical coherence tomography imaging of hereditary granular dystrophy, Cont Lens Anterior Eye 2010; 33 : 33 - 40.
13
Chen M, Xie L, Features of recurrence after excimer laser phototherapeutic keratectomy for anterior corneal pathologies in North China, Ophthalmology 2013; 120 : 1179 - 1185.
14
Nowinska AK, Wylegala E, Teper S, et al. Phenotype and genotype analysis in patients with macular corneal dystrophy, Br J Ophthalmol 2014; 98 : 1514 - 1521.
15
Touhami S, Jouve L, Atia R, et al. Optical coherence tomography and confocal microscopy aspect of a schnyder corneal dystrophy case, J Fr Ophtalmol 2018;
16
Malhotra C, Jain AK, Dwivedi S, et al. Characteristics of pre-Descemet membrane corneal dystrophy by three different imaging modalities-in vivo confocal microscopy, anterior segment optical coherence tomography, and Scheimpflug corneal densitometry analysis, Cornea 2015; 34 : 829 - 832.
17
Georgeon C, Borderie V, Imagerie de la dystrophie pré-descemétique, J Fr Ophtalmol 2018; 41 : 184 - 186.
18
Shousha MA, Perez VL, Wang J, et al. Use of ultra-high-resolution optical coherence tomography to detect in vivo characteristics of Descemet's membrane in Fuchs' dystrophy, Ophthalmology 2010; 117 : 1220 - 1227.
19
Shousha MA, Perez VL, Wang J, et al. Use of ultra-high-resolution optical coherence tomography to detect in vivo characteristics of Descemet's membrane in Fuchs' dystrophy, Ophthalmology 2010; 117 : 1220 - 1227.
20
Kopplin LJ, Przepyszny K, Schmotzer B, et al. Relationship of Fuchs endothelial corneal dystrophy severity to central corneal thickness, Arch Ophthalmol 2012; 130 : 433 - 439.
21
Georgeon C, Bouheraoua N, Laroche L, et al. Imagerie de la dystrophie endothéliale congénitale héréditaire (CHED), J Fr Ophtalmol 2016; 40 : 148 - 150.
APPORT DE L'OCT-ANGIOGRAPHIE DANS L'EXPLORATION DE LA SURFACE OCULAIRE ET DU SEGMENT ANTÉRIEUR DE L'ŒIL

C. BAUDOUIN,

S. HAYEK,

B. ARDITTI,

A. EL MAFTOUHI

Introduction
Jusqu'à présent, l'évaluation de la vascularisation du segment antérieur était limitée à la photographie à la lampe à fente ou à des techniques invasives utilisant la fluorescéine ou l'angiographie au vert d'indocyanine ( indocyanine green [ICG]) [ 1 , 2 ]. L'OCT-angiographie (OCT-A) a été initialement appliquée pour explorer diverses rétinopathies, maladies ou proliférations vasculaires, périrétiniennes ou choroïdiennes [ 3 ]. Bien que moins utilisée pour le segment antérieur et ne bénéficiant pas encore des améliorations techniques développées au niveau postérieur, l'OCT-A apparaît toutefois comme une nouvelle technique précieuse pour la cornée et la surface oculaire, déjà validée pour évaluer, par exemple, une néovascularisation cornéenne chez des patients atteints de diverses maladies de la cornée [ 4–6 ]. L'invasion de la cornée par des néovaisseaux est souvent de mauvais pronostic, indiquant une rupture de la barrière limbo-cornéenne avasculaire et porteuse d'un risque important de rejet en cas de kératoplastie. Par conséquent, l'étude des vaisseaux est importante pour comprendre les processus pathologiques, évaluer leur sévérité et suivre la réponse au traitement. De plus, l'OCT-A a ouvert un nouveau champ d'investigations dans les pathologies où le système vasculaire n'est pas accessible ou seulement par des techniques invasives avec des risques potentiels pour les patients. C'est une nouvelle sémiologie qui est en train de naître et qui bénéficiera sans doute d'améliorations techniques supplémentaires, à l'instar du segment postérieur.
Difficultés techniques de l'OCT-A dans le segment antérieur de l'œil
L'OCT-A de segment antérieur ne tolère aucun mouvement oculaire du patient car même les micromouvements créent des artéfacts transversaux sur les images finales. Par conséquent, des coupes de qualité ne peuvent pas être réalisées lorsque les patients sont incapables de fixer ou ont des mouvements continus des yeux ou des paupières tels qu'un nystagmus ou des symptômes provoquant un taux de clignement anormal ou un blépharospasme. Un autre problème du module de segment antérieur est qu'il ne permet toujours pas d'analyses quantitatives. En particulier, il ne fournit pas encore de données numériques sur les débits circulatoires ou les densités vasculaires de la cornée ou de la conjonctive.
L'OCT-A dans les maladies de la cornée
Les applications de l'OCT-A sont multiples pour l'exploration des maladies de la cornée, telles que la néovascularisation cornéenne dans le rejet de greffe de cornée, le ptérygion, les kératites infectieuses ou neurotrophiques, les déficiences en cellules souches limbiques. Un intérêt majeur est d'utiliser le module du segment antérieur de l'OCT-A pour évaluer la néovascularisation cornéenne, car des néovaisseaux sanguins peuvent accompagner ou même précéder le rejet de la greffe, et ils sont fortement associés à des réactions immunitaires et inflammatoires. Des changements subtils peuvent être manqués ou sous-estimés par l'examen à la lampe à fente, ce qui fait de l'OCT-A un outil majeur pour l'évaluation précoce de cette complication menaçante. Ainsi, sur une série de 34 cas d'infiltrats cornéens périphériques, Riedl et al. [ 7 ] ont montré que l'OCT-A permettait de visualiser une néovascularisation en regard de l'opacité cornéenne dans 21 yeux contre seulement 10 en lampe à fente. L'OCT-A permet donc une meilleure visualisation des néovaisseaux profonds dans les cas d'opacités cornéennes périphériques. Comme on le voit sur les figures 3-54
Fig. 3-54
Rejet de greffe de cornée.a. Image en lampe à fente. b. OCT-A du rejet de greffe de cornée : quadrant nasal. c. Quadrant supérieur.
et 3–55
Fig. 3-55
Rejet de greffe de cornée.a. Image en lampe à fente avec des vaisseaux cornéens anormaux dans le quadrant supérieur. b. OCT-A montrant des vaisseaux en nombre nettement supérieur envahissant le greffon : boucles vasculaires anormales typiques d'une néovascularisation active.
, l'OCT-A est capable de définir clairement les vaisseaux cornéens envahissant la greffe de cornée, d'une manière beaucoup plus visible que sur les photographies de la lampe à fente. Elle montre également clairement les boucles vasculaires anormales et la démarcation entre les vaisseaux normaux et anormaux. L'OCT-A montre l'organisation des vaisseaux à l'interface de la greffe; en particulier, elle montre bien les vaisseaux franchissant la jonction greffe-hôte ( fig. 3-54d ).
L'OCT-A peut également être extrêmement utile pour déceler une néovascularisation en cas de kératite profonde impliquant le stroma cornéen, en particulier lorsque la cicatrisation stromale entraîne une perte de transparence et masque les néovaisseaux. La figure 3-56
Fig. 3-56
Kératite stromale post-herpétique.a. Image à la lampe à fente. Noter la faible densité des vaisseaux visibles. b. OCT-A montrant les vaisseaux anormaux envahissant le stroma cornéen. Noter l'écart entre la lampe à fente ou les images infrarouges et la densité des vaisseaux en OCT-A.
montre une lésion cornéenne centrale secondaire au virus de l'herpès simplex chez un homme de 45 ans avec une longue histoire de kératite stromale récurrente dans son œil droit. La photographie à la lampe à fente montre un œdème épithélial et stromal, tandis que les images en OCT-A révèlent plus précisément les vaisseaux anormaux. La figure 3-57
Fig. 3-57
Kératite infectieuse.a. Image à la lampe à fente avec une néovascularisation intense. b. OCT-A montrant les vaisseaux sanguins envahissant la cornée. Noter la densité extrêmement élevée des vaisseaux répartis étroitement et de manière homogène.
montre clairement sur le scan d'OCT-A un vaisseau pénétrant dans le stroma, secondaire à un ulcère fongique, 1 mois après traitement. Ces découvertes sont particulièrement importantes lorsque la persistance d'une infection active est suspectée dans des yeux inflammatoires et lorsqu'une kératoplastie est envisagée.
Évaluation des vaisseaux conjonctivaux : application à la chirurgie du glaucome
L'OCT-A est également utile pour documenter les réseaux vasculaires en cas de tumeur, d'inflammation conjonctivale ou lors des processus de cicatrisation, en particulier après une chirurgie du glaucome lors de la surveillance de la formation de la bulle et de l'évaluation de son bon fonctionnement. Pour obtenir une image de la conjonctive avec l'OCT-A, le sujet doit regarder vers le côté opposé de l'analyse. Par exemple, le sujet doit regarder vers le côté nasal si le côté temporal de la conjonctive est balayé. Un algorithme logiciel adapté est utilisé pour identifier les limites conjonctivales et générer des angiogrammes en profondeur par projection des structures en mouvement ( fig. 3-58
Fig. 3-58
Vaisseaux conjonctivaux.a. OCT-A des vaisseaux conjonctivaux bulbaires dans le quadrant supérieur. Noter la forte densité des vaisseaux sanguins observés en OCT-A. b. Image d'OCT en coupe superposée à l'angiogramme (points rouges).
).
Les angiogrammes avant et après chirurgie filtrante ont révélé une densité vasculaire importante dans la conjonctive, dont l'importance semble revêtir une valeur pronostique particulièrement intéressante. Comme cela a été précédemment montré en angiographie à la fluorescéine des bulles [ 8 ], l'OCT-A peut être utile pour analyser les vaisseaux conjonctivaux et épiscléraux après une chirurgie du glaucome. La figure 3-59
Fig. 3-59
OCT-A des vaisseaux conjonctivaux avant la chirurgie du glaucome (a) et des vaisseaux de la bulle à 7 jours postopératoires (b).
montre clairement la vascularisation conjonctivale et sous-conjonctivale avant la chirurgie, et le développement et la réorganisation des vaisseaux dans et autour de la bulle à 1 semaine postopératoire : les altérations vasculaires comprennent une densité vasculaire beaucoup plus élevée, des vaisseaux dilatés et tortueux et des anastomoses vasculaires. En comparant les images en lampe à fente à celles de l'OCT-A, comme sur la figure 3-60
Fig. 3-60
OCT-A des vaisseaux conjonctivaux à 1 mois postopératoire au niveau de la bulle corrélée à la photographie de la lampe à fente.a. Photographie en lampe à fente de la bulle. b. Zone temporale de la bulle. c. Centre de la bulle. d. Section nasale de la bulle.
, le système vasculaire vu sur les images OCT-A est beaucoup plus dense, très clairement visible. Il peut correspondre à des vaisseaux scléraux profonds qui ne sont pas visibles en lampe à fente, ce qui laisse supposer qu'il s'agit d'autres vaisseaux que les vaisseaux sanguins, à savoir les vaisseaux lymphatiques. Inversement, dans les bulles ischémiques post-mitomycine C ( fig. 3-61
Fig. 3-61
OCT-A des vaisseaux conjonctivaux dans une bulle de filtration après utilisation de mitomycine C : photographie en lampe à fente (a) et en OCT-A (b) ne montrant aucun vaisseau dans la zone kystique.
), l'OCT-A montre des zones avasculaires. Les espaces avasculaires entre les réseaux vasculaires denses peuvent refléter la présence d'humeur aqueuse et indiquent donc une cicatrisation et une formation correcte de la bulle. L'absence d'intervalles libres de vaisseaux et l'augmentation de la densité des vaisseaux peuvent refléter des états inflammatoires et des stades précoces de cicatrisation de la bulle avec une perte de sa fonctionnalité. L'OCT-A est donc un outil potentiellement important dans le suivi de la cicatrisation des bulles de filtration.
Plus encore, l'OCT-A semble pouvoir apporter en préopératoire des informations à valeur pronostique importante [ 9 ]. En comparant en préopératoire un groupe de patients présentant des conjonctives peu vascularisées (grades I-II d'une classification semi-quantitative en OCT-A et/ou score < 30 % de surface vasculaire après binarisation par le logiciel ImageJ; fig. 3-62
Fig. 3-62
Classification qualitative de la vascularisation conjonctivale en OCT-A.Grade I – vascularisation conjonctivale pauvre : vaisseaux fins non tortueux et présence de larges zones non vascularisées. Grade II – vascularisation conjonctivale de densité modérée. Grade III – vascularisation conjonctivale dense : vaisseaux dilatés tortueux persistance de zones avasculaires. Grade IV – vascularisation conjonctivale très dense : vaisseaux dilatés tortueux, très rares zones non vascularisées.
) et un groupe ayant des conjonctives hypervascularisées (grades III-IV de la classification en OCT-A préopératoire et/ou score > 30 % de surface vasculaire après binarisation), il est apparu que les patients qui avaient une conjonctive très vascularisée en préopératoire avaient une pression intra-oculaire (PIO) préopératoire moyenne plus élevée : 30,6 mmHg versus 22,9 mmHg. Il y avait aussi significativement plus de needlings dans le groupe des conjonctives très vascularisées en préopératoire (grades III-IV) avec 83 % des yeux ayant eu un needling au cours du suivi contre 18 % dans le groupe des conjonctives peu vascularisées (grades I-II; fig. 3-63
Fig. 3-63
Proportion d'yeux ayant nécessité unneedlingou la reprise d'un traitement hypotonisant au cours du suivi en fonction de la vascularisation conjonctivale préopératoire évaluée en OCT-A.
). Concernant la reprise d'un traitement hypotonisant, 83 % des patients du groupe III-IV ont repris des collyres hypotonisants en postopératoire contre 27 % des patients du groupe I-II. La comparaison de la densité moyenne de microkystes évaluée par l'OCT-A en fonction de la densité vasculaire conjonctivale préopératoire a montré aussi qu'il y avait significativement plus de microkystes intra-épithéliaux au sein des bulles de filtration à 1 semaine, 1 mois et 6 mois postopératoires chez les patients ayant une conjonctive peu vascularisée en préopératoire. Or ces microkystes ont une valeur pronostique favorable importante et sont les témoins du bon succès de la chirurgie [ 10 , 11 ]. Une corrélation positive statistiquement significative était également retrouvée entre la densité vasculaire conjonctivale préopératoire et la PIO moyenne à 1 semaine, 1 mois et 6 mois postopératoires avec respectivement : p = 0,0027, p = 0,0002 et p = 0,0053 (test de corrélation de Spearman) ( fig. 3-64
Fig. 3-64
Corrélation entre la densité vasculaire conjonctivale préopératoire et la pression intra-oculaire 1 semaine et 6 mois après chirurgie filtrante.a. 1 semaine postopératoire, test de corrélation de Spearman: r = 0,5960; IC 95% =[0,2314; 0,8138]; p = 0,0027. b. 6 mois postopératoire, test de corrélation de Spearman: r = 0,5614; IC 95 % = [0,181453; 0,795466]; p = 0,0053.
).
Bien qu'aucune classification précise ne soit encore établie, l'examen en OCT-A du segment antérieur apporte donc des éléments sémiologiques supplémentaires par rapport à l'examen clinique et apparaît comme un complément de celui-ci dans le suivi des patients opérés de chirurgie filtrante.
Vaisseaux iriens
La microvascularisation de l'iris a été déjà largement étudiée par angiographie à la fluorescéine [ 12 ], une technique peu invasive, mais qui peut exposer le patient à des réactions allergiques potentiellement sévères et ne peut être facilement répétée. L'OCT-A de l'iris semble être en mesure de montrer précocement des vaisseaux très difficiles à photographier ou à observer cliniquement par un examen à la lampe à fente. Les angiogrammes de l'iris montrent les vaisseaux radiaires de l'iris dans les yeux normaux de couleur claire ( fig. 3-65
Fig. 3-65
a, b. Système vasculaire de l'iris en OCT-A montrant les vaisseaux normaux de l'iris. En bas, les vaisseaux de l'iris (points rouges) sont superposés sur l'image de la coupe transversale en OCT et montrent leur profondeur.
). Dans les iris plus foncés, le pigment produit des ombres et des artéfacts qui masquent le système vasculaire. Zett et al. [ 13 ] ont mené une étude prospective sur 20 yeux de 10 patients avec des iris de pigmentations variables et ont montré que l'OCT-A permettait de visualiser significativement plus de vaisseaux iriens que l'angiographie à la fluorescéine. L'OCT-A révèle ainsi le réseau vasculaire irien normal qui est disposé de manière radiaire dans le stroma, et ce d'autant plus facilement que l'iris est peu pigmenté [ 14 , 15 ].
L'intérêt majeur des angiogrammes de l'iris est d'évaluer la rubéose irienne comme on le voit sur la figure 3-66
Fig. 3-66
OCT-A montrant une rubéose irienne corréléeàune photographie en lampe à fente.
. Les stades précoces peuvent être observés beaucoup plus facilement qu'avec la lampe à fente et des mesures répétées peuvent être effectuées. Cela peut être d'un intérêt considérable après occlusion veineuse rétinienne ou dans la rétinopathie diabétique. Dans l'étude de Roberts et al. [ 15 ], l'OCT-A a permis de détecter quatre cas de rubéose précoce ou en cours de régression non diagnostiquée en lampe à fente. Une classification de la rubéose a pu être proposée en OCT-A :
  • stade 1 : couronne de vaisseaux iriens fins et tortueux autour du bord pupillaire;
  • stade 2 : vaisseaux plus larges et plus tortueux le long du bord pupillaire et visibles à la racine de l'iris;
  • stade 3 : connexions entre les vaisseaux anormaux du bord pupillaire et ceux de la racine de l'iris. Les néovaisseaux sont très tortueux et aussi larges que des vaisseaux iriens normaux.
Des tumeurs iriennes ont aussi pu être diagnostiquées ou tout au moins analysées avec cette technologie. Kang et al. [ 16 ] puis Chien et al. [ 17 ] ont décrit l'aspect en OCT-A d'hémangiomes iriens avec la visualisation d'une lésion en relief du bord pupillaire associée à une tortuosité des vaisseaux iriens en regard. L'OCT-A permet également de décrire et quantifier la vascularisation au sein des mélanomes ou nævi iriens. Skalet et al. ont montré que la densité vasculaire était significativement plus élevée au sein des mélanomes : 34,5 % contre 8 % dans les nævi ou au sein des iris normaux. La régression du mélanome après radiothérapie était associée à une diminution de la densité vasculaire [ 18 ].
Vaisseaux sanguins ou lymphatiques ?
La lymphangiogenèse cornéenne et conjonctivale joue un rôle critique dans les processus malins, inflammatoires ou infectieux de la surface oculaire et dans le rejet de greffe de cornée. Il n'existe aucune méthode simple reconnue pour visualiser et analyser les vaisseaux lymphatiques de la cornée humaine et de la conjonctive in vivo. L'ICG a été récemment utilisé avec succès pour l'imagerie des vaisseaux lymphatiques dans la cornée [ 19 ] et la conjonctive [ 20 ]. Il est donc possible théoriquement d'appliquer l'OCT-A pour détecter les vaisseaux lymphatiques. Comme on le voit sur de nombreuses images du segment antérieur en infrarouge ou en photographie à la lampe à fente, il est remarquable que la densité vasculaire soit toujours beaucoup plus importante dans les scans d'OCT-A. Cela suggère que les vaisseaux non visibles à la lampe à fente peuvent correspondre à un réseau vasculaire de nature différente, tel que les vaisseaux lymphatiques. En effet, le principe de l'OCT-A repose sur la reconstruction d'éléments en mouvement, et non sur la couleur, la réflectivité ou la densité optique. Par conséquent, il est tout à fait possible que l'OCT-A fournisse de manière totalement non invasive des images d'un réseau vasculaire non visible constitué de vaisseaux lymphatiques et parallèles aux vaisseaux sanguins. Jusqu'à présent, seule la microscopie confocale in vivo permettait d'évaluer sans injection d'un colorant le double réseau ( fig. 3-67
Fig. 3-67
Image en microscopie confocale du double réseau lymphatique et vasculaire sanguin (flèches).Les vaisseaux sont légèrement différents : paroi des lymphatiques plus fine, mal visible, flux plus lent, voire bidirectionnel.
) mais cette technique reste complexe, longue et ne peut analyser que de petites surfaces, même si son extraordinaire résolution permet d'obtenir des images quasi histologiques.
Conclusion
L'OCT-A du segment antérieur peut être très utile pour une évaluation objective de la néovascularisation cornéenne, ainsi que des réseaux vasculaires de la conjonctive ou de l'iris. Bien que l'angiographie à la fluorescéine ou à l'ICG soit utile pour dévoiler les systèmes vasculaires du segment antérieur, ces techniques potentiellement invasives ne sont pas effectuées en routine pour l'évaluation du segment antérieur et peuvent difficilement être répétées pour évaluer l'évolution de la maladie ou la réponse au traitement.
BIBLIOGRAPHIE
1
Kirwan RP, Zheng Y, Tey A, et al. Quantifying changes in corneal neovascularization using fluorescein and indocyanine green angiography, Am J Ophthalmol 2012; 154 : 850 - 858.
2
Easty DL, Bron AJ, Fluorescein angiography of the anterior segment. Its value in corneal disease, Br J Ophthalmol 1971; 55 : 671 - 682.
3
Chalam KV, Sambhav K, Optical coherence tomography angiography in retinal diseases, J Ophthalmic Vis Res 2016; 11 : 84 - 92.
4
Ang M, Cai Y, MacPhee B, et al. Optical coherence tomography angiography and indocyanine green angiography for corneal vascularisation, Br J Ophthalmol 2016; 100 : 1557 - 1563.
5
Ang M, Cai Y, Shahipasand S, et al. En face optical coherence tomography angiography for corneal neovascularisation, Br J Ophthalmol 2016; 100 : 616 - 621.
6
Ang M, Sim DA, Keane PA, et al. Optical coherence tomography angiography for anterior segment vasculature imaging, Ophthalmology 2015; 122 : 1740 - 1747.
7
Riedl JC, Wasielica-Poslednik J, Weyer-Elberich V, et al. Visualization of corneal vascularization in peripheral hypertrophic subepithelial corneal opacification with OCT angiography, Acta Ophthalmol 2018;
8
Alsagoff Z, Chew PT, Chee CK, et al. Indocyanine green anterior segment angiography for studying conjunctival vascular changes after trabeculectomy, Clin Experiment Ophthalmol 2001; 29 : 22 - 26.
9
Baudouin C, Hayek S, El Maftouhi A, Optical Coherence Tomography Angiography and Anterior Segment Vasculature, Chow D, OCT Angiography, 2018, Thieme ,
10
Amar N, Labbé A, Hamard P, et al. Filtering blebs and aqueous pathway an immunocytological and in vivo confocal microscopy study, Ophthalmology 2008; 115 : 1154 - 1161.
11
Meziani L, Tahiri Joutei Hassani R, El Sanharawi M, et al. Evaluation of blebs after filtering surgery with en-face anterior-segment optical coherence tomography : a pilot study, J Glaucoma 2016; 25 : 550 - 558.
12
Parodi MB, Bondel E, Russo D, Ravalico G, Iris indocyanine green videoangiography in diabetic iridopathy, Br J Ophthalmol 1996; 80 : 416 - 419.
13
Zett C, Stina DMR, Kato RT, et al. Comparison of anterior segment optical coherence tomography angiography and fluorescein angiography for iris vasculature analysis, Graefes Arch Clin Exp Ophthalmol 2018; 256 : 683 - 691.
14
Allegrini D, Montesano G, Pece A, Optical coherence tomography angiography in a normal iris, Ophthalmic Surg Lasers Imaging Retina 2016; 47 : 1138 - 1139.
15
Roberts PK, Goldstein DA, Fawzi AA, Anterior segment optical coherence tomography angiography for identification of iris vasculature and staging of iris neovascularization : a pilot study, Curr Eye Res 2017; 42 : 1136 - 1142.
16
Kang AS, Welch RJ, Sioufi K, et al. Optical coherence tomography angiography of iris microhemangiomatosis, Am J Ophthalmol Case Rep 2017; 6 : 24 - 26.
17
Chien JL, Sioufi K, Ferenczy S, et al. Optical coherence tomography angiography features of iris racemose hemangioma in 4 cases, JAMA Ophthalmol 2017; 135 : 1106 - 1110.
18
Skalet AH, Li Y, Lu CD, et al. Optical coherence tomography angiography characteristics of iris melanocytic tumors, Ophthalmology 2017; 124 : 197 - 204.
19
Romano V, Steger B, Zheng Y, et al. Angiographic and in vivo confocal microscopic characterization of human corneal blood and presumed lymphatic neovascularization : a pilot study, Cornea 2015; 34 : 1459 - 1465.
20
Freitas-Neto CA, Costa RA, Kombo N, et al. Subconjunctival indocyanine green identifies lymphatic vessels, JAMA Ophthalmol 2015; 133 : 102 - 104.
APPLICATIONS DE L'OCT À L'ÉTUDE DU FILM LACRYMAL ET DES MALADIES DE SURFACE OCULAIRE

C. BAUDOUIN,

W. GHOUALI,

R. TAHIRI JOUTEI HASSANI,

A. HERBAUT,

A. LABBÉ

Introduction
Grâce aux progrès technologiques qui ont amélioré leur résolution mais aussi simplifié leur utilisation, plusieurs techniques d'imagerie morphologique de la surface oculaire sont désormais accessibles aux cliniciens. Parmi celles-ci, l'OCT offre aujourd'hui une approche macroscopique de l'ensemble des tissus qui composent la surface oculaire, notamment le film lacrymal, le limbe ou encore les paupières et les glandes de Meibomius.
Film lacrymal et sécheresses oculaires
Le film lacrymal, outre son rôle réfractif majeur, constitue la deuxième ligne de défense de la surface oculaire après les paupières. Il s'organise en trois couches très étroitement intriquées : la couche lipidique, la couche aqueuse et la couche muqueuse. Toute anomalie de la forme, de la structure ou du renouvellement du film lacrymal est susceptible d'avoir un retentissement direct sur ses propriétés aussi bien réfractives que protectrices et d'altérer la qualité de vie du patient.
L'intérêt de l'évaluation du film lacrymal se trouve surtout dans l'exploration du syndrome d'œil sec, aussi bien par déficit de sécrétion que par évaporation. Actuellement, les tests standardisés utilisés pour évaluer le syndrome sec et la surface oculaire (temps de rupture du film lacrymal, test de Schirmer, recherche de symptômes) ont une fiabilité et une reproductibilité faibles [ 1 ]. De plus, il n'y a pas de corrélation évidente entre les symptômes subjectifs du patient et les signes cliniques objectifs. La microscopie confocale in vivo offre des résolutions quasi histologiques et reste la technique la plus élaborée pour analyser la cornée, le limbe et la conjonctive. Elle demeure cependant une technique relativement complexe, avec un appareillage et une expertise assez peu répandus. L'OCT, par sa simplicité, sa généralisation progressive et les larges surfaces de tissu que cette technique permet de balayer, est extrêmement prometteur, même s'il garde une résolution encore insuffisante pour une approche cellulaire. Avec l'avènement de la technologie SD, l'OCT a toutefois largement amélioré la qualité des images obtenues ( fig. 3-68
Fig. 3-68
OCT-SS d'une bulle de filtration montrant l'épithélium conjonctival et sa jonction avec le limbe et la cornée.
) et déjà démontré un réel apport dans l'exploration du film lacrymal et de la surface oculaire [ 2 ].
MESURE DE L'ÉPAISSEUR DU FILM LACRYMAL
Le volume du film lacrymal est d'environ 7 à 9 μl. L'épaisseur réelle du film lacrymal reste controversée et varie entre 7 et 40 µm selon les auteurs [ 3 , 4 ]. L'instabilité du film lacrymal pré-cornéen est un des principaux mécanismes physiopathologiques impliqués dans le syndrome d'œil sec. L'OCT de cornée montre le film lacrymal sous l'aspect d'une couche hyper-réflective d'environ 4,8 à 5 µm ( fig. 3-69
Fig. 3-69
Film lacrymal pré-cornéen visible sous l'aspect d'une ligne hyper-réflective.
) [ 5 , 6 ], dont l'épaisseur augmente après instillation de larmes artificielles de type acide hyaluronique notamment [ 7 , 8 ]. La mesure directe de l'épaisseur du film lacrymal reste néanmoins peu évidente en pratique clinique du fait de la résolution actuelle des OCT commercialisés, mais aussi du fait des variations d'épaisseur du film lacrymal au cours du temps, notamment après chaque clignement palpébral.
ÉTUDE DU MÉNISQUE LACRYMAL
L'étude du ménisque de larmes constitue une alternative intéressante à la mesure directe de l'épaisseur du film lacrymal. La plus grande partie du film lacrymal se trouve en effet au niveau du ménisque de larmes, qui correspond au réservoir concave de larmes situé au niveau des marges palpébrales supérieure et inférieure ( fig. 3-70
Fig. 3-70
Ménisque lacrymal normal.
). La hauteur, le rayon et la profondeur du ménisque de larmes peuvent être mesurés avec précision par OCT [ 9 ]. L'étude de la dynamique du ménisque lacrymal au cours du temps est également possible [ 10 ]. Plusieurs études ont montré une diminution de la hauteur et du rayon du ménisque de larmes dans la sécheresse oculaire ( fig. 3-71
Fig. 3-71
Diminution du ménisque lacrymal en cas de sécheresse oculaire.
) [ 11–13 ]. Par ailleurs, les paramètres d'évaluation du ménisque de larmes semblent être corrélés avec les paramètres cliniques comme le break-up time (BUT) ou le test de Schirmer [ 14 , 15 ]. La visualisation du ménisque de larmes par l'OCT pourrait également présenter un intérêt dans la pharmacologie des larmes artificielles dont l'efficacité et le comportement sur la surface oculaire sont encore assez mal évalués. Plusieurs études ont objectivé une augmentation de l'épaisseur du film lacrymal pré-cornéen ainsi que de la hauteur du ménisque de larmes après administration de larmes artificielles [ 16 , 17 ]. Enfin, l'OCT a également montré l'efficacité de l'occlusion des points lacrymaux, avec une augmentation des mesures du ménisque lacrymal chez les sujets atteints de sécheresse oculaire, mais sans changement significatif des paramètres chez les sujets sains, traduisant chez ces derniers la présence d'un mécanisme d'autorégulation du système lacrymal [ 18 ].
De même, les pathologies cornéennes peuvent être examinées grâce à la large surface explorée soit sur les échographies en mode B ( fig. 3-72
Fig. 3-72
Kératite sèche marquée par des zones hyper-réflectives en OCT, correspondant aux zones prenant la fluorescéine à la lampe à fente.Noter la profondeur des zones pathologiques.
), soit par l'OCT en face ( fig. 3-73
Fig. 3-73
Hyper-réflectivité des lésions cornéennes secondairesàune sécheresse oculaire sévère en OCT en face.
). Néanmoins, une meilleure résolution ainsi que la possibilité d'explorer toute la surface cornéenne restent nécessaires avant de placer l'OCT comme un outil d'évaluation de routine de la surface oculaire.
Jonction limbique
GÉNÉRALITÉS
Le limbe joue un rôle majeur dans le renouvellement de l'épithélium cornéen et le maintien de la transparence cornéenne grâce à des niches de cellules souches situées dans les palissades de Vogt du limbe [ 19 ]. En pratique clinique, le limbe reste difficile à étudier. Les palissades de Vogt sont en effet observées de façon inconstante en lampe à fente ( fig. 3-74
Fig. 3-74
Palissades de Vogt à la lampe à fente chez un patient mélanoderme.
) [ 20 ].
La microscopie confocale est actuellement le gold standard pour l'étude du limbe et l'identification des palissades de Vogt [ 21 ]. Néanmoins, cet examen reste invasif, opérateur-dépendant et ne permet que d'explorer une surface de 400 µm sur 400 µm à la fois. L'OCT-SD, du fait de son caractère non invasif et des larges fenêtres d'exploration possibles, offre une approche anatomique et indirectement fonctionnelle du limbe [ 22 ].
MESURE DE L'ÉPAISSEUR DE L'ÉPITHÉLIUM CORNÉEN PAR OCT
Les épithéliums de la surface oculaire ont fait l'objet de nombreuses études [ 23–25 ], tant par microscopie confocale que par immunohistochimie, permettant d'améliorer la connaissance de la physiopathologie des affections de la surface oculaire tels que les syndromes secs, les conjonctivites allergiques ou encore la toxicité des collyres et conservateurs. Avec l'avènement de la technologie SD, l'amélioration de la résolution des images acquises a permis d'étudier de façon plus précise l'épaisseur des épithéliums conjonctival, cornéen et limbique. Plusieurs études amènent à penser que l'épaisseur de l'épithélium limbique est le reflet de l'existence de palissades de Vogt et donc des niches de cellules souches limbiques ( fig. 3-75
Fig. 3-75
Image de profil de l'épithélium limbique, plus épais au niveau des palissades qu'aux niveaux cornéen et conjonctival en arrière du limbe.
) [ 26 , 27 ]. Francoz et al. ont ainsi étudié l'épaisseur de l'épithélium limbique et montré que son épaisseur était plus importante dans les régions supérieure et inférieure, recouvertes par les paupières qui ont un rôle protecteur des niches de cellules souches limbiques [ 28 ]. De plus, l'épaisseur épithéliale limbique diminue chez les patients souffrant de sécheresse oculaire, cette diminution étant notamment corrélée à la sévérité des symptômes dans l'étude de Liang et al. [ 29 ]. Enfin, l'épaisseur de l'épithélium limbique semble également diminuer avec l'âge [ 30 ]. Ces différents travaux vont dans le sens des études du limbe réalisées auparavant en microscopie confocale ou en immunohistochimie [ 31 , 32 ].
OCT EN FACE DU LIMBE
L'OCT en face, bien qu'essentiellement décrit dans l'étude des affections choriorétiniennes, permet également d'obtenir une imagerie de la surface oculaire en reconstituant des coupes frontales à partir de l'acquisition des coupes axiales d'OCT [ 33 ]. Cette technique garde une résolution trop faible (voir fig. 3-73 ) pour remplacer l'examen à la lampe à fente ou la microscopie confocale mais elle donne des informations importantes sur des pathologies limbiques ou conjonctivales comme le conjonctivo-chalasis qui semble être associé à une distension vasculaire, veineuse ou plus probablement lymphatique ( fig. 3-76
Fig. 3-76
Conjonctivo-chalasis en coupe OCT structurel.Noter la cavité hyporéflective.
et 3–77
Fig. 3-77
Conjonctivo-chalasis en OCT en face.Des vaisseaux, probablement lymphatiques, sont très dilatés et connectés en réseaux.
).
Les palissades de Vogt ont également pu être décrites dans deux études réalisées ex vivo [ 34 , 35 ]. Récemment, Ghouali et al. ont démontré la possibilité de visualiser in vivo et de façon reproductible les palissades de Vogt, dont l'aspect en OCT en face est corrélé avec les images obtenues en microscopie confocale [ 36 ]. Les palissades de Vogt apparaissent comme un réseau de crêtes hyper-réflectives, à orientation radiaire, dont le degré de visualisation varie en fonction de la localisation, de l'âge du patient, de l'existence ou non d'un syndrome sec ainsi que de l'importance du syndrome sec ( fig. 3-78
Fig. 3-78
Palissades de Vogt en coupe transversale.Noter les crêtes hyper-réflectives au sein de l'épithélium.
et 3–79
Fig. 3-79
Palissades de Vogt en OCT en face.
). En effet, les palissades de Vogt sont moins bien visualisées chez les patients avec un syndrome sec sévère, pouvant traduire, dans ce contexte d'inflammation chronique de la surface oculaire [ 37 ], une véritable destruction des palissades de Vogt comme on l'observe dans les syndromes de déficit en cellules souches limbiques où l'épithélium paraît plus épais avec d'importantes variations d'épaisseurs [ 38 ].
Paupières et glandes de Meibomius
Les glandes de Meibomius, situées dans les paupières, représentent une structure anatomique essentielle de la surface oculaire, responsable de la sécrétion de la composante lipidique du film lacrymal. Les dysfonctionnements des glandes de Meibomius (DGM) sont considérés comme la première cause de sécheresse oculaire. En pratique clinique, l'analyse des glandes de Meibomius s'effectue lors de l'examen biomicroscopique des paupières. Cette analyse peut être complétée par une meibographie qui demeure la technique d'exploration de référence pour l'évaluation et la quantification des dysfonctionnements meibomiens. Récemment, plusieurs études ont également démontré l'intérêt de l'OCT pour visualiser et surtout quantifier précisément l'atteinte des glandes de Meibomius dans les DGM. Liang et al. ont ainsi montré que la quantification de la longueur et de la largeur des glandes de Meibomius en OCT était corrélée aux symptômes et aux signes cliniques d'atteinte de la surface oculaire des patients atteints de DGM ( fig. 3-80
Fig. 3-80
Image en OCT de segment antérieur des glandes de Meibomius.a. Glandes de Meibomius normales. b. Atrophie des glandes de Meibomius dans un cas de dysfonctionnement meibomien.
) [ 39 ]. Cette technique pourrait ainsi constituer dans le futur une nouvelle méthode d'analyse non invasive des glandes de Meibomius.
Limites et développements futurs
Une des principales limites de l'OCT reste sa faible résolution, qui ne renseigne pas sur les détails cellulaires au niveau de la région limbique. L'OCT plein champ est une technique alternative actuellement en développement dans le domaine de l'ophtalmologie. À la différence d'un OCT conventionnel, qui utilise un capteur d'image tel qu'une camera charge coupled device (CCD), l'OCT plein champ permet d'obtenir des coupes sans balayage à partir d'un microscope interférométrique éclairé par une source de lumière thermique. Les images acquises dans le plan frontal sont semblables à celles obtenues par la microscopie confocale conventionnelle. Mazlin et al. ont récemment présenté un prototype permettant une étude des différentes structures cornéennes avec une résolution de 1,7 µm et une fenêtre d'exploration de 1,26 mm sur 1,26 mm [ 40 ]. De futurs développements de cette technologie permettront sans doute de bénéficier d'un nouvel outil non invasif d'exploration de la surface oculaire avec une résolution quasi histologique.
BIBLIOGRAPHIE
1
Nichols KK, Mitchell GL, Zadnik K, The repeatability of clinical measurements of dry eye, Cornea 2004; 23 : 272 - 285.
2
Ang M, Baskaran M, Werkmeister RM, et al. Anterior segment optical coherence tomography, Prog Retin Eye Res 2018; 66 : 132 - 156.
3
Prydal Ji, Artal P, Woon H, Campbell FW, Study of human precorneal tear film thickness and structure using laser interferometry, Invest Ophthalmol Vis Sci 1992; 33 : 2006 - 2011.
4
Prydal JI, Campbell FW, Study of precorneal tear film thickness and structure by interferometry and confocal microscopy, Invest Ophthalmol Vis Sci 1992; 33 : 1996 - 2005.
5
Bai Y, Nichols JJ, Advances in thickness measurements and dynamic visualization of the tear film using non-invasive optical approaches, Prog Retin Eye Res 2017; 58 : 28 - 44.
6
Werkmeister RM, Alex A, Kaya S, et al. Measurement of tear film thickness using ultrahigh-resolution optical coherence tomography, Invest Ophthalmol Vis Sci 2013; 54 : 5578 - 5583.
7
Wozniak PA, Schmidl D, Bata AM, et al. Effect of different lubricant eye gels on tear film thickness as measured with ultrahigh-resolution optical coherence tomography, Acta Ophthalmol 2017; 95 : e307 - e313.
8
Kaya S, Schmidl D, Schmetterer L, et al. Effect of hyaluronic acid on tear film thickness as assessed with ultra-high resolution optical coherence tomography, Acta Ophthalmol 2015; 93 : 439 - 443.
9
Fukuda R, Usui T, Miyai T, et al. Tear meniscus evaluation by anterior segment swept-source optical coherence tomography, Am J Ophthalmol 2013; 155 : 620 - 624.
10
Garaszczuk IK, Mousavi M, Cervino Exposito A, et al. Evaluating tear clearance rate with optical coherence tomography, Cont Lens Anterior Eye 2018; 41 : 54 - 59.
11
Ibrahim OM, Dogru M, Takano Y, et al. Application of visante optical coherence tomography tear meniscus height measurement in the diagnosis of dry eye disease, Ophthalmology 2010; 117 : 1923 - 1929.
12
Akiyama R, Usui T, Yamagami S, Diagnosis of dry eye by tear meniscus measurements using anterior segment swept source optical coherence tomography, Cornea 2015; 34(Suppl 11) : S115 - S120.
13
Qiu X, Gong L, Sun X, Jin H, Age-related variations of human tear meniscus and diagnosis of dry eye with Fourier-domain anterior segment optical coherence tomography, Cornea 2011; 30 : 543 - 549.
14
Raj A, Dhasmana R, Nagpal RC, Anterior segment optical coherence tomography for tear meniscus evaluation and its correlation with other tear variables in healthy individuals, J Clin Diagn Res 2016; 10 : NC01 - NC04.
15
Altan-Yaycioglu R, Sizmaz S, Canan H, Coban-Karatas M, Optical coherence tomography for measuring the tear film meniscus : correlation with schirmer test and tear-film breakup time, Curr Eye Res 2013; 38 : 736 - 742.
16
Napoli PE, Satta GM, Coronella F, Fossarello M, Spectral-domain optical coherence tomography study on dynamic changes of human tears after instillation of artificial tears, Invest Ophthalmol Vis Sci 2014; 55 : 4533 - 4540.
17
Akiyama-Fukuda R, Usui T, Yoshida T, Yamagami S, Evaluation of tear meniscus dynamics using anterior segment swept-source optical coherence tomography after topical solution instillation for dry eye, Cornea 2016; 35 : 654 - 658.
18
Ibrahim OM, Dogru M, Kojima T, et al. OCT assessment of tear meniscus after punctal occlusion in dry eye disease, Optom Vis Sci 2012; 89 : E770 - E776.
19
Dua HS, Azuara-Blanco A, Limbal stem cells of the corneal epithelium, Surv Ophthalmol 2000; 44 : 415 - 425.
20
Zheng T, Xu J, Age-related changes of human limbus on in vivo confocal microscopy, Cornea 2008; 27 : 782 - 786.
21
Miri A, Al-Aqaba M, Otri AM, et al. In vivo confocal microscopic features of normal limbus, Br J Ophthalmol 2012; 96 : 530 - 536.
22
Haagdorens M, Behaegel J, Rozema J, et al. A method for quantifying limbal stem cell niches using OCT imaging, Br J Ophthalmol 2017; 101 : 1250 - 1255.
23
Lopin E, Deveney T, Asbell PA, Impression cytology : recent advances and applications in dry eye disease, Ocul Surf 2009; 7 : 93 - 110.
24
Baudouin C, Labbé A, Liang H, et al. Preservatives in eyedrops : the good, the bad and the ugly, Prog Retin Eye Res 2010; 29 : 312 - 334.
25
McLaren JW, Nau CB, Erie JC, Bourne WM, Corneal thickness measurement by confocal microscopy, ultrasound, and scanning slit methods, Am J Ophthalmol 2004; 137 : 1011 - 1020.
26
Le Q, Yang Y, Deng SX, Xu J, Correlation between the existence of the palisades of Vogt and limbal epithelial thickness in limbal stem cell deficiency, Clin Experiment Ophthalmol 2017; 45 : 224 - 231.
27
Mehtani A, Agarwal MC, Sharma S, Chaudhary S, Diagnosis of limbal stem cell deficiency based on corneal epithelial thickness measured on anterior segment optical coherence tomography, Indian J Ophthalmol 2017; 65 : 1120 - 1126.
28
Francoz M, Karamoko I, Baudouin C, Labbé A, Ocular surface epithelial thickness evaluation with spectral-domain optical coherence tomography, Invest Ophthalmol Vis Sci 2011; 52 : 9116 - 9123.
29
Liang Q, Liang H, Liu H, et al. Ocular surface epithelial thickness evaluation in dry eye patients : clinical correlations, J Ophthalmol 2016; 201 : 1628469.
30
Yang Y, Hong J, Deng SX, Xu J, Age-related changes in human corneal epithelial thickness measured with anterior segment optical coherence tomography, Invest Ophthalmol Vis Sci 2014; 55 : 5032 - 5038.
31
Shortt AJ, Secker GA, Munro PM, et al. Characterization of the limbal epithelial stem cell niche : novel imaging techniques permit in vivo observation and targeted biopsy of limbal epithelial stem cells, Stem Cells 2007; 25 : 1402 - 1409.
32
Zheng T, Xu J, Age-related changes of human limbus on in vivo confocal microscopy, Cornea 2008; 27 : 782 - 786.
33
Tahiri Joutei Hassani R, Liang H, El Sanharawi M, et al. En-face optical coherence tomography as a novel tool for exploring the ocular surface : a pilot comparative study to conventional B-scans and in vivo confocal microscopy, Ocul Surf 2014; 12 : 285 - 306.
34
Bizheva K, Hutchings N, Sorbara L, et al. In vivo volumetric imaging of the human corneo-scleral limbus with spectral domain OCT, Biomed Opt Express 2011; 2 : 1794 - 1802.
35
Lathrop KL, Gupta D, Kagemann L, et al. Optical coherence tomography as a rapid, accurate, noncontact method of visualizing the palisades of Vogt, Invest Ophthalmol Vis Sci 2012; 53 : 1381 - 1387.
36
Ghouali W, Tahiri Joutei Hassani R, Djerada Z, et al. In vivo imaging of palisades of Vogt in dry eye versus normal subjects using en-face spectral-domain optical coherence tomography, PLoS ONE 2017; 12 : e0187864.
37
Brignole F, Pisella PJ, Goldschild M, et al. Flow cytometric analysis of inflammatory markers in conjunctival epithelial cells of patients with dry eyes, Invest Ophthalmol Vis Sci 2000; 41 : 1356 - 1363.
38
Banayan N, Georgeon C, Grieve K, Borderie VM, Spectral-domain optical coherence tomography in limbal stem cell deficiency. A case-control study, Am J Ophthalmol 2018; 190 : 179 - 190.
39
Liang Q, Pan Z, Zhou M, et al. Evaluation of optical coherence tomography meibography in patients with obstructive meibomian gland dysfunction, Cornea 2015; 34 : 1193 - 1199.
40
Mazlin V, Xiao P, Dalimier E, et al. In vivo high resolution human corneal imaging using full-field optical coherence tomography, Biomed Opt Express 2018; 9 : 557 - 568.
ECTASIES

P. FOURNIÉ

Introduction
Les ectasies de la cornée se définissent par un amincissement non inflammatoire et par un bombement de la cornée. Elles bénéficient des progrès de l'OCT du segment antérieur avec une finalité exploratoire diagnostique et thérapeutique.
Diagnostic différentiel des ectasies
  • Kératocône : l'amincissement et le bombement cornéen sont localisés ( fig. 3-81
    Fig. 3-81
    Kératocône en lampe à fente (a) et en OCT (b).L'amincissement cornéen est focal, central ou paracentral. La cornée périphérique est d'épaisseur conservée.
    ).
  • Dégénérescence marginale pellucide : l'amincissement intéresse la cornée périphérique inférieure ( fig. 3-82
    Fig. 3-82
    Dégénérescence marginale pellucide en lampe à fente (a) et en OCT (b).L'amincissement cornéen intéresse une bande étroite inférieure de 1 à 2 mm de large, elle-même séparée du limbe par une zone de cornée normale. La cornée centrale est d'épaisseur normale et fait saillie au-dessus de la zone d'amincissement.
    ).
  • Ectasie post-Lasik : l'aspect est similaire à un kératocône, mais elle survient progressivement après un intervalle sain dans les suites d'une photo-ablation réfractive ( fig. 3-83
    Fig. 3-83
    Ectasie post-Lasik.L'OCT permet de mesurer le mur stromal résiduel, sous le volet du Lasik, témoin indirect de la résistance biomécanique de la cornée. La ligne pré-descemétique correspond à la ligne de démarcation après cross-linking cornéen.
    ).
  • Kératoglobe : l'amincissement de la cornée est diffus de limbe à limbe ( fig. 3-84
    Fig. 3-84
    Kératoglobe en lampe à fente (a) et en imagerie grand champ du segment antérieur OCT (b) ou Scheimpflug (c), qui permet de mettre en évidence un amincissement cornéen diffus.
    (Source fig. b : G. Baïkoff.)
    ).
  • Kératocône postérieur : maladie très rare, sans lien avec le kératocône, assimilée à une anomalie du développement et fréquemment associée à d'autres anomalies du segment antérieur ( fig. 3-85
    Fig. 3-85
    Imagerie OCT d'un kératocône postérieur avec augmentation de la courbure postérieure sans ectasie antérieure, ni amincissement.
    ).
Dépistage du kératocône
L'intérêt du dépistage d'un kératocône débutant infraclinique sur carte pachymétrique OCT épithéliale repose sur l'effet masque de l'épithélium. L'épaisseur de l'épithélium cornéen varie pour essayer de conserver un dioptre cornéen antérieur le plus régulier possible et peut retarder le diagnostic topographique classique [ 1 , 2 ]. L'épithélium s'épaissit sur les zones plates de stroma et, inversement, s'amincit sur les zones bombées d'ectasie cornéenne ( fig. 3-86
Fig. 3-86
Concordance dans un kératocône (OD à gauche) entre l'ectasie topographique (a), l'amincissement cornéen (b) et l'amincissement épithélial (c).L'intérêt pour le dépistage est surtout dans les formes suspectes ou frustes comme ici pour l'œil gauche (OG à droite) pour lequel l'amincissement épithélial (c) confirme l'effet masque de l'épithélium cornéen qui essaie de compenser l'ectasie débutante (a) alors même que l'amincissement total est minime (b).
(Source : G. Baïkoff.)
).
Stades évolutifs du kératocône et implications thérapeutiques
Selon le stade de la maladie, toutes les couches de la cornée peuvent être atteintes. L'examen clinique est contributif à un stade avancé de la maladie et reflète à des degrés variables : l'ectasie cornéenne, l'amincissement cornéen et les opacités cornéennes. L'OCT permet de raffiner l'examen clinique et d'affiner les indications thérapeutiques. Une classification morphologique OCT du kératocône a été récemment publiée [ 3 ]. L'épithélium cornéen est le plus souvent aminci en regard de l'apex du cône ( fig. 3-87
Fig. 3-87
Kératocône avec ectasie importante (a) et amincissement stromal cornéen majeur (b).L'épithélium est aminci au sommet de l'ectasie et, au contraire, épaissi sur les zones adjacentes (b).
). Des zones de rupture de la membrane épithéliale, associées à des interruptions de la couche de Bowman, peuvent être comblées par des cellules épithéliales ou du tissu conjonctival fibreux cicatriciel ( fig. 3-88
Fig. 3-88
Cicatrices réticulaires par ruptures de la couche de Bowman en lampe à fente (a) et en OCT (b) avec interruptions de la couche de Bowman irrégulière, comblées par une hyperplasie épithéliale qui permet de « lisser » la surface, fibrose stromale antérieure et hyper-réflectivité stromale sous-jacente.
). Un nodule apical peut être présent au sommet du cône, le plus souvent secondaire au frottement d'une lentille de contact ( fig. 3-89
Fig. 3-89
Nodule apical sous forme d'une aspérité cicatricielle fibreuse avant (a, b) puis après (c) photo-ablation thérapeutique.
). Le stroma est aminci avec une diminution du nombre de lamelles de collagène et une désorganisation spatiale ( fig. 3-87 , 3–90
Fig. 3-90
Désorganisation architecturale stromale avec variations d'épaisseur et de réflectivité sur la zone d'ectasie.
et 3–91
Fig. 3-91
Cornée amincie avec amincissement stromal important, hyperplasie épithéliale majeure et hyper-réflectivité stromale contiguë.L'épaississement épithélial ne correspond pas à l'apex du cône mais « comble » l'amincissement stromal. Cet aspect est compatible avec un risque accru d'hydrops.
). Si la membrane de Descemet et l'endothélium sont longtemps conservés dans le kératocône, les stades avancés peuvent s'accompagner de plis et de zones de rupture de la membrane de Descemet ( fig. 3-92
Fig. 3-92
Cicatrice descemétique profonde avec remaniements fibreux stromaux en lampe à fente (a) et en OCT (b).
et 3–93
Fig. 3-93
Hydrops cornéen ou kératocône aigu avec rupture localisée de la membrane de Descemet responsable d'un œdème cornéen aigu.Vues en lampe à fente et en OCT : une cavité intrastromale, remplie de liquide, peut être observée (a et b). Un mois après placement de sutures cornéennes non transfixiantes de rapprochement, l'œdème cornéen s'est résorbé (c et d).
). Des sutures cornéennes de rapprochement permettent parfois d'accélérer la résorption œdémateuse en rapprochant les berges descemétiques rompues [ 4 , 5 ]. Une adaptation de lentilles de contact peut être réalisée dans les suites ( fig. 3-94
Fig. 3-94
Verre scléral adapté sur une cornée remaniée, avec une interface liquide avec la cornée, évitant tout frottement mécanique sur la surface oculaire et compensant des déformations importantes.
). Si une greffe de cornée est nécessaire à distance, une greffe lamellaire peut parfois être réalisée mais laisse souvent une épaisseur stromale résiduelle [ 6 ]. L'interface stromale postopératoire d'une greffe lamellaire antérieure profonde peut également être explorée par OCT et expliquer des remaniements cicatriciels limitant la récupération visuelle ( fig. 3-95
Fig. 3-95
Remaniements stromaux profonds dans une greffe lamellaire antérieure profonde avec persistance de stroma résiduel fibreux et de plis en lampe à fente (a) et en OCT (b).
).
Conclusion
L'OCT cornéen a pris une place croissante dans l'exploration des ectasies cornéennes et fait partie aujourd'hui des explorations « de routine» indispensables à leur prise en charge.
BIBLIOGRAPHIE
1
Reinstein DZ, Archer TJ, Gobbe M, Corneal epithelial thickness profile in the diagnosis of keratoconus, J Refract Surg 2009; 25 : 604 - 610.
2
Zhou W, Stojanovic A, Comparison of corneal epithelial and stromal thickness distributions between eyes with keratoconus and healthy eyes with corneal astigmatism ≥ 2.0 D, PLoS One 2014; 9 : e85994.
3
Sandali O, El Sanharawi M, Temstet C, et al. Fourier-domain optical coherence tomography imaging in keratoconus : a corneal structural classification, Ophthalmology 2013; 120 : 2403 - 2412.
4
Fan Gaskin JC, Patel DV, McGhee CN, Acute corneal hydrops in keratoconus – New perspectives, Am J Ophthalmol 2014; 157 : 921 - 928.
5
Yahia Chérif H, Gueudry J, Afriat M, et al. Efficacy and safety of pre-Descemet's membrane sutures for the management of acute corneal hydrops in keratoconus, Br J Ophthalmol 2015; 99 : 773 - 777.
6
Nanavaty MA, Daya SM, Outcomes of deep anterior lamellar keratoplasty in keratoconic eyes with previous hydrops, Br J Ophthalmol 2012; 96 : 1304 - 1309.
KÉRATITES INFLAMMATOIRES ET INFECTIEUSES

D. GUINDOLET,

E. GABISON

Dans le cadre des kératites, l'OCT est utilisé pour étudier le remodelage de la cornée (amincissement, épaississement, fibrose), et les conséquences réfractives en résultant (aberrations optiques), ainsi que pour tenter de quantifier et monitorer l'activité infectieuse ou inflammatoire (infiltrat, néovaisseaux). Cependant, à ce jour, aucun signe OCT n'est pathognomonique d'une entité particulière et la corrélation avec la clinique pas toujours établie.
Analyse de la structure
L'OCT permet de mettre en évidence, de localiser et de quantifier un amincissement cornéen lié à une lyse stromale ou un épaississement cornéen lié à œdème ou à des dépôts lipidiques. Une cartographie de la pachymétrie cornéenne peut alors être établie ainsi qu'une carte différentielle pour le suivi dans le temps. L'épaisseur de l'épithélium cornéen peut désormais être étudiée pour ne pas négliger une hyperplasie épithéliale (épaississement) compensatrice, qui peut être observée en regard d'un amincissement du stroma; dans cette situation l'épaisseur cornéenne totale peut apparaître, à tort, comme normale.
L'OCT permet également d'objectiver un processus fibrosant, dont l'étude pourra être utile pour envisager une prise en charge thérapeutique (voir plus loin).
Analyse de l'activité
Le suivi dans le temps de la structure peut être un indicateur de l'activité de la kératite; ainsi un amincissement croissant du stroma au cours d'une kératite périphérique est un signe d'activité [ 1 ], ou encore la résolution d'un œdème cornéen après une endothélite. L'OCT peut aider à localiser un infiltrat dans l'épaisseur du stroma cornéen. La localisation de l'infiltrat par rapport à l'interface de découpe après chirurgie réfractive peut aider dans la réflexion étiologique [ 2 ].
Cependant, la résolution des OCT actuels ne permet que partiellement d'objectiver et de localiser une activité inflammatoire au sein du stroma cornéen, quand elle est peu intense. Des études comparant les acquisitions obtenues en OCT cornéen et en microscopie confocale in vivo (MCIV) démontrent la supériorité de cette dernière pour mettre en évidence une hyper-réflectivité évoquant une infiltration de cellules inflammatoires ou une réorganisation du stroma sans que cela soit visible en OCT [ 3 , 4 ].
L'OCT-A permet de documenter les néovaisseaux cornéens [ 5 ] de manière non invasive (sans injection de produit de contraste). À l'instar de l'angiographie à la fluorescéine ou au vert d'indocyanine, l'apport de cet examen est encore à définir.
Kératite infectieuse
Différents signes en OCT, isolés ou associés, sont observables au cours ou au décours des kératites infectieuses [ 6 ]. On distingue les modifications de signal suivantes :
  • hyper-réflectivité :
    • à la surface de la cornée, en lieu et place d'un défect épithélial, pouvant entrer dans le cadre d'une plaque muqueuse ou une plaque vernale;
    • stromale : généralement associée à l'infiltrat à la phase aiguë ou à une cicatrice stromale après guérison ( fig. 3-96g
      Fig. 3-96
      Amincissements cornéens.a, b. Amincissement stromal progressif au cours d'un ulcère périphérique de Mooren (flèche). c. Dégénérescence nodulaire de Salzmann visible sous la forme d'une hyper-réflectivité sous-épithéliale (flèche). d. Kératite en bandelettes visible sous la forme d'une hyper-réflectivité sous-épithéliale (flèches). e. Infiltrat stérile périphérique (hyper-réflectivité du stroma antérieur – flèches bleues) associé à une hypertrophie épithéliale (flèches blanches). f. Kératolyse aseptique perforée bouchée. Amincissement localisé du stroma (flèche blanche) avec incarcération de l'iris (flèche bleue). g. Kératite amibienne. Une hyper-réflectivité non systématisée du stroma est observable (flèche), h. Fibrose stromale cicatricielle d'un abcès bactérien (flèches blanches). On constate également un discret amincissement du stroma associé à une hyperplasie épithéliale (flèches bleues).
      );
    • rétro-cornéenne : évoquant une plaque endothéliale, des précipités rétro-cornéens.
  • hypo-réflectivité : intrastromale localisée d'aspect kystique ou de pleine épaisseur pouvant évoquer une nécrose stromale;
  • modifications architecturales :
    • défect épithélial ( fig. 3-96a );
    • épaississement cornéen localisé ou diffus associé à une hypo-réflectivité modérée du stroma, évoquant un œdème stromal;
    • amincissement stromal d'importance variable, associé ou non à une descemetocèle ( fig. 3-96e ).
L'OCT a été proposé pour monitorer l'évolution des kératites infectieuses, en mesurant l'aire de l'hyper-réflectivité stromale correspondant à l'infiltrat avec des acquisitions en face [ 7 ] ou transversales [ 8 ].
Une plaque endothéliale (PE) associée à une kératite infectieuse est facilement visible en OCT, ce qui n'est pas toujours le cas à la lampe à fente lors d'infiltrat dense et étendu. La PE associée à une kératite fongique correspond à une extension de l'abcès fongique dans la chambre antérieure après la fragmentation de la membrane de Descemet et la rupture de l'endothélium. Dans le cadre des kératites virales ou bactériennes, la PE correspond généralement à une réaction inflammatoire de la chambre antérieure et à un amas de fibrine en rétro-cornéen. L'OCT permet, parfois, de distinguer un espace ou une délimitation claire entre la cornée et la PE orientant vers une kératite virale ou bactérienne, alors qu'aucune délimitation claire n'est visible dans le cas d'une kératite fongique [ 9 ].
Kératite amibienne
La kératonévrite est observable en OCT [ 10 ]; on constate une hyper-réflectivité intrastromale sous la forme d'une bande ou d'une ligne continue, bien limitée, de 20 à 200 µm de large, localisée au milieu du stroma ou en sous-épithélial, parallèle à la surface ou d'orientation oblique vers l'épithélium (de la périphérie vers le centre de la cornée) ( fig. 3-96f ).
Endothélite infectieuse
On peut observer une augmentation locale ou diffuse de l'épaisseur cornéenne, reflétant l'œdème stromal lié à une dysfonction endothéliale; cette mesure peut être utilisée pour le suivi, elle n'est cependant pas toujours corrélée directement avec l'évolution clinique [ 11 ]. Au cours d'une endothélite à cytomégalovirus [ 11 ], un aspect en dents de scie des précipités rétro-cornéens a été décrit.
Kératite herpétique
L'OCT peut être utilisé pour évaluer des complications d'une kératite herpétique, qu'elle soit de forme épithéliale, stromale ou endothéliale, comme défini plus haut, ou encore les conséquences d'une kératite neurotrophique secondaire à l'infection herpétique.
Autres applications
L'OCT apporte des données « réfractives » en mesurant les aberrations optiques (AO), utiles pour évaluer le retentissement du remodelage cornéen secondaire à un épisode de kératite infectieuse [ 12 ]; la part d'AO imputable à la face postérieure (AOP) de la cornée est ainsi individualisable, utile pour expliquer certaines baisses d'acuité visuelle non corrigées par lentille de contact rigide; les AOP ont été décrites comme élément pronostique de la récupération visuelle après kératoplastie transfixiante ou lamellaire antérieure profonde [ 13 ]; les AOP peuvent également être incriminées dans les cas de récupération visuelle jugée insuffisante après kératoplastie [ 12 ].
Kératopathie inflammatoire
L'OCT peut apporter des précisions pour analyser les complications survenant au décours d'une chirurgie réfractive. L'OCT localise l'infiltrat (hyper-réflectivité intrastromale) par rapport à l'interface de chirurgie réfractive (Lasik ou SMILE). Une hyper-réflectivité centrée sur l'interface évoque plus volontiers une inflammation de l'interface ( diffuse lamellar keratitis ) [ 14 ], alors qu'une hyper-réflectivité non limitée à l'interface et s'étendant au stroma postérieur ou au volet fait évoquer une complication infectieuse [ 2 , 15 ]. En cas de syndrome inflammatoire de l'interface après une chirurgie de type SMILE, une infection bactérienne ou une kératite lamellaire diffuse se caractérisent par une inflammation plus ou moins homogène de part et d'autre de l'interface, alors qu'une kératite stromale herpétique intéresse de manière privilégiée le stroma antérieur en avant de l'interface dont les nerfs ont été préservés [ 2 ].
Une brèche épithéliale à la jonction du volet peut être visualisée à proximité d'une invasion épithéliale [ 16 ].
En cas d'infiltrats stériles périphériques (infiltrats catarrhaux), une hyper-réflectivité linéaire parallèle à l'épithélium localisée au niveau du stroma superficiel en périphérie de la cornée est observable [ 7 ].
L'OCT a été utilisé pour la description d'opacités stromales dans le cadre des kératites interstitielles :
  • linéaires [ 3 ];
  • d'épaississements localisés de la Descemet ( Descemet scroll ) [ 17 ].
Les filaments de kératite filamenteuse sont visibles sous la forme de structures arrondies ou linéaires hyper-réflectives posées à la surface d'un épithélium irrégulier [ 7 ].
Des dépôts au sein du stroma sont observables au cours de nombreuses pathologies, se traduisant par une hyper-réflectivité stromale d'intensité, d'étendue et de topographie variables ( fig. 3-96d ). Cela a été décrit au cours des kératites interstitielles [ 18 ].
Kératite en bandelettes
Cela correspond à un dépôt de calcaire au niveau de la couche de Bowman, de la membrane basale épithéliale et parfois du stroma antérieur. On observe une hyper-réflectivité épithéliale et sous-épithéliale ( fig. 3-96c ) associée ou non à des zones hypo-réflectives (kystes) [ 7 ].
Dégénérescence nodulaire de Salzmann
Fréquemment associée à une atteinte inflammatoire chronique de la surface oculaire (blépharite, syndrome sec, kératoconjonctivite vernale, trachome, port prolongé de lentilles de contact), la dégénérescence nodulaire de Salzmann est identifiable en OCT sous la forme d'une hyper-réflectivité sous-épithéliale associée à un amincissement épithélial, une élévation de la surface cornéenne et une disparition de la couche de Bowman ( fig. 3-96b ).
Thérapeutique
L'analyse en OCT est indispensable pour la planification d'une photokératectomie thérapeutique pour le traitement d'une cicatrice cornéenne ou la prise en charge d'un astigmatisme irrégulier. Dans le cas de l'astigmatisme irrégulier, l'objectif étant de régulariser la surface stromale, l'hyperplasie épithéliale (épaississement de l'épithélium cornéen en regard d'une zone d'amincissement stromal) est à prendre en considération.
BIBLIOGRAPHIE
1
Guindolet D, Reynaud C, Clavel G, et al. Management of severe and refractory Mooren's ulcers with rituximab, Br J Ophthalmol 2017; 101 : 418 - 422.
2
Guindolet D, Badaoui A, Elluard M, et al. Unusual severe interface inflammation after uneventful small incision lenticule extraction (SMILE), J Refract Surg 2016; 32 : 855 - 857.
3
Petrovic A, Hashemi K, Blaser F, et al. Characteristics of linear interstitial keratitis by in vivo confocal microscopy and anterior segment optical coherence tomography, Cornea 2018; 37 : 785 - 788.
4
Werkmeister RM, Sapeta S, Schmidl D, et al. Ultrahigh-resolution OCT imaging of the human cornea, Biomed Opt Express 2017; 8 : 1221 - 1239.
5
Brunner M, Romano V, Steger B, et al. Imaging of corneal neovascularization : optical coherence tomography angiography and fluorescence angiography, Invest Ophthalmol Vis Sci 2018; 59 : 1263 - 1269.
6
Soliman W, Fathalla AM, El-Sebaity DM, Al-Hussaini AK, Spectral domain anterior segment optical coherence tomography in microbial keratitis, Graefes Arch Clin Exp Ophthalmol 2013; 251 : 549 - 553.
7
Tahiri Joutei Hassani R, Liang H, El Sanharawi M, et al. En-face optical coherence tomography as a novel tool for exploring the ocular surface : a pilot comparative study to conventional B-scans and in vivo confocal microscopy, Ocul Surf 2014; 12 : 285 - 306.
8
Konstantopoulos A, Yadegarfar G, Fievez M, et al. In vivo quantification of bacterial keratitis with optical coherence tomography, Invest Ophthalmol Vis Sci 2011; 52 : 1093 - 1097.
9
Takezawa Y, Suzuki T, Shiraishi A, Observation of retrocorneal plaques in patients with infectious keratitis using anterior segment optical coherence tomography, Cornea 2017; 36 : 1237 - 1242.
10
Yamazaki N, Kobayashi A, Yokogawa H, et al. In vivo imaging of radial keratoneuritis in patients with Acanthamoeba keratitis by anterior-segment optical coherence tomography, Ophthalmology 2014; 121 : 2153 - 2158.
11
Kobayashi R, Hashida N, Soma T, et al. Clinical findings of anterior segment spectral domain optical coherence tomography images in cytomegalovirus corneal endotheliitis, Cornea 2017; 36 : 411 - 414.
12
Yamaguchi T, Shimizu E, Yagi-Yaguchi Y, et al. A Novel entity of corneal diseases with irregular posterior corneal surfaces : concept and clinical relevance, Cornea 2017; 36(Suppl 1) : S53 - S59.
13
Shimizu E, Yamaguchi T, Tomida D, et al. Corneal higher-order aberrations and visual improvement following corneal transplantation in treating herpes simplex keratitis, Am J Ophthalmol 2017; 184 : 1 - 10.
14
Zhao J, He L, Yao P, et al. Diffuse lamellar keratitis after small-incision lenticule extraction, J Cataract Refract Surg 2015; 41 : 400 - 407.
15
Chehaibou I, Sandali O, Ameline B, et al. Bilateral infectious keratitis after small-incision lenticule extraction, J Cataract Refract Surg 2016; 42 : 626 - 630.
16
Morales P, Camos-Carreras A, Spencer F, et al. Late-onset diffuse lamellar keratitis 15 years after laser in situ keratomileusis, Can J Ophthalmol 2017; 52 : e91 - e93.
17
Kasetsuwan N, Reinprayoon U, Chantaren P, Descemet's scroll in syphilitic interstitial keratitis : a case report with anterior segment evaluation and a literature review, Int Med Case Rep J 2015; 8 : 219 - 223.
18
Yazdanyar A, Rizzuti AE, Mechel E, et al. Gout keratitis : a case of peripheral ulcerative keratitis secondary to gout with a review of the literature, Cornea 2018; 37 : 379 - 381.
KÉRATITES NEUROTROPHIQUES ET TRAUMATIQUES

D. GUINDOLET,

E. GABISON

Kératite neurotrophique
La kératite neurotrophique est caractérisée par une altération des nerfs cornéens, pouvant être d'origines variées. La réduction de la sensibilité cornéenne, ainsi que la réduction de la production de facteur de croissance et des larmes se compliquent d'anomalies de la régénération de l'épithélium cornéen.
Les nerfs cornéens, à l'exception de certaines branches stromales, ne peuvent pas être visualisés avec les OCT actuels. En revanche, on peut observer les conséquences de la kératite neurotrophique. Un amincissement épithélial [ 1 ] peut être observé avec les techniques récentes de mesure de l'épaisseur de l'épithélium cornéen. En cas d'ulcération épithéliale, un retard de cicatrisation épithéliale peut être observé et peut se compliquer d'opacités stromales (fibrose stromale : fig. 3-97a
Fig. 3-97
Kératite neurotrophique stade 3 de la classification de Mackie.Une hyperplasie épithéliale est observable (flèches bleues) en regard de la zone d'amincissement stromal (flèches blanches). On peut par ailleurs observer une hyper-réflectivité stromale (flèches rouges) liée à une kératopathie lipidique (a) ou en rapport à une fibrose stromale (b).
), d'une néovascularisation stromale, d'un ulcère cornéen de profondeur et de surface variable, pouvant aller jusqu'au descemetocèle et la perforation cornéenne en l'absence de traitement. En cas d'amincissement stromal non cliniquement flagrant, l'OCT permet de différencier une érosion épithéliale d'une ulcération. De même sur une cornée déjà cicatrisée, l'association d'un amincissement cornéen localisé associé à une fibrose sous-épithéliale signe l'antécédent d'ulcération cornéenne ( fig. 3-97b ).
Kératite traumatique
Dans le cadre des kératites traumatiques, l'OCT permet d'objectiver les altérations immédiates de la cornée (plaie, œdème, défect épithélial ou stromal), le remodelage cornéen dans les suites (ulcération, amincissement stromal, fibrose cornéenne), les dépôts (débris de verre, corps étrangers) et d'éventuelles anomalies associées du segment antérieur (incarcération irienne, athalamie, etc.).
Après traumatisme, un œdème reflétant une dysfonction endothéliale localisée peut être observé cliniquement et en OCT qui aide alors à suivre l'évolution [ 2 , 3 ]; par ailleurs, les détachements de l'endothélio-Descemet sont également visualisables [ 4 ].
Différents corps étrangers ont été décrits en OCT; il s'agit généralement d'une hyper-réflectivité punctiforme ou de forme variable pouvant être retrouvée à n'importe quelle profondeur dans le stroma ( fig. 3-98
Fig. 3-98
Corps étranger intracornéen pré-descemétique vu en lampe à fente (a – tête de flèche blanche) et en OCT(b –tête de flèche verte).
) ou au sein du segment antérieur (corps étrangers divers [ 5 , 6 ], débris de verre, poils de tarentule [ 7 ] ou de chenille processionnaire [ 8 ]).
En cas de blessure cornéenne par un objet contondant, l'OCT peut permettre de visualiser la profondeur de la blessure et aider à déterminer si cette dernière était perforante (atteinte endothéliale associée) [ 9 ]. On pourra également évaluer la congruence des berges après suture d'une plaie transfixiante de cornée [ 10 , 11 ]. Les phénomènes de cicatrisation/réparation survenant après un traumatisme cornéen [ 12 ] sont également observables; on note généralement une augmentation progressive de la zone d'hyper-réflectivité au sein du stroma, correspondant à la formation de la cicatrice stromale, ainsi qu'une augmentation progressive de l'épaisseur du stroma; en parallèle, on observe une diminution progressive de l'hyperplasie épithéliale en regard de la cicatrice.
Après brûlure chimique par base, des modifications du stroma peuvent être observées, notamment une ligne de démarcation [ 13 ]; sa profondeur pourrait être associée à la sévérité de la brûlure. La planification d'une chirurgie de reconstruction de segment antérieur avec insuffisance en cellules souches limbiques, séquellaire d'une brûlure, repose sur l'examen clinique et l'OCT du stroma cornéen. Un stroma sain pourra permettre une chirurgie sans greffe de cornée associée.
Après chirurgie réfractive, l'OCT permet d'observer les irrégularités/plis du capot de Lasik en cas de dislocation post-traumatique de ce dernier [ 14 ], ainsi qu'une pressure-induced stromal keratopathy (PISK) [ 15 ], l'OCT met alors en évidence une poche hypo-réflective au niveau de l'interface correspondant à une accumulation de fluide.
BIBLIOGRAPHIE
1
Bouheraoua N, Hrarat L, Parsa CF, et al. Decreased corneal sensation and subbasal nerve density, and thinned corneal epithelium as a result of 360-degree laser retinopexy, Ophthalmology 2015; 122 : 2095 - 2102.
2
Reid GA, Musa F, OCT imaging of a traumatic endothelial ring, Cornea 2014; 33(9) : 952 - 954.
3
Wylegala E, Dobrowolski D, Nowiriska A, Tarnawska D, Anterior segment optical coherence tomography in eye injuries, Graefes Arch Clin Exp Ophthalmol 2009; 247 : 451 - 455.
4
Winn BJ, Lin SC, Hee MR, Chiù CS, Repair of descemet membrane detachments with the assistance of anterior segment optical coherence tomography, Arch Ophthalmol 2008; 126(5) : 730 - 732.
5
Werkmeister RM, Sapeta S, Schmidl D, et al. Ultrahigh-resolution OCT imaging of the human cornea, Biomed Opt Express 2017; 8 : 1221 - 1239.
6
Yang X, Liu C, Liu L, Zhang L, A missed diagnosis of multiple intraocular foreign bodies for 21 years, Contact Lens Anterior Eye 2017; 40 : 432 - 435.
7
Hu Y, Xu Y, The optical imaging of tarantula hair corneal injury : one case report and review of the literature, Photodiagnosis Photodyn Ther 2017; 19 : 352 - 354.
8
Jullienne R, He Z, Manoli P, et al. In vivo confocal microscopy of pine processionary caterpillar hair-induced keratitis, Cornea 2015; 34 : 350 - 352.
9
Ono T, Mori Y, Nejima R, et al. Optical coherence tomography examination of the anterior segment in a case of corneal perforation and lens trauma by chestnut burr, Case Rep Ophthalmol 2018; 9 : 154 - 159.
10
Zheng KK, Cai J, Rong SS, et al. Longitudinal evaluation of wound healing after penetrating corneal injury : anterior segment optical coherence tomography study, Curr Eye Res 2017; 42 : 982 - 986.
11
Zheng K, Huang H, Peng K, et al. Change of optical intensity during healing process of corneal wound on anterior segment optical coherence tomography, Sci Rep 2016; 6 : 32352.
12
Utsunomiya T, Hanada K, Muramatsu O, et al. Wound healing process after corneal stromal thinning observed with anterior segment optical coherence tomography, Cornea 2014; 33 : 1056 - 1060.
13
Brosh K, Rozenman Y, Chemical burn-induced stromal demarcation line, Cornea 2016; 35 : 286 - 288.
14
Iovieno A, Guglielmetti S, Capuano V, et al. Correction of post-keratoplasty ametropia in keratoconus patients using a toric implantable Collamer lens, Eur J Ophthalmol 2013; 23 : 361 - 367.
15
Liu X, Ling S, Gao X, et al. Pressure-induced stromal keratopathy as a result of ocular trauma after laser in situ keratomileusis, JAMA Ophthalmol 2013; 131 : 1070 - 1072.
OCT DE SEGMENT ANTÉRIEUR ET CORNÉOPLASTIE

G. BAÏKOFF

Introduction
Le premier OCT développé pour l'étude du segment antérieur pour la clinique quotidienne a été le Visante® de la société Cari Zeiss Meditec. Avec ce premier appareil, la longueur d'onde utilisée était de 1 310 nm avec une résolution axiale de 7 µm et transverse de 15 µm. Cela a permis d'entreprendre des études anatomiques du segment antérieur avec une précision et une reproductibilité alors inconnues. En effet, les techniques développées avant 2000 ( fig. 3-99
Fig. 3-99
Comparaison UBM – Artemis, Arcscan (a), techniques de Scheimpflug – Pentacam®, Oculus (b) et OCT – Visante®, Carl Zeiss Meditec (c).
) reposaient sur les ultrasons (échographies A, B), dont l'aboutissement est l' ultrasound biomicroscopy (UBM) d'ultra-haute précision (Artemis®, Arcscan) [ 1 ], et sur les photographies du segment antérieur avec les techniques de Scheimpflug (Pentacam®, Oculus) et de l'Orbscan® (Bausch & Lomb) ( fig. 3-99 ) [ 2 ]. Aujourd'hui, plusieurs sociétés ont mis sur le marché des OCT cliniques de segment antérieur utilisant la longueur d'onde 1 310 nm : Visante® (Carl Zeiss Meditec), Heidelberg SL-OCT® (Heidelberg Engineering), Casia® (Torney), etc.
Étude du segment antérieur avec l'OCT
L'apport initial de l'OCT en chirurgie réfractive a concerné les implants phaques [ 3–6 ]. En effet, le problème délicat et parfois douloureux de ces implants résidait dans le choix de leur diamètre par rapport au segment antérieur. On s'est très vite aperçu que la mesure externe du blanc à blanc horizontal était très imparfaite puisque les implants phaques avaient des relations intimes avec les structures internes de la chambre antérieure : angle irido-cornéen, endothélium, cristallin, iris. C'est la première fois qu'il était possible en clinique courante d'évaluer avec précision et de façon reproductible le diamètre interne de la chambre antérieure ( fig. 3-100
Fig. 3-100
OCTmesure du diamètre interne et de la flèche cristallinienne.
). Cela a permis de découvrir un certain nombre de choses, en particulier que, contrairement à l'idée répandue, la chambre antérieure n'était pas parfaitement circulaire mais plutôt ovale et que le diamètre vertical était plus grand que le diamètre horizontal dans 75 % des cas ( fig. 3-101
Fig. 3-101
Diagramme des dimensions du diamètre interne du segment antérieur; le diamètre vertical est le plus grand dans 80 % des cas.
) [ 3 ]. Ces premières études conduites de façon rétrospective ont permis de définir des distances de sécurité [ 6 ] au sein de la chambre antérieure permettant de réduire notablement le risque endothélio-cornéen avec les implants Artisan® à fixation irienne ( fig. 3-102
Fig. 3-102
Distances de sécurité au sein de la chambre antérieure. Les bords d'un implant phaque doivent rester éloignés de l'endothélium cornéen d'au moins 1,5 mm.
); quant aux implants de chambre postérieure, le choix de leur taille a également été facilité pour réduire le risque de contact cristallinien ( fig. 3-103
Fig. 3-103
Définition erronée de l'enveloppe cornéenne avec les premiers OCT.
). Pour résumer, il faut rappeler qu'une profondeur de chambre antérieure minimale est requise (3 mm de la face antérieure du cristallin à l'endothélium) ainsi qu'un diamètre interne supérieur à 11,5 mm; en outre, il faut se souvenir que le cristallin grossit et que son pôle antérieur avance de 20 µm par an, une surveillance annuelle de l'endothélium en microscopie spéculaire est impérative pour détecter une déperdition endothéliale encore silencieuse.
Intérêt en chirurgie cornéenne
Les OCT de première génération ont demandé à être améliorés car les mesures automatisées pouvaient se tromper de base de référence en confondant les courbes délimitant les surfaces antérieure et postérieure de la cornée ( fig. 3-103 ). C'est ainsi qu'entre 2004 et 2006, nous avons pu réaliser des analyses des volets de Lasik et connaître leur dimension de façon assez précise mais encore insuffisante ( fig. 3-104
Fig. 3-104
Visibilité imparfaite des volets de Lasik avec les premiers OCT de segment antérieur.
). Un autre avantage de l'OCT est de pouvoir traverser les structures cornéennes opaques ou non, cristalliniennes, seules les structures pigmentées comme l'iris formant un écran aux rayons ultraviolets. Il est ainsi possible de connaître la structure du segment antérieur derrière une cornée blanche ( fig. 3-105
Fig. 3-105
Patient adressé pour cornée blanche après chirurgie de cataracte. En réalité, il s'agissait d'un décollement peropératoire de la Descemet.Aspect avant (a) et après (b) injection d'une bulle d'air.
) et cela va trouver tout son intérêt en matière de kératoplasties.
OCT de haute résolution
Le changement de longueur d'onde à 830 nm, les progrès du balayage, des logiciels d'analyse – (Aventi® (Optovue), l-Vue® (Optovue), Cirrus® (Carl Zeiss Meditec), Spectralis® (Heidelberg Engineering), etc. – et l'introduction des technologies swept source ont permis d'obtenir une résolution axiale de 3 m et transverse de 5 µm [ 7 ]. La qualité de cette résolution permet d'obtenir une idée précise de la structure cornéenne, et même de différencier l'épithélium, la membrane de Bowman et la membrane de Descemet ( fig. 3-106
Fig. 3-106
Aspect d'un ulcère cornéen post-traumatique en OCT.On différencie parfaitement l'épithélium, la membrane de Bowman et celle de Descemet.
) [ 8 , 9 ]. Avec le SS-OCT de haute résolution, il est possible d'obtenir non seulement des cartes pachymétriques de la totalité de la cornée mais également des cartes pachymétriques différenciées de l'épithélium cornéen associé à son film lacrymal ( fig. 3-107
Fig. 3-107
OCT : cartes pachymétriques du stroma et de l'épithélium (+ film lacrymal).
).
Applications de l'OCT aux différentes formes de chirurgie réfractive cornéenne
Qu'elle soit réalisée avec la photo-ablation de surface, le Lasik ou le SMILE, la chirurgie réfractive cornéenne est une chirurgie ablative.
Mais il faut se souvenir que la cornée est un tissu vivant et qu'elle est le siège de processus de cicatrisation. Alors que le stroma est très peu actif, l'épithélium en revanche l'est considérablement ( fig. 3-108
Fig. 3-108
Épaissement considérable de l'épithélium sur un œil ayant bénéficié d'un kératomileusis myopique 20 ans auparavant.
). On peut considérer que l'épaisseur centrale totale de la cornée est de 540 µm allant jusqu'à 700 µm en périphérie et que celle de l'épithélium (avec son film lacrymal) est de 52 à 55 µm de façon assez régulière [ 10 ]. Quelles sont les modifications observées de la cornée après Lasik [ 11–13 ] ?
LASIK MYOPIQUE
C'est le traitement de chirurgie réfractive le plus courant, il consiste à faire une ablation de tissu cornéen au centre de la cornée pour aplatir le rayon de courbure ( fig. 3-109
Fig. 3-109
Lasik myopique.La topographie (b) montre l'aplatissement central de la cornée, l'OCT – coupe sagittale (a) et cartographie (c) – l'épaississement épithélial central.
). Il est donc normal d'observer un amincissement de la cornée centrale, la stabilité de cet amincissement témoigne de la stabilité du résultat réfractif. Lors de nos premières études de cornées post-Lasik, nous avons eu l'occasion d'observer un kératomileusis myopique ( fig. 3-110
Fig. 3-110
Lasik hypermétropique.La topographie (b) montre l'aplatissement périphérique de la cornée, l'OCT – coupe sagittale (a) et cartographie (c) – l'épaississement épithélial périphérique en couronne correspondant à la zone de photo-ablation.
) réalisé plus de 20 ans auparavant. Le patient avait initialement une myopie de –20 dioptries et 20 ans après, le patient, après un bon résultat initial, présentait une importante régression. L'OCT a mis en évidence une hyperplasie centrale considérable puisque l'épithélium central était d'environ 120 µm contre 50 µm normalement. Parallèlement, Reinstein [ 14 ] avait montré avec l'UBM de haute résolution l'épaississement de l'épithélium central après Lasik myopique et l'épaississement de l'épithélium périphérique après Lasik hypermétropique. L'étude en OCT de haute résolution a permis de préciser le caractère pratiquement constant de ces modifications épithéliales et d'en apprécier le facteur de régression. La figure 3-109 représente la coupe OCT d'un patient opéré de Lasik myopique avec sa topographie et sa carte pachymétrique épithéliale. Le volet de Lasik est parfaitement visible, la pachymétrie épithéliale révèle une différence entre la périphérie et le centre d'une vingtaine de microns.
LASIK HYPERMÉTROPIQUE
À l'inverse, quand la partie périphérique de la cornée a été amincie par le traitement laser, on observe un épaississement important de l'épithélium dans la zone traitée (jusqu'à 80 µm) et un amincissement au centre cornéen (jusqu'à 40 µm) ( fig. 3-110 ). Cet épaississement périphérique, proportionnellement beaucoup plus important que l'amincissement central, est fréquemment retrouvé après lasik hypermétropique et explique très certainement pour partie les régressions observées dans ces cas. Ces données confirment ce qui avait été publié par Reinstein [ 14 ], et rapporté récemment par Mochirfar en 2018 [ 11 ].
Pour résumer, toutes les études montrent que l'épithélium cornéen tend à compenser les pertes de substance en essayant de rendre sa forme initiale à une cornée altérée par une perte de stroma; selon le même principe directeur, son épaisseur diminue dans les zones les plus cambrées, autrement dit, il comble les vallées et s'amincit au niveau des pics. Ce phénomène n'est pas spécifique au Lasik, on observe après photokératectomie réfractive (PKR; fig. 3-111
Fig. 3-111
a, b. Photokératectomie réfractive hypermétropique, aspect identique au Lasik, avec zone dehazeen périphérie.
) [ 11 , 14 ] les mêmes modifications épithéliales avec dans certaines zones, profondément ablatées par le laser, la possibilité d'un haze visible en OCT à haute résolution. Chez un même patient, la comparaison des pachymétries stromale et épithéliale avec la topographie confirme cette cohérence. Nous avions fait, il y a quelques années, une étude rétrospective [ 15 ] après Lasik myopique qui montrait clairement que ce phénomène était constant :
  • l'épaisseur centrale de l'épithélium cornéen dans notre série était de 52 mm ± 2 mm avant traitement et de 57 mm ± 4 mm après traitement myopique. La différence entre les deux états était très significative (p < 0,01) ( fig. 3-112
    Fig. 3-112
    Épaisseur épithéliale centrale après Lasik myopique; plus le traitement est important, plus l'épithélium est épais.
    );
  • après Lasik myopique, l'épaisseur centrale de l'épithélium est indépendante de la kératométrie préopératoire, mais dépend de l'importance du traitement réfractif. Le Δ entre l'épaisseur épithéliale centrale et l'épaisseur périphérique augmente avec le degré de myopie traitée. Plus la régression est importante, plus la différence d'épaisseur épithéliale mesurée entre la périphérie et le centre est importante ( fig. 3-113
    Fig. 3-113
    Après Lasik myopique, plus la régression est importante, plus l'épithélium central est épais comparé à l'épithélium périphérique.
    ).
La photo-ablation transépithéliale a-t-elle un intérêt ? On notera qu'après Lasik l'épithélium a toujours une épaisseur minimum de 40 µm et l'on sait que pour traiter une myopie de 1 dioptrie, il faut environ 17 µm d'ablation de tissu cornéen. On comprend mal alors comment une photo-ablation réfractive transépithéliale de 1 5 µm ou 20 µm [ 16 ] pourrait traiter une régression de 1 dioptrie puisque la couche épithéliale va retrouver très rapidement ses conditions normales. L'intérêt de connaître l'épaisseur épithéliale en préopératoire permet d'appliquer un correctif à un traitement de PRK transépithéliale ce qui, schématiquement, consiste en une ablation préalable de l'épithélium au laser en fonction de son épaisseur sans caractère optique, suivie d'un traitement réfractif de la membrane de Bowman et du stroma avec les normes de calcul habituelles.
KÉRATOTOMIE RADIAIRE
L'OCT standard de segment antérieur confirme l'aplatissement central illustré par la topographie. En haute résolution, les incisions sont visibles ainsi que leur comblement par l'épithélium expliquant l'aspect étoilé du mapping ( fig. 3-114
Fig. 3-114
Après kératotomie radiaire, l'éboulement épithélial est constant, responsable de cet aspect étoilé dumappingépithélial.
) [ 17 , 18 ].
En cas d'évolution vers l'hypermétropie, l'aplatissement évolutif du centre cornéen est associé à un épaississement épithélial central avec amincissement périphérique ( fig. 3-115
Fig. 3-115
a, b. Mappingépithélial après kératotomie radiaire; l'épaississement central correspond à l'aplatissement central de la cornée.
). Sur la figure 3-116
Fig. 3-116
Dans ce cas de kératotomie, l'incision s'est ouverte 20 ans après l'intervention avec abcès de cornée maintenant stérilisé.
une incision s'est ouverte et surinfectée 25 ans après l'intervention, un traitement médical adapté a permis la résolution du problème sans séquelle.
Étude en OCT des complications du Lasik
CHIRURGIE RÉFRACTIVE CORNÉENNE ET SES COMPLICATIONS EN OCT
L'OCT trouve tout son intérêt après un Lasik compliqué.
HAZE POST-PHOTOKÉRATECTOMIE RÉFRACTIVE
L'aspect du haze est très caractéristique, il s'agit d'une densification au niveau du stroma et de l'ex-couche de Bowman avec des irrégularités antérieures très importantes ( fig. 3-117
Fig. 3-117
OCT dehazepost-photokératectomie réfractive, acuité visuelle 3/10.
et 3–118
Fig. 3-118
Même œil ayant bénéficié d'une femto-greffe lamellaire « Lasik-like » avec récupération visuelle à 8/10 corrigée.
), celles-ci sont lissées par l'épithélium dont on connaît bien maintenant les propriétés mécaniques, ce qui permet en général de conserver une acuité visuelle correcte.
SOS SYNDROME
Nous rapportons une observation personnelle de sand of Sahara (SOS) syndrome iconographiée dès le premier jour postopératoire, il y a d'abord une densification de l'interface suivie d'une nécrose du stroma intéressant en partie le volet; en quelques semaines l'épithélium compense la perte de substance cornéenne, sa prolifération venant corriger l'aplatissement central considérable induit par la fonte stromale ( fig. 3-119
Fig. 3-119
Évolution d'un SOS post-Lasik avec prolifération épithéliale compensant l'aplatissement stromal et l'astigmatisme qu'il aurait pu engendrer.a. J1 postopératoire : kératite interstitielle diffuse avec interface très dense. On peut craindre une infection ou un SOS. b. J8 postopératoire: le traitement corticoïde/antibiotique n'a pas empêché une nécrose du flap. c. J21 postopératoire: dans ce cas, l'hyperplasie épithéliale a compensé l'aplatissement central et réduit l'hypermétrie secondaire au SOS.
).
INVASION ÉPITHÉLIALE
Sa fréquence est comprise en 0 et 4 % après Lasik de première intention, autour de 10 % après une retouche [ 19 ]. L'OCT n'a pas d'intérêt diagnostique majeur dans cette affection évidente sur le plan clinique ( fig. 3-120
Fig. 3-120
Invasion épithéliale sous volet de Lasik.
); en revanche, il peut avoir un intérêt pour le suivi ou la recherche d'une récidive précoce. Un traitement couronné de succès n'empêche pas la persistance d'une cicatrice réfléchissante au niveau de l'interface mais sans caractère évolutif.
Complications tardives des Lasik et traumatisme du flap
Nous avons eu l'occasion d'observer plusieurs traumatismes du flap adressés pour traitement. Nous présentons ici deux exemples ( fig. 3-121 à 3-123
Fig. 3-121
Traumatisme du volet 2 ans après le Lasik et repositionnement initial, acuité visuelle : 2/10.
Fig. 3-122
Même patient après ablation du volet, lissage stromal par photokératectomie thérapeutique et femto-greffe lamellaire « Lasik-like », acuité visuelle : 8/10 sans correction.
Fig. 3-123
Traumatisme du volet 10 ans après, repositionnement initial incorrect, nettoyage et nouveau repositionnement avec excellent résultat, acuité visuelle : 9/10 sans correction.
) avec l'état clinique et les OCT pré- et postopératoires [ 20 ]. L'OCT permet une analyse précise des anomalies cornéennes permettant une reconstruction de la cornée limitée aux zones perturbées. La figure 3-123 est l'illustration d'un patient, victime d'une contusion oculaire 10 ans après un Lasik. Le chirurgien en urgence avait reposé le flap comme il pouvait, mais malheureusement le résultat visuel n'était pas au rendez-vous. Le patient est donc adressé pour traitement, l'OCT permet de bien comprendre que le volet était replié sur lui-même avec des proliférations épithéliales diffuses. Le volet est déplié prudemment sous anesthésie générale avec nettoyage soigneux de l'épithélium et traitement à l'Amétycine® des zones envahies, pour avoir un excellent résultat postopératoire avec récupération anatomique et visuelle et très peu de réaction inflammatoire au niveau de l'interface.
Œdème cornéen post-Lasik
L'œdème cornéen post-Lasik ou interface fluid syndrome (IFS) est une complication connue [ 17 , 21–24 ]. Celle-ci est très rare et n'apparaîtrait que dans un pourcentage inférieur à 1/5 000 Lasik. Il y a plusieurs stades à cet œdème post-Lasik, le plus important correspond à la création d'une poche aqueuse au sein du stroma qui est bien mise en évidence à l'OCT. Cette affection semble provoquée et entretenue par les corticoïdes postopératoires qui entraîneraient une hypertonie intra-oculaire masquée par ce lac liquide au sein du stroma, car la pression à l'aplanation n'est mesurée que sur la partie fine du volet. Le traitement est l'arrêt total des corticoïdes et la prescription d'antiglaucomateux. Nous avons pu observer un cas, diagnostiqué tardivement car apparu sur un SMILE ( fig. 3-124
Fig. 3-124
Interface fluid syndrome(IFS) bilatéral après SMILE, 1er jour postopératoire.
et 3–125
Fig. 3-125
Interface fluid syndrome(IFS) bilatéral, 3 mois postopératoires : récupération normale (même patient qu'à lafig. 3-124).
), et sans aucune poche liquidienne, ni hypertonie malgré l'épaisseur cornéenne. La surveillance et le traitement symptomatique ont conduit à une disparition totale de l'œdème et une récupération visuelle proche de la normale, Zheng et al. ont décrit un cas semblable [ 18 ].
Intérêt de l'OCT en préopératoire avant chirurgie cornéenne réfractive
La hantise du chirurgien réfractif est l'apparition d'une ectasie post-Lasik et tous les examens préopératoires sont bons pour essayer d'éliminer les cornées douteuses. Malgré le développement des formules fondées sur la topographie avec le Pentacam® (Oculus) et l'Orbscan® (Bausch & Lomb), l'analyse des surfaces antérieures et de la courbure postérieure laisse toujours un doute, car aucun indice ne permet d'affirmer à 100 % le diagnostic de kératocône fruste et son risque d'ectasie. L'OCT n'est pas non plus totalement déterminant mais en cas de cornée douteuse, il peut apporter des éléments complémentaires. En effet, il a été démontré que les modifications de l'épithélium cornéen sont excessivement précoces dans le kératocône [ 10 , 25 , 26 ]. Tous les travaux sur ce sujet montrent une concordance parfaite entre la localisation de l'apex cornéen en topographie, l'amincissement stromal et l'amincissement épithélial. À l'opposé de l'amincissement cornéen, on retrouve dans la zone la plus épaisse de la cornée, en général supérieure ou supéro-nasale, un épaississement épithélial. La figure 3-126
Fig. 3-126
Parfaite concordance des anomalies topographiques (apex), et des amincissements stromal et épithélial en OCT.
est une parfaite illustration de la cohérence de ces anomalies. L'œil gauche présente en topographie un kératocône typique avec un apex temporal inférieur qui correspond à la zone d'amincissement du stroma ainsi qu'à celle de l'épithélium. En symétrie de l'amincissement épithélial, on retrouve un épaississement épithélial dans la zone la plus plate de la cornée. Sur l'œil droit, dont la topographie est limite, on retrouve un amincissement stromal temporal inférieur associé à un amincissement épithélial significatif. L'ectasie post-Lasik présente exactement les mêmes particularités, amincissement épithélial au sommet de l'ectasie, et épaississement au-dessus. La figure 3-127
Fig. 3-127
Ectasie évolutive post-Lasik.
montre un tableau d'ectasie très étonnant car la profondeur du volet de Lasik est aux alentours de 300 µm. Toutefois, la topographie n'est pas le critère absolu signant l'ectasie, nous rapportons ici l'observation personnelle d'un Lasik myopique [ 27 ] ayant connu une régression importante avec développement d'un astigmatisme postopératoire ( fig. 3-128
Fig. 3-128
Pseudo-ectasie.Si l'aspect topographique évoque une ectasie, le mapping épithélial montre un épaississement paradoxal en regard de l'apex topographique.
). Lors du contrôle à 18 mois, il y avait une topographie très évocatrice d'ectasie post-Lasik, en revanche, la pachymétrie épithéliale n'allait pas du tout dans ce sens en raison d'une hyperplasie épithéliale en regard de l'apex topographique.
Verre scléral
Sans rentrer dans les détails de l'adaptation, l'imagerie en OCT permet d'aider le contactologue dans le choix d'un verre scléral (diamètre et appuis). Face à des segments antérieurs très remaniés ( fig. 3-129
Fig. 3-129
Verre scléral équipant une greffe avec important astigmatisme irrégulier.
), cette solution permet de rendre une acuité satisfaisante en évitant ou en retardant la kératoplastie [ 28 , 29 ].
BIBLIOGRAPHIE
1
Kim DY, Reinstein DZ, Silverman RH, et al. Very high frequency analysis of a new phakic posterior chamber intraocular lens in situ, Am J Ophthalmol 1998; 125 : 725 - 729.
2
Beutelspacher SC, Serbercic N, Scheuerle AF, Assessment of central corneal thickness using OCT, ultrasound optical low coherence reflectometry and Scheimpflug pachymetry, Eur J Ophthalmol 2011; 21 : 132 - 137.
3
Baïkoff G, Lutun E, Ferraz C, Wei J, Analyse du segment antérieur de l'œil avec un tomographe à cohérence optique. Étude statique et dynamique, J Fr Ophtalmol 2005; 28 : 343 - 352.
4
Sorbara L, Maram J, Fonn D, et al. Metrics of the normal cornea : anterior segment imaging with the Visante OCT, Clin Exp Optom 2010; 93 : 150 - 156.
5
Pinero D, Plaza Puche AB, Alio J, Corneal diameter measurements by corneal topography and angle-to-angle measurements by optical coherence tomography : evaluation of equivalence, J Cataract Refract Surg 2008; 34 : 126 - 131.
6
Baïkoff G, Bourgeon G, Jodai HJ, Fontaine A, et al. Pigment dispersion and artisan phakic intraocular lenses. Crystalline lens rise as a safety criterion, J Cataract Refract Surg 2005; 31 : 674 - 680.
7
Kamowski K, Kaluzny B, Szkulmowski M, et al. Corneal topography with high-speed swept source OCT in clinical examination, Biomed Opt Express 2011; 2 : 2709 - 2720.
8
Nanji AA, Sayyad FE, Galor A, et al. High-resolution optical coherence tomography as an adjunctive tool in the diagnosis of corneal and conjunctival pathology, Ocul Surf 2015; 13 : 226 - 235.
9
Mazlin V, Xiao P, Dalimier E, et al. In vivo high resolution human corneal imaging using full-field optical coherence tomography, Biomed Opt Express 2018; 9 : 557 - 568.
10
Li Y, Shekhar R, Huang D, Corneal pachymetry mapping with high-speed optical coherence tomography, Ophthalmology 2006; 113 : 792 - 799.
11
Moshirfar M, Desautels JD, Walker B, et al. Mechanisms of optical regresson following corneal laser refractive surgery : epithelial and stromal responses, Med Hypothesis Discov Innov Ophthalmol 2018; 7 : 1 - 9.
12
Scotto R, Bagnis A, Papadia M, et al. Comparison of central corneal thickness measurements using ultrasonic pachymetry, anterior segment OCT and noncontact specular microscopy, J Glaucoma 2017; 26 : 860 - 865.
13
Zhang Y, Chen YG, Xia YJ, Comparison of corneal flap morphology using AS-OCT in LASIK with the Wave Light FS200 Femtosecond laser versus a mechanical microkeratome, J Refract Surg 2013; 29 : 320 - 324.
14
Reinstein DZ, Archer TJ, Gobbe M, et al. Epithelial thickness after hyperopic LASIK : three-dimensional display with Artemis very high-frequency digital ultrasound, J Refract Surg 2010; 26 : 555 - 564.
15
Baïkoff G, L'épithélium cet inconnu, Pisella PJ, Baudouin C, Hoang-Xuan T, Surface oculaire. Rapport de la SFO 2015, 2015, Elsevier Masson Issy-les-Moulineaux,
16
Kim Y, Walsh JT, Goldstick TK, Glucksberg MR, Variation of corneal refractive index with hydration, Phys Med Biol 2004; 49 : 859 - 868.
17
Jia Z, Zhao S, Wei R, et al. Interface fluid syndrome : a potential lifelong complication after LASIK. A case report, Am J Ophthalmol Case Reports 2018; 11 : 23 - 25.
18
Zheng K, Han T, Li H, et al. Corneal densitometry changes in a patient with interface fluid syndrome after small incision lenticule extraction, BMC Ophthalmol 2017; 17 : 34.
19
Han SB, Liu YC, Noriega KM, Mehta JS, Applications of anterior segment optical coherence tomography in cornea and ocular surface diseases, J Ophthalmol 2016; 2016 : 4971572.
20
Baïkoff G, Traumatismes graves des volets de Lasik, Bourges JL, Urgence en ophtalmologie. Rapport de la SFO 2018, 2018, Elsevier Masson Issy-les-Moulineaux,
21
Gab-Alla A, Incidence of interface fluid syndrome after LASIK in Egyptian patients, Clin Ophthalmol 2017; 11 : 613 - 618.
22
Saad A, Zerbib J, Gatinel D, Complication du LASIK : syndrome du fluide dans l'interface, Images en Ophtalmologie 2009; III :
23
Bamashmus M, Saleh M, Post-LASIK interface fluid syndrome caused by steroid drops, Saudi J Ophthalmol 2003; 27 : 125 - 128.
24
Wirbelauer C, Pham DT, Imaging interface fluid after LASIK with corneal optical coherence tomography, J Cataract Refract Surg 2005; 31 : 853 - 856.
25
Kanellopoulos AJ, Asimellis G, OCT corneal epithelial topographic asymmetry as a sensitive diagnostic tool for early and advancing keratoconus, Clin Ophthalmol 2014; 8 : 2277 - 2287.
26
Kanellopoulos AJ, Asimellis G, OCT-derived comparison of corneal thickness distribution and asymmetry differences between normal and keratoconic eyes, Cornea 2014 Dec; 33 : 1274 - 1281.
27
Baïkoff G. Pouvoir réfractif de l'épithélium. Communication orale au 123
28
Malecaze M, Les mini-sclérales, Les Cahiers d'Ophtalmologie 2014; 182 : 56 - 57.
29
Chu HS, Wang IJ, Tseng GA, et al. Mini-scleral lenses for correction of refractive errors after radial keratotomy, Eye Contact Lens 2018; 44 : S164 - S168.
CORNÉOPLASTIES ET COMPLICATIONS :

P. FOURNIÉ

Introduction
Les cornéoplasties dans le kératocône pour stabiliser la maladie ( cross-linking ) ou améliorer la fonction visuelle (anneaux) bénéficient de l'exploration cornéenne par OCT.
Cross-linking cornéen
EXPLORATION PRÉOPÉRATOIRE
Le cross-linking cornéen (CXL) a pour but de « rigidifier » et ainsi de stabiliser une cornée biomécaniquement instable. Il est indiqué dans le kératocône évolutif. Le CXL nécessite une pachymétrie d'au moins 400 µm pour ne pas prendre de risques, notamment, endothéliaux. L'OCT peut fournir une pachymétrie précise et distincte, totale et épithéliale (voir fig. 3-130
Fig. 3-130
Cartes pachymétriques différentielles OCT d'un kératocône avec concordance entre l'ectasie topographique (a), l'amincissement cornéen (b) et l'amincissement épithélial (c).On peut en déduire la pachymétrie stromale à considérer pour le CXL après débridement épithélial.
(Source : G. Baïkoff.)
) [ 1 ]. L'analyse épithéliale prend tout son intérêt dans les kératocônes, sévères notamment, qui présentent parfois un amincissement stromal majeur mais une pachymétrie « faussement conservée » par hyperplasie épithéliale ( fig. 3-131
Fig. 3-131
a, b. Cornées amincies avec amincissement stromal important, hyperplasie épithéliale majeure et hyper-réflectivité stromale contiguë.
) [ 2 ]. Ces cornées avec amincissement stromal majeur, « bouchon épithélial » en regard et hyper-réflectivité stromale sont à risque d'hydrops ( fig. 3-131 ) [ 3 ]. Elles doivent être récusées pour un CXL. Une greffe lamellaire antérieure profonde peut dans certains cas extrêmes d'amincissement stromal être proposée avant la survenue possible d'un hydrops qui rendrait la greffe lamellaire difficile ou impossible.
EXPLORATION POSTOPÉRATOIRE
Une ligne de démarcation à une profondeur d'environ 300 µm est observable les premiers mois après CXL ( fig. 3-132 à 3-134
Fig. 3-132
Ligne de démarcation visible à 1 mois post-CXL en lampe à fente (a) et en OCT (b), hyper-réflective.Cette ligne s'estompe progressivement pour devenir difficilement discernable à 3 mois (c).
Fig. 3-133
Hyper-réflectivité post-CXL du stroma antérieur sans ligne de démarcation très franche.
Fig. 3-134
CXL pour ectasie post-Lasik avec le volet du Lasik visible en antérieur et la ligne de démarcation ici très profonde pré-descemétique.L'épaisseur cornéenne est particulièrement à considérer sur des cornées parfois fines après photo-ablation réfractive.
) [ 4 ]. Cette ligne est assimilée à la limite de traitement par CXL avec une modification réflective de la cornée traitée par rapport à la cornée sous-jacente et elle serait un témoin indirect de la profondeur du traitement. La profondeur peut varier selon la technique : avec désépithélialisation, plus ou moins accélérée, ou sans désépithélialisation, transépithéliale ou par iontophorèse [ 5 ].
COMPLICATIONS
Un certain degré de haze post-CXL est fréquent ( fig. 3-135
Fig. 3-135
Hazepost-CXL avec remaniements cicatriciels visibles en lampe à fente (a) et en OCT (b) sur les premiers mois.À noter la ligne de Fleischer ferrique (a) et la ligne de démarcation profonde du CXL (b).
), souvent discret et rapidement régressif [ 6 ]. Bien que rares, des complications essentiellement inflammatoires ( fig. 3-136
Fig. 3-136
Réaction inflammatoire post-CXL avec retard initial de cicatrisation, œdème et réaction cicatricielle fibreuse en lampe à fente (a) profonde, intéressant presque la moitié de l'épaisseur stromale en OCT (b).
et 3–137
Fig. 3-137
Infiltrats aseptiques post-CXL souvent situés sur la périphérie de la zone de traitement en lampe à fente (a) et en OCT (b).
) et infectieuses ( fig. 3-138
Fig. 3-138
Kératite infectieuse post-CXL en lampe à fente (a) avec réaction cicatricielle fibreuse à distance en OCT et irrégularités d'épaisseur stromale (b).
), avec des conséquences cicatricielles, peuvent se voir après CXL [ 7 ].
Anneaux intracornéens
LES DIFFÉRENTS ANNEAUX
L'objectif majeur des anneaux intracornéens (AIC) est d'améliorer la qualité de vision des patients en remodelant l'architecture cornéenne pour diminuer les aberrations optiques. Il s'agit d'une technique additive, conservatrice, possiblement réversible. Il existe plusieurs gammes d'AIC, d'épaisseur et de longueur d'arc variables, de zone optique également variable de 5, 6 et 7 mm. Une carte pachymétrique OCT préopératoire (voir fig. 3-130 ) peut être utile pour connaître l'épaisseur cornéenne sur le trajet de l'anneau et pour ajuster la profondeur d'implantation. La section de coupe est visible en OCT après implantation et surtout son positionnement dans l'épaisseur cornéenne ( fig. 3-139
Fig. 3-139
Anneaux de section triangulaire, pyramidale de 5 mm de diamètre.Ils sont implantés à 75-80 % de l'épaisseur cornéenne. Ce peut être des anneaux type Ferrara® et Keraring® (Mediphacos).
et 3–140
Fig. 3-140
Anneaux de section hexagonale de 7 mm de diamètre.
).
COMPLICATIONS
Des dépôts le long de l'arc interne de l'anneau sont classiques et ne prêtent pas à conséquence ( fig. 3-141
Fig. 3-141
Dépôts le long de l'arête interne des anneaux en lampe à fente (a) et en OCT (b) sous la forme d'une hyper-réflectivité en dedans de l'anneau.
). Les complications observées sont essentiellement infectieuses et inflammatoires [ 8 ]. Une exposition tardive, rare, est possible ( fig. 3-142
Fig. 3-142
Érosion épithélio-stromale au-dessus de l'anneau avec accrochage de la fluorescéine (a) et nécrose stremale en OCT (b).
). Une extrusion précoce s'observe en cas d'implantation trop superficielle notamment ou de terrain inflammatoire, atopique par exemple ( fig. 3-143
Fig. 3-143
Extrusion d'un anneau implanté trop superficiellement en lampe à fente (a) et en OCT (b).
).
Conclusion
L'OCT donne des informations complémentaires à l'examen clinique et aux topographies cornéennes dans les cornéoplasties avec un intérêt pré- et postopératoire.
BIBLIOGRAPHIE
1
Reinstein DZ, Gobbe M, Archer TJ, et al. Epithelial, stromal, and total corneal thickness in keratoconus : three-dimensional display with artemis very-high frequency digital ultrasound, J Refract Surg 2010; 26 : 259 - 271.
2
Sandali O, El Sanharawi M, Temstet C, et al. Fourier-domain optical coherence tomography imaging in keratoconus : a corneal structural classification, Ophthalmology 2013; 120 : 2403 - 2412.
3
Fuentes E, Sandali O, El Sanharawi M, et al. Anatomic predictive factors of acute corneal hydrops in keratoconus : an optical coherence tomography study, Ophthalmology 2015; 122 : 1653 - 1659.
4
Seiler T, Hafezi F, Corneal cross-linking-induced stromal demarcation line, Cornea 2006; 25 : 1057 - 1059.
5
Spadea L, Di Genova L, Tonti E, Corneal stromal demarcation line after 4 protocols of corneal crosslinking in keratoconus determined with anterior segment optical coherence tomography, J Cataract Refract Surg 2018; 44 : 596 - 602.
6
Greenstein SA, Fry KL, Bhatt J, Hersh PS, Natural history of corneal haze after collagen crosslinking for keratoconus and corneal ectasia : Scheimpflug and biomicroscopic analysis, J Cataract Refract Surg 2010; 36 : 2105 - 2114.
7
Koller T, Mrochen M, Seiler T, Complication and failure rates after corneal crosslinking, J Cataract Refract Surg 2009; 35 : 1358 - 1362.
8
Vega-Estrada A, Alio JL, The use of intracorneal ring segments in keratoconus, Eye Vis (Lond) 2016; 15 : 3 - 8.
INTÉRÊT DE L'OCT DANS LA PRISE EN CHARGE DES GREFFES DE CORNÉE

M. MURAINE

Introduction
Il existe aujourd'hui de nombreux examens complémentaires permettant à l'ophtalmologiste d'analyser la cornée greffée de façon plus précise que ne le fait un simple examen à la lampe à fente. Ainsi, une topographie cornéenne est fréquemment demandée pour détecter ou suivre l'astigmatisme postopératoire, et la microscopie spéculaire est souvent utilisée pour évaluer la perte cellulaire du greffon à long terme. Récemment sont apparus des appareils OCT dédiés à l'analyse de la cornée après plusieurs années de développement initialement concentrées sur l'analyse de la rétine et leur utilisation dans le domaine de la greffe est devenue naturelle.
Dans ce chapitre, nous rapportons l'intérêt de l'OCT dans le déroulement et le suivi des greffes de la cornée [ 1 ]. Ainsi l'OCT est d'abord utile en préopératoire de greffe de cornée, car il permet de déterminer la profondeur et l'épaisseur d'une opacité stromale de la cornée et donc de déterminer la meilleure option thérapeutique entre une photokératectomie thérapeutique au laser Excimer, une kératoplastie lamellaire antérieure profonde ou une kératoplastie transfixiante.
L'OCT est également utilisé lors du suivi clinique des greffes de cornée afin de détecter des complications précoces telles qu'un défaut d'affrontement entre le greffon et le lit receveur, un défaut d'adhérence entre un greffon lamellaire antérieur et la couche endothélio-descemétique du receveur, ou plus souvent un détachement postopératoire d'un greffon endothélial.
L'OCT peut être utilisé également en peropératoire au cours des chirurgies lamellaires, soit pour faciliter la mise à nu de la membrane de Descemet dans les greffes lamellaires antérieures profondes, soit pour confirmer le bon positionnement des greffons endothéliaux lors des greffes endothéliales pures.
L'OCT peut enfin également être utilisé à la banque de cornées, afin d'améliorer la préparation des greffons endothéliaux prédécoupés et de détecter d'éventuels antécédents de chirurgie réfractive sur le greffon.
Intérêt de l'OCT en préopératoire de greffe
Le premier intérêt de l'OCT est, dans le cadre des pathologies cornéennes, de préciser la profondeur de l'opacité et de pouvoir ainsi aider le chirurgien à choisir la meilleure technique. Lorsque la pathologie est localisée aux 100 microns antérieurs, il est alors souvent possible d'éviter la greffe et de se contenter d'une simple photokératectomie thérapeutique voire d'un simple grattage de surface ( fig. 3-144
Fig. 3-144
Intérêt de l'OCT au stade préchirurgical.a. L'opacité est superficielle sans atteinte stromale, il n'y a pas d'indication de greffe car la zone de dégénérescence de Salzmann sera retirée manuellement très simplement. b. Dystrophie d'Avellino localisée sous le volet de Lasik à 200 µm de profondeur. Une greffe lamellaire antérieure peut être réalisée. c. Dystrophie granulaire allant jusqu'à la membrane de Descemet. Indication à une kératoplastie lamellaire profonde voire transfixiante.
) [ 2 , 3 ]. Lorsque l'atteinte est plus profonde mais limitée aux 250 microns antérieurs, le choix peut être porté sur une kératoplastie lamellaire antérieure automatisée, alors que l'atteinte du stroma postérieur impose une kératoplastie lamellaire profonde voire une kératoplastie transfixiante en cas d'endothélium déficient [ 4 ].
Sur la figure 3-144 , on voit bien que la dystrophie d'Avelino est localisée au niveau de l'interface juste sous le capot du Lasik réalisé 6 ans plus tôt et ne dépasse pas la moitié antérieure de la cornée. Il est tout à fait possible de réaliser une kératoplastie lamellaire antérieure automatisée. En revanche, lorsque la dystrophie stromale touche l'ensemble de la cornée jusqu'à la membrane de Descemet incluse, il n'y a pas d'autres solution que de réaliser une kératoplastie lamellaire profonde avec mise à nu de la membrane de Descemet ( fig. 3-144 ).
OCT et kératoplastie transfixiante
La kératoplastie transfixiante représente encore 15 à 40 % des indications de greffe de cornée et l'utilisation du laser femtoseconde a pu redonner un intérêt à cette technique en permettant de construire des profils de trépanation améliorant la congruence entre le greffon et le lit receveur et en réduisant l'astigmatisme postopératoire [ 5 , 6 ]. Il est ainsi possible de créer une trépanation dont le profil est en zigzag, en champignon, en top-hat, ou en sapin de Noël. Ces configurations permettent une plus grande surface de contact et de cicatrisation entre le greffon et le lit receveur, et d'améliorer la stabilité à long terme du greffon. L'analyse OCT de la zone de découpe permet de mieux comprendre la stabilité du greffon avec tel ou tel profil et de définir le plus adapté à moyen ou long terme ( fig. 3-145
Fig. 3-145
Aspect en OCT d'une kératoplastie entop-hat.Analyse grand champ (a) et analyse centrée sur la zone de trépanation (b) montrant la jupe périphérique du greffon enchâssée sous le lit receveur.
). La réalisation de ces greffes complexes au laser femtoseconde est cependant relativement rare en France car la supériorité clinique n'est pas suffisante pour justifier le coût de la procédure.
Lors des kératoplasties transfixiantes classiques, l'OCT est assez peu utile en postopératoire immédiat, car il ne fait que confirmer la bonne coaptation des berges au niveau de la trépanation, ce qui est déjà parfaitement visible en lampe à fente. En revanche, l'OCT permet d'analyser la zone de trépanation de façon précise et de rechercher des défauts d'affrontement entre le lit receveur et le greffon lorsqu'il existe un astigmatisme important malgré le retrait des sutures [ 7–9 ]. Il peut permettre de poser l'indication d'un repositionnement du greffon en cas de décalage ou malheureusement simplement expliquer le défaut d'apposition lorsque le greffon et le lit receveur ont une épaisseur significativement différente ( fig. 3-146
Fig. 3-146
Analyse en OCT de deux greffons transfixiants opérés 1 an auparavant.a. Bon affrontement des berges. b. Défaut d'affrontement à l'origine d'un astigmatisme élevé.
).
L'exemple le plus typique d'astigmatisme à long terme est celui du kératocône récidivant plusieurs années après une greffe transfixiante. L'aspect topographique évoque un bombement inférieur du greffon et peut laisser penser à une récidive du kératocône sur le greffon. En revanche, sur la coupe OCT, on comprend qu'il n'existe aucun amincissement au niveau du greffon lui-même et qu'il s'est produit un glissement d'années en années au niveau de la zone de trépanation ( fig. 3-147
Fig. 3-147
Aspect de kératocône récidivant 20 ans après kératoplastie transfixiante.a, b. L'analyse en lampe à fente (a) évoque le glissement inférieur du greffon mais l'aspect en topographie cornéenne (b) est celui d'un kératocône typique avec ectasie majeure. c, d. L'OCT montre bien l'épaisseur constante du greffon (c), mais aussi la zone de glissement en inférieur au niveau de la trépanation (d).
). La zone de contact entre le greffon et le receveur devient très fine d'où l'évolution dans certains cas vers une ectasie pouvant laisser évoquer une récidive du kératocône sur la greffe.
L'OCT peut être également utilisé pour suivre le retour progressif à une épaisseur cornéenne normale au cours des premiers mois ou pour détecter la réapparition d'un œdème au cours du suivi [ 10 ]. Certains ont démontré que l'OCT permettrait peut-être de détecter des signes précurseurs de rejet du greffon [ 11 ].
L'examen OCT permet également d'analyser la couche postérieure de la greffe transfixiante et, dans certains cas, de rattacher la survenue tardive d'un œdème à un décollement de la membrane de Descemet ( fig. 3-148
Fig. 3-148
Décollement inféronasal de la membrane de Descemet 1 semaine après chirurgie de la cataracte chez un patient opéré de greffe transfixiante il y a 10 ans.Décollement visible en OCT (c) et œdème de cornée en regard en lampe à fente (a). Aspect 1 semaine après injection d'une bulle d'air en chambre antérieure (b, d).
).
OCT et kératoplastie lamellaire profonde
La kératoplastie lamellaire profonde consiste à remplacer la totalité du stroma cornéen chez le patient receveur tout en lui maintenant sa propre membrane de Descemet et sa couche endothéliale. Les indications de la kératoplastie lamellaire profonde sont principalement le kératocône et les cicatrices stromales d'infection cornéenne virale ou bactérienne. En postopératoire, l'examen OCT confirme le caractère parfait de la chirurgie en mettant en évidence l'absence d'interface entre le stroma postérieur et la membrane de Descemet ( fig. 3-149
Fig. 3-149
Kératoplastie.a, c. Kératoplastie transfixiante en lampe à fente (a) et en OCT (c). b, d. Kératoplastie lamellaire profonde en lampe à fente (b) et en OCT (d). Il n'est pas possible de voir de différence entre les deux images OCT lorsque tout le stroma est retiré.
). Lorsque la récupération visuelle est incomplète, l'OCT permet de rechercher la présence de stroma résiduel en avant de la membrane de Descemet ( fig. 3-150
Fig. 3-150
Patiente opérée de kératoplastie lamellaire profonde 2 ans auparavant.Mise en évidence en lampe à fente (a) puis en OCT (b) d'une couche de stroma résiduelle d'épaisseur irrégulière expliquant la mauvaise récupération visuelle.
).
Toujours en postopératoire, la complication la plus redoutée après kératoplastie lamellaire profonde est le décollement de la membrane de Descemet avec double chambre antérieure. L'examen OCT sera utile pour confirmer le décollement de Descemet déjà évoqué lors de l'examen en lampe à fente et pour rechercher la présence de la déhiscence responsable de cette complication ( fig. 3-151
Fig. 3-151
Patiente opérée de kératoplastie lamellaire profonde 1 semaine auparavant.a, b. Mise en évidence en lampe à fente (a) puis en OCT (b) d'une double chambre antérieure et d'une déhiscence postérieure. c. OCT confirmant la bonne adhérence de la membrane de Descemet 1 mois après injection d'une bulle d'air.
). Après injection d'une bulle d'air, l'OCT confirme le plus souvent le bon repositionnement de la membrane de Descemet et confirme le retour à la normale de l'épaisseur du greffon, aux alentours de 530 microns.
Toujours dans l'optique d'une kératoplastie lamellaire, l'examen OCT apporte une aide précieuse au chirurgien lorsqu'il existe une ou plusieurs zones d'amincissement cornéen au niveau de la moyenne périphérie, ce qui n'est pas si rare lors des opacités séquellaires d'infection bactérienne ou virale ( fig. 3-152
Fig. 3-152
Patient présentant une séquelle de kératite herpétique avec amincissement périphérique au niveau de la zone prévue de trépanation.a, c. Aspect préopératoire avec amincissement périphérique visible en OCT (c). b, d. Aspect postopératoire en lampe à fente (b) et en OCT (d) d'un greffon lamellaire profond avec jupe périphérique positionnée au niveau de la zone d'amincissement en temporal inférieur.
). Le risque est alors de réaliser une trépanation perforante au niveau de la zone d'amincissement, complication qui doit être à tout prix évitée. Dans ce cas, l'OCT est capital car il réalise une cartographie pachymétrique et indique au chirurgien les zones d'amincissement présentant un risque de perforation au moment de la trépanation. Sur l'exemple de la figure 3-152 , on voit très bien l'amincissement périphérique à 355 microns en temporal et au niveau de la zone de trépanation, alors que l'épaisseur de cornée controlatérale est chiffrée à 611 microns. Dans ce cas, si le chirurgien règle la profondeur de trépanation à 450 microns, comme habituellement lors d'une kératoplastie lamellaire profonde, on comprend aisément qu'il se produira une perforation. La carte pachymétrique retrouve même une zone amincie à 150 microns un peu plus bas. Dans ce cas, le chirurgien injectera de l'eau dans le stroma aminci dans le but de l'épaissir afin de lui permettre de réaliser la trépanation non perforante à la profondeur prévue de 450 microns. Une fois le stroma totalement retiré et la membrane de Descemet dénudée, on comprend à l'aide de l'OCT qu'il se produira forcément une marche d'escalier en temporal puisque le greffon aura une épaisseur deux fois plus importante que le lit receveur temporal. Dansce cas, nous décidons de façonner un greffon lamellaire conservant une jupe périphérique sur deux quadrants horaires. La jupe périphérique sera glissée dans une poche de dissection lamellaire périphérique, ce qui permettra d'épaissir le lit receveur et d'obtenir un affrontement parfait entre le greffon et la cornée receveuse. L'examen OCT au final confirme le bon affrontement et le bon positionnement de la jupe périphérique ( fig. 3-152 ).
L'OCT peut également être une aide chirurgicale importante au bloc pour certains auteurs et chirurgiens depuis que l'OCT peut être directement positionné dans le microscope opératoire. Son utilisation faciliterait l'étape de mise à nu de la membrane de Descemet, bien que la définition de l'image en mouvement nécessite encore quelques améliorations [ 12–15 ].
Examen OCT et greffes endothéliales
Les greffes endothéliales consistent à remplacer l'endothélium du receveur par un greffon d'endothélium provenant d'un donneur. La greffe endothéliale représente aujourd'hui plus de la moitié des greffes de cornée et les indications les plus fréquentes sont la dystrophie endothéliale primitive de Fuchs et la kératopathie bulleuse. Suivant les cas, il s'agira d'un greffon stromal postérieur d'à peu près 100 microns d'épaisseur (40 à 120 µm) comprenant la membrane de Descemet et l'endothélium (on parle de DSAEK pour Descemet stripping automated endothelial keratoplasty ) ou d'un greffon endothélio-descemétique pur de 15 microns d'épaisseur (la technique est dénommée DMEK pour Descemet membrane endothelial keratoplasty ).
L'OCT est rarement nécessaire en préopératoire de greffe de cornée endothéliale, mais il peut confirmer l'efficacité d'un traitement osmotique en mettant en évidence la disparition des bulles épithéliales ou du décollement épithélial ( fig. 3-153
Fig. 3-153
Image en OCT d'une kératopathie bulleuse avec décollement épithélial (a).On voit bien l'épithélium se repositionner 5 minutes (b) puis 15 minutes (c) après instillation de glycérine.
). En revanche, son utilité ne se discute pas lors du suivi postopératoire. En effet, l'OCT permet de confirmer le bon positionnement du greffon postérieur, sa bonne adhérence et sa régularité et, de ce fait, permet de comprendre les différences en postopératoire entre une DSAEK, une ultrathin DSAEK et une DMEK ( fig. 3-154
Fig. 3-154
Aspect en OCT de DSAEK et DMEK.a. DSAEK épaisse. b. Ultrathin DSAEK préparée avec microkératome. c. Ultrathin DSAEK préparée manuellement. d. DMEK.
). Lorsque la récupération visuelle est imparfaite, l'OCT permet de rechercher des irrégularités d'épaisseur du greffon pouvant expliquer la moindre récupération après DSAEK ( fig. 3-155
Fig. 3-155
a, b. Aspect en OCT de deux greffons relativement épais et irréguliers à l'origine d'une récupération visuelle incomplète.
) et parfois même indiquer un changement de greffon postérieur [ 16–20 ].
Dans le cas précis de la DMEK, l'examen OCT permet de confirmer le bon sens de positionnement du greffon endothélial à partir de l'enroulement périphérique spontané du greffon [ 21 ]. Il permet également de confirmer un éventuel décollement postopératoire du greffon et de poser l'indication d'une réinjection d'air ( fig. 3-156
Fig. 3-156
Décollement d'un greffon endothélial pur.a, b. Aspect d'œdème localisé en lampe à fente (a) expliqué par le décollement partiel nasal inférieur visible en OCT (b). c, d. Aspect en lampe à fente (c) et OCT (d) 1 semaine après injection d'une bulle d'air et réapplication du greffon.
) [ 22–24 ].
Dans chaque indication complexe, le recours à l'OCT est indispensable en cas d'œdème cornéen postopératoire. Ainsi dans la figure 3-157
Fig. 3-157
Patiente aux antécédents de Lasik et opérée de greffe endothéliale il y a 7 jours.a, b. Aspect à 7 jours avec adhésion incomplète du greffon endothélial et décollement du volet de Lasik. c, d. Aspect à 15 jours après injection d'une bulle d'air et réapplication du greffon et du volet de Lasik.
, il s'agit d'une patiente opérée de Lasik il y a 10 ans, puis de greffe endothéliale il y a 7 jours. Il est intéressant de constater grâce à l'OCT que le décollement postopératoire du greffon endothélial est associé à un décollement spontané du capot de Lasik confirmant ainsi le rôle majeur de la pompe endothéliale dans l'adhésion du volet de Lasik. Après injection d'une bulle d'air, la bonne adhésion du greffon endothélial et la reprise de la pompe endothéliale s'accompagnent de l'adhésion spontanée du capot et d'une récupération visuelle satisfaisante.
Certains chirurgiens recommandent l'utilisation de l'OCT couplé au microscope opératoire afin de pouvoir contrôler le bon déploiement et la bonne orientation du greffon endothélial malgré une cornée relativement opaque ( fig. 3-158
Fig. 3-158
Greffe endothéliale DMEK et OCT peropératoire : images au microscope opératoire (a, c) et en OCT(b,d).a, b. Greffon DMEK enroulé avec endothélium à l'intérieur (technique Muraine) en voie de déploiement. c, d. Greffon déroulé et appliqué par une bulle d'air. On voit bien en OCT la lame de fluide résiduelle.
) [ 25 , 26 ]. L'OCT utilise pour ce faire la particularité du greffon endothélial qui est de s'enrouler spontanément sur lui-même avec l'endothélium vers l'extérieur. D'autres chirurgiens remplacent habilement l'OCT dans cette indication par un simple marquage de la membrane de Descemet par une lettre asymétrique. Un autre intérêt de l'OCT peropératoire est d'analyser la lame de fluide entre le greffon et le stroma postérieur afin de la réduire au maximum par massage, car celle-ci est corrélée à un plus fort taux de décollement postopératoire [ 27 , 28 ].
Utilisation de l'OCT dans le laboratoire de la banque de cornées
Ces dernières années ont été le témoin d'une augmentation très importante du nombre de greffes endothéliales, en particulier de type DSAEK et d'un transfert de la préparation des greffons endothéliaux des chirurgiens vers les laboratoires des banques de cornée [ 29 ]. La découpe du greffon postérieur n'est pas si simple sur une cornée ayant gonflé pendant sa conservation dans le milieu de déturgescence.
C'est à cette étape que le technicien peut améliorer l'analyse de la cornée en se servant de l'OCT s'il peut en disposer ( fig. 3-159
Fig. 3-159
Analyse de la cornée à la banque de cornée.a. Cornée positionnée devant l'OCT sur une chambre antérieure artificielle. b. Aspect d'un greffon prédécoupé DSAEK encore œdémateux avec cornée antérieure reposée avant envoi. c. Aspect d'une cornée après conservation en culture et épaisseur centrale de 963 microns. d. Aspect après 24 heures de déturgescence et diminution de l'épaisseur cornéenne à 661 microns.
) [ 30 , 31 ]. En effet, la connaissance exacte de la géométrie de la cornée donneuse permet au technicien d'ajuster au mieux sa profondeur de découpe et d'obtenir un greffon le plus fin possible. L'examen OCT est également capable de contrôler la régularité du greffon prédécoupé car le résultat visuel ne sera pas le même si le greffon présente deux faces parallèles ou si le greffon présente des différences d'épaisseur relativement importantes. En suivant ce principe, la banque de cornées peut ainsi ne délivrer que des greffons prédécoupés pour DSAEK d'une régularité et d'une finesse contrôlées.
Grâce à l'OCT, les banques de cornée peuvent également analyser la courbe de réduction pachymétrique de la cornée après son transfert en milieu de déturgescence et définir le meilleur moment (en général 15 à 24 heures après le changement de milieu) pour la découpe, car l'épaisseur de la cornée ré-augmente au-delà [ 32 ].
Enfin, certaines banques de cornées utilisent l'OCT afin de rechercher des antécédents de Lasik sur les cornées prélevées et de les éliminer en vue d'une greffe lamellaire antérieure ou transfixiante [ 33 ]. Si l'OCT peut détecter une éventuelle découpe du volet, elle ne peut malheureusement pas détecter un antécédent de laser de surface.
Conclusion
Les appareils OCT de segment antérieur sont désormais indispensables dans la prise en charge des pathologies cornéennes nécessitant une greffe de la cornée. L'OCT peut être utilisé en préopératoire afin de conforter le choix de la meilleure technique chirurgicale, lamellaire ou transfixiante. Lors de la réalisation des kératoplasties transfixiantes, l'examen OCT permet de comprendre la survenue d'un astigmatisme à long terme lorsqu'il peut confirmer le glissement du greffon et incite dans ce cas à poser une indication de repositionnement du greffon. Lors de la réalisation des kératoplasties lamellaires profondes, l'OCT permet principalement de rechercher la présence de stroma postérieur non retiré en avant de la membrane de Descemet et de comprendre les cas de récupération visuelle imparfaite. Lors de la pratique des greffes endothéliales, il permet d'analyser la régularité des greffons DSAEK et de la corréler à la récupération visuelle. Il permet également de confirmer la bonne adhérence d'un greffon endothélial de type DMEK, car les décollements périphériques sont relativement fréquents lors de cette technique.
L'OCT peut également être utilisé au sein même des laboratoires des banques de cornées lors de la préparation des greffons endothéliaux de type DSAEK. Il permet alors aux techniciens de régler au mieux la profondeur de découpe en fonction de l'épaisseur de la cornée et de ne conserver pour greffe que les greffons suffisamment réguliers et minces.
BIBLIOGRAPHIE
1
Nesi TT, Leite DA, Rocha FM, et al. Indications of optical coherence tomography in keratoplasties : literature review, J Ophthalmol 2012; 2012 : 989063.
2
Siebelmann S, Scholz P, Sonnenschein S, et al. Anterior segment optical coherence tomography for the diagnosis of corneal dystrophies according to the IC3D classification, Surv Ophthalmol 2018; 63 : 365 - 380.
3
Rush SW, Han DY, Rush RB, Optical coherence tomography-guided transepithelial phototherapeutic keratectomy for the treatment of anterior corneal scarring, Am J Ophthalmol 2013; 156 : 1088 - 1094.
4
Kim T, Hong JP, Ha BJ, et al. Determination of treatment strategies for granular corneal dystrophy type 2 using Fourier-domain optical coherence tomography, Br J Ophthalmol 2010; 94 : 341 - 345.
5
Mian SI, Soong HK, Patel SV, et al. In vivo femtosecond laser-assisted posterior lamellar keratoplasty in rabbits, Cornea 2006; 25 : 1205 - 1209.
6
Steinert RF, Ignacio TS, Sarayba MA, “Top hat”-shaped penetrating keratoplasty using the femtosecond laser, Am J Ophthalmol 2007; 143 : 689 - 691.
7
Nassar GA, Arfeen SAES, Correlation between the graft-host junction of penetrating keratoplasty by anterior segment-optical coherence tomography and the magnitude of postoperative astigmatism, Indian J Ophthalmol 2017; 65 : 574 - 578.
8
Yenerel NM, Kucumen RB, Gorgun E, The complementary benefit of anterior segment optical coherence tomography in penetrating keratoplasty, Clin Ophthalmol 2013; 7 : 1515 - 1523.
9
Sung MS, Yoon KC, Evaluation of graft-host interface after penetrating keratoplasty using anterior segment optical coherence tomography, Jpn J Ophthalmol 2014; 58 : 282 - 289.
10
Raj A, Dhasmana R, Bahadur H, et al. Evaluation of the central corneal thickness with anterior segment optical coherence tomogram after penetrating keratoplasty, J Clin Diagn Res 2016; 10 : NC05 - NC08.
11
Liu YC, Lwin NC, Chan NSW, et al. Use of anterior segment optical coherence tomography to predict corneal graft rejection in small animal models, Invest Ophthalmol Vis Sci 2014; 55 : 6736 - 6741.
12
Au J, Goshe J, Dupps WJ, et al. Intraoperative optical coherence tomography for enhanced depth visualization in deep anterior lamellar keratoplasty from the PIONEER Study, Cornea 2015; 34 : 1039 - 1043.
13
Steven P, Le Blanc C, Lankenau E, et al. Optimising deep anterior lamellar keratoplasty (DALK) using intraoperative online optical coherence tomography (iOCT), Br J Ophthalmol 2014; 98 : 900 - 904.
14
De Benito-Llopis L, Mehta JS, Angunawela RI, et al. Intraoperative anterior segment optical coherence tomography : a novel assessment tool during deep anterior lamellar keratoplasty, Am J Ophthalmol 2014; 157 : 334 - 341.
15
Scorcia V, Busin M, Lucisano A, et al. Anterior segment optical coherence tomography-guided big-bubble technique, Ophthalmology 2013; 120 : 471 - 476.
16
Graffi S, Leon P, Mimouni M, et al. Anterior segment optical coherence tomography of post-descemet stripping automated endothelial keratoplasty eyes to evaluate graft morphology and its association with visual outcome, Cornea 2018; 37 : 1087 - 1092.
17
Arnalich-Montiel F, Ortiz-Toquero S, Auladell C, et al. Accuracy of corneal thickness by swept-source optical coherence tomography and scheimpflug camera in virgin and treated fuchs endothelial dystrophy, Cornea 2018; 37 : 727 - 733.
18
Mencucci R, Favuzza E, Tartaro R, et al. Descemet stripping automated endothelial keratoplasty in Fuchs' corneal endothelial dystrophy : anterior segment optical coherence tomography and in vivo confocal microscopy analysis, BMC Ophthalmol 2015; 15 : 99.
19
Kanellopoulos AJ, Asimellis G, Anterior-segment optical coherence tomography investigation of corneal deturgescence and epithelial remodeling after DSAEK, Cornea 2014; 33 : 340 - 348.
20
Kumar DA, Dua HS, Agarwal A, et al. Postoperative spectral-domain optical coherence tomography evaluation of pre-Descemet endothelial keratoplasty grafts, J Cataract Refract Surg 2015; 41 : 1535 - 1536.
21
Saad A, Sabatier P, Gatinel D, Graft orientation, optical coherence tomography, and endothelial keratoplasty, Ophthalmology 2013; 120 : 871. ; 871.e3
22
Satue M, Idoipe M, Sanchez-Perez A, et al. Evaluation of early graft detachment after descemet membrane endothelial keratoplasty using new swept-source optical coherence tomography, Cornea 2016; 35 : 1279 - 1284.
23
Moutsouris K, Dapena I, Ham L, et al. Optical coherence tomography, Scheimpflug imaging, and slit-lamp biomicroscopy in the early detection of graft detachment after Descemet membrane endothelial keratoplasty, Cornea 2011; 30 : 1369 - 1375.
24
Yeh RY, Quilendrino R, Musa FU, et al. Predictive value of optical coherence tomography in graft attachment after Descemet's membrane endothelial keratoplasty, Ophthalmology 2013; 120 : 240 - 245.
25
Cost B, Goshe JM, Srivastava S, et al. Intraoperative optical coherence tomography-assisted descemet membrane endothelial keratoplasty in the DISCOVER study, Am J Ophthalmol 2015; 160 : 430 - 437.
26
Steven P, Le Blanc C, Velten K, et al. Optimizing descemet membrane endothelial keratoplasty using intraoperative optical coherence tomography, JAMA Ophthalmol 2013; 131 : 1135 - 1142.
27
Xu D, Dupps WJ, Srivastava SK, et al. Automated volumetric analysis of interface fluid in descemet stripping automated endothelial keratoplasty using intraoperative optical coherence tomography, Invest Ophthalmol Vis Sci 2014; 55 : 5610 - 5615.
28
Hallahan KM, Cost B, Goshe JM, et al. Intraoperative interface fluid dynamics and clinical outcomes for intraoperative optical coherence tomography-assisted Descemet stripping automated endothelial keratoplasty from the PIONEER Study, Am J Ophthalmol 2017; 173 : 16 - 22.
29
Kobayashi A, Yokogawa H, Mori N, et al. Visualization of pre-cut DSAEK and pre-stripped DMEK donor corneas by intraoperative optical coherence tomography using the RESCAN 700, BMC Ophthalmol 2016; 16 : 135.
30
Kanavi MR, Nemati F, Chamani T, et al. Measurements of donor endothelial keratoplasty lenticules prepared from fresh donated whole eyes by using ultrasound and optical coherence tomography, Cell Tissue Bank 2017; 18 : 99 - 104.
31
Fante RJ, Shtein RM, Titus MS, et al. Anterior segment optical coherence tomography versus ultrasound pachymetry to measure corneal thickness in endothelial keratoplasty donor corneas, Cornea 2013; 32 : e79 - e82.
32
Tang M, Stoeger C, Galloway J, et al. Evaluating DSAEK graft deturgescence in preservation medium after microkeratome cut with optical coherence tomography, Cornea 2013; 32 : 847 - 850.
33
Lin RC, Li Y, Tang M, et al. Screening for previous refractive surgery in eye bank corneas by using optical coherence tomography, Cornea 2007; 26 : 594 - 599.
3.2
APPORT DE L'OCT DE SEGMENT ANTÉRIEUR DANS LE GLAUCOME

A. LABBÉ,

B. ARDITTI,

B. DUPAS,

E. BRASNU,

J.-R. FÉNOLLAND,

S. KALLEL,

A. EL MAFTOUHI,

P. HAMARD,

C. BAUDOUIN

Introduction
De nombreuses applications de l'OCT de segment antérieur (OCT-SA) existent aujourd'hui dans les domaines de la biométrie, de la chirurgie réfractive, des pathologies de la surface oculaire et cornéenne, mais aussi dans le domaine du glaucome. La prise en charge des patients glaucomateux a largement bénéficié de cette imagerie du segment antérieur en particulier pour l'évaluation de l'angle irido-cornéen, pour le dépistage et l'analyse des mécanismes de fermeture de l'angle mais aussi dans d'autres applications comme le suivi de la chirurgie.
Analyse de l'angle irido-cornéen
L'évaluation de l'angle irido-cornéen (AIC) demeure un examen indispensable lors du bilan d'un patient avec une hypertonie oculaire (HTO), un glaucome ou une suspicion de glaucome à angle ouvert (GAO) ou fermé (GAF), ou après un traumatisme oculaire. Cette analyse est également essentielle lors du suivi des patients, car l'AIC se modifie avec le temps (modification du volume du cristallin, pigmentation de l'angle, etc.) ou en raison des traitements médicaux ou chirurgicaux dont le patient peut bénéficier. Même si la gonioscopie reste l'examen de référence pour l'évaluation de l'AIC en pratique clinique, l'échographie de très haute fréquence (UBM) puis l'OCT-SA permettent de visualiser des structures non visibles cliniquement et offrent aussi des éléments quantitatifs objectifs.
ANALYSE QUALITATIVE ET DOCUMENTATION DE L'AIC
La cornée, la chambre antérieure, la face antérieure de l'iris, l'AIC et les rapports de ces structures entre elles sont facilement visualisés en OCT-SA avec une excellente résolution ( fig. 3-160
Fig. 3-160
Image en OCT (Visante®, Carl Zeiss Meditec) du segment antérieur montrant un angle irido-cornéen étroit avec un volumineux cristallin.
). Les structures anatomiques situées en arrière de l'iris sont moins bien analysées du fait de la faible pénétration des ondes lumineuses au travers des tissus iriens. La pénétration plus profonde des ultrasons permet ainsi à l'UBM de mieux visualiser les corps ciliaires, le sulcus ciliaire et la partie antérieure du cristallin située en arrière de l'iris ( fig. 3-161
Fig. 3-161
Angle étroit.a. Image en UBM (VuMAX II, Sonomed) d'un angle irido-cornéen fermé avec une synéchie antérieure périphérique. b. Image en OCT Visante® (Carl Zeiss Meditec) d'un angle étroit sans apposition irido-trabéculaire. La pénétration plus profonde des ultrasons permet ainsi à l'UBM de mieux visualiser les corps ciliaires, le sulcus ciliaire et les structures situées en arrière de l'iris.
).
L'éperon scléral est un élément clé de l'évaluation de l'AIC en OCT-SA comme en UBM. Situé juste en arrière du trabéculum, sa visualisation permet d'analyser le degré d'ouverture de l'angle, la présence d'une apposition irido-trabéculaire ou l'existence de synéchies antérieures périphériques (SAP) ( fig. 3-162
Fig. 3-162
Image en OCT (Visante®, Carl Zeiss Meditec) d'un angle irido-cornéen ouvert.Le repérage de l'éperon scléral, situé juste en arrière du trabéculum, permet d'analyser le degré d'ouverture de l'angle.
). La visualisation de l'éperon scléral est aussi indispensable afin de mesurer les différents paramètres quantitatifs d'analyse de l'angle. Des études ont montré que l'OCT-SA permettait de localiser l'éperon scléral chez 72 % des yeux [ 1 ].
ANGLES ÉTROITS
Plusieurs mécanismes peuvent être à l'origine de la fermeture de l'AIC : le blocage pupillaire, le blocage direct de l'angle par un mécanisme d'iris plateau, les kystes irido-ciliaires et les anomalies d'insertion de l'iris, les mécanismes cristalliniens, et une bascule antérieure du plan irido-ciliaire dans le glaucome malin ou l'effusion cilio-choroïdienne. L'angle peut également être étroit suite au développement de SAP dans le glaucome néovasculaire ou les syndromes irido-cornéo-endothéliaux (ICE) [ 2 ]. Bien que limité par la pénétration oculaire des ondes lumineuses, l'OCT-SA apporte néanmoins des éléments utiles pour analyser les mécanismes à l'origine de la fermeture de l'angle. Certains auteurs travaillent d'ailleurs à une automatisation de la détection de la configuration angulaire et du mécanisme de fermeture de l'AIC en OCT-SA [ 3 ].
Mécanisme de blocage pupillaire
Le blocage pupillaire est le mécanisme le plus souvent mis en jeu dans les glaucomes à angle étroit. La différence de pression entre la chambre postérieure et la chambre antérieure entraîne une convexité antérieure de l'iris visible en OCT-SA ainsi qu'un adossement de la périphérie de l'iris au trabéculum ( fig. 3-163
Fig. 3-163
a. Image en UBM (VuMAX II, Sonomed) d'un angle irido-cornéen fermé en rapport avec un blocage pupillaire. Il existe une convexité et une bascule antérieure de l'iris provoquant une fermeture de l'angle irido-cornéen. b. L'UBM permet d'éliminer un mécanisme d'iris plateau. Image en OCT (Visante®, Carl Zeiss Meditec) d'un angle irido-cornéen étroit avec apposition irido-trabéculaire en rapport avec un blocage pupillaire associé à un mécanisme cristallinien. On observe une convexité antérieure de l'iris.
). Ce blocage pupillaire peut survenir sur un œil phaque, sur un œil aphaque avec un blocage au niveau de l'interface entre l'iris et le vitré, ou encore sur un œil pseudophaque avec la mise en place d'un implant de chambre antérieure en l'absence d'iridotomie ou en cas d'adossement de l'iris à un implant de chambre postérieure ( fig. 3-164
Fig. 3-164
Angle fermé.a. Image en OCT (Visante®, Carl Zeiss Meditec) d'un angle irido-cornéen fermé avec une apposition irido-trabéculaire en rapport avec un blocage pupillaire associé à un mécanisme cristallinien. b. Autre image d'un angle irido-cornéen étroit en rapport avec un blocage pupillaire. Il existe une convexité et une bascule antérieure de l'iris provoquant une fermeture de l'angle irido-cornéen avec apposition irido-trabéculaire.
). En cas de mécanisme de blocage pupillaire, on observera après une iridotomie un aplatissement de la surface irienne et une réouverture de l'angle AIC ( fig. 3-165
Fig. 3-165
Images en OCT (Visante®, Carl Zeiss Meditec) des modifications anatomiques induites immédiatement après une iridotomie périphérique dans un angle étroit par mécanisme de blocage pupillaire.On constate un approfondissement de la chambre antérieure associé à une réouverture de l'angle irido-cornéen. L'iridotomie est transfixiante. La chambre antérieure contient encore du pigment.
) [ 4–6 ].
Mécanisme d'iris plateau, anomalies d'insertion de l'iris et kystes irido-ciliaires
L'élément caractéristique des yeux avec un mécanisme d'iris plateau est démontré par l'UBM avec une position antérieure et une rotation des corps ciliaires qui sont en contact avec la portion périphérique de l'iris et provoquent une fermeture de l'AIC ( fig. 3-166
Fig. 3-166
Iris plateau.a. Image en UBM (VuMAX II, Sonomed) d'un angle irido-cornéen fermé en rapport avec un mécanisme d'iris plateau. Il existe une rotation antérieure des procès ciliaires qui refoulent la racine de l'iris vers l'avant et viennent fermer l'angle irido-cornéen. Les procès ciliaires sont situés en avant d'une ligne perpendiculaire à la sclère passant l'éperon scléral. b. Image en OCT (Visante®, Carl Zeiss Meditec) d'un angle irido-cornéen fermé en rapport avec un mécanisme d'iris plateau et une composante de blocage pupillaire. L'iris fait un angle en périphérie puis s'aplatit vers le centre. Les procès ciliaires ne sont pas clairement visibles, mais on devine leur bascule antérieure.
). Cette configuration entraîne une fermeture du sulcus ciliaire réalisant un support pour la racine de l'iris qui ne peut plus s'écarter du trabéculum même en présence d'une iridectomie périphérique transfixiante ou après chirurgie de la cataracte [ 7 ]. L'OCT-SA, malgré ses limites pour la visualisation des corps ciliaires, peut apporter des arguments en faveur du diagnostic avec un iris plat et une angulation périphérique associée à une fermeture de l'AIC ( fig. 3-166 à 3-168
Fig. 3-167
Iris plateau.a. Image en OCT (Visante®, Carl Zeiss Meditec) d'une chambre antérieure profonde associée à un angle irido-cornéen fermé en rapport avec un mécanisme d'iris plateau. Il existe une apposition irido-trabéculaire bilatérale, avec la racine de l'iris qui vient au contact du trabéculum. L'iris fait un angle en périphérie puis s'aplatit vers le centre. b. Autre image montrant un angle irido-cornéen fermé en rapport avec un mécanisme d'iris plateau associé à un mécanisme de blocage pupillaire sur un cristallin de gros volume.
Fig. 3-168
Image en OCT (Visante®, Carl Zeiss Meditec) d'un angle irido-cornéen fermé en rapport avec un mécanisme d'iris plateau.L'iris fait un angle en périphérie puis s'aplatit vers le centre. La racine de l'iris vient au contact du trabéculum. Les procès ciliaires ne sont pas clairement visibles, mais on devine leur bascule antérieure.
) [ 5 , 8 , 9 ]. Les kystes irido-ciliaires peuvent aussi provoquer un aspect dit de pseudo-iris plateau. Néanmoins, l'OCT étant limité par sa pénétration au travers de l'épithélium irien, seule l'UBM permettra réellement d'analyser les kystes irido-ciliaires et leurs diagnostics différentiels ( fig. 3-169
Fig. 3-169
Image en UBM (VuMAX® II, Sonomed) d'un angle irido-cornéen fermé en rapport avec des kystes irido-ciliaires réalisant un aspect de pseudo-iris plateau.
) [ 5 , 8 , 9 ]. Pour les mêmes raisons, l'OCT-SA permet de visualiser la localisation de l'insertion de l'iris mais de manière moins précise que l'UBM.
Mécanismes cristalliniens
Le cristallin joue un rôle important dans la physiopathologie de la fermeture de l'AIC, soit par une augmentation de son volume soit par une position plus antérieure. La position et la taille du cristallin peuvent être facilement analysées en OCT-SA. Par rapport à l'UBM, la possibilité de visualiser en OCT l'ensemble du segment antérieur sur une seule coupe facilite l'analyse du rôle du facteur cristallinien ( fig. 3-170
Fig. 3-170
Mécanisme cristallinien.a. Image en OCT (Visante®, Carl Zeiss Meditec) d'un angle irido-cornéen ouvert mais avec une chambre antérieure très étroite en rapport avec un mécanisme cristallinien. b, c. Autres images montrant un angle irido-cornéen étroit avec une apposition irido-trabéculaire en rapport avec un mécanisme cristallinien.
). La mesure de la flèche cristallinienne, ou lens vault , est un paramètre quantitatif utile pour évaluer le rôle du cristallin dans le mécanisme à l'origine de la fermeture de l'AIC ( fig. 3-171
Fig. 3-171
Image en OCT (Visante®, Carl Zeiss Meditec) d'un angle irido-cornéen fermé avec une apposition irido-trabéculaire en rapport avec un mécanisme cristallinien.La mesure de la flèche cristallinienne permet d'évaluer quantitativement la responsabilité du cristallin dans la fermeture de l'angle (1 100 microns lors de cette mesure).
) [ 10 ].
Glaucome malin et effusion cilio-choroïdienne
Le glaucome malin est défini par un affaissement de la chambre antérieure accompagné d'une augmentation de la PIO en présence d'une iridotomie visible et en l'absence de décollement choroïdien cliniquement décelable [ 11 ]. Les mécanismes physiopathologiques à l'origine du glaucome malin ne sont pas totalement élucidés mais il semble qu'un blocage ciliaire associé à un flux d'humeur aqueuse dirigé vers la cavité vitréenne soit le mécanisme principal dans la pathogénie du glaucome malin [ 12 ]. Le cristallin ou l'implant intra-oculaire sont ainsi poussés en avant, réduisant la profondeur de la chambre antérieure et fermant l'AIC. L'UBM montre ainsi une chambre antérieure effacée, une rotation antérieure des procès ciliaires avec une fermeture du sulcus ciliaire, et l'occlusion du trabéculum [ 12 ]. Malgré la moins bonne visualisation des procès ciliaire, ce mécanisme de fermeture de l'angle pourrait également être suivi en OCT-SA ( fig. 3-172
Fig. 3-172
Glaucome malin.Images en OCT (Visante®, Carl Zeiss Meditec) d'un angle irido-cornéen fermé avec une chambre antérieure effacée et une bascule du plan irido-ciliaire vers l'avant dans le cas d'un glaucome malin après trabéculectomie. a. On observe également la présence d'un implant en chambre postérieure. b. L'orifice de trabéculectomie est visible sur la partie gauche de l'image.
) [ 5 , 13 ].
L'effusion cilio-choroïdienne peut survenir à la suite de différentes pathologies comme une nanophtalmie, des maladies inflammatoires, la chirurgie du décollement de rétine, l'occlusion de la veine centrale de la rétine, la chirurgie du glaucome ou encore la prise de certains médicaments [ 14 , 15 ]. L'effusion choroïdienne est responsable de fermeture de l'angle bien visualisée en UBM et dans une moindre mesure en OCT-SA ( fig. 3-173
Fig. 3-173
Effusion uvéale.a. Image en OCT (Visante®, Carl Zeiss Meditec) d'un angle irido-cornéen fermé avec une chambre antérieure étroite et une bascule du plan irido-ciliaire vers l'avant associée à un décollement choroïdien périphérique (DC) et un œdème des corps ciliaires dans le cadre d'une effusion cilio-choroïdienne. b, c. Autres images, avant (b) et après traitement (c).
). On observe ainsi un œdème des corps ciliaires avec une rotation des procès ciliaires et une bascule antérieure du plan irido-ciliaire entraînant une fermeture de l'AIC [ 5 , 16 ].
Autres causes d'angle étroit
L'angle peut également être étroit suite au développement de synéchies antérieures périphériques (SAP) dans le cadre d'un glaucome néovasculaire ou lors des syndromes ICE ( fig. 3-174
Fig. 3-174
Image en OCT (Visante®, Carl Zeiss Meditec) de synéchies antérieures périphériques bilatérales entraînant une attraction antérieure de l'iris dans le cadre d'un glaucome néovasculaire de stade IV.
) [ 2 ]. Le glaucome néovasculaire (GNV) est un glaucome par fermeture de l'angle, secondaire à l'envahissement de l'AIC par des néovaisseaux entourés d'une lame porte-vaisseaux, puis à une contraction de la membrane néovasculaire entraînant une fermeture de l'AIC avec constitution de goniosynéchies. Celles-ci peuvent être visualisées en OCT. Le syndrome ICE correspond à un ensemble de pathologies caractérisées par la présence de cellules endothéliales anormales qui prolifèrent et migrent dans l'AIC et à la surface de l'iris, entraînant à des degrés variables un œdème cornéen, une atrophie et une déformation de l'iris, et des synéchies antérieures dans l'AIC.
Analyse dynamique
Une analyse dynamique de l'AIC peut être facilement réalisée en OCT-SA en plaçant le patient en condition scotopique ou photopique, de façon à observer le jeu pupillaire et les modifications induites sur l'AIC ( fig. 3-175
Fig. 3-175
Iris plateau.a. Image en OCT (Visante®, Carl Zeiss Meditec) d'un angle irido-cornéen fermé en rapport avec un mécanisme d'iris plateau. b. L'analyse dynamique montre la fermeture complète de l'angle avec apposition irido-trabéculaire lors de la dilatation.
) [ 5 , 6 , 8 , 17 ]. Cette analyse dynamique est très importante afin de détecter des fermetures de l'AIC lors des modifications de la dilatation irienne [ 18 ] mais aussi pour mieux comprendre la Physiopathologie du GAF [ 19 ].
ANGLES OUVERTS
L'imagerie du segment antérieur est également utilisée dans les GAO pour mieux comprendre leur physiopathologie ou documenter certaines anomalies angulaires.
Visualisation du trabéculum et du canal de Schlemm
Avec le développement de l'imagerie en SD-OCT et SS-OCT, l'imagerie en coupes des tissus qui composent l'AIC devient possible et analysable. Il est aujourd'hui possible d'identifier le trabéculum et le canal de Schlemm avec une bonne reproductibilité ( fig. 3-176 à 3-180
Fig. 3-176
Image en SD-OCT (RTVue-XR Avanti®, Optovue) de l'angle irido-cornéen permettant de visualiser le canal de Schlemm (flèche).
Fig. 3-177
Image en OCT (Visante®, Carl Zeiss Meditec) de l'angle irido-cornéen avec un embryotoxon postérieur (flèche).
Fig. 3-178
Image en OCT (Visante®, Carl Zeiss Meditec) de l'angle irido-cornéen montrant une veine aqueuse de drainage angulaire (flèche).
Fig. 3-179
Image en SD-OCT (RTVue-XR Avanti®, Optovue) de l'angle irido-cornéen permettant de visualiser le trabéculum (flèche).
Fig. 3-180
Image en SD-OCT (RTVue-XR Avanti®, Optovue) de l'angle irido-cornéen parallèle au limbe, permettant de visualiser le trabéculum et le canal de Schlemm.
) [ 20 , 21 ]. Certains auteurs mesurent ainsi la longueur, l'épaisseur et la surface du trabéculum en OCT-SA [ 22 ].
Syndrome de dispersion pigmentaire et glaucome pigmentaire
L'exploration en UBM des patients avec un syndrome de dispersion pigmentaire a permis de mettre en évidence un aspect d'inversion de la courbure de l'iris. En semi-mydriase, on retrouve en OCT-SA une concavité antérieure de l'iris qui entraîne une majoration du contact entre la zonule, le cristallin et la face postérieure de l'iris ( fig. 3-181
Fig. 3-181
Syndrome de dispersion pigmentaire.a. Image en UBM (VuMAX II®, Sonomed) d'une chambre antérieure très profonde associée à une concavité postérieure de l'iris et un contact irido-zonulaire dans un syndrome de dispersion pigmentaire. b, c. Images en SD-OCT (RTVue-XR Avanti®, Optovue) d'une chambre antérieure très profonde associée à une concavité postérieure de l'iris et un contact irido-cristallinien et probablement irido-zonulaire dans un syndrome de dispersion pigmentaire (b). Même patient après Iridotomie périphérique (c).
) [ 5 , 23 , 24 ]. Il a également été observé en OCT-SA que la concavité irienne et le contact irido-cristallinien diminuaient après iridotomie périphérique [ 24 ].
SURVEILLANCE DES TRAITEMENTS
L'efficacité d'une iridotomie périphérique peut être confirmée en OCT-SA comme en UBM par la visualisation d'une iridotomie transfixiante et par la réouverture de l'AIC ( fig. 3-165 à 3-182
Fig. 3-182
Iridotomie.a. Image en OCT (Visante®, Carl Zeiss Meditec) montrant une iridotomie périphérique transfixiante. b. Autre image montrant une iridotomie périphérique non transfixiante.
). L'imagerie de l'AIC est ainsi particulièrement intéressante lorsque l'AIC ne se rouvre pas après une iridotomie transfixiante, faisant ainsi suspecter un autre mécanisme (associé au blocage pupillaire) à l'origine de la fermeture de l'AIC comme un mécanisme d'iris plateau ou des kystes irido-ciliaires. Dans ces derniers cas, l'UBM sera plus utile que l'OCT afin d'analyser le mécanisme en cause.
En cas d'iris plateau, l'OCT-SA permet également d'analyser les effets de l'iridoplastie sur la périphérie irienne ( fig. 3-183
Fig. 3-183
Image en OCT (Visante®, Carl Zeiss Meditec) des modifications anatomiques induites par une iridoplastie dans le cas d'un iris plateau.On constate un amincissement de la racine de l'iris associé à une hyper-réflectivité de l'iris liée à la cicatrice du laser (flèche). L'angle irido-cornéen est ouvert.
).
TRAUMATOLOGIE OCULAIRE ET ANGLE IRIDO-CORNÉEN
Il est recommandé d'effectuer une gonioscopie devant toute contusion oculaire sévère afin d'établir un bilan lésionnel précis. Le caractère non-contact de l'OCT est ainsi intéressant pour documenter une atteinte angulaire comme une récession angulaire, une irido- ou cyclodialyse ( fig. 3-184
Fig. 3-184
Image en OCT (Visante®, Carl Zeiss Meditec) de l'angle irido-cornéen dans un cas de cyclodialyse post-traumatique.
) [ 8 , 9 , 25 ].
ANALYSE QUANTITATIVE
Un des rôles essentiels des systèmes d'imagerie du segment antérieur comme l'OCT-SA est d'offrir des informations complémentaires à la gonioscopie, en permettant des mesures qualitatives mais aussi quantitatives de la chambre antérieure et de l'ouverture de l'AIC. Des paramètres biométriques, initialement développés en UBM, ont été transposés à l'OCT-SA. Ils sont le plus souvent calculés de manière semi-automatique par le logiciel des appareils d'OCT-SA, après la reconnaissance et le marquage de l'éperon scléral. Ces différentes mesures de l'angle en OCT-SA posséderaient une très bonne reproductibilité [ 26 ].
Les principaux paramètres quantitatifs utilisés sont les suivantes :
  • la mesure de la profondeur de la chambre antérieure au centre du segment antérieur, qui a été le premier paramètre décrit ( fig. 3-185
    Fig. 3-185
    Image en OCT (Visante®, Carl Zeiss Meditec) montrant la mesure de la profondeur de la chambre antérieure.
    );
  • l' anterior chamber angle (ACA) : il correspond à l'angle d'ouverture de l'AIC ( fig. 3-186
    Fig. 3-186
    Image en SD-OCT (Spectralis® OCT, Heildelberg Engineering) montrant la mesure de l'anterior chamber angle(ACA) qui correspond à l'angle d'ouverture de l'angle irido–cornéen.
    ). Des études en UBM ont montré que chez des sujets sains, l'ACA moyen était de 30° ± 11° [ 27 ];
  • l' angle opening distance (AOD) : il correspond à la mesure de la profondeur de la chambre antérieure en périphérie à une distance fixe (250, 500 ou 750 µm) de l'éperon scléral ( fig. 3-187
    Fig. 3-187
    Paramètres quantitatifs de l'angle.a, b. Images en OCT (Visante®, Carl Zeiss Meditec) de l'analyse semi-automatique des paramètres quantitatifs de l'angle irido-cornéen chez un patient avec un angle ouvert (a) et chez un patient avec un angle étroit (b). c. Détails des paramètres obtenus en OCT pour l'analyse de l'angle irido-cornéen.
    ) [ 27 ]. Une distance de 500 µm par rapport à l'éperon scléral correspondrait à la localisation du trabéculum. Selon Radhakrishnan et al., un AOD 500 qui serait inférieur à 200 µm aurait une sensibilité de 87,5 % et une spécificité de 95,7 % pour la détection des angles susceptibles de se fermer [ 28 ];
  • l' angle recess area (ARA) : il correspond à l'aire de la zone triangulaire formée par la surface antérieure de l'iris, la surface postérieure de la cornée et une ligne perpendiculaire à l'endothélium cornéen depuis un point situé à 750 µm en avant de l'éperon scléral (ligne de l'AOD) [ 29 ]. Une valeur inférieure à 0,07 mm2 en UBM aurait une sensibilité de 91,3 % et une spécificité de 87,5 % dans la détection des angles à risque de fermeture [ 28 ];
  • Le trabecular-iris space area (500 ou 750) ou TISA : il correspond à la mesure de la surface de séparation irido-trabéculaire en millimètres carrés, c'est-à-dire la surface de contact entre l'humeur aqueuse et le trabéculum filtrant. Le TISA a été développé spécifiquement pour l'OCT-SA [ 30 ]. Ce paramètre correspond à l'espace situé entre le trabéculum et l'iris à 500 et 750 µm de l'éperon scléral : TISA 500 et TISA 750 ( fig. 3-187 ). Radhakrishnan et al. ont montré qu'une valeur de TISA 500 < 0,11 mm2 avait une sensibilité de 87 % et une spécificité de 100 % pour détecter les angles à risque de fermeture [ 30 ];
  • La flèche cristallinienne ou lens vault (LV) ( fig. 3-188
    Fig. 3-188
    Image en OCT (Visante®, Carl Zeiss Meditec) d'un angle irido-cornéen fermé avec une apposition irido-trabéculaire en rapport avec un mécanisme cristallinien.La mesure de la flèche cristallinienne permet d'évaluer quantitativement la responsabilité du cristallin dans la fermeture de l'angle (1 100 microns).
    ) : elle correspond à la distance perpendiculaire entre la face antérieure du cristallin et une ligne horizontale joignant les deux éperons scléraux. La flèche cristallinienne est un paramètre associé à la fermeture de l'angle. Dans une étude portant sur plus de 100 sujets chinois, les patients avec un angle étroit avaient une flèche cristallinienne d'approximativement 900 microns et les sujets normaux de 315 microns [ 10 ].
L'utilisation de callipers disposés librement permet également de réaliser d'autres mesures de taille ou de profondeur au niveau des structures du segment antérieur ( fig. 3-189
Fig. 3-189
Image en OCT (Visante®, Carl Zeiss Meditec) montrant la mesure des distances séparant un implant de chambre postérieure (implant phaque), situé en avant du cristallin, et l'endothélium cornéen.
).
Par ailleurs, les progrès récents des techniques d'imagerie en OCT-SA (SD et SS) s'accompagnent du développement de nouveaux paramètres mais aussi d'analyse en trois dimensions (3D) ( fig. 3-190a et b
Fig. 3-190
Reconstruction 3D.a, b. Images en SS-OCT (Casia®, OCT, Torney) avec une reconstruction en 3D du segment antérieur montrant un angle irido-cornéen après une iridotomie périphérique. c. Quantification de la surface de contact irido-trabéculaire sur 360°.
(Source : M. Streho.)
). Il est aujourd'hui possible de quantifier de manière semi-automatique sur 360° la surface de contact entre l'iris et le trabéculum ( iridotrabecular contact index ) et de suivre son évolution dans le temps ( fig. 3-190c ) [ 31 ]. La sensibilité et la reproductibilité de ce type de paramètres devront encore être précisées pour intégrer la pratique clinique courante.
Suivi de la chirurgie du glaucome
La trabéculectomie et la sclérectomie profonde non perforante (SPNP) demeurent les méthodes de référence du traitement chirurgical du glaucome. Le développement d'une bulle de filtration, lié aux processus de cicatrisation postopératoire, est un élément majeur de l'efficacité et du devenir de ces deux techniques chirurgicales. Parce que l'aspect clinique observé à la lampe à fente ne correspond pas toujours à leur efficacité en termes de baisse de la PIO, l'imagerie du segment antérieur et en particulier l'OCT-SA permettent une approche de la morphologie interne des bulles de filtration.
Bien que l'impact direct de l'imagerie OCT-SA sur la prise en charge et le suivi des patients opérés de chirurgie filtrante reste encore limité, elle permet d'affiner notre compréhension des mécanismes à l'origine de la filtration ou de son échec, et de guider dans certains cas l'attitude thérapeutique ( needling , section de fil au laser, goniopuncture).
Par ailleurs l'OCT-SA peut être également utilisé pour visualiser le positionnement d'un drain en chambre antérieure lors de la pose d'une valve ou encore pour vérifier le bon positionnement des implants utilisés lors des nouvelles techniques de chirurgie du glaucome comme la minimally invasive glaucoma surgery (MIGS).
ANALYSE DES BULLES DE FILTRATION
Le caractère non-contact de l'OCT-SA a contribué à son développement et à son utilisation pour l'analyse des bulles de filtration après chirurgie du glaucome. Différents éléments de la morphologie interne des bulles de filtration ont ainsi été analysés – comme l'épaisseur de la paroi de la bulle, la présence de liquide dans l'espace sous-conjonctival, la présence de liquide dans l'espace sus-scléral (chambre de décompression), l'épaisseur du volet scléral, la réflectivité de la bulle, ou encore la présence d'une voie de passage pour l'humeur aqueuse sous le volet scléral – et ont été corrélés à l'aspect clinique et à la PIO [ 32 , 33 ]. Plus récemment encore, grâce à des logiciels de reconstruction en 3D, une analyse du volume des bulles de filtration est devenue possible [ 34 ].
Les bulles fonctionnelles sont le plus souvent diffuses et kystiques, et s'accompagnent d'une réflectivité faible ou modérée de leur paroi associée à de nombreux espaces hypo-réflectifs correspondant à de petites poches ou des couches de liquide traduisant le passage intratissulaire d'humeur aqueuse ( fig. 3-191
Fig. 3-191
Image en OCT (Visante®, Carl Zeiss Meditec) du site opératoire d'une sclérectomie profonde non perforante.Noter les différents plans anatomiques : la membrane trabéculo-descemétique résiduelle qui sépare la chambre antérieure et la chambre de décompression, puis le volet scléral et la bulle conjonctivale.
) [ 32 , 33 , 35 ].
Les bulles non fonctionnelles ont des caractéristiques inverses. Elles sont le plus souvent encapsulées ou plates, et présentent une hyper-réflectivité des tissus qui composent la bulle. Au sein de ces bulles, aucun espace sous-conjonctival, ou sous le volet scléral, permettant le passage de l'humeur aqueuse, n'est observé ( fig. 3-192 à 3-195
Fig. 3-192
Images en OCT (Visante®, Carl Zeiss Meditec) de bulles de filtration fonctionnelles après sclérectomie profonde non perforante.a, c. Images perpendiculaires au limbe. b, d. Images parallèles au limbe. On constate la présence d'un espace hypo-réflectif sous le volet scléral correspondant à un espace de décompression. La conjonctive est hétérogène avec des microkystes visibles et traduisant la bonne filtration.
Fig. 3-193
a-c. Images en SD-OCT (Spectralis® OCT, Heildelberg Engineering) parallèles au limbe d'une bulle de filtration fonctionnelle après sclérectomie profonde non perforante.On constate la présence de nombreux espaces hypo-réflectifs au sein de la conjonctive traduisant le passage d'humeur aqueuse.
Fig. 3-194
Images en SS-OCT (DRI OCT Triton®, Topcon Medical System) d'une bulle de filtration fonctionnelle après sclérectomie profonde non perforante.a. Image parallèle au limbe : on visualise la membrane trabéculo-descemétique résiduelle qui sépare la chambre antérieure et la chambre de décompression, puis le volet scléral et la bulle conjonctivale. b. Image perpendiculaire au limbe : on constate la présence d'un espace hypo-réflectif sous le volet scléral correspondant à un espace de décompression. La conjonctive est hétérogène avec des microkystes visibles et traduisant la bonne filtration.
Fig. 3-195
Bulle après mitomycine C.a. Image en OCT (Visante®, Carl Zeiss Meditec) d'une bulle de filtration fonctionnelle associée à l'utilisation de mitomycine C; on constate une paroi fine et un aspect multilobulé. b. Image en SD-OCT (RTVue-XR Avanti®, Optovue) d'une autre bulle de filtration fonctionnelle mais kystique après utilisation de mitomycine C.
). Les bulles en échec semblent peu soulevées, bien que la hauteur de la bulle demeure un élément controversé pour évaluer le fonctionnement de la chirurgie ( fig. 3-196
Fig. 3-196
Images en OCT (Visante®, Carl Zeiss Meditec) d'une bulle de filtration non fonctionnelle.a. Coupe perpendiculaire au limbe. b. Coupe parallèle au limbe. On n'observe pas de signe de passage de l'humeur aqueuse en trans-conjonctival. Le tissu conjonctival est hyper-réflectif.
) [ 32 , 33 , 35 ]. Dans les bulles encapsulées, il semble exister un tissu conjonctival dense, épais et hyper-réflectif réalisant une véritable coque bloquant la filtration ( fig. 3-197
Fig. 3-197
Bulle non fonctionnelle.a, b. Images en OCT (Visante®, Carl Zeiss Meditec) d'une bulle de filtration peu fonctionnelle encapsulée. On observe un épaississement conjonctival hyper-réflectif et dense, correspondant à de la fibrose bloquant la filtration. c. Image en SS-OCT (Swept Source DRI OCT Triton®, Topcon Medical System) d'une autre bulle de filtration non fonctionnelle encapsulée.
).
Les nouveaux SD-OCT-SA apportent des informations supplémentaires en permettant de visualiser et de quantifier les microkystes intra-épithéliaux (en coupe transversale et en coupe en face) qui sont un signe de bon fonctionnement de la bulle de filtration ( fig. 3-198
Fig. 3-198
Bulle de filtration en face.a. Images en SD-OCT en face (Spectralis®, OCT, Heildelberg Engineering) montrant les microkystes à la surface d'une bulle de filtration fonctionnelle. La présence de microkystes est un signe de passage trans-conjonctival d'humeur aqueuse. b. Reconstruction de plusieurs images d'OCT montrant les microkystes sur une bulle.
) [ 36 ]. De même, grâce au système d'OCT-A, les vaisseaux sanguins de la bulle peuvent être analysés et quantifiés afin de mieux comprendre les mécanismes liés à la cicatrisation des bulles de filtration ( fig. 3-199
Fig. 3-199
Images en OCT-A (RTVue-XR Avanti®, Optovue) montrant la vascularisation conjonctivale d'une bulle de filtration suite à la pose d'un implant XEN Gel® Stent (Allergan).
). Des imageries en 3D des bulles de filtration sont également possibles, offrant ainsi une approche complète du système de filtration postopératoire [ 37 ]. Certains auteurs utilisent ainsi l'OCT-SA pour guider les manipulations de la chirurgie filtrante à réaliser en postopératoire et évaluer leur efficacité [ 38 , 39 ].
Les implants de drainage ou les systèmes ayant pour objectif de favoriser le développement des bulles de filtration peuvent aussi être visualisés en OCT-SA ( fig. 3-200
Fig. 3-200
Images en OCT (Visante®, Carl Zeiss Meditec) d'une bulle de filtration fonctionnelle suite à la mise en place d'un drain de type Aquaflow® (Staar Surgical).a. Coupe perpendiculaire au limbe. b. Coupe parallèle au limbe.
) [ 33 ]. Enfin, cette technique a également été utilisée après la lyse des sutures au laser pour observer la modification des bulles en termes de hauteur, d'épaisseur de la paroi et d'apparition de fluide sous la conjonctive.
Malgré la possibilité de pouvoir visualiser la morphologie interne des bulles de filtration, cette analyse en OCT-SA présente néanmoins encore les limites de ne pouvoir analyser l'inflammation intratissulaire ou le degré de fibrose tissulaire. Son utilisation en pratique clinique est donc encore limitée à l'analyse de certains cas particuliers discordants entre l'aspect clinique de la bulle et le niveau de PIO.
AUTRES APPLICATIONS DE L'OCT APRÈS LES CHIRURGIES DU GLAUCOME
D'autres applications de l'OCT ont été décrites lors du suivi de la chirurgie du glaucome. Lors de la réalisation d'une goniopuncture après une SPNP, la destruction de la membrane trabéculo-descemétique résiduelle est parfaitement visualisée, de même en cas d'incarcération de l'iris au niveau du site de goniopuncture ( fig. 3-201
Fig. 3-201
Images en OCT (Visante®, Carl Zeiss Meditec) d'une bulle de filtration non fonctionnelle en raison d'une incarcération irienne sur le site de goniopuncture après une sclérectomie profonde non perforante.a. Image perpendiculaire au limbe. b. Image parallèle au limbe.
) [ 33 ].
D'autres techniques chirurgicales utilisées pour la prise en charge du glaucome peuvent aussi bénéficier de l'OCT-SA. Ainsi, le positionnement du tube en chambre antérieure est facilement visualisé en OCT-SA, même lorsque la cornée n'est pas transparente ( fig. 3-202
Fig. 3-202
Images en OCT (Visante®, Carl Zeiss Meditec) du tube en chambre antérieure d'une valve de drainage.
) [ 9 ]. Enfin, d'autres drains utilisés pour les MIGS sont également bien visualisés en OCT-SA comme le iStent® – Glaukos Corporation ( fig. 3-203
Fig. 3-203
Stent trabéculaire.a. Images en OCT (Visante®, Carl Zeiss Meditec) montrant le positionnement d'un stent trabéculaire, l'iStent® (Glaukos Corporation) dans l'angle iridocornéen. b. On visualise le stent trabéculaire dans le trabéculum sur une coupe parallèle au limbe.
) ou le XEN Gel® Stent – Allergan ( fig. 3-204
Fig. 3-204
Drain sous-conjonctival.a. Image en SD-OCT (RTVue-XR Avanti®, Optovue) montrant le positionnement d'un drain sous-conjonctival de type XEN Gel®, Stent (Allergan). b. Autre image montrant l'extrémité sous-conjonctivale du drain avec une bulle de filtration à ce niveau.
). Enfin, certaines complications postopératoires bénéficieront également de cette imagerie comme en cas de glaucome malin ou de déplacement de drains.
Comparaison entre OCT de segment antérieur et UBM
Alors que l'UBM demeure toujours la seule technique permettant de visualiser précisément l'anatomie du corps ciliaire et des structures situées en arrière de l'iris, l'OCT-SA, qui est non-contact, offre une meilleure résolution pour l'analyse de l'AIC et une plus grande facilité à acquérir des images et à les quantifier. Ces deux techniques sont donc très complémentaires pour la prise en charge des patients glaucomateux.
Par rapport à l'UBM, l'imagerie en OCT-SA offre une meilleure résolution (résolution axiale de l'ordre de 10 µm avec les derniers appareils de SD-OCT et SS-OCT par rapport à 25 µm en UBM 50 MHz). Cependant, l'utilisation d'une onde lumineuse avec l'OCT-SA rend l'analyse des structures situées en arrière de l'iris très difficile avec une visualisation limitée du corps ciliaire, particulièrement chez les patients avec un iris très pigmenté. Dans le domaine du glaucome à angle fermé, l'UBM demeure encore supérieur à l'OCT-SA pour l'analyse des mécanismes autres que le blocage pupillaire, comme une rotation antérieure des corps ciliaires, la présence de kystes iriens ou du corps ciliaire, ou encore pour l'analyse des tumeurs du corps ciliaire ou des cyclodialyses. Parallèlement, les changements anatomiques entre l'iris, le cristallin et le trabéculum en conditions dynamiques sont plus facilement observés sur les coupes d'ensemble du segment antérieur offertes par les OCT-SA. L'éperon scléral, dont la visualisation est indispensable pour mesurer les différents paramètres d'analyse quantitative de l'angle, n'est pas toujours aussi bien visualisé en OCT-SA par rapport à l'UBM. Néanmoins, il semblerait que la reproductibilité des mesures soit équivalente entre les deux techniques pour l'analyse de l'AIC [ 26 , 28 ]. La facilité de l'utilisation de l'OCT-SA, notamment pour l'obtention semi-automatique de paramètres quantitatifs de l'AIC, en a fait un examen de choix dans le dépistage des angles étroits sur de vastes populations [ 40 ].
En UBM, l'obtention d'images de bonne résolution et bien orientées dépend très largement de l'expérience de l'opérateur. La nature non-contact de l'OCT-SA permet un examen sûr, confortable et sans distorsion mécanique de l'AIC. Cet avantage par rapport à l'UBM autorise également le renouvellement fréquent de l'examen lors du suivi, ou sa réalisation précocement dans les suites opératoires. De plus, l'acquisition des images est rapide, les machines sont simples à utiliser, et l'acquisition des images peut être facilement déléguée.
Conclusion
L'examen du segment antérieur est un élément fondamental de l'examen ophtalmologique du patient glaucomateux ou suspect de glaucome. Non-contact, facile d'utilisation, l'OCT-SA permet aujourd'hui d'obtenir des images du segment antérieur et des éléments de quantification utiles en pratique clinique. Que ce soit pour le dépistage des angles étroits ou fermés, l'analyse des mécanismes de fermeture de l'AIC ou le suivi de la chirurgie du glaucome, l'OCT-SA est devenu un outil complémentaire à l'examen clinique et à l'examen en UBM.
BIBLIOGRAPHIE
1
Sakata LM, Lavanya R, Friedman DS, et al. Assessment of the scleral spur in anterior segment optical coherence tomography images, Arch Ophthalmol 2008; 126 : 181 - 185.
2
Nongpiur ME, Ku JY, Aung T, Angle closure glaucoma : a mechanistic review, Curr Opin Ophthalmol 2011; 22 : 96 - 101.
3
Niwas SI, Lin W, Bai X, et al. Reliable feature selection for automated angle closure glaucoma mechanism detection, J Med Syst 2015; 39 : 21.
4
Memarzadeh F, Li Y, Chopra V, et al. Anterior segment optical coherence tomography for imaging the anterior chamber after laser peripheral iridotomy, Am J Ophthalmology 2007; 143 : 877 - 879.
5
Fenolland JR, Puech M, Baudouin C, Labbe A, Imagerie de l'angle iridocornéen dans le glaucome, J Fr Ophthalmol 2013; 36 : 378 - 383.
6
Baudouin C, Labbé A, El Maftouhi A, Hamard P, Application de l'OCT de segment antérieur dans l'étude des glaucomes, J Fr Ophtalmol 2008; 31 : 2S5 - 2S9.
7
Pavlin CJ, Ritch R, Foster FS, Ultrasound biomicroscopy in plateau iris syndrome, Am J Ophthalmol 1992; 113 : 390 - 395.
8
Maslin JS, Barkana Y, Dorairaj SK, Anterior segment imaging in glaucoma : an updated review, Indian J Ophthalmol 2015; 63 : 630 - 640.
9
Salim S, The role of anterior segment optical coherence tomography in glaucoma, J Ophthalmol 2012; 2012 : 476801.
10
Nongpiur ME, He M, Amerasinghe N, et al. Lens vault, thickness, and position in Chinese subjects with angle closure, Ophthalmology 2011; 118 : 474 - 479.
11
Quigley HA, Friedman DS, Congdon NG, Possible mechanisms of primary angle-closure and malignant glaucoma, J Glaucoma 2003; 12 : 167 - 180.
12
Trope GE, Pavlin CJ, Bau A, et al. Malignant glaucoma. Clinical and ultrasound biomicroscopic features, Ophthalmology 1994; 101 : 1030 - 1035.
13
Wirbelauer C, Karandish A, Haberle H, Pham DT, Optical coherence tomography in malignant glaucoma following filtration surgery, Br J Ophthalmol 2003; 87 : 952 - 955.
14
Elagouz M, Stanescu-Segall D, Jackson TL, Uveal effusion syndrome, Surv Ophthalmol 2010; 55 : 134 - 145.
15
Lachkar Y, Bouassida W, Drug-induced acute angle closure glaucoma, Curr Opin Ophthalmol 2007; 18 : 129 - 133.
16
Tahiri Joutei Hassani R, Dupont Monod S, Oukacha G, et al. Crise bilatérale de glaucome aigu après traitement par topiramate : apport de l'OCT Visante, J Fr Ophtalmol 2010; 33 : 307 - 311.
17
Baikoff G, Lutun E, Ferraz C, Wei J, Static and dynamic analysis of the anterior segment with optical coherence tomography, J Cataract Refract Surg 2004; 30 : 1843 - 1850.
18
Friedman DS, He M, Anterior chamber angle assessment techniques, Surv Ophthalmol 2008; 53 : 250 - 273.
19
Aptel F, Denis P, Optical coherence tomography quantitative analysis of iris volume changes after pharmacologic mydriasis, Ophthalmology 2010; 117 : 3 - 10.
20
Kagemann L, Wollstein G, Ishikawa H, et al. Identification and assessment of Schlemm's canal by spectral-domain optical coherence tomography, Invest Ophthalmol Vis Sci 2010; 51 : 4054 - 4059.
21
Usui T, Tomidokoro A, Mishima K, et al. Identification of Schlemm's canal and its surrounding tissues by anterior segment fourier domain optical coherence tomography, Invest Ophthalmol Vis Sci 2011; 52 : 6934 - 6939.
22
Fernandez-Vigo JI, Garcia-Feijoo J, Martinez-de-la-Casa JM, et al. Morphometry of the trabecular meshwork in vivo in a healthy population using fourier-domain optical coherence tomography, Invest Ophthalmol Vis Sci 2015; 56 : 1782 - 1788.
23
Aptel F, Beccat S, Fortoul V, Denis P, Biometric analysis of pigment dispersion syndrome using anterior segment optical coherence tomography, Ophthalmology 2011; 118 : 1563 - 1570.
24
Liu L, Ong EL, Crowston J, The concave iris in pigment dispersion syndrome, Ophthalmology 2011; 118 : 66 - 70.
25
Kawana K, Yasuno Y, Yatagai T, Oshika T, High-Speed, swept-source optical coherence tomography : a 3-dimensional view of anterior chamber angle recession, Acta Ophthalmol Scand 2007; 85 : 684 - 685.
26
Li H, Leung CK, Cheung CY, et al. Repeatability and reproducibility of anterior chamber angle measurement with anterior segment optical coherence tomography, Br J Ophthalmol 2007; 91 : 1490 - 1492.
27
Pavlin CJ, Harasiewicz K, Foster FS, Ultrasound biomicroscopy of anterior segment structures in normal and glaucomatous eyes, Am J Ophthalmol 1992; 113 : 381 - 389.
28
Radhakrishnan S, Goldsmith J, Huang D, et al. Comparison of optical coherence tomography and ultrasound biomicroscopy for detection of narrow anterior chamber angles, Arch Ophthalmol 2005; 123 : 1053 - 1059.
29
Ishikawa H, Liebmann JM, Ritch R, Quantitative assessment of the anterior segment using ultrasound biomicroscopy, Curr Opin Ophthalmol 2000; 11 : 133 - 139.
30
Radhakrishnan S, Huang D, Smith SD, Optical coherence tomography imaging of the anterior chamber angle, Ophthalmol Clin North 2005; 18 : 375 - 381.
31
Angmo D, Nongpiur ME, Sharma R, et al. Clinical utility of anterior segment swept-source optical coherence tomography in glaucoma, Oman J Ophthalmol 2016; 9 : 3 - 10.
32
Mastropasqua R, Fasanella V, Agnifili L, et al. Anterior segment optical coherence tomography imaging of conjunctival filtering blebs after glaucoma surgery, Biomed Res Int 2014; 2014 : 610623.
33
Labbe A, Hamard P, Iordanidou V, et al. Apport de l'OCT-Visante dans le suivi de la chirurgie du glaucome, J Fr Ophtalmol 2007; 30 : 225 - 231.
34
Kojima S, Inoue T, Nakashima K, et al. Filtering blebs using 3-dimensional anterior-segment optical coherence tomography : a prospective investigation, JAMA Ophthalmol 2015; 133 : 148 - 156.
35
Leung CK, Yick DW, Kwong YY, et al. Analysis of bleb morphology after trabeculectomy with Visante anterior segment optical coherence tomography, Br J Ophthalmol 2007; 91 : 340 - 344.
36
Meziani L, Tahiri Joutei Hassani R, El Sanharawi M, et al. Evaluation of blebs after filtering surgery with en-face anterior-segment optical coherence tomography : a pilot study, J Glaucoma 2016; 25 : e550 - e558.
37
Inoue T, Matsumura R, Kuroda U, et al. Precise identification of filtration openings on the scleral flap by three-dimensional anterior segment optical coherence tomography, Invest Ophthalmol Vis Sci 2012; 53 : 8288 - 8294.
38
Kojima S, Inoue T, Kawaji T, Tanihara H, Filtration bleb revision guided by 3-dimensional anterior segment optical coherence tomography, J Glaucoma 2014; 23 : 312 - 315.
39
Wang D, Lin S, New developments in anterior segment optical coherence tomography for glaucoma, Curr Opin Ophthalmol 2016; 27 : 111 - 117.
40
Sun X, Dai Y, Chen Y, et al. Primary angle closure glaucoma : what we know and What we don't know, Prog Retin Eye Res 2017; 57 : 26 - 45.
3.3
IMAGERIE DU CRISTALLIN PAR OCT

M. PUECH

Introduction
L'imagerie du cristallin et des implants intra-oculaires par OCT est possible et souvent très utile avec, cependant, une limite de pénétration en arrière de l'iris ne permettant la visualisation du cristallin qu'au travers de l'aire pupillaire. Cette imagerie de haute résolution est en constante amélioration depuis les systèmes OCT en spectral domaine (SD) et swept source (SS).
Tous les appareils OCT de rétine peuvent être focalisés sur le cristallin [ 1 ], mais seuls les OCT spécifiquement développés pour le segment antérieur donnent une image en coupe de tout le segment antérieur.
En fonction de l'anomalie recherchée, l'utilisation de tel ou tel appareil sera plus pertinente.
Les images par OCT du cristallin peuvent apporter une aide au diagnostic soit pour apprécier la transparence du cristallin, son épaisseur ou sa position, soit pour analyser les implants cristalliniens de cataracte ou les implants phaques [ 2 ].
Appareils OCT
OCT DE SEGMENT POSTÉRIEUR FOCALISÉ SUR LE SEGMENT ANTÉRIEUR
Les appareils les plus couramment utilisés sont les appareils OCT dédiés au segment postérieur. Ils sont conçus pour une qualité d'image optimale sur la région maculaire ou papillaire mais peuvent être focalisés sur la cornée, l'angle ou le cristallin.
Leur avantage est de fournir une très haute résolution des images du cristallin avec visualisation très précise, par exemple, des structures intracristalliniennes ( fig. 3-205
Fig. 3-205
Image de très haute résolution en OCT de segment postérieur focalisée sur le cristallin.L'image est reconstituée avec deux acquisitions et permet d'observer la structure du cristallin avec début de majoration de réflectivité inhomogène par cataracte débutante.
).
Leur limite est liée à la fenêtre d'acquisition qui est souvent de plus en plus large mais avec une profondeur de champ limitée car destinée à la visualisation de la rétine et de la choroïde. Il est souvent possible de voir soit la partie antérieure du cristallin, soit sa partie postérieure mais pas le cristallin sur toute son épaisseur.
OCT DE SEGMENT ANTÉRIEUR
Les appareils conçus pour le segment antérieur donnent des images en coupe qui peuvent englober tout le segment antérieur, d'angle à angle et de la cornée au cristallin [ 3 ]. Seuls les appareils de dernière génération, souvent en technologie swept source [ 4 ], donnent une image du segment antérieur qui englobe tout le cristallin jusqu'à la cristalloïde postérieure ( fig. 3-206
Fig. 3-206
Coupe complète du segment antérieur avec visualisation de toute l'épaisseur du cristallin au niveau de l'aire pupillaire.
).
Leur avantage est de fournir de nombreuses possibilités de mesures du segment antérieur et du cristallin (profondeur de la chambre antérieure, ouverture de l'angle irido-cornéen, flèche cristallinienne, épaisseur du cristallin, volume du cristallin, etc.) [ 5 ].
BIOMÈTRES OPTIQUES
L'évolution technologique transforme les appareils de biométrie optique en appareils capables de fournir des mesures de l'épaisseur du cristallin [ 6 , 7 ]. Les appareils en technologie swept source produisent des images de la région fovéolaire, mais aussi des images en coupe de tout le cristallin au niveau de l'aire pupillaire. L'appréciation de la densité de la cataracte est ainsi accessible de façon objective.
Les possibilités d'imagerie du cristallin se développent au fur et à mesure des évolutions technologiques, mais le principe même des appareils OCT, fondé sur un faisceau infrarouge, limite la visualisation des structures situées en arrière de l'iris.
La visualisation du cristallin n'est donc possible qu'en regard de la pupille avec une visualisation plus large en cas de mydriase. L'équateur cristallinien n'est pas accessible ni les fibres zonulaires sauf en cas d'aniridie ou de luxation du cristallin ( fig. 3-207
Fig. 3-207
Visualisation de la zonule cristallinienne sur ce cristallin subluxé avec distension des fibres zonulaires qui sont déplacées jusqu'au niveau de l'aire pupillaire.Dans leur position habituelle, l'atténuation de l'iris ne permet pas le bilan zonulaire en OCT.
). Cette exploration sera très utilement complétée par un examen en échographie de très haute fréquence de type UBM ( fig. 3-208
Fig. 3-208
Bilan par UBM d'un cristallin subluxé avec absence de visualisation des fibres zonulaires qui sont rompues sur ce secteur, alors qu'elles sont habituellement visibles sur les coupes UBM.
) [ 8 ].
Analyse anatomique du cristallin
Les appareils par OCT de segment antérieur donnent une très bonne approche de la position du cristallin, de sa forme ainsi que de ses rapports anatomiques avec la cornée (par la mesure de la profondeur de la chambre antérieure) et de l'iris (avec étude du contact irido-cristallinien).
ÉPAISSEUR DU CRISTALLIN
La mesure de l'épaisseur cristallinienne est possible avec les OCT de segment antérieur les plus récents mais aussi avec plusieurs biomètres optiques ( fig. 3-209
Fig. 3-209
Aspect d'un cristallin cataracté lors d'un bilan biométrique réalisé en SS-OCT.
).
Cette épaisseur du cristallin retentit sur la profondeur de la chambre antérieure, en corrélation avec la position du cristallin. Il existe aussi un retentissement sur le calcul des implants qui n'ont pas le même positionnement en postopératoire en cas de cristallin fin ou en cas de cristallin très épais.
FLÈCHE CRISTALLINIENNE
La flèche cristallinienne est définie par la distance entre l'apex de la cristalloïde antérieure et la droite qui relie les deux éperons scléraux ( fig. 3-210
Fig. 3-210
Image en coupe du segment antérieur avec positionnement de la droite qui relie les deux éperons scléraux.La flèche cristallinienne est alors mesurée de cette droite vers l'apex de la cristalloïde antérieure (ici, 1,30 mm pour une profondeur de chambre antérieure de 1,80 mm).
). Elle est positive lorsque la cristalloïde antérieure dépasse la ligne de référence, mais elle peut parfois être négative lorsque la partie antérieure de la cristalloïde reste en arrière de cette droite.
L'intérêt de cette mesure est double :
  • en matière de risque de glaucome par fermeture de l'angle, cette valeur quantifie le facteur cristallinien associé aux autres facteurs et peut ainsi parfois guider le traitement vers une intervention de cataracte;
  • en matière de chirurgie réfractive par implant phaque de chambre antérieure, une flèche cristallinienne importante peut entraîner un risque plus élevé d'ovalisation pupillaire avec les implants à fixation angulaire. L'évolution vers des implants à fixation irienne présente aussi un risque décrit par Georges Baïkoff [ 9 ] sous l'appellation d'« effet sandwich », qui provoque une compression de l'iris entre les pieds de l'implant fixé à l'iris et la cristalloïde antérieure, aboutissant à une atrophie irienne localisée. Ce risque est corrélé à une flèche cristallinienne supérieure à 600 microns.
RAYONS DE COURBURE DU CRISTALLIN
La mesure des rayons de courbure de la face antérieure du cristallin et de sa face postérieure est possible avec les appareils de dernière génération. L'analyse de ces rayons de courbure ouvre la voie à une meilleure appréciation de l'anatomie du cristallin et de son évolution avec l'âge. Il est aussi possible de déterminer la position de l'équateur cristallinien par extrapolation des rayons de courbure antérieurs et postérieurs ( fig. 3-211
Fig. 3-211
Analyse en coupe par SS-OCT.Cette coupe permet de calculer les rayons de courbure des cristalloïdes antérieures et postérieures avec détermination de la position de l'équateur cristallinien.
). Cet élément anatomique important peut permettre de mieux apprécier le positionnement des implants dans le sac cristallinien et d'en apprécier plus précisément la valeur ELP ( effective lens position ou position effective de l'implant) si critique dans les formules de calcul d'implant.
De plus, l'analyse des modifications anatomiques et dynamiques du cristallin, notamment en fonction de l'accommodation, est maintenant possible avec ces appareils OCT, mais la reproductibilité des acquisitions est encore limitée et dépendante des mouvements oculomoteurs [ 10 , 11 ].
SUBLUXATION DU CRISTALLIN
Une subluxation du cristallin apparaît, sur une image en coupe du segment antérieur, comme une perte d'alignement de la cornée, de la pupille et des deux faces du cristallin ( fig. 3-212
Fig. 3-212
Subluxation cristallinienne.La coupe complète de ce segment antérieur en SS-OCT montre la perte d'alignement du cristallin par rapport à l'axe du segment antérieur.
). Cet aspect, visualisé par OCT, peut bénéficier d'une analyse plus fine du mécanisme de subluxation par complément d'exploration par UBM à la recherche d'une rupture zonulaire sur certains secteurs.
ANALYSE DE LA STRUCTURE DU CRISTALLIN
La très haute résolution des appareils OCT, focalisés sur le cristallin, permet d'apprécier la régularité ou l'irrégularité de réflectivité des structures intracristalliniennes ( fig. 3-213
Fig. 3-213
Vitré dans la chambre antérieure.Implant de chambre postérieure partiellement décalé par rapport au plan irien, avec bulle de vitré dans la chambre antérieure, affleurant la cornée.
(Source : J.-F. Korobelnik.)
) [ 12 , 13 ] avec l'analyse de l'évolution de la transparence du cristallin en fonction de l'âge et de l'apparition de la cataracte de grade plus ou moins marqué ( fig. 3-214
Fig. 3-214
Image en coupe par OCT de segment antérieur avec visualisation du cristallin cataracté au niveau de l'aire pupillaire.L'iris absorbe le signal et ne permet pas la visualisation du cristallin en périphérie. La cataracte donne un aspect de réflectivité inhomogène du cristallin.
).
Une discrète opalescence cristallinienne peut donner un aspect légèrement hypo-réflectif en OCT avec des plages hyper-réflectives lorsque les opacités sont plus denses. La densitométrie du cristallin, déjà disponible sur les appareils Scheimpflug, devrait bientôt compléter l'analyse cristallinienne par OCT de segment antérieur en complément de la classification clinique internationale LOCS III ( lens opacities classification system ) [ 14 ].
Les appareils OCT peuvent aussi analyser de façon très précise la capsule du cristallin [ 15 ] ou détecter une discontinuité de la cristalloïde antérieure ou postérieure notamment en cas de bilan post-traumatique.
Analyse des implants intra-oculaires
IMPLANTS APRÈS CHIRURGIE DU CRISTALLIN
Les implants de chambre postérieure peuvent être visualisés au niveau de l'aire pupillaire avec analyse de leur positionnement et de leurs rapports avec la pupille et la cristalloïde postérieure. La profondeur de la chambre antérieure depuis l'endothélium cornéen jusqu'à la face antérieure de l'implant peut être mesurée [ 16 ].
Une subluxation de l'implant entraîne une perte de perpendicularité de l'optique de l'implant par rapport à l'axe du segment antérieur. Il existe aussi une distance différente entre le bord pupillaire et l'implant sur les différents méridiens ( fig. 3-215
Fig. 3-215
Luxation d'un implant de chambre postérieure avec obliquité importante de l'optique de l'implant par rapport à l'axe du segment antérieur.Il existe aussi une indentation de l'iris qui pourra bénéficier d'un complément d'exploration par UBM.
). La visualisation des pieds de l'implant sera faite par UBM [ 17 ].
La haute résolution des appareils OCT met parfois en évidence des ponctuations hyper-réflectives au sein du matériau de l'implant correspondant à un vieillissement prématuré de l'implant; ce phénomène appelé glistening est parfois assez marqué en imagerie mais avec des répercussions limitées sur le confort visuel du patient ( fig. 3-216
Fig. 3-216
Phénomène deglisteningau sein d'un implant de chambre postérieure en position centrée par rapport à la pupille.
).
L'analyse de la capsule postérieure du cristallin, en arrière de l'implant, peut montrer ce qui est visualisable en lampe à fente, mais avec une approche plus précise sur l'épaisseur ou la nature de la perte de transparence : il peut s'agir d'un simple épaississement irrégulier avec début de cataracte secondaire, d'un épaississement plus marqué mais, parfois, d'une accumulation de sérosité entre l'implant et la cristalloïde postérieure ( fig. 3-217
Fig. 3-217
Aspect de cataracte secondaire en arrière d'un implant de chambre postérieure avec épaississement de la cristalloïde postérieure et présence de sérosités entre l'implant et la cristalloïde.
).
IMPLANTS PHAQUES
IMPLANTS PHAQUES DE CHAMBRE ANTÉRIEURE
L'imagerie par OCT permet de mesurer les distances de sécurité entre l'optique de l'implant de chambre antérieure et l'endothélium cornéen ( fig. 3-218
Fig. 3-218
Surveillance des distances de sécurité en OCT de segment antérieur entre l'implant phaque de chambre antérieure et la cornée, au centre et en périphérie de l'optique.Il est aussi possible de mesurer la distance entre la face postérieure de l'implant et la cristalloïde antérieure.
) : cette distance est mesurée au centre de l'optique mais aussi entre les bords de l'optique et la face postérieure de la cornée. Une distance minimale de 1,5 mm est conseillée afin de limiter le risque de perte de cellules endothéliales cornéennes [ 18 ].
Le bilan par OCT et par microscopie spéculaire représente la base de la surveillance de ces implants au long cours.
Plusieurs logiciels sont proposés pour analyser la géométrie de tels segments antérieurs, candidats à une chirurgie par implant phaque avec superposition du masque de l'implant souhaité et de sa forme qui est dépendante de la puissance à corriger ( fig. 3-219
Fig. 3-219
Superposition informatique d'un masque d'implant phaque de chambre antérieure sur le segment antérieur du patient.Le masque de l'implant tient compte de l'amétropie à corriger et présente la forme exacte de l'implant que l'on envisage d'utiliser. Cela permet l'appréciation des distances de sécurité pour guider la décision chirurgicale.
). Cette analyse en préopératoire permet de limiter les risques liés à ces implants. Cependant l'évolution actuelle se fait, de plus en plus, vers des implants à fixation irienne et surtout vers des implants de chambre postérieure.
IMPLANTS DE CHAMBRE POSTÉRIEURE
Ces implants ne sont visibles en OCT qu'en regard de l'aire pupillaire avec visualisation des deux faces de l'implant et de la cristalloïde antérieure. Cet espace se réduit avec l'évolution du cristallin, entraînant à terme un retrait de l'implant phaque remplacé par un implant intrasaculaire lors de l'intervention de cataracte.
En cas de surdimensionnement de l'implant, l'optique est déplacée vers l'avant ( fig. 3-220
Fig. 3-220
Image en coupe par OCT de segment antérieur d'un implant phaque de chambre postérieure surdimensionné.Son optique est nettement déplacée vers l'avant avec protrusion dans la chambre antérieure et rétrécissement de l'angle irido-cornéen. La distance entre l'implant et le cristallin naturel est nettement majorée. La position des pieds de l'implant sera explorée par UBM.
). L'observation de la position des pieds des implants phaques sera faite par UBM.
Conclusion
L'imagerie du cristallin par OCT bénéficie des progrès récents de la technologie OCT avec une très haute résolution d'analyse de la structure cristallinienne et la possibilité de nombreuses mesures du segment antérieur et du cristallin, notamment avec les appareils OCT récents développés spécifiquement pour le segment antérieur.
Grâce à la disponibilité des appareils OCT et à leur très haute résolution, l'analyse du cristallin peut se faire sur son anatomie, sa position, son vieillissement et, plus récemment, sur ses rayons de courbure.
Les implants cristalliniens peuvent aussi bénéficier de cette surveillance par OCT, notamment en cas de subluxation avec un complément très utile par imagerie échographique UBM pour la visualisation des pieds de l'implant en arrière de l'iris.
BIBLIOGRAPHIE
1
Puech M, El Maftouhi A, OCT3 exploration of anterior segment, J Fr Ophtalmol 2004; 27(5) : 459 - 466.
2
Baïkoff G, Anterior segment OCT and phakic intraocular lenses : a perspective, J Cataract Refract Surg 2006; 32 : 1827 - 1835.
3
Baikoff G, Lutun E, Ferraz C, et al. Analysis of the eye's anterior segment with optical coherence tomography. Static and dynamic study, J Fr Ophtalmol 2005; 28 : 343 - 352.
4
Shoji T, Kato N, Ishikawa S, et al. In vivo crystalline lens measurements with novel swept-source optical cohérent tomography : an investigation on variability of measurement, BMJ Open Ophthalmol 2017; 1 : e000058.
5
Martinez-Enriquez E, Sun M, Velasco-Ocana M, et al. Optical coherence tomography based estimates of crystalline lens volume, equatorial diameter, and plane position, Invest Ophthalmol Vis Sci 2016; 57 : OCT600 - OCT610.
6
Calvo-Sanz JA, Portero-Benito A, Arias-Puente A, Efficiency and measurements agreement between swept-source OCT and low-coherence interferometry biometry systems, Graefes Arch Clin Exp Ophthalmol 2018; 256 : 559 - 566.
7
Nemeth G, Hassan Z, Szalai E, et al. Anterior segment parameters measured with 2 optical devices compared to ultrasonic data, Eur J Ophthalmol 2013; 23 : 177 - 182.
8
Pavlin CJ, Sherar MS, Foster FS, Sub-Surface ultrasound biomicroscopy of the intact eye, Ophthalmology 1990; 97 : 244 - 250.
9
Baikoff G, Bourgeon G, Jodai HJ, Pigment dispersion and Artisan implants : crystalline lens rise as a safety criterion, J Fr Ophtalmol 2005; 28 : 590 - 597.
10
Martínez-Albert N, Esteve-Taboada JJ, Montés-Micó R, Repeatability assessment of anterior segment biometric measurements under accommodative and nonaccommodative conditions using an anterior segment OCT, Graefes Arch Clin Exp Ophthalmol 2018; 256 : 113 - 123.
11
Shao Y, Tao A, Jiang H, et al. Long scan depth optical coherence tomography on imaging accommodation : impact of enhanced axial resolution, signal-to-noise ratio and speed, Eye Vis (Lond) 2018; 5 : 16.
12
de Castro A, Benito A, Manzanera S, et al. Three-dimensional cataract crystalline lens imaging with swept-source optical coherence tomography, Invest Ophthalmol Vis Sci 2018; 59 : 897 - 903.
13
Kymionis GD, Diakonis VF, Liakopoulos DA, et al. Anterior segment optical coherence tomography for demonstrating posterior capsular rent in posterior polar cataract, Clin Ophthalmol 2014; 8 : 215 - 217.
14
Gupta M, Ram J, Jain A, et al. Correlation of nuclear density using the Lens Opacity Classification System III versus Scheimpflug imaging with phacoemulsification parameters, J Cataract Refract Surg 2013; 39 : 1818 - 1823.
15
Dong J, Jia Y, Zhang Y, et al. Anterior lens capsule and epithelium thickness measurements using spectral-domain optical coherence tomography, BMC Ophthalmol 2017; 17(1) : 94.
16
Engren AL, Behndig A, Anterior chamber depth, intraocular lens position, and refractive outcomes after cataract surgery, J Cataract Refract Surg 2013; 39 : 572 - 577.
17
Kumar DA, Agarwal A, Packialakshmi S, et al. In vivo analysis of glued intraocular lens position with ultrasound biomicroscopy, J Cataract Refract Surg 2013; 39 : 1017 - 1022.
18
Ferreira TB, Portelinha J, Endothelial distance after phakic iris-fixated intraocular lens implantation : a new safety reference, Clin Ophthalmol 2014; 8 : 255 - 261.