Retour
Partie II
Pathologies de la rétine et du vitré
CHAPITRE 6
Affections vasculaires rétiniennes associées aux maladies cardiovasculaires

Ce chapitre traite des maladies vasculaires rétiniennes qui sont associées, certaines fortement, certaines moins, aux maladies cardiovasculaires. Cependant, la plupart de ces situations ont d'autres causes ou présentent d'autres associations qui sont importantes à considérer lors de l'évaluation des patients.

Hypertension artérielle systémique

L'hypertension artérielle systémique touche plus de 65 millions de personnes aux États-Unis. Elle est actuellement définie par une série de stades :

  • la préhypertension est définie par une tension artérielle (TA) systolique de 120–139 mmHg ou une diastolique à 80–89 mmHg ;

  • l'hypertension stade 1 comprend des TA de 140–159 mmHg pour la systolique ou 90–99 mmHg pour la diastolique ;

  • l'hypertension stade 2 est définie par une TA systolique de 160 mmHg ou plus et une TA diastolique de 100 mmHg ou plus.

Avec le cœur, les reins et le cerveau, l'œil est un organe cible de l'hypertension systémique. Les effets oculaires de l'hypertension peuvent être observés au niveau de la rétine, de la choroïde et du nerf optique. Les modifications rétiniennes peuvent être décrites et classées en utilisant l'ophtalmoscopie et l'angiographie. La découverte des modifications vasculaires du segment postérieur par l'ophtalmologiste peut aider au diagnostic initial d'hypertension et alerter le patient sur les complications potentielles de cette affection. La Section 1 du BCSC, Update on General Medicine, étudie l'hypertension artérielle plus en détail.

Kim SK, Mieler WF, Jakobiec F. Hypertension and its ocular manifestations. In : Albert DM, Miller JW, Azar DT, Blodi BA, eds. Albert & Jakobiec's Principles and Practice of Ophthalmology. 3rd ed. Philadelphia : Saunders ; 2008 : 4367–4384.

Rétinopathie hypertensive

L'hypertension affecte les artérioles précapillaires et les capillaires, entraînant des modifications de l'autorégulation et des zones de non-perfusion. Un épisode hypertensif aigu peut produire des dommages rétiniens à type de transsudats intrarétiniens focaux périartériolaires (TFIP). La présence de nodules cotonneux (parfois appelés exsudats mous) indique une ischémie au niveau de la couche des fibres nerveuse rétiniennes (fig. 6-1). L'hypertension systémique incontrôlée conduit à une non-perfusion à différents niveaux de l'épaisseur rétinienne ainsi qu'à une perte neuronale et des scotomes en conséquence. D'autres lésions rétiniennes apparaissent sur le long terme chez les hypertendus chroniques. Elles incluent les micro-anévrismes, les anomalies microvasculaires intrarétiniennes (AMIR), les hémorragies en flaque, les exsudats lipidiques (parfois appelés exsudats durs), les irrégularités veineuses et les néovaisseaux rétiniens. La relation entre les changements vasculaires dus à l'hypertension et les changements dus à l'artériosclérose est complexe. Elle dépend de la durée de l'hypertension, de la gravité de la dyslipidémie, de l'âge et des antécédents tabagiques. Par conséquent, la classification des modifications vasculaires rétiniennes causées strictement par l'hypertension est difficile, et les lésions souvent décrites telles que le rétrécissement focal des artères et les signes de croisement artérioveineux ont peu de valeur prédictive de la présence d'une hypertension. Néanmoins, la classification ancienne de Scheie modifiée, qui était censée être celle de la rétinopathie hypertensive, correspond principalement aux lésions de l'artériosclérose :

  • grade 0 : aucune anomalie ;

  • grade 1 : rétrécissement artériel à peine détectable ;

  • grade 2 : rétrécissement artériel évident avec irrégularités focales ;

  • grade 3 : grade 2 plus hémorragies rétiniennes et/ou exsudats ;

  • grade 4 : grade 3 plus œdème papillaire.

Figure 6-1
Rétinopathie hypertensive sévère. A. Photographie du fond d'œil d'un homme de 25 ans atteint d'hypertension d'origine rénale présentant de nombreux nodules cotonneux blanchâtres superficiels contrastant avec les transsudats focaux intrarétiniens périartériolaires (TFIP) qui sont de petite taille, plus foncés et profonds. B. L'angiographie montre des zones de non-perfusion correspondant aux nodules cotonneux et des points hyperfluorescents correspondant aux TFIP.
(Remerciements au Dr Hermann D. Schubert.)

L'hypertension peut se compliquer d'une occlusion de branche de l'artère centrale de la rétine (OBA), d'une occlusion de branche veineuse (OBV), d'une occlusion de la veine centrale de la rétine (OVCR) et d'un macro-anévrisme artériel (toutes ces lésions seront abordées plus loin dans le chapitre). La coexistence d'une hypertension et d'un diabète entraîne une rétinopathie plus sévère, car les lésions capillaires et précapillaires des deux pathologies se surajoutent.

Cheung CYL, Wong TY. Hypertension. In : Ryan SJ, Schachat AP, Wilkinson CP, Hinton DR, Sadda SR, Wiedemann P, eds. Retina. 5th ed. Philadelphia : Elsevier/Saunders ; 2013 : 1001–1005.

Wong TY, Mitchell P. The eye in hypertension. Lancet. 2007 ; 369(9559) : 425–435.

Choroïdopathie hypertensive

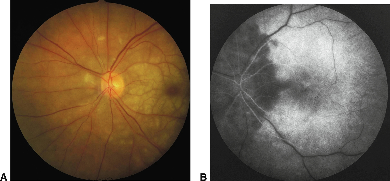
La choroïdopathie hypertensive survient généralement chez les jeunes patients après un épisode d'hypertension aiguë sévère qui peut être associé à une prééclampsie, une éclampsie, un phéochromocytome ou une hypertension rénale (voir aussi le chapitre 9). L'occlusion d'une unité lobulaire de choriocapillaire peut se produire et se traduit initialement par des patches de couleur brun jaunâtre qui, avec le temps, deviennent hyperpigmentés et entourés d'une marge hypopigmentée – lésions connues sous le nom de taches d'Elschnig (fig. 6-2). Des lésions linéaires de même aspect d'hyperpigmentations, connues sous le nom de stries de Siegrist, peuvent se voir. Elles suivent le trajet du méridien horizontal des artères choroïdiennes. L'angiographie fluorescéinique montre une hypoperfusion choroïdienne focale dans les premières phases et de multiples zones sous-rétiniennes de fuite de colorant dans les phases tardives (fig. 6-3). Des soulèvements de l'épithélium pigmentaire rétinien (EP) peuvent se produire, ainsi que des décollements exsudatifs étendus bilatéraux de la rétine dans les cas graves.

Figure 6-2
Photographie du fond d'œil montant des taches d'Elschnig.
(Remerciements au Dr Harry W. Flynn, Jr.)
Figure 6-3
Hypertension artérielle maligne. A. Photographie couleur du fond d'œil montrant une rétinopathie hypertensive avec un détachement peu saillant de la macula, des stries de la membrane limitante interne, des hémorragies radiaires péripapillaires, une hyperhémie du nerf optique et quelques exsudats lipidiques au niveau de la macula. Plusieurs patches brun jaunâtre au niveau de l'épithélium pigmentaire rétinien (EP) et de la choroïde interne témoignent de la choroïdopathie hypertensive. B. Angiographie à la fluorescéine, temps précoce. Image révélatrice de la non-perfusion capillaire rétinienne, des micro-anévrismes et des défauts de remplissage choroïdien. C. Image d'angiographie, temps tardif, montrant une fuite vasculaire intense ainsi que des fuites provenant des lésions de la choriocapillaire. D. Angiographie au vert d'indocyanine (ICG) au temps précoce montrant un aspect « mité » de la choriocapillaire.
(Remerciements au Dr Richard Spaide.)

Neuropathie optique hypertensive

La neuropathie optique hypertensive dépend moins de la sévérité que de la chronicité de l'hypertension. Cette neuropathie optique a une présentation variable. Les patients souffrant d'hypertension sévère peuvent présenter des hémorragies linéaires péripapillaires en flammèches, un flou des bords du disque, un œdème papillaire franc avec des signes de stase veineuse et des exsudats maculaires (fig. 6-4). Le diagnostic différentiel se pose, dans ce cas, avec la papillopathie diabétique, la rétinopathie radique, l'OVCR, la neuropathie optique ischémique antérieure et la neurorétinite. Le traitement de l'hypertension artérielle systémique est essentiel pour réduire ou faire disparaître ces manifestations de la maladie.

Figure 6-4
Amélioration d'une rétinopathie hypertensive grave. A. Photographie du fond d'œil d'un patient de 25 ans souffrant d'hypertension artérielle grave (210/140 mmHg) et d'une baisse d'acuité visuelle à 1/100. Noter l'œdème du disque, les exsudats maculaires, l'hémorragie intrarétinienne avec infarctus de la couche des fibres nerveuses et la congestion veineuse. B. Fond d'œil du même patient 10 semaines plus tard, après traitement de l'hypertension et normalisation de la tension artérielle. La papille optique est maintenant normale, et des exsudats maculaires résiduels minimes sont présents. L'acuité visuelle est remontée à 4/10.
(Remerciements au Dr Harry W. Flynn, Jr.)

Occlusion veineuse rétinienne

L'occlusion veineuse rétinienne (OVR) est le plus souvent associée à l'âge avancé et à l'hypertension, mais elle peut également répondre à des associations et des causes plus rares. En présence d'une OVR, une évaluation par un interniste est indiquée à la recherche d'une maladie cardiovasculaire ou d'autres affections systémiques prédisposantes.

Tous les patients ayant une OVR doivent bénéficier d'un examen oculaire complet. Les OBV et les OVCR partagent des facteurs de risque oculaires tels que le glaucome, dans ses deux formes, à angle ouvert et à angle fermé (voir également la Section 10 des BCSC, Glaucome). En cas d'OBV suspecte, une vascularite doit être éliminée.

Dans les deux formes d'occlusion veineuse (centrale ou de branche), il existe une élévation de la pression veineuse rétinienne et une diminution du flux sanguin. Dans la rétine affectée, les hémorragies intrarétiniennes et les tortuosités des vaisseaux rétiniens sont des découvertes classiques. Dans les cas graves, des nodules cotonneux peuvent être présents (fig. 6-5). En cas de maladie aiguë, le niveau d'acuité visuelle dépend de la sévérité de l'ischémie ou de l'œdème maculaires et de la présence ou non d'hémorragies intrarétiniennes atteignant la fovéola. L'œdème maculaire et l'ischémie sont mieux évalués respectivement avec la tomographie en cohérence optique et l'angiographie à la fluorescéine.

Figure 6-5
Occlusion de branche veineuse (OBV) dans sa forme ischémique. A. OBV inférotemporale. B. L'angiographie fluorescéinique correspondant à A révèle une non-perfusion capillaire rétinienne étendue dans le territoire de la rétine drainée par la veine obstruée. C. La tomographie en cohérence optique spectral-domain (SD-OCT) du même œil montre un œdème maculaire cystoïde.
(Remerciements au Dr Neal H. Atebara.)

Il est important de surveiller les cas d'OVR à la recherche d'une néovascularisation. Dans les OBV, la néovascularisation est le plus souvent à la frontière de la rétine saine et de la rétine atteinte ou au niveau de la papille optique. Dans les OVCR, la néovascularisation du segment postérieur est rare. La néovascularisation du segment antérieur peut se produire aussi bien dans les occlusions de tronc que de branche ; cependant, elle est une complication courante des OVCR ischémiques non traitées (voir plus loin dans le chapitre). À ce titre, des examens de l'iris non dilaté et de l'angle iridocornéen doivent être effectués périodiquement chez tous les patients atteints d'OVR.

Une amélioration ou une résolution spontanée peut se produire. L'amélioration est généralement associée au développement d'une circulation de suppléance. Dans les OBV, les capillaires du raphé médian se dilatent et, dans une certaine mesure, compensent le drainage veineux compromis. Dans les OVCR, les petits vaisseaux qui relient normalement la circulation rétinienne à la circulation choroïdienne à proximité de la papille optique commencent à s'élargir, constituant des shunts opticociliaires. De cette manière, le drainage veineux est redirigé vers la choroïde, les veines du vortex et les veines ophtalmiques supérieure et inférieure dans l'orbite, contournant ainsi la veine centrale occluse. La maladie occlusive veineuse chronique et non traitée conduit couramment au développement dans la rétine de changements microvasculaires caractérisés par des micro-anévrismes et des télangiectasies (fig. 6-6).

Figure 6-6
Changements chroniques d'une occlusion de la veine centrale rétinienne (OVCR) non ischémique chez une patiente de 30 ans ayant des antécédents de diabète sucré et de vision floue depuis 2 mois. L'acuité visuelle est à 8/10. A. Photographie couleur du fond d'œil d'une forme non ischémique ou perfusée d'OVCR. Des veines rétiniennes dilatées et des hémorragies, ainsi que des exsudats maculaires peu importants sont présents ; cependant, le reflet fovéolaire est toujours présent. B. L'angiographie à la fluorescéine à 22 secondes après l'injection révèle des télangiectasies capillaires et des micro-anévrismes au pôle postérieur. C. L'angiographie aux temps tardifs à 9 minutes révèle une coloration rétinienne diffuse et des micro-anévrismes. D. L'OCT montre de discrets changements kystiques et des micro-anévrismes, mais un épaississement rétinien minimal.
(Remerciements au Dr Neal H. Atebara.)

Les anti-VEGF (vascular endothelial growth factor ou facteur de croissance endothélial) sont devenus le pilier du traitement des OVR en raison de leur excellent profil d'efficacité et de sécurité. Les meilleures acuités visuelles sont obtenues en administrant des anti-VEGF immédiatement après le diagnostic d'un œdème maculaire secondaire à une OVR. Il convient de noter que les anti-VEGF suppriment les complications néovasculaires des OVR. Les traitements stéroïdiens intraoculaires et la photocoagulation panrétinienne sont également employés pour contrôler la perte de vision et les complications des OVR.

Des considérations plus spécifiques sur les occlusions de tronc ou de branche veineuses rétiniennes sont fournies dans les sections suivantes.

Goldman DR, Shah CP, Morley MG, Heier JS. Venous occlusive disease of the retina. In : Yanoff M, Duker JS, eds. Ophthalmology. 4th ed. Elsevier/Saunders ; 2014 : 526–534.

Occlusion de branche veineuse (OBV)

Dans l'occlusion de branche veineuse (OBV), l'obstruction de la veine se produit le plus souvent au niveau d'un croisement artérioveineux où l'épaississement de la paroi artérielle comprime la veine au niveau d'un site adventitiel commun. Lorsque l'occlusion ne se produit pas à un croisement artérioveineux, la possibilité d'une rétinochoroïdite sous-jacente ou d'une vascularite rétinienne doit être évoquée. Le quadrant le plus fréquemment affecté est le supérotemporal (63 %). Le siège nasal est de constatation clinique plus rare. L'artère desservant la zone d'occlusion peut se rétrécir et s'engainer au fil du temps.

Facteurs de risque pour le développement d'une OBV

L'âge moyen des patients au moment de l'apparition de la maladie est la septième décennie. L'Eye Disease Case-Control Study a identifié les facteurs de risque suivants pour le développement d'une OBV :

  • âge avancé ;

  • antécédents d'hypertension artérielle systémique ;

  • antécédents de tabagisme ;

  • antécédents de glaucome.

Le diabète sucré n'était pas un facteur de risque indépendant majeur.

Pronostic

Dans la maladie aiguë, la présence ou l'absence d'une atteinte maculaire ou fovéale détermine le pronostic visuel. Avant l'utilisation courante des agents pharmacologiques, la Branch Vein Occlusion Study (BVOS) a déterminé qu'une ischémie rétinienne étendue, définie comme une aire d'au moins 5 diamètres papillaires, peut entraîner une néovascularisation rétinienne ou papillaire dans 36 % des yeux. De plus, une hémorragie intravitréenne peut se développer dans 60 à 90 % de ces yeux si la photocoagulation au laser n'est pas effectuée.

À long terme, la perte de vision permanente peut être liée à l'ischémie maculaire, à l'œdème maculaire cystoïde, aux exsudats lipidiques dans la fovéa (exsudats durs), aux altérations pigmentaires maculaires, à la fibrose sous-rétinienne et à la formation de membrane épirétinienne. Moins fréquemment, cette perte de vision peut être le résultat d'une hémorragie intravitréenne ou d'un décollement de rétine tractionnel ou rhegmatogène. Ce dernier se développe typiquement après une déchirure survenant dans la rétine adjacente ou sous-jacente à une zone de néovascularisation rétinienne avec traction vitréenne.

Traitement des OBV
Prise en charge pharmacologique des OBV

Un arsenal croissant d'interventions pharmacologiques est disponible pour la prise en charge des OBV.

Injections intravitréennes d'anti-VEGF

Dans l'étude BRAVO (Study of the Efficacy and Safety of Ranibizumab Injection in Patients With Macular Edema Secondary to Branch Retinal Vein Occlusion), le ranibizumab a été injecté dans les yeux ayant un œdème maculaire secondaire à une OBV. À 6 mois, après des injections mensuelles de ranibizumab à 0,5 ou 0,3 mg ou des injections simulées mensuelles, les résultats globaux indiquaient que les yeux gagnaient 15 lettres ETDRS (Early Treatment of Diabetic Retinopathy Study) ou plus dans, respectivement, 61,1 %, 55,2 % et 28,8 % des yeux. De même, environ deux fois plus d'yeux recevant des injections d'aflibercept ont gagné 15 lettres ETDRS ou plus par rapport au traitement placebo (53 % contre 23 %) dans l'étude VIBRANT (Study to Assess the Clinical Efficacy and Safety of VEGF Trap-Eye in Patients With Branch Retinal Vein Occlusion).

Des études non contrôlées utilisant le bévacizumab ont également démontré une résolution importante de l'œdème maculaire et l'amélioration de l'acuité visuelle. Dans l'étude CRAVE (Comparison of Anti-VEGF agents in the Treatment of Macular Edema from Retinal Vein Occlusion), 98 patients ont été randomisés pour recevoir mensuellement soit du bévacizumab, soit du ranibizumab dans le traitement de l'œdème maculaire secondaire aux occlusions veineuses rétiniennes centrales et de branche. Au point final primaire de 6 mois, il n'y avait pas de différences significatives dans la réduction de l'épaisseur maculaire centrale ou l'amélioration de l'acuité visuelle entre les groupes de traitement. Dans la pratique quotidienne, le régime d'administration des anti-VEGF se fait soit mensuellement, soit en régime PRN (pro re nata), soit en régime « treat and extend ».

Brown DM, Campochiaro PA, Bhisitkul RB, et al. Sustained benefits from ranibizumab for macular edema following branch retinal vein occlusion : 12-month outcomes of a phase III study. Ophthalmology. 2011 ; 118(8) : 1594–1602.

Corticoïdes intravitréens

Les risques spécifiques des corticoïdes intravitréens comprennent la formation de cataracte et l'induction d'une élévation de la pression intraoculaire (PIO). Ces risques doivent être soigneusement évalués par rapport aux avantages et aux traitements alternatifs lors de la prise de décision thérapeutique. Dans le bras OBV de l'étude SCORE (Standard Care Versus Corticosteroid for Retinal Vein Occlusion), l'injection intravitréenne de triamcinolone était d'efficacité comparable au traitement par grille maculaire au laser avec 3 lignes ou plus de gain d'acuité visuelle. Parce que les yeux recevant la triamcinolone étaient plus susceptibles de développer une cataracte ou d'avoir une PIO élevée, les chercheurs de l'étude ont conclu que le traitement par grille maculaire au laser reste la référence à laquelle d'autres traitements doivent être comparés.

Dans l'étude GENEVA (Randomized, Sham-Controlled Trial of Dexamethasone Intravitreal Implant in Patients With Macular Edema due to Retinal Vein Occlusion), un implant intravitréen de dexaméthasone (0,7 mg) a été utilisé pour le traitement des œdèmes maculaires secondaires à une maladie occlusive veineuse. Comparés à l'injection simulée, les yeux ayant bénéficié d'un implant de dexaméthasone avaient un pourcentage significativement plus élevé de gain supérieur ou égal à 15 lettres. L'effet était plus grand sur les OVCR que sur les OBV. Des essais sont en cours pour évaluer l'efficacité d'un implant intravitréen d'acétonide de fluocinolone à libération prolongée sur une période de 36 mois.

Haller JA, Bandello F, Belfort R Jr, et al ; OZURDEX GENEVA Study Group. Randomized, sham-controlled trial of dexamethasone intravitreal implant in patients with macular edema due to retinal vein occlusion. Ophthalmology. 2010 ; 117(6) : 1134–1146.

Scott IU, Ip MS, VanVeldhuisen PC, et al ; SCORE Study Research Group. A randomized trial comparing the efficacy and safety of intravitreal triamcinolone with standard care to treat vision loss associated with macular edema secondary to branch retinal vein occlusion : the Standard Care vs Corticosteroid for Retinal Vein Occlusion (SCORE) study report 6. Arch Ophthalmol. 2009 ; 127(9) : 1115–1128.

Prise en charge chirurgicale des OBV

Un certain nombre de lasers et d'autres méthodes chirurgicales ont été explorés dans le traitement des OBV.

Laser maculaire

Dans ce traitement, la photocoagulation laser est appliquée aux zones d'œdème maculaire causées par la veine obstruée (fig. 6-7). L'étude BVOS a constaté que les yeux avec une vascularisation fovéale intacte, un œdème maculaire et une acuité visuelle comprise entre 5/10 et 1/10 étaient plus susceptibles de gagner 2 lignes d'acuité visuelle (65 %) que les yeux non traités (37 %). En outre, à 3 ans de suivi, les yeux traités étaient plus susceptibles que les yeux non traités d'avoir une vision supérieure ou égale à 5/10 (60 % versus 34 %, respectivement), avec un gain visuel moyen de 1,3 ligne ETDRS versus 0,2 ligne. Dans l'étude BVOS, le traitement au laser de l'œdème maculaire a été retardé pendant au moins 3 mois pour permettre une résolution spontanée de l'œdème et du sang intrarétinien. Bien que ce délai de 3 mois puisse rester valable pour le traitement au laser, le traitement par les agents pharmacologiques peut être débuté immédiatement après le diagnostic d'OBV.

Figure 6-7
OBV. A. Photographie du fond d'œil d'une OBV temporale inférieure. Angiographie fluorescéinique correspondante montrant, à 49 secondes après l'injection (B), les vaisseaux télangiectasiques dans la distribution de la veine inférotemporale, et à 393 secondes après injection (C), une fuite intrarétinienne de colorant à partir des capillaires maculaires dans le territoire de la veine occluse. D. Photographie du fond d'œil après traitement par grille montrant les impacts de photocoagulation maculaire dans la zone affectée mais épargnant la région fovéale.
(Remerciements au Dr Gary C. Brown.)

Photocoagulation des zones d'ischémie

Dans l'étude BVOS, la photocoagulation des régions de non-perfusion du réseau capillaire s'est montrée efficace pour provoquer la régression des néovaisseaux dans les yeux avec une néovascularisation de la rétine, du disque ou de l'iris (fig. 6-8). Elle réduit le risque d'hémorragie intravitréenne de 60 % à 30 %. Bien que la BVOS ait montré que les patients ayant de grandes zones de non-perfusion (comme celles montrées à la figure 6-5) présentent un risque significatif de développer une néovascularisation, l'étude a conclu que l'ischémie seule n'était pas une indication au traitement, à condition que le suivi puisse être assuré.

Figure 6-8
OBV avec néovascularisation. A. Néovascularisation du disque secondaire à une OBV supérotemporale. B. Angiographie à la fluorescéine à 18 secondes révélant une hyperfluorescence marquée des néovaisseaux originaires de la papille optique.
(Remerciements au Dr Gary C. Brown.)

Cliniquement, il est important de distinguer la néovascularisation du disque ou de la rétine des vaisseaux de la circulation collatérale, qui ont un calibre plus grand et ne fuient pas sur l'angiographie à la fluorescéine. La néovascularisation de l'iris se produit dans environ 2 % des yeux avec OBV. La photocoagulation dans la zone de distribution de la veine occlusive doit être envisagée pour prévenir le développement du glaucome néovasculaire.

Fuller JJ, Mason JO III. Retinal vein occlusions : update on diagnostic and therapeutic advances. Focal Points : Clinical Modules for Ophthalmologists. San Francisco : American Academy of Ophthalmology ; 2007, module 5.

Vitrectomie par la pars plana

La vitrectomie peut être indiquée pour les yeux qui développent une hémorragie dans le vitré ou un décollement de la rétine (voir également les chapitres 15 et 19). Bien que la vitrectomie avec adventicectomie du croisement artérioveineux ait été rapportée comme un traitement pour l'OBV et l'œdème maculaire, il manque des données pour étayer son bénéfice. Par conséquent, ce traitement est rarement utilisé.

Occlusion de la veine centrale de la rétine (OVCR)

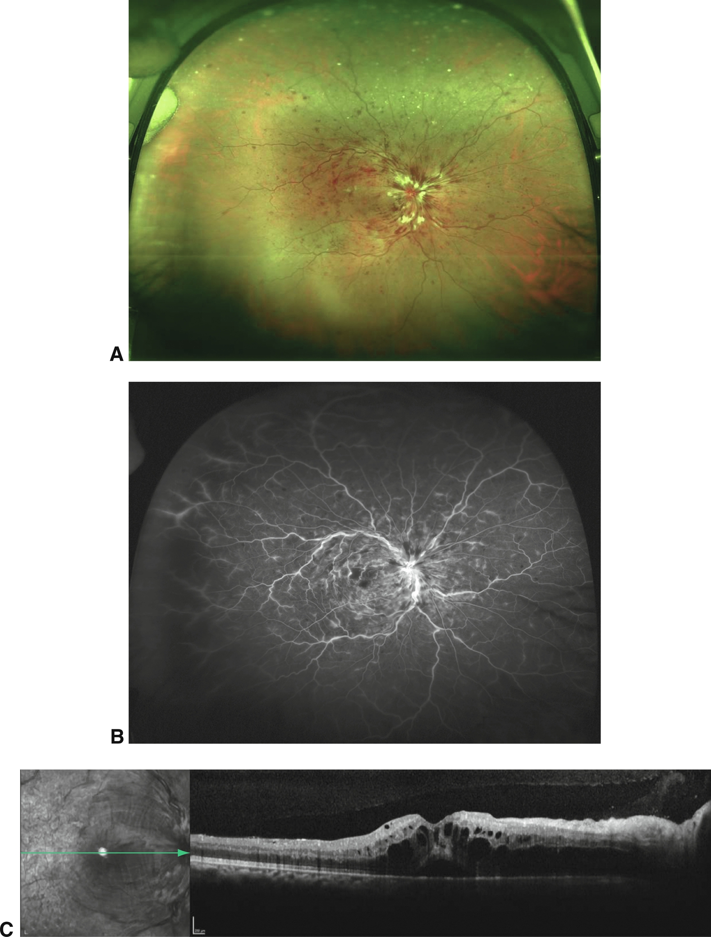
Dans l'OVCR, la baisse de vision est le plus souvent brutale, avec une gravité variable, de modérée (forme non ischémique) à sévère (forme ischémique). Moins fréquemment, les patients peuvent présenter des symptômes prémonitoires d'obscurcissement transitoire de la vision avant l'apparition des signes rétiniens. Les OVCR sont dites intermédiaires ou indéterminés lorsqu'elles ne sont ni clairement ischémiques, ni clairement non ischémiques ; plus de 80 % de ces formes dites intermédiaires évoluent vers les formes ischémiques.

L'OVCR non ischémique (forme légère), parfois appelée partielle, perfusée ou rétinopathie par stase veineuse, se caractérise par une bonne acuité visuelle, un défect pupillaire afférent minime ou inexistant et des changements légers du champ visuel. L'ophtalmoscopie montre une dilatation et une tortuosité modérées de toutes les branches de la veine centrale de la rétine ainsi que des hémorragies punctiformes ou en flammèches dans tous les quadrants de la rétine (fig. 6-9). Un œdème maculaire avec diminution de l'acuité visuelle et un gonflement discret de la papille optique peuvent être présents. L'angiographie à la fluorescéine montre un allongement du temps de circulation rétinienne avec rupture de la perméabilité capillaire mais des zones minimales de non-perfusion. La néovascularisation du segment antérieur est rare dans les OVCR légères. Les modifications non ischémiques chroniques de l'OVCR comprennent les télangiectasies, les anévrismes et les altérations de l'épithélium pigmentaire maculaire (voir fig. 6-6).

Figure 6-9
Occlusion de la veine centrale de la rétine (OVCR) non ischémique modérée à sévère. A. Photographie ultra-large d'une OVCR non ischémique modérée à sévère, sur un œil ayant une vision de 2,5/10. Des veines rétiniennes dilatées et des hémorragies rétiniennes sont présentes dans les quatre quadrants. Des nodules cotonneux sont visibles près de la tête du nerf optique. B. L'angiographie à la fluorescéine à 1 minute et 8 secondes révèle une perfusion relativement intacte du lit capillaire rétinien mais des vaisseaux dilatés et des fuites périphériques des gros vaisseaux. Il existe des zones de non-perfusion capillaire en sus-maculaire. C. Le cliché en SD-OCT montre un important œdème rétinien cystoïde avec un décollement séreux fovéolaire. Après 2,5 ans de traitement par bévacizumab, le patient conserve une acuité visuelle de 5/10.
(Remerciements au Dr Colin A. McCannel.)

L'OVCR ischémique (forme sévère), également connue sous le nom de forme complète, non perfusée ou rétinopathie hémorragique, est définie comme ayant des zones de non-perfusion capillaire d'au moins 10 diamètres papillaires sur un cliché du pôle postérieur en angiographie à la fluorescéine. Les cas ischémiques sont généralement associés à une mauvaise vision, un défect pupillaire afférent et un scotome central absolu. Sont fréquemment retrouvés une dilatation veineuse marquée, des hémorragies au niveau des quatre quadrants plus étendues que dans la forme légère, un œdème rétinien (fig. 6-10) et des nodules cotonneux en nombre variable. L'angiographie à la fluorescéine montre typiquement un allongement des temps circulatoires rétiniens et de larges zones de non-perfusion capillaire. Il existe une diminution de l'amplitude de l'onde b de l'électrorétinogramme témoin de l'ischémie des couches internes de la rétine. La Central Vein Occlusion Study (CVOS) a montré que le pronostic visuel est généralement médiocre, avec seulement environ 10 % des yeux atteignant une vision supérieure à 1/20. Avec les anti-VEGF, le pronostic peut être globalement un peu meilleur, sauf dans les cas les plus ischémiques.

Figure 6-10
OVCR ischémique. A. Photographie ultra-large du fond d'œil d'une OVCR ischémique, dans un œil avec une vision réduite aux mouvements de la main. Les veines sont dilatées et des hémorragies rétiniennes étendues sont présentes. B. Une image ultra-large d'angiographie à la fluorescéine correspondant à A (à 40 secondes après l'injection) révèle une non-perfusion capillaire rétinienne étendue. Les vaisseaux rétiniens de moyen et gros calibres se démarquent sur les zones gris-noir de non-perfusion capillaire.
(Remerciements au Dr Colin A. McCannel.)

Une occlusion de la veine hémicentrale, considérée comme une variante d'OVCR, est associée à une variante anatomique de la veine centrale ; elle peut impliquer la moitié supérieure ou inférieure de la rétine (fig. 6-11).

Figure 6-11
Occlusion veineuse hémicentrale. A. Fond d'œil montrant une localisation supérieure avec des hémorragies intrarétiniennes. B. Image d'angiographie à la fluorescéine montrant l'effet masque des hémorragies. On notera que la zone avasculaire fovéale est largement intacte.

Les études histologiques suggèrent que la plupart des formes d'OVCR partagent un mécanisme commun : la thrombose de la veine centrale rétinienne au niveau et en arrière de la lame criblée. Il est postulé que, dans certains cas, une artère rétinienne centrale épaissie peut « appuyer » sur la veine rétinienne centrale, provoquant des turbulences, des lésions endothéliales et la formation de thrombus.

Néovascularisation irienne dans les OVCR

Parmi les yeux ayant une OVCR très ischémique, l'incidence de la néovascularisation du segment antérieur, iris et angle, est élevée (jusqu'à 60 %). Ce développement se produit en moyenne de 3 à 5 mois après le début des symptômes. S'il n'est pas détecté rapidement, un glaucome néovasculaire peut se développer. La CVOS a découvert que le facteur de risque le plus important prédictif de la néovascularisation de l'iris dans l'OVCR est une mauvaise acuité visuelle. Les autres facteurs de risque sont les zones de non-perfusion capillaire et les hémorragies intrarétiniennes.

Baseline and early natural history report. The Central Vein Occlusion Study. Arch Ophthalmol. 1993 ; 111(8) : 1087–1095.

Klein R, Moss SE, Meuer SM, Klein BE. The 15-year cumulative incidence of retinal vein occlusion : the Beaver Dam Eye Study. Arch Ophthalmol. 2008 ; 126(4) : 513–518.

Facteurs de risque et causes de l'OVCR

Le facteur de risque le plus important pour le développement de l'OVCR est l'âge ; 90 % des patients ont plus de 50 ans au moment de l'apparition de la maladie. Les OVCR bien perfusées surviennent généralement à un âge plus jeune.

L'Eye Disease case-Control Study a trouvé les associations suivantes avec l'OVCR :

  • hypertension artérielle systémique ;

  • glaucome à angle ouvert ;

  • diabète sucré ;

  • hyperlipidémie.

Il est fréquent que les patients présentant un OVCR aient une PIO élevée ou un vrai glaucome à angle ouvert, soit seulement dans l'œil affecté, soit dans les deux yeux. L'OVCR peut également être suivie d'un rétrécissement transitoire de la chambre antérieure qui, dans certains cas, conduit à un glaucome par fermeture d'angle.

Les contraceptifs oraux et les diurétiques ont été impliqués comme facteurs de risque des OVCR.

Bien que rares, des états d'hypercoagulabilité sanguine peuvent être présents ; ces anomalies incluent l'hyperhomocystéinémie, la carence en protéine S, la carence en protéine C et les troubles associés à une vascularite telle que la sarcoïdose et le lupus érythémateux systémique. Toutefois, lorsque l'OVCR survient chez des patients de plus de 50 ans, il est généralement considéré comme inutile de poursuivre la recherche systématique pour ces causes rares.

Diagnostic différentiel de l'OVCR

Il est particulièrement important de reconnaître que la rétinopathie d'hyperviscosité peut imiter une OVCR. Cependant, les signes rétiniens dans la rétinopathie d'hyperviscosité sont généralement bilatéraux et liés à la dysprotéinémie telle que celle associée à la maladie de Waldenström, à la macroglobulinémie, au myélome multiple et aux dyscrasies sanguines (par exemple la polyglobulie). Dans de nombreux cas, l'hyperviscosité peut être réduite en traitant l'affection sous-jacente. Les tests diagnostiques peuvent inclure un bilan sanguin complet, l'électrophorèse des protéines et une mesure de la viscosité du sang total. Le syndrome d'ischémie oculaire peut également imiter une OVCR. Par ailleurs, certaines maladies inhabituelles qui affectent la paroi des vaisseaux sanguins, la coagulation et la viscosité sanguines peuvent être responsables de tableaux similaires à l'OVCR.

Central Vein Occlusion Study Group. Natural history and clinical management of central retinal vein occlusion. Arch Ophthalmol. 1997 ; 115(4) : 486–491.

Fuller JJ, Mason JO III. Retinal vein occlusions : update on diagnostic and therapeutic advances. Focal Points : Clinical Modules for Ophthalmologists. San Francisco : American Academy of Ophthalmology ; 2007, module 5.

Évaluation et prise en charge de l'OVCR

L'examinateur doit tenter de déterminer si l'occlusion veineuse est non ischémique ou ischémique. L'acuité visuelle, le champ visuel, l'état du réflexe photomoteur, l'examen du fond d'œil, l'angiographie à la fluorescéine et l'électorétinogramme sont utiles pour faire cette distinction. Lors du suivi, il est important d'effectuer une gonioscopie pour vérifier la néovascularisation angulaire.

Si l'évaluation indique que les facteurs de risque communs à l'OVCR sont absents ou si le patient est âgé de moins de 50 ans, une enquête approfondie devrait être envisagée, y compris un bilan de thrombophilie.

Les patients atteints d'OVCR devraient être avertis de la possibilité d'aggravation de la baisse visuelle en raison d'une possible conversion d'une forme perfusée vers une forme ischémique. Dans la CVOS, 16 % des OVCR initialement non ischémiques se sont converties en ischémiques à 4 mois. À 36 mois, ce pourcentage est de 34 %.

Suivi et surveillance

En l'absence de traitement, les patients atteints d'OVCR devraient être surveillés mensuellement à la recherche d'une progression de la maladie et pendant au moins 6 mois pour guetter le développement d'une néovascularisation du segment antérieur ou d'un glaucome néovasculaire. Les patients traités par anti-VEGF doivent être observés pendant une durée similaire après l'arrêt du traitement.

Complications

Les complications les plus courantes de l'OVCR sont l'hémorragie intravitréenne, la néovascularisation du segment antérieur et le glaucome néovasculaire. L'hémorragie intravitréenne se produit souvent en l'absence de néovascularisation et le glaucome néovasculaire peut se produire à partir d'une néovascularisation angulaire avec ou sans néovascularisation de l'iris.

Stem MS, Talwar N, Comer GM, Stein JD. A longitudinal analysis of risk factors associated with central retinal vein occlusion. Ophthalmology. 2013 ; 120(2) : 362–370.

Traitement de l'OVCR
Prise en charge pharmacologique de l'OVCR

Comme pour les OBV, un arsenal croissant de produits pharmaceutiques est disponible pour la prise en charge des OVCR. Plus important encore, les résultats sur l'acuité visuelle avec ces interventions ont été nettement améliorés par rapport à ce qui se passait avant leur disponibilité.

Injections intravitréennes d'anti-vegf

Dans l'étude CRUISE (Study of the Efficacy and Safety of Ranibizumab injection in Patients With Macular Edema Secondary to Central Retinal Vein Occlusion), le ranibizumab a été administré à des yeux atteints d'OVCR avec œdème maculaire. À 6 mois, après des injections mensuelles de 0,5 ou 0,3 mg de ranibizumab ou de placebo, 47,7 %, 46,2 % et 16,9 % des yeux respectivement ont gagné 15 lettres ETDRS ou plus. Des résultats similaires ont été obtenus dans le cadre des études GALILEO (Vascular Endothelial Growth Factor Trap-Eye : Investigation of Efficacy and Safety in Central Retinal Vein Occlusion ; en dehors de l'Amérique du Nord) et COPERNICUS (même protocole, mais en Amérique du Nord) qui ont porté sur l'aflibercept intravitréen (également appelé VEGF-trap) dans le traitement de l'œdème maculaire secondaire aux OVCR. Les résultats ont été maintenus au cours du deuxième semestre de ces études, au cours duquel le traitement a été poursuivi selon le régime PRN. Des études non contrôlées sur l'administration de bévacizumab ont démontré une résolution importante de l'œdème maculaire ainsi qu'une amélioration des acuités (fig. 6-12). De nombreux praticiens utilisent les trois anti-VEGF de façon interchangeable. Dans la pratique, les stratégies d'administration des anti-VEGF pour le traitement des OVCR comprennent les injections mensuelles, le régime PRN et le régime treat-and-extend. Les anti-VEGF peuvent également être utilisés pour réduire la néovascularisation de l'iris et pour traiter, à court terme, le glaucome néovasculaire.

Figure 6-12
Œdème maculaire cystoïde (OMC) secondaire à une OVCR avant et après le traitement. A. OCT spectral-domain montrant un OMC sévère avec détachement fovéolaire chez un patient présentant une OVCR non ischémique. L'acuité visuelle était de 1/10. B. Un mois après une injection intravitréenne de bévacizumab, 1,25 mg, les lésions kystiques et le détachement fovéolaire ont disparu, et l'acuité visuelle est à 8/10.
(Remerciements au Dr Colin A. McCannel, MD.)

Campochiaro PA, Brown DM, Awh CC, et al. Sustained benefits from ranibizumab for macular edema following central retinal vein occlusion : twelve-month outcomes of a phase III study. Ophthalmology. 2011 ; 118(10) : 2041–2049.

Corticoïdes intravitréens

Avant d'utiliser des corticoïdes pour le traitement de l'occlusion veineuse, les cliniciens devraient tenir compte du risque de complications telles que le glaucome et la cataracte ainsi que des traitements alternatifs possibles. Cependant, il a été démontré que les stéroïdes étaient efficaces dans la prise en charge de l'œdème maculaire de l'OVCR. Dans le bras OVCR de l'étude SCORE, à 1 an, 27 % des yeux traités avec 1 mg de triamcinolone et 26 % des yeux traités avec 4 mg de triamcinolone avaient une amélioration de 15 lettres ETDRS ou plus par rapport à 7 % des yeux dans le groupe d'observation. L'implant intravitréen de dexaméthasone a également amélioré les résultats visuels sur une période de 6 mois. Des essais cliniques évaluent actuellement un insert intravitréen d'acétonide de fluocinolone, stéroïde à plus long terme, pour le traitement des occlusions veineuses rétiniennes.

Scott IU, Ip MS, VanVeldhuisen PC, et al. A randomized trial comparing the efficacy and safety of intravitreal triamcinolone with standard care to treat vision loss associated with macular edema secondary to branch retinal vein occlusion : the Standard Care vs. Corticosteroid for Retinal Vein Occlusion (SCORE) study report 6. Arch Ophthalmol. 2009 ; 127(9) : 1115–1128.

Anticoagulation systémique

L'anticoagulation systémique pour le traitement ou la prévention de l'OVCR a été tentée mais avec des résultats décourageants. Il n'y a aucun avantage ; c'est même le contraire puisque des rapports ont documenté des résultats d'acuité visuelle plus médiocres chez les patients anticoagulés du fait d'hémorragies intrarétiniennes plus étendues.

Prise en charge chirurgicale de l'OVCR

Un certain nombre de méthodes laser et d'autres méthodes chirurgicales ont été utilisées pour le traitement de l'OVCR.

Laser maculaire

La photocoagulation pour le traitement de l'œdème maculaire des OVCR a été évaluée prospectivement dans la CVOS. Même si le traitement par rayon laser réduit les signes angiographiques de l'œdème maculaire, l'acuité visuelle n'est pas améliorée.

Photocoagulation panrétinienne

Dans la CVOS, la photocoagulation panrétinienne (PPR) prophylactique n'a pas entraîné une diminution statistiquement significative de l'incidence de la néovascularisation de l'iris. En effet, 20 % des participants qui avaient reçu une PPR prophylactique ont développé une néovascularisation de l'iris. Par conséquent, une surveillance étroite des patients à haut risque de néovascularisation de l'iris est nécessaire. Les chercheurs du CVOS ont recommandé d'attendre jusqu'à ce que l'examen gonioscopique révèle au moins 2 quadrants horaires de néovascularisation de l'iris avant la réalisation d'une PPR. Dans la pratique clinique, cependant, la PPR est souvent effectuée au premier signe de néovascularisation de l'iris, en particulier lorsqu'un suivi étroit n'est pas possible ou semble improbable. L'angiographie à grand champ améliore la visualisation de la non-perfusion dans les OVCR ; toutefois, aucune preuve à ce jour ne permet de modifier les critères de traitement selon les informations apportées par cette technique.

Central Vein Occlusion Study Group. A randomized clinical trial of early panretinal photocoagulation for ischemic central vein occlusion. The Central Vein Occlusion Study Group N report. Ophthalmology. 1995 ; 102(10) : 1434–1444.

Vitrectomie par la pars plana

Les OVCR compliquées d'une hémorragie intravitréenne peuvent bénéficier d'une vitrectomie à la pars plana. La vitrectomie est utilisée à des fins de récupération visuelle et pour accomplir une photo-ablation rétinienne dans la prise en charge de la néovascularisation du segment antérieur et du glaucome néovasculaire. Pour le glaucome néovasculaire, la mise en place d'une valve peut être réalisée dans le même temps opératoire.

Autres approches chirurgicales

En raison de l'absence de preuves de leur efficacité, plusieurs techniques ont été largement abandonnées. Elles comprennent les tentatives de créer une anastomose entre la veine rétinienne et la circulation choroïdienne en utilisant une application laser, la neurotomie optique radiaire impliquant la section de l'anneau scléral postérieur pour décomprimer la veine centrale de la rétine, et la canulation de la veine rétinienne avec une injection d'un activateur du plasminogène tissulaire (tissue palsminogen activator [tPA]).

Syndrome ischémique oculaire et rétinopathie de l'occlusion carotidienne

Le terme de syndrome ischémique oculaire est utilisé pour décrire les symptômes oculaires et les signes attribuables à une hypoperfusion oculaire chronique grave provoquée par une obstruction de l'artère carotide. L'obstruction chronique de l'artère ophtalmique peut provoquer un tableau clinique similaire.

Symptômes et signes

Les symptômes comprennent généralement la perte progressive de la vision qui se développe sur une période de semaines ou de mois, une douleur localisée à la zone orbitaire de l'œil affecté et un allongement du temps de récupération après exposition à une lumière vive. Les signes du segment antérieur incluent la néovascularisation de l'iris dans les deux tiers des yeux et un tyndall cellulaire de la chambre antérieure dans environ un cas sur cinq. Bien que la néovascularisation irienne et angulaire soit courante, seule la moitié des patients présentent une élévation de la PIO ; une PIO basse ou normale dans les autres cas est probablement causée par une altération de la production d'humeur aqueuse.

Le syndrome ischémique oculaire peut provoquer une rétinopathie semblable en apparence à une occlusion de la veine centrale de la rétine ; par conséquent, ce tableau était initialement appelé rétinopathie par stase veineuse. Les manifestations rétiniennes typiques comprennent des artères rétrécies, des veines dilatées mais pas très tortueuses, des hémorragies, des micro-anévrismes et une néovascularisation papillaire ou rétinienne, ou les deux (fig. 6-13). Les hémorragies rétiniennes dans la maladie occlusive carotidienne sont généralement profondes, rondes, et le plus souvent situées à la moyenne périphérie. Une méthode utile pour différencier les deux entités est de mesurer la pression de l'artère centrale de la rétine soit en utilisant un ophtalmodynamomètre, soit en comprimant doucement l'œil pendant l'examen en observant l'artère rétinienne centrale. Un œil avec une OVCR aura une pression artérielle normale, tandis qu'en cas de maladie occlusive carotidienne, la pression artérielle sera basse, et l'artère centrale se collabera facilement.

Figure 6-13
Syndrome d'ischémie oculaire. A. Photographie d'un œil avec un syndrome d'ischémie oculaire montrant une injection conjonctivale, une cataracte et une rubéose irienne. B. Examen gonioscopique révélant l'apparition d'une néovascularisation de l'angle iridocornéen due au syndrome ischémique oculaire. C. Photographie du fond d'œil d'un syndrome d'ischémie oculaire montrant une dilatation veineuse, des hémorragies intrarétiniennes de la moyenne périphérie et un rétrécissement artériolaire. D. Angiographie à la fluorescéine à 19 secondes (phase artérielle) montrant un allongement du temps bras-rétine et un remplissage choroïdien inégal.
(Remerciements au Dr Neal H. Atebara.)

L'angiographie à la fluorescéine révèle un remplissage choroïdien retardé dans 60 % des cas, un allongement du temps bras-rétine dans 95 % des cas et une imprégnation importante des parois vasculaires (principalement des artères) dans 85 % des cas. L'électrorétinographie révélera une réduction globale de l'amplitude en rapport avec la réduction de l'apport sanguin aux photorécepteurs, comme dans le syndrome d'ischémie carotidienne. En revanche, un ERG électronégatif se produit si l'apport de sang est perturbé au niveau de la rétine interne et que la perfusion des photorécepteurs est conservée, comme dans l'occlusion de l'artère centrale de la rétine (OACR) ou parfois dans l'OVCR.

Étiologie et pronostic

L'athérosclérose est l'étiologie la plus courante, mais d'autres causes sont possibles telles que le syndrome d'Eisenmenger, l'artérite à cellules géantes de Horton et les causes inflammatoires. La plupart des patients ont plus de 55 ans. Typiquement, une obstruction ipsilatérale de 90 % ou plus est nécessaire pour provoquer le syndrome ischémique oculaire. Les deux yeux sont impliqués dans environ 20 % des cas.

Le pronostic visuel est incertain, mais quand il existe une rubéose irienne, l'acuité visuelle, dans plus de 90 % des cas, diminuera à 1/10 ou moins, dans un délai de 1 an après le diagnostic. Pour cette raison, un diagnostic rapide est essentiel.

Environ la moitié des patients présentant un syndrome ischémique oculaire ont également une maladie ischémique cardiovasculaire ; un quart des patients ont eu un accident vasculaire cérébral antérieur ; et un cinquième souffrent d'une maladie vasculaire athéroscléreuse périphérique si grave qu'une sanction chirurgicale a été nécessaire. Le taux d'accidents vasculaires cérébraux (AVC) est plus élevé que dans la population générale, et la mortalité à 5 ans est d'environ 40 %, principalement à cause des maladies cardiovasculaires.

Traitement du syndrome ischémique oculaire

Le traitement le plus définitif pour le syndrome d'ischémie oculaire semble être le stenting et l'endarteriectomie de l'artère carotide, même si les résultats sur l'acuité visuelle sont variables. Malheureusement, ces procédures sont inefficaces quand il y a 100 % d'obstruction, ce qui est souvent le cas. Une chirurgie de pontage a été tentée dans de tels cas, mais a été inefficace pour prévenir la perte de vision et les AVC. En présence d'une néovascularisation de l'iris et d'une PIO basse ou normale en raison d'une altération de la perfusion du corps ciliaire et d'une diminution de la formation d'humeur aqueuse, une reperfusion carotidienne peut entraîner une augmentation de la production d'humeur aqueuse et une forte augmentation de la PIO. Une PPR complète entraîne une régression de la néovascularisation du segment antérieur dans environ deux tiers des cas. Les anti-VEGF et les corticoïdes n'ont pas été étudiés dans le traitement du syndrome d'ischémie oculaire.

Brown GC, Sharma S. Ocular ischemic syndrome. In : Ryan SJ, Schachat AP, Wilkinson CP, Hinton DR, Sadda SR, Wiedemann P, eds. Retina. 5th ed. Philadelphia : Elsevier/Saunders ; 2013 : 1091–1103.

Occlusions artérielles

L'apport sanguin aux couches internes de la rétine provient entièrement de l'artère centrale de la rétine, à moins qu'une artère ciliorétinienne ne soit présente (20 % à 23 % des yeux). L'ischémie rétinienne est le résultat de processus pathologiques affectant les vaisseaux afférents, quel que soit leur niveau, depuis l'artère carotide jusqu'aux artérioles intrarétiniennes. Les signes et symptômes de l'obstruction artérielle dépendent du vaisseau impliqué : l'occlusion d'une artériole extramaculaire périphérique peut être asymptomatique, alors qu'une occlusion de l'artère ophtalmique peut provoquer une cécité totale.

Obstruction des artérioles rétiniennes précapillaires (nodules cotonneux)

L'obstruction aiguë au niveau du réseau capillaire radiaire péripapillaire conduit à la formation d'un infarctus de la couche de fibres nerveuses (CFN), ou nodules cotonneux qui traduisent l'inhibition du transport axoplasmique dans la CFN (fig. 6-14). Ces taches ischémiques rétiniennes internes sont superficielles, blanches et typiquement d'une taille d'un quart de diamètre papillaire ou moins. Elles disparaissent habituellement en 5 à 7 semaines, bien que les taches présentes en association avec la rétinopathie diabétique restent souvent plus longtemps. Une discrète dépression rétinienne, causée par l'atrophie ischémique rétinienne interne, peut se développer dans la zone de l'ischémie antérieure. L'effet sur la fonction visuelle, comprenant la baisse d'acuité visuelle et les altérations du champ visuel, est en rapport avec la taille et l'emplacement de la zone occluse.

Figure 6-14
Photographie du fond d'œil montrant un nodule cotonneux.
(Remerciements au Dr Gary C. Brown.)

La cause la plus courante des nodules cotonneux est la rétinopathie diabétique (abordée dans le chapitre 5). D'autres causes incluent :

  • l'hypertension artérielle systémique ;

  • la rétinopathie liée au VIH ;

  • l'anémie (sévère) ;

  • la rétinopathie par irradiation ;

  • la rétinopathie drépanocytaire ;

  • la maladie embolique cardiaque ;

  • la maladie obstructive de l'artère carotide ;

  • la vascularite ;

  • la maladie vasculaire du collagène ;

  • la leucémie.

La constatation ne serait-ce que d'un seul nodule cotonneux sur un œil apparemment indemne devrait alerter le clinicien et déclencher une enquête étiologique.

Brown GC, Brown MM, Hiller T, Fischer D, Benson WE, Magargal LE. Cotton-wool spots. Retina. 1985 ; 5(4) : 206–214.

Occlusion de branche artérielle rétinienne (OBA)

Bien qu'une OBA au stade aigu puisse ne pas être initialement apparente à l'examen ophtalmoscopique, en quelques heures ou quelques jours il se produit une opacification œdémateuse provoquée par l'infarctus de la rétine interne dans le territoire de distribution du vaisseau affecté (fig. 6-15). Avec le temps, le vaisseau occlus se recanalise, la perfusion revient et l'œdème se résout ; cependant, un scotome permanent du champ visuel persiste. Une occlusion artérielle rétinienne qui se produit à l'extérieur du pôle postérieur peut être cliniquement silencieuse.

Figure 6-15
Occlusion de la branche artérielle inférotemporale. La photographie du fond d'œil montre l'opacification de la rétine dans la distribution du vaisseau occlus (inféromaculaire). Dans ce cas, l'acuité visuelle était de 7/10 à la présentation mais est remontée à 10/10 après plusieurs semaines.
(Remerciements au Dr Gary C. Brown.)

L'occlusion sur un site quelconque est le résultat d'un embole ou d'une thrombose du vaisseau affecté. Trois principales variétés d'emboles sont reconnues :

  • 1.

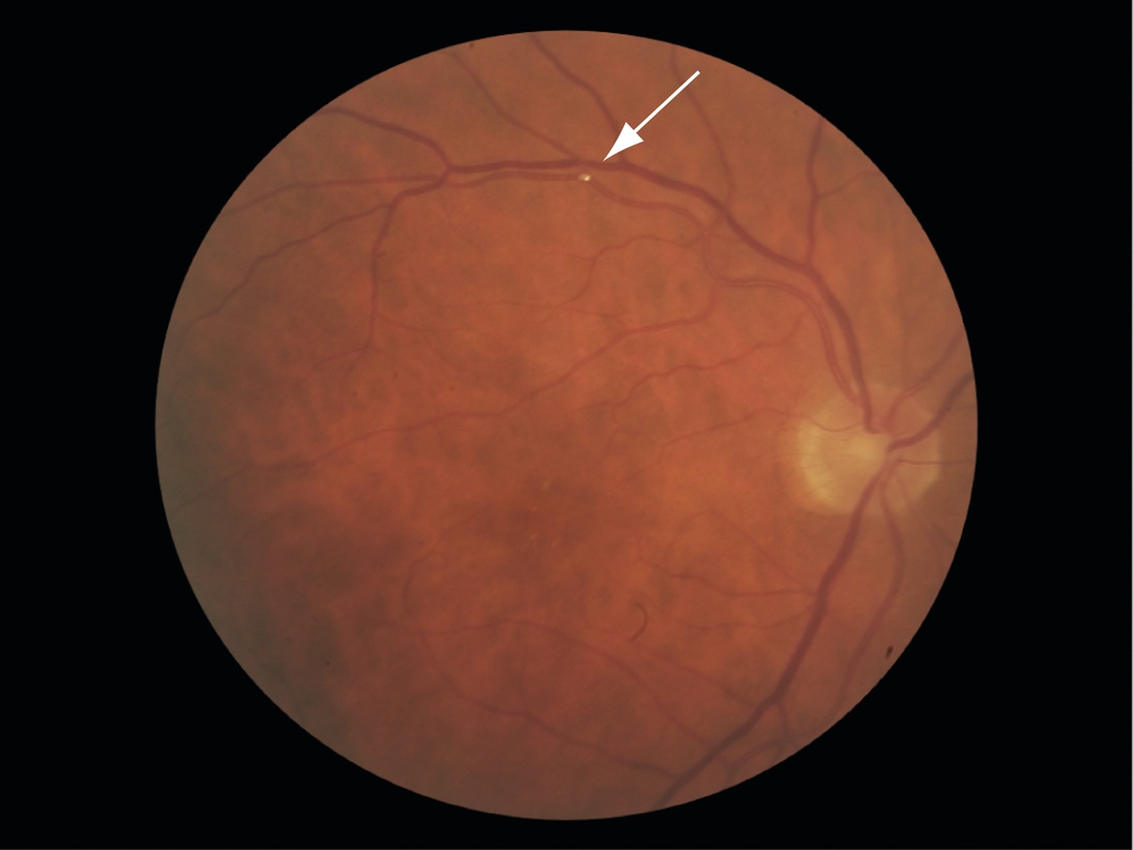
    emboles de cholestérol (plaques de Hollenhorst) apparaissant dans les artères carotides (fig. 6-16)

    Figure 6-16
    Plaque de Hollenhorst. Photographie du fond d'œil montrant une plaque de Hollenhorst logée au niveau d'une bifurcation de l'arcade supérieure (flèche). Les plaques de Hollenhorst ne donnent pas typiquement d'obstruction vasculaire et peuvent rester au niveau d'une bifurcation indéfiniment. Parfois, elles peuvent se déplacer avec le flux sanguin.
    (Remerciements au Dr Tara A. McCannel, PhD.)

  • 2.

    emboles de plaquettes-fibrine associés à un vaisseau athéroscléreux de gros calibre

  • 3.

    emboles calciques provenant de valves cardiaques malades

Les causes rares d'embolie comprennent le myxome cardiaque, les emboles graisseux provenant de fractures des os longs, les emboles sceptiques provenant d'une endocardite infectieuse et les emboles de talc chez les toxicomanes par voie intraveineuse. Bien que rarement, la migraine peut causer des occlusions artérielles oculaires chez les patients de moins de 30 à 40 ans. D'autres associations incluent :

  • les arythmies ;

  • le prolapsus de la valve mitrale ;

  • les contraceptifs oraux ou la grossesse ;

  • les troubles de la coagulation ;

  • les traumatismes ;

  • la drépanocytose ;

  • les étiologies inflammatoires et infectieuses telles que la rétinochoroïdite toxoplasmique et la syphilis ;

  • les troubles des tissus conjonctifs, y compris l'artérite à cellules géantes.

La prise en charge vise à déterminer les facteurs étiologiques systémiques. Les embolies des artères rétiniennes ont été associées à un risque accru de mortalité ; par conséquent, une évaluation vasculaire systémique doit être envisagée. Aucune thérapie oculaire spécifique ne s'est révélée efficace pour améliorer le pronostic visuel. Abaisser la pression intraoculaire et appliquer une pression intermittente sur le globe (« massage oculaire ») peut déloger un embole d'un grand vaisseau central vers un endroit plus périphérique, mais l'efficacité de ces manœuvres pour améliorer les résultats visuels est inconnue.

Hayreh SS, Podhajsky PA, Zimmerman MB. Branch retinal artery occlusion : natural history of visual outcome. Ophthalmology. 2009 ; 116(6) : 1188–1194.

Wang JJ, Cugati S, Knudtson MD, et al. Retinal arteriolar emboli and long-term mortality : pooled data analysis from two older populations. Stroke. 2006 ; 37(7) : 1833–1836.

Occlusion de l'artère ciliorétinienne

Une entité clinique distincte est l'occlusion de l'artère ciliorétinienne. Comme leur nom l'indique, les branches artérielles ciliorétiniennes proviennent des vaisseaux ciliaires postérieurs courts plutôt que de l'artère centrale de la rétine. Lorsqu'elles sont présentes, elles contribuent généralement à une partie de la circulation maculaire. Le plus souvent, leur occlusion se produit dans le cadre d'une occlusion de la veine centrale de la rétine. Il est postulé que la pression hydrostatique accrue associée à l'OVCR peut réduire le flux sanguin dans l'artère ciliorétinienne au point de l'occlure.

Lorsque l'occlusion de l'artère ciliorétinienne se produit isolément, l'artérite à cellules géantes de Horton doit être fortement suspectée.

Hayreh SS, Fraterrigo L, Jonas J. Central retinal vein occlusion associated with cilioretinal artery occlusion. Retina. 2008 ; 28(4) : 581–594.

Occlusion de l'artère centrale de la rétine (OACR)

Une perte de vision soudaine, complète et indolore sur un œil est caractéristique d'une OACR. La rétine devient opaque et œdémateuse, en particulier au pôle postérieur, où les couches des fibres nerveuses et des cellules ganglionnaires sont les plus épaisses (fig. 6-17). Le reflet orange de la vascularisation choroïdienne intacte sous la fovéola se distingue ainsi par rapport à l'opacité environnante de la rétine neurosensorielle, produisant l'aspect classique de « macula rouge cerise ». Un certain degré de vision maculaire peut être préservé par la présence d'une artère ciliorétinienne protégeant une zone de rétine perfusée par celle-ci (voir fig. 1-7).

Figure 6-17
Occlusion de l'artère centrale de la rétine (OACR). A. Photographie du fond d'œil montrant l'opacification des couches superficielles et l'aspect de macula rouge-cerise. B. Image d'angiographie révélatrice de la préservation d'un secteur de macula supéronasal liée à la présence de vaisseaux ciliorétiniens perfusés. Le patient avait une acuité visuelle réduite aux mouvements de la main. C. SD-OCT d'un cas similaire d'OACR avec épargne d'une artère ciliorétinienne montrant l'opacification des deux tiers internes de la rétine dans la zone occluse (X). Toutes les couches de la rétine sont identifiables dans la zone de la rétine perfusée par l'artère ciliorétinienne, adjacente à la tête du nerf optique. La rétine dans la fovéa est épargnée par l'opacification, entraînant l'apparition d'un aspect rouge-cerise. Du liquide sous-rétinien (astérisque) est parfois visible dans ces cas.
(Parties A et B, remerciements au Dr Hermann D. Schubert ; partie C, remerciements au Dr Colin A. McCannel.)

Avec le temps, l'artère centrale de la rétine se reperfuse ou se recanalise et l'œdème rétinien disparaît ; cependant, l'effet sur l'acuité visuelle est habituellement permanent du fait de l'infarcissement de la rétine interne. Dans une étude, 66 % des yeux avaient une acuité visuelle finale inférieure à 1/20, et 18 % des yeux avaient 5/10 ou plus. La plupart des cas d'acuité visuelle à 5/10 ou plus avaient une artère ciliorétinienne (voir fig. 6-17, voir aussi fig. 1-7). Les cas de perception lumineuse totalement négative ont généralement une ischémie choroïdienne associée soit par occlusion de l'artère ophtalmique, soit par occlusion concomitante des artères ciliaires et de l'OACR (fig. 6-18). Des études expérimentales sur les primates ont suggéré que des dommages irréversibles de la rétine se produisaient 90 minutes après une OACR complète. Cependant, une certaine récupération de la vision peut se produire dans certains cas, même si l'obstruction a persisté pendant de nombreuses heures.

Figure 6-18
OACR associée à l'occlusion d'une artère ciliaire courte postérieure. A. Photographie du fond d'œil d'une OACR associée à l'occlusion d'une artère ciliaire courte postérieure : opacification rétinienne sévère. L'acuité visuelle était à la perception lumineuse négative. B. L'image d'angiographie à la fluorescéine à 3 minutes révèle l'hypofluorescence des vaisseaux rétiniens, de la choroïde nasale et de la papille optique correspondant à une occlusion de l'artère centrale de la rétine et de l'artère ciliaire nasale. Le résultat est une ischémie dans la distribution des artères ciliaires courtes postérieures avec la zone de partage des eaux de la perfusion choroïdienne (voir aussi fig. 9-2).
(Remerciements au Dr Hermann D. Schubert.)

L'OACR est le plus souvent causée par un embole ou une thrombose liée à l'athérosclérose et se produisant au niveau de la lame criblée. Les causes moins fréquentes sont l'hémorragie sous une plaque d'athérosclérose, une thrombose, un spasme ou un anévrisme disséquant au sein de l'artère centrale de la rétine.

Les emboles à l'intérieur de la distribution carotidienne peuvent provoquer des crises ischémiques transitoires, une amaurose fugace, ou les deux. Les emboles brillants de cholestérol, ou plaques de Hollenhorst, au niveau des bifurcations artérielles rétiniennes, suggèrent une origine athéromateuse carotidienne. Lorsqu'ils sont accompagnés de signes fonctionnels et cliniques, ils peuvent être une indication de traitement de l'artère carotide. Les considérations étiologiques systémiques, telles que décrites dans les OBA, sont importantes et requièrent une évaluation. Il convient de noter que la principale cause de décès chez les patients présentant des occlusions artérielles rétiniennes est constituée par les maladies cardiovasculaires.

L'artérite à cellules géantes (ACG) représente environ 1 % à 2 % des cas d'OACR. En cas d'OACR sans emboles évidents, une évaluation approfondie de l'ACG devrait être envisagée. La vitesse de sédimentation érythrocytaire (VS) et la protéine C réactive (C-reactive protein [CRP]), marqueurs du niveau d'inflammation, sont habituellement élevées et devraient être vérifiées. La numération-formule sanguine complète peut détecter une élévation des plaquettes, ce qui est également suggestif d'ACG, et aide à l'interprétation de la VS. Si l'ACG est soupçonnée, une corticothérapie doit être instituée rapidement car l'atteinte ischémique du deuxième œil peut survenir dans les heures ou jours après le premier. En outre, une biopsie de l'artère temporale doit être effectuée. Pour une discussion plus approfondie sur l'artérite à cellules géantes, voir la Section 5 du BCSC, Neuro-ophtalmologie.

Falkenberry SM, Ip MS, Blodi BA, Gunther JB. Optical coherence tomography findings in central retinal artery occlusion. Ophthalmic Surg Lasers Imaging. 2006 ; 37(6) : 502–505.

Prise en charge des OACR

Si un traitement pour OACR doit être institué, il doit être entrepris sans délai. Malheureusement, l'efficacité du traitement est discutable. Des approches thérapeutiques simples, comme l'abaissement de la PIO et les massages oculaires, ne sont pas déraisonnables. En revanche, la paracentèse de la chambre antérieure et le carbinogène (mélange de 95 % d'oxygène et 5 % de dioxyde de carbone), inhalé dans un but vasodilatateur, ont démontré leur inefficacité et ne sont plus recommandés. L'oxygénothérapie hyperbare, le cathétérisme de l'artère ophtalmique avec injection de tPA et l'embolyse au laser Nd:YAG transvitréen manquent tous de preuves d'efficacité.

Une néovascularisation de l'iris se développe après une OACR aiguë dans environ 18 % des yeux 1 à 12 semaines après l'événement, avec un délai moyen d'environ 4 à 5 semaines. La PPR complète entraîne une régression de la néovascularisation du segment antérieur dans deux tiers des cas.

Occlusion de l'artère ophtalmique

L'occlusion de l'artère ophtalmique est très rare. Cliniquement, l'accident produit typiquement une perte totale de la vision qui est soit à la perception de la lumière, soit totalement nulle parce que la non-perfusion simultanée de la choroïde et de la rétine entraîne une ischémie de toutes les couches rétiniennes. La tache rouge-cerise n'est généralement pas présente, car la rétine interne et la rétine externe sont toutes les deux opacifiées et il n'y a plus aucune différence de contraste entre la rétine maculaire et périmaculaire.

L'occlusion de l'artère ophtalmique peut être causée par une dissection de l'artère carotide interne, la mucormycose orbitaire ou par embolisation. Ces dernières années, un nombre croissant d'occlusions de l'artère ophtalmique causées par divers agents cosmétiques faciaux de comblement, en particulier dans la zone périoculaire et le front, ont été rapportées (fig. 6-19). Dans les études d'autopsie des patients décédés au cours d'une ACG active, jusqu'à 76 % des artères ophtalmiques étaient affectées par une vascularite ; cliniquement, cependant, l'occlusion de l'artère ophtalmique est rare dans les ACG.

Figure 6-19
Montage photographique du fond de l'œil gauche d'une femme de 44 ans ayant fait suite à une injection ipsilatérale de gel d'hydroxyapatite calcique synthétique dans sa paupière inférieure gauche à des fins cosmétiques. Une perte soudaine de vision s'est installée avec une acuité visuelle réduite à la perception de la lumière. Une occlusion de l'artère ophtalmique s'est produite à partir d'un passage rétrograde présumé du produit injecté dans l'artère ophtalmique au moyen d'artères anastomotiques orbitaires entre les circulations carotidiennes interne et externe. Le matériau de remplissage blanc est visible dans la circulation sanguine rétinienne et les vaisseaux choroïdiens.
(Remerciements au Dr Kathryn Sun, PhD, au Dr Thomas F. Essman, et à Brenda Schoenauer, CDOS.)

Macro-anévrismes artériels rétiniens

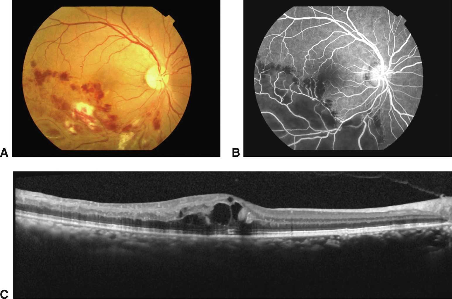
Les macro-anévrismes artériels de la rétine sont des ectasies acquises, touchant principalement les artérioles rétiniennes de second ordre. Les gros macro-anévrismes peuvent occuper toute l'épaisseur de la rétine. La perte de vision peut provenir d'une occlusion embolique ou thrombotique de l'artériole terminale (infarctus blanc) ou d'une hémorragie soit sous la membrane limitante interne, soit intrarétinienne, soit sous-rétinienne, soit intravitréenne. D'autres anomalies rétiniennes peuvent se voir : télangiectasies et désorganisations capillaires, ainsi qu'un œdème et des exsudats rétiniens impliquant la macula. Souvent, il existe plusieurs macro-anévrismes artériels, bien que seulement 10 % des cas soient bilatéraux. Les macro-anévrismes sont associés à une hypertension artérielle systémique dans environ les deux tiers des cas et peuvent se produire dans la zone des occlusions vasculaires anciennes. La sclérose et l'occlusion spontanée surviennent souvent avec le saignement d'un macro-anévrisme. La répétition du saignement est rare.

Le traitement par photocoagulation au laser peut être envisagé en cas d'aggravation de l'œdème maculaire avec menace de la fonction visuelle centrale. Dans la plupart des cas, la technique de laser utilisée est l'application de 2 à 3 rangées d'impacts de 200 à 500 μm, d'intensité modérée, autour du macro-anévrisme sur la rétine immédiatement adjacente. Certains spécialistes préfèrent un traitement direct. La prudence doit être de mise lors du traitement des macro-anévrismes siégeant sur les artérioles maculaires car une complication primaire de la maladie et de son traitement est la thrombose avec obstruction artérielle rétinienne et ses conséquences à distance du macro-anévrisme.

  • Lee EK, Woo SJ, Ahn J, et al. Morphologic characteristics of retinal arterial macroaneurysm and its regression pattern on spectral-domain optical coherence tomography. Retina 2011 ; 31(10) : 2095–101.
  • Pitkänen L, Tommila P, Kaarniranta K, et al. Retinal arterial macroaneurysms. Acta Ophthalmol 2014 ; 92(2) : 101–4.