Retour
Partie II
Pathologies de la rétine et du vitré
CHAPITRE 16
Pathologies du vitré et de l'interface vitréorétinienne
Décollement postérieur du vitré

Le vitré est un tissu conjonctif transparent composé de collagène et d'acide hyaluronique. Il est limité par la membrane hyaloïde. Il est attaché à la lame basale du cristallin, du nerf optique et de la rétine. Le décollement antérieur du vitré, décollement de la membrane hyaloïde antérieure du cristallin au niveau de l'adhérence appelée ligament de Wieger, était fréquemment induit dans le passé par l'extraction intracapsulaire de la cataracte. D'un point de vue clinique, le décollement postérieur du vitré (DPV) est le plus important et correspond à la séparation du cortex postérieur du vitré de la limitante interne de la rétine au niveau du disque (région de Martegiani), de la macula et des vaisseaux sanguins. Au niveau de la base du vitré, les adhérences vitréorétiniennes sont fortes et le vitré reste fermement attaché à la rétine – même après un traumatisme grave –, entraînant parfois une avulsion de la base du vitré. En raison de ces fortes adhérences, la base du vitré doit être « rasée » pendant la vitrectomie.

Lors du vieillissement, il se produit à la fois une liquéfaction (synchisis) et un affaissement du vitré (synérèse). L'acide hyaluronique s'accumule dans les lacunes, qui sont entourées par des fibres de collagène déplacées. Le gel peut alors se contracter, peut-être en raison de l'attraction électrostatique et de la réticulation des fibres de collagène adjacentes en l'absence de hyaluronane. Avec cette contraction, le vitré postérieur se détache et s'affaisse vers sa base fermement attachée. La prévalence de DPV est augmentée chez les patients ayant bénéficié de chirurgie de la cataracte, en particulier si l'intégrité de la capsule postérieure a été endommagée. La prévalence est également augmentée chez les individus ayant des antécédents d'uvéite en raison de la perte ou de l'altération de l'acide hyaluronique. Des régions localisées de la membrane hyaloïde postérieure peuvent se détacher lentement au cours des années avec peu ou pas de symptômes, ou au contraire, se séparer de façon aiguë et être plus symptomatiques.

Le diagnostic de DPV est souvent réalisé en ophtalmoscopie indirecte ou en microscopie à lampe à fente. Il se définit par l'existence d'un espace optiquement vide entre la rétine et la partie postérieure du vitré condensé. Un anneau translucide de tissu fibroglial (anneau de Weiss) est souvent détaché de la surface de la tête du nerf optique, et sonobservation permet de faire le diagnostic certain de DPV. Parfois, lorsqu'un décollement peu profond de la hyaloïde postérieure est difficile ou impossible à apprécier par la biomicroscopie, l'échographie par balayage B permet de révéler le DPV comme une ligne mince et hyperréflective délimitant le cortex vitréen postérieur. La tomographie par cohérence optique (optical coherence tomography [OCT]) a permis de montrer que les DPV commencent souvent comme un détachement localisé du vitré au niveau périfovéolaire, appelé décollement du vitré périfovéolaire, puis celui-ci s'étend progressivement et atteint des zones plus grandes.

L'adhérence persistante du vitré à la rétine peut provoquer un certain nombre de situations pathologiques. La contraction du vitré ainsi que les tractions provoquées par les saccades oculaires peuvent conduire à des déchirures, en particulier au niveau du bord postérieur de la base du vitré. L'adhérence persistante au niveau de la macula peut être responsable de traction vitréomaculaire, ainsi que de la formation de trou maculaire (fig. 16-1). Les « reliquats » de la membrane hyaloïde postérieure restent souvent attachés à la membrane limitante interne après un DPV. Pour cette raison, certains experts pensent qu'un DPV présumé est souvent un « vitréoschisis » postérieur. Ces reliquats de vitré peuvent jouer un rôle dans la formation de membrane épirétinienne ou de trou maculaire. Ils peuvent également contribuer à des décollements de rétine tractionnels chez les patients atteints de myopie pathologique et à des œdèmes maculaires chez les patients diabétiques. Des adhérences persistantes du cortex vitréen postérieur peuvent être mises en évidence lors de la chirurgie par marquage par des cristaux de triamcinolone injectés dans la cavité vitréenne (fig. 16-2).

Figure 16-1
Représentation tridimensionnelle de la tomographie en cohérence optique spectral domain (SD-OCT) du syndrome de traction vitréomaculaire (TVM). Le cône de vitré est attaché et surélève la fovéa centrale.
(Remerciements au Dr Richard F. Spaide.)
Figure 16-2
Visualisation d'une mince couche de vitre adhérente pendant la vitrectomie avec l'utilisation de triamcinolone. Ce patient semblait avoir un décollement postérieur du vitré (DPV) et a bénéficié d'une vitrectomie. A. Une petite quantité de triamcinolone a été injectée dans la cavité vitréenne ; l'excès est aspiré à la surface de la rétine, laissant un marquage fin des zones d'adhérence par les cristaux de triamcinolone. B. La hyaloïde est soulevée à l'aide d'un microcrochet en silicone. Noter que le vitré est difficile à voir ; les cristaux de triamcinolone permettent son repérage. C. Un système de vision grand champ a ensuite été utilisé pour visualiser le décollement du vitré adhérent, et le vitréotome a été mis aspiration seule. D. Noter l'étendue du cortex vitréen postérieur adhérent, qui a été décollée avec le vitréotome en mode « coupe ».
(Remerciements au Dr Richard F. Spaide.)

Gupta P, Yee KM, Garcia P, et al. Vitreoschisis in macular diseases. Br J Ophthalmol. 2011 ; 95(3) : 376–380.

Sakamoto T, Ishibashi T. Hyalocytes : essential cells of the vitreous cavity in vitreoretinal pathophysiology ? Retina. 2011 ; 31(2) : 222–228.

Membranes épirétiniennes

La membrane épirétinienne (MER) est une membrane fibrocellulaire transparente, avasculaire au-dessus de la surface interne de la rétine. Elle adhère et recouvre la membrane limitante interne (MLI). La formation de la MER résulte de la prolifération de cellules gliales, de l'épithélium pigmentaire rétinien (RP) et des hyalocytes au niveau de l'interface vitréorétinienne, en particulier au niveau du pôle postérieur.

Les MER idiopathiques sont relativement fréquentes puisqu'une étude post-mortem retrouvait une MER chez 2 % des patients de plus de 50 ans et chez 20 % des plus de 75 ans. Les MER idiopathiques sont fréquentes chez les personnes de plus de 50 ans et les deux sexes sont affectés de façon similaire. La MER peut être bilatérale dans 10 % à 20 % des cas, mais la gravité est généralement asymétrique. Le DPV est présent dans la majorité des MER idiopathiques. Le schisis du vitré postérieur peut laisser des portions variables de la hyaloïde postérieure adhérentes à la macula, permettant aux cellules gliales de la rétine de proliférer le long de la surface rétinienne et aux hyalocytes de proliférer sur les reliquats de hyaloïde postérieure. Les MER secondaires se produisent indépendamment de l'âge ou du sexe et sont associées à des adhérences vitréorétiniennes anormales ou inflammatoires, ainsi qu'à des déchirures ou hémorragies rétiniennes.

Signes et symptômes

La prolifération épirétinienne est généralement localisée au niveau de la macula – au niveau de la fovéa, autour de la fovéa ou de façon excentrée (fig. 16-3). Les membranes apparaissent habituellement sous la forme d'un reflet brillant cellophane ou d'un voile transparent sur la surface de la rétine. Au fil du temps, les MER deviennent très réfléchissantes, puis elles s'épaississent et deviennent plus opaques, obscurcissant les détails sous-jacents de la rétine. Un « pseudo-trou » peut apparaître si cette membrane prérétinienne est associée à un élargissement ou un trou au niveau de la macula centrale. Parfois, des hémorragies intrarétiniennes, des opacités blanches localisées des fibres optiques (troubles du transport axoplasmique) et des œdèmes microkystiques peuvent être présents. L'origine cellulaire des MER est encore débattue. L'examen histologique révèle principalement des cellules de l'EP et des cellules gliales rétiniennes (astrocytes, cellules de Müller). Des myofibroblastes, des hyalocytes et des macrophages ont également été identifiés.

Figure 16-3
Membrane épirétinienne (MER). A. Imagerie multicolore du fond d'œil à l'aide d'un ophtalmoscope à balayage laser 30° montrant une MER maculaire avec des stries radiaires de la membrane limitante interne (MLI) au niveau supérieur, inférieur et temporal. Les couleurs dans l'imagerie de réflectance multicolore ne sont pas exactement fidèles aux couleurs observées cliniquement. B. OCT centré sur la fovéa montrant un épaississement rétinien et un œdème cystoïde avec un grand kyste central. La MER crée une distorsion de la surface rétinienne avec apparition de zones optiquement vides entre la rétine et la MER.
(Remerciements au Dr Colin A. McCannel.)

La contraction des MER produit une distorsion et un plissement de la surface rétinienne interne, appelées maculopathie cellophane ou fibrose maculaire prérétinienne lorsqu'il est minime ; stries rétiniennes (surface-wrinkling retinopathy, retinal striae) quand il est modéré ; et plissage maculaire (macular pucker) lorsqu'il est sévère. Une augmentation de la traction peut causer un détachement maculaire peu profond, un épaississement diffus ou un œdème microkystique. De plus, la traction sur les vaisseaux rétiniens entraîne une tortuosité vasculaire accrue (là où la rétine est plissée) et des étirements des vaisseaux périmaculaires (là où la rétine est étirée). L'angiographie à la fluorescéine peut montrer une imprégnation du nerf optique ainsi qu'une diffusion au niveau des capillaires maculaires. En OCT, la membrane est visible sous forme d'une ligne hyperréflective prérétinienne, avec une perte du profil maculaire normal et un épaississement rétinien. D'autres constatations incluent des irrégularités de la surface interne de la rétine et un œdème kystique.

Prise en charge

Lorsqu'elle est asymptomatique, une intervention n'est habituellement pas nécessaire. Si le patient est gêné par une acuité visuelle réduite ou des métamorphopsies, la vitrectomie doit être envisagée (voir aussi chapitre 19). L'objectif de la chirurgie est d'optimiser l'acuité visuelle, de réduire les métamorphopsies et de restaurer la binocularité si elle était affectée en préopératoire. Les MER asymptomatiques doivent être surveillées régulièrement, car elles se détériorent souvent, parfois même après avoir été stables sur une courte période de temps. Dans de rares cas, la MER se détache spontanément de la surface interne de la rétinienne. Il y a alors une résolution concomitante de la distorsion rétinienne et une amélioration des symptômes et de l'acuité visuelle.

Johnson TM, Johnson MW. Epiretinal membrane. In : Yanoff M, Duker J, eds. Ophthalmology. 4th ed. St Louis : Mosby ; 2013 : 614–619.

Tractions vitréomaculaires

Les tractions vitréomaculaires incluent les anomalies qui proviennent d'une adhérence vitréomaculaire focale ou large en présence d'un détachement du vitré. Trois catégories sont reconnues : 1) l'adhésion vitréomaculaire (AVM), 2) le syndrome de traction vitréomaculaire (TVM), et 3) le trou maculaire. Un système de classification utile a été élaboré sur l'aspect OCT des tractions (tableau 16-1).

Tableau 16-1
Système international de classification des adhésions vitréomaculaires, des tractions et des trous maculaires
Classification Sous-classification
Adhésion vitréomaculaire Taille : focale (≤ 1500 μm) ou large (> 1500 μm)
Isolée ou concomitante
Traction vitréomaculaire (TVM) Taille : focale (≤ 1500 μm) ou large (> 1500 μm)
Isolée ou concomitante
Trou maculaire de pleine épaisseur Taille : petite (≤ 250 μm), moyenne (> 250 ≤ 400 μm) ou grande (> 400 μm)
État du vitré : avec ou sans TVM
Cause : primaire ou secondaire
Source : Duker JS, Kaiser PK, Binder S, et al. The International Vitreomacular Traction Study Group classification of vitreomacular adhesion, traction, and macular hole. Ophthalmology. 2013 ; 120(12) : 2611–2619.

Syndrome d'adhésion vitréomaculaire

Les AVM en eux-mêmes ne provoquent pas nécessairement des symptômes visuels. Elles peuvent être focales ou diffuses. Elles peuvent conduire secondairement à une véritable traction pathologique : TVM ou trou maculaire.

Syndrome de traction vitréomaculaire

Dans le syndrome de traction vitréomaculaire, la hyaloïde postérieure est anormalement adhérente à la macula. Lorsque le vitré se détache, la hyaloïde postérieure reste attachée à la macula, habituellement au niveau de la fovéa, provoquant des distorsions fovéales tractionnelles, des œdèmes kystiques et, dans les cas graves, des soulèvements fovéaux. Ces changements s'accompagnent d'une diminution de l'acuité visuelle, de métamorphopsies, et souvent d'une plainte visuelle imprécise peu proportionnelle à l'acuité visuelle mesurée. L'angiographie peut montrer une fuite de fluorescéine au niveau des vaisseaux maculaires ainsi que du nerf optique. L'OCT est très utile pour montrer les anomalies de l'interface vitréorétinienne et les effets tractionnels du syndrome de TVM sur l'architecture fovéale. La traction chronique est généralement considérée comme nuisible à long terme, en particulier quand il y a un œdème kystique ou lorsque la vision est altérée. La levée spontanée de la traction vitréorétinienne focale – avec une restitution ad integrum de l'architecture rétinienne – est rare, d'autant plus lorsqu'il y a une membrane épirétinienne associée (fig. 16-4). L'intervention chirurgicale doit être envisagée pour le syndrome TVM. Elle comprend la vitrectomie à la pars plana avec pelage de la membrane ou injection intravitréenne d'ocriplasmine (voir aussi chapitre 19).

Figure 16-4
Syndrome de traction vitréomaculaire. L'OCT maculaire retrouve une traction vitréomaculaire provoquant un grand kyste fovéal et une distorsion de la rétine interne. Une MER est également présente.
(Remerciements au Dr Tara A. McCannel, PhD.)

L'ocriplasmine est une protéase recombinante à activité contre la fibronectine et la laminine ; un essai clinique multicentrique a montré la résolution de la traction vitréomaculaire chez 26,5 % des yeux injectés par l'ocriplasmine comparativement à 10,1 % des yeux injectés par un placébo sur une même période. Dans le sous-groupe de patients ayant des adhérences vitréomaculaires inférieures à 1500 μm de diamètre, le taux de résolution était de 33,6 %.

Johnson MW. Tractional cystoid macular edema : a subtle variant of the vitreomacular traction syndrome. Am J Ophthalmol. 2005 ; 140(2) : 184–192.

Stalmans P, Benz MS, Gandorfer A, et al ; MIVI-TRUST Study Group. Enzymatic vitreolysis with ocriplasmin for vitreomacular traction and macular holes. N Engl J Med. 2012 ; 367(7) : 606–615.

Trou maculaire idiopathique

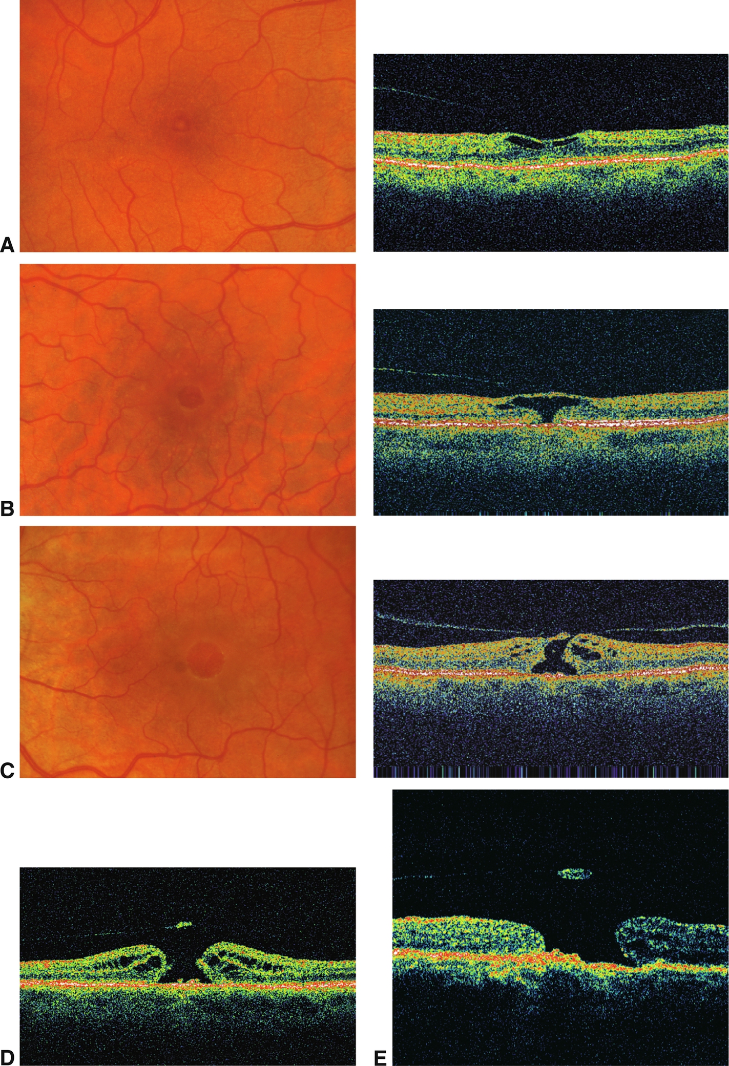
L'incidence des trous maculaires idiopathiques est d'environ 8 pour 100 000 personnes par an, avec un ratio femme/homme de 2/1. Ils surviennent principalement entre la sixième et la huitième décennie, mais sont plus précoces chez les sujets myopes. Les trous maculaires idiopathiques sont bilatéraux chez environ 10 % des patients. Les études en OCT suggèrent que les trous maculaires idiopathiques sont causés par les mêmes forces de traction que les forces associées au décollement postérieur du vitré périfovéolaire et sont donc probablement un stade précoce de DPV lié à l'âge. La description suivante des étapes de la formation des trous maculaires est utile pour la décision de la prise en charge thérapeutique (fig. 16-5).

  • Au stade 0, ou prémaculaire, le trou se crée suite à un DPV avec une fixation fovéale persistante. Une perte de la dépression fovéolaire peut être observée mais l'acuité visuelle n'est généralement pas altérée. La majorité des trous de stade 0 ne progressent pas vers des stades avancés. Ce stade représente les adhésions vitréomaculaires.

  • Le stade 1 – menace de trou ou trou maculaire imminent – provoque typiquement des symptômes visuels de métamorphopsies et de scotome positif central, avec une acuité visuelle comprise en général entre 3/10 et 8/10. Les modifications maculaires évocatrices sont soit un point jaune central (stade 1A), soit un anneau jaunâtre (stade 1B) au niveau de la fovéa. L'examen OCT retrouve un « pseudokyste » fovéal (stade 1A) ou un clivage des couches rétiniennes internes (shisis) associé à une traction vitréomaculaire au centre de la fovéa. Au stade 1B, on observe un clivage de la rétine externe au niveau fovéal correspondant à l'anneau jaunâtre vu cliniquement. La résolution spontanée du stade 1 survient dans environ 50 % des cas. Ce stade correspond au syndrome de traction vitréomaculaire.

  • Le stade 2 – trou maculaire débutant – correspond à un trou maculaire de pleine épaisseur de survenue récente et de moins de 400 μm de diamètre. C'est le résultat de la progression du pseudokyste fovéal vers un trou maculaire de pleine épaisseur lorsqu'il existe un détachement du « toit » du pseudokyste (couche interne). Cette progression s'accompagne d'une baisse d'acuité visuelle. En OCT, on retrouve un défect rétinien de pleine épaisseur associé à une persistance de l'adhésion vitréomaculaire au niveau de la fovéa. Il s'agit d'une TVM avec un trou de taille petite à moyenne.

  • Au stade 3, le trou maculaire est entièrement constitué (≥ 400 μm de diamètre), typiquement entouré par un rebord de rétine épaissie et soulevé. L'acuité visuelle varie largement. La hyaloïde postérieure reste attachée à la papille optique, mais est détachée de la fovéa. Un opercule suspendu par la hyaloïde postérieure peut être vu recouvrant le trou. Sur l'OCT, on peut voir un grand trou maculaire sans TVM.

  • Le stade 4 correspond à trou maculaire constitué avec décollement postérieur du vitré complet, mis en évidence par la présence de l'anneau de Weiss. En OCT, on retrouve un grand trou maculaire sans TVM.

Figure 16-5
Trous maculaires. A. Rétinophotographie couleur et OCT maculaire correspondant à un trou de stade 1A : trou avec le clivage horizontal des couches rétiniennes. B. Rétinophotographie couleur et OCT maculaire correspondant du stade 1B. C. Rétinophotographie couleur et OCT maculaire correspondant du stade 2 ; trou avec petite ouverture excentrée du toit. D. OCT d'un trou de stade 3 de pleine épaisseur avec élévation des bords de la rétine adjacents. E. OCT de trou stade 4 de pleine épaisseur avec opercule.
(Remerciements au Dr Mark W. Johnson et au Dr Peter K. Kaiser.)

Le risque de développement de trou maculaire sur l'œil adelphe dépend du statut du vitré. Si le DPV est complet, il y a peu voire pas de risque de développer un trou maculaire. S'il existe des anomalies de stade 1A, alors le risque est élevé. Si la macula est normale et que le DPV n'est pas fait, le taux de bilatéralisation est d'environ 10 %.

Prise en charge

Pour les trous maculaires de stade 2 ou supérieur, une intervention chirurgicale est recommandée. On privilégiera la vitrectomie à la pars plana avec tamponnement de gaz. Dans les séries les plus récentes, le taux de réussite et d'amélioration de la vision était supérieur à 90 % (voir aussi chapitre 19). Les trous maculaires de stade 1 ont un taux de résolution spontanée d'environ 50 % et doivent donc être uniquement surveillés. Une alternative est l'injection intravitréenne d'ocriplasmine. L'ocriplasmine induit la lyse des adhérences vitréorétiniennes et facilite la fermeture des trous maculaires ou la résolution de trou de stade 1 (voir plus haut le paragraphe consacré à la résolution de TVM). Le succès thérapeutique de cette méthode est plus important pour les stades précoces de trous. Dans l'essai clinique de phase 3 de l'ocriplasmine, le taux de fermeture des trous de pleine épaisseur était de 40,6 % dans l'ensemble et de 58,3 % pour les trous de diamètre inférieur à 250 μm. L'ocriplasmine est plus efficace dans les yeux avec des adhérences focales et beaucoup moins efficace pour les adhérences vitréorétiniennes larges ou les adhérences associées à une MER.

Duker JS, Kaiser PK, Binder S, et al. The International Vitreomacular Traction Study Group classification of vitreomacular adhesion, traction, and macular hole. Ophthalmology. 2013 ; 120(12) : 2611–2619.

McCannel CA, Ensminger JL, Diehl NN, Hodge DN. Population-based incidence of macular holes. Ophthalmology. 2009 ; 116(7) : 1136–1139.

Stalmans P, Benz MS, Gandorfer A, et al ; MIVI-TRUST Study Group. Enzymatic vitreolysis with ocriplasmin for vitreomacular traction and macular holes. N Engl J Med. 2012 ; 367(7) : 606–615.

Anomalies du développement
Reliquats vasculaires antérieurs (tunica vasculosa lentis)

Les reliquats vasculaires antérieurs et la persistance de l'artère hyaloïde, quoique couramment observés, n'ont pas de retentissement sur l'acuité visuelle. Les taches de Mittendorf sont des reliquats vasculaires antérieurs. Ce sont des petites taches rondes blanches et denses attachées à la capsule postérieure du cristallin en position inféronasale. Le reliquat prépapillaire appelé papille de Bergmeister est une touffe de tissu fibrogliale s'étendant dans le vitré sur une courte distance au bord de la tête du nerf optique. L'artère hyaloïde entière peut persister de la papille optique jusqu'au cristallin sous forme de gaines multicouches fenêtrées formant le canal de Cloquet.

Boucles vasculaires prépapillaires

Initialement considérées comme des restes de l'artère hyaloïde, les boucles vasculaires prépapillaires sont des vaisseaux normaux naissant de la papille qui se développent au sein de la papille de Bergmeister avant de retourner à la rétine (fig. 16-6). Les boucles s'étendent généralement sur moins de 5 mm dans le vitré. Ces vaisseaux peuvent suppléer un ou plusieurs quadrants rétiniens. L'angiographie à la fluorescéine (AF) a montré que 95 % de ces vaisseaux sont artériels et 5 % sont veineux. Les complications comprennent l'occlusion de branche artérielle de la rétine, l'amaurose fugace et l'hémorragie intravitréenne.

Figure 16-6
Photographie du fond d'œil d'une boucle vasculaire prépapillaire.
(Remerciements au Dr Gilbert Grand.)

Persistance du système vasculaire fœtal

La persistance du système vasculaire fœtal (PVF), précédemment appelée persistance hyperplasique du vitré primitif, est une anomalie congénitale qui résulterait d'une défaillance de la régression du système vasculaire vitréen. Le trouble est unilatéral dans 90 % des cas et n'est habituellement pas associé à des maladies systémiques. Des formes antérieures, postérieures et combinées de cette anomalie de développement ont été décrites.

Forme antérieure

Dans la PVF antérieure, l'artère hyaloïde reste, et une membrane fibreuse vascularisée blanche ou une masse est présente derrière le cristallin. Les signes cliniques associés incluent une microphtalmie, une chambre antérieure étroite et un étirement important des procès ciliaires visible dans l'aire pupillaire. Une leucocorie est souvent présente à la naissance. Une déhiscence de la capsule postérieure cristallinienne peut, dans de nombreux cas, provoquer une intumescence cristallinienne et une cataracte ainsi qu'un glaucome par fermeture de l'angle. De plus, le glaucome peut résulter d'un développement incomplet de l'angle iridocornéen.

L'évolution naturelle de la PVF antérieure peut entraîner la cécité dans les cas les plus avancés. La phacophagie et l'ablation de la membrane rétrocristallinienne fibrovasculaire peuvent prévenir le risque de glaucome à angle fermé ; cependant, la survenue d'une cataracte secondaire est fréquente. L'amblyopie de privation ou réfractive entraîne des défis thérapeutiques postopératoires chez ces patients.

La PVF antérieure doit être prise en compte dans le diagnostic différentiel de la leucocorie. Il est primordial de la différencier du rétinoblastome. Contrairement à la PVF, le rétinoblastome n'est généralement pas présent à la naissance, est plus souvent bilatéral et n'est presque jamais associé à une microphtalmie ou une cataracte. La PVF est antérieure dès la naissance ; les rétinoblastomes n'apparaissent au niveau de la chambre antérieure que bien après la naissance. Les examens complémentaires comme l'échographie ou la radiologie à la recherche de calcification au sein d'un rétinoblastome sont utiles pour différencier les deux diagnostics.

Forme postérieure

La PVF postérieure peut être isolée ou associée à une forme antérieure. L'œil peut être microphtalme, mais la chambre antérieure est habituellement normale et le cristallin clair sans membrane rétrocristallinienne. Une condensation tissulaire émane de la papille optique et se dirige vers la région rétrocristallinienne en longeant la rétine. Cette condensation vitréenne prérétinienne s'étend antérieurement à partir de la papille optique, habituellement dans un quadrant inférieur. Les bandes de tractions vitréorétiniennes s'étendent de façon radiaire vers la rétine antérieure. La forme postérieure de PVF doit être différenciée de la rétinopathie du prématuré, des vitréorétinopathies exsudatives familiales et de la toxocarose oculaire.

Goldberg MF. Persistent fetal vasculature (PFV) : an integrated interpretation of signs and symptoms associated with persistent hyperplastic primary vitreous (PHPV). LIV Edward Jackson Memorial Lecture. Am J Ophthalmol. 1997 ; 124(5) : 587–626.

Dégénérescences vitréorétiniennes héréditaires avec cavité vitréenne optiquement vide : syndrome de Stickler et maladie de Wagner

La caractéristique commune du groupe des dégénérescences vitréorétiniennes est la liquéfaction du vitré (synchysis) qui se traduit par une cavité optiquement vide à l'exception d'un cortex vitréen en arrière du cristallin, et de membranes avasculaires filiformes disposées circonférentiellement et adhérentes à la rétine. Les anomalies du fond d'œil incluent les dégénérescences équatoriales et périvasculaires (radiales) de type palissadique. La réponse de l'électrorétinogramme peut être subnormale.

Dans la maladie de Wagner, la cavité vitréenne centrale optiquement vide est associée à une myopie, un strabisme et à une cataracte, mais il n'y a pas de pathologie systémique associée. Elle n'est pas associée au décollement de la rétine. La transmission est autosomique dominante.

Le syndrome de Stickler est la variété la plus courante de dégénérescence vitréorétinienne héréditaire associée à des maladies systémiques (fig. 16-7). C'est une maladie à transmission autosomique dominante. La plupart des patients ont une mutation dans le gène COL2A1, qui code pour le type II du procollagène. Plusieurs mutations peuvent produire des phénotypes du syndrome de Stickler avec une gravité différente. Les anomalies ophtalmologiques associées comprennent la myopie, le glaucome à angle ouvert et la cataracte. Les atteintes orofaciales incluent l'hypoplasie de l'étage moyen de la face et le syndrome Pierre Robin comprenant une fente palatine, un rétrognathisme et une glossoptose. Ces anomalies peuvent être spectaculaires à la naissance, nécessitant une trachéotomie, ou peuvent passer inaperçues. Au niveau musculosquelettique, sont décrits des articulations larges, une hyperlaxité, des arthrites, notamment des genoux, et une dysplasie spondylo- épiphysaire légère. Le diagnostic précoce de ce syndrome est très important en raison de l'incidence élevée du décollement de rétine. Dans une série, les déchirures rétiniennes ont été associées à des mutations dans COL2A1 dans 91 % des cas et les décollements rétiniens dans 53 %. Les décollements de rétine sont difficiles à traiter à cause de déchirures souvent multiples, géantes et postérieures avec une tendance à la prolifération vitréorétinienne. Les patients présentant cette affection ont généralement des condensations vitréennes fortement adhérentes à la rétine. Pour cette raison, l'ophtalmologiste doit traiter de façon prophylactique les déchirures rétiniennes. (Voir le paragraphe « Traitement prophylactique des déhiscences rétiniennes » dans le chapitre 15.)

Figure 16-7
Photographie du fond d'œil montrant une dégénérescence rétinienne périphérique extensive en palissade et une modification de pigmentation chez un patient atteint du syndrome de Stickler.
(Remerciements au Dr William F. Mieler.)

Les autres formes de dégénérescences vitréorétiniennes héréditaires associées à des anomalies systémiques comprennent le syndrome de Weill-Marchesani et certaines variétés de nanisme.

Maumenee IH. Vitreoretinal degeneration as a sign of generalized connective tissue diseases. Am J Ophthalmol. 1979 ; 88(3 Pt 1) : 432–449.

Rose PS, Levy HP, Liberfarb RM, et al. Stickler syndrome : clinical characteristics and diagnostic criteria. Am J Med Genet A. 2005 ; 138A(3) : 199–207.

Vitréorétinopathie exsudative familiale

La vitréorétinopathie exsudative familiale (VRFE) se caractérise par l'absence de vascularisation de la rétine temporale et est phénotypiquement similaire à la rétinopathie du prématuré (ROP). La transmission est majoritairement autosomique dominante, mais peut rarement être liée à l'X. Différents loci ont été associés au phénotype VRFE : EVR1, EVR2 et EVR4 sur le chromosome 11 sont autosomiques dominants, tandis que EVR2 sur le bras chromosomique Xp est lié à l'X. Le gène EVR2 code pour la protéine de la maladie de Norrie. Les plis rétiniens, les proliférations fibrovasculaires périphériques, ainsi que les décollements de rétine tractionnel et exsudatif sont souvent associés à la VRFE (fig. 16-8). L'ectopie maculaire temporale peut entraîner une exotropie. Des décollements rétiniens rhegmatogènes tardifs peuvent se produire. Généralement, plus la maladie se manifeste tôt, plus les manifestations sont sévères.

Figure 16-8
Collage photographique de fond d'œil d'un patient atteint de vitréorétinopathie exsudative familiale. La zone temporale non perfusée a une forme de V horizontal, provoquant un pli maculaire tractionnel.

La maladie est souvent bilatérale, mais la sévérité de l'atteinte peut être asymétrique. Contrairement aux patients atteints de ROP, les patients atteints de VRFE sont nés à terme et ont un état respiratoire normal. Dans la VRFE, les vaisseaux rétiniens périphériques forment des brides vitréennes parallèles dont la terminaison est brutale à une distance variable de l'ora. Le diagnostic différentiel entre la VRFE et la ROP est facilité par l'histoire familiale et un examen attentif de tous les membres de la famille. Parfois, le seul signe peut être un étirement des vaisseaux et une non-perfusion de la rétine périphérique. Les parents des enfants atteints peuvent être seulement légèrement affectés et asymptomatiques. Une angiographie à la fluorescéine avec clichés périphériques est indispensable lors de l'examen des membres de la famille.

Ranchod TM, Ho LY, Drenser KA, Capone A Jr, Trese MT. Clinical presentation of familial exudative vitreoretinopathy. Ophthalmology. 2011 ; 118(10) : 2070–2075.

Opacités vitréennes
Hyalopathie astéroïde ou dégénérescence astéroïde du vitré

Dans la hyalopathie astéroïde, de petites particules blanches composées de complexes calciques riches en phospholipides sont retrouvées dans un vitré par ailleurs normal (fig. 16-9). Des études cliniques ont confirmé une relation entre la hyalopathie astéroïde et le diabète ainsi que l'hypertension artérielle. L'incidence de la maladie est de 1 sur 200 personnes. Elle survient le plus souvent chez les personnes de plus de 50 ans. La maladie est unilatérale dans 75 % des cas, et la baisse d'acuité visuelle est rare. Lorsque la dégénérescence astéroïde du vitré masque les détails du fond d'œil et qu'une pathologie est suspectée, en général, la qualité de l'angiographie à la fluorescéine n'est pas altérée et permet de détecter les anomalies rétiniennes. Parfois, une vitrectomie peut être nécessaire pour éliminer les opacités afin de faciliter le traitement des anomalies rétiniennes sous-jacentes telles que la rétinopathie proliférante. De nombreux yeux présentant une hyalopathie astéroïde ont une interface vitréorétinienne anormale avec des adhérences vitréorétiniennes. Ces adhérences augmentent le risque de formation de déchirure rétinienne iatrogène pendant la vitrectomie.

Figure 16-9
Rétinophotographie couleur d'une hyalopathie astéroïde.
(Remerciements au Dr Hermann D. Schubert.)

Mochizuki Y, Hata Y, Kita T, et al. Anatomical findings of vitreoretinal interface in eyes with asteroid hyalosis. Graefes Arch Clin Exp Ophthalmol. 2009 ; 247(9) : 1173–1177.

Hémorragie intravitréenne

Il s'agit d'un motif de consultation en urgence fréquent dans les cabinets d'ophtalmologie suite à une baisse d'acuité visuelle brutale sans traumatisme associé. Chez l'adulte, les causes les plus fréquentes sont la rétinopathie diabétique proliférante (voir chapitre 5), l'occlusion de la veine centrale de la rétine et la néovascularisation rétinienne toutes causes confondues (voir tableau 7-2). Dans les cas d'hémorragie vitréenne secondaire à un DPV brutal, les déchirures rétiniennes sont retrouvées dans environ 50 à 70 % des yeux et le décollement de rétine dans 8 à 12 % des cas. Chez l'enfant, le rétinoschisis juvénile lié à l'X et la pars planite sont les causes les plus fréquentes ; cependant, le diagnostic différentiel de traumatisme doit toujours être recherché (voir chapitre 17).

Dans la majorité des cas, la cause de l'hémorragie intravitréenne peut être déterminée grâce à l'interrogatoire et à l'examen du fond d'œil. Si l'hémorragie vitréenne est trop dense et ne permet pas l'examen du fond d'œil, l'examen de l'œil adelphe peut orienter sur le diagnostic. Une échographie doit être réalisée afin de diagnostiquer une déchirure tractionnelle (souvent en supérotemporal) et d'éliminer un décollement de rétine ou une tumeur. L'occlusion binoculaire et le repos au lit pendant quelques heures à plusieurs jours, avec la tête du lit surélevée, peuvent permettre au sang intrahyaloïdien et rétrohyaloïdien de sédimenter, favorisant une meilleure visualisation du segment postérieur. Si l'étiologie n'est pas être retrouvée, l'ophtalmologiste devrait envisager un réexamen fréquent avec une échographie répétée jusqu'à ce que la cause soit trouvée. Sinon, une vitrectomie diagnostique rapide pourra être envisagée chez les patients non diabétiques et peut permettre de prévenir la progression d'une déchirure rétinienne ou d'un décollement de la rétine. Une hémorragie intravitréenne prolongée peut entraîner un glaucome à cellules fantômes.

El-Sanhouri AA, Foster RE, Petersen MR, et al. Retinal tears after posterior vitreous detachment and vitreous hemorrhage in patients on systemic anticoagulants. Eye (Lond). 2011 ; 25(8) : 1016–1019.

Sarrafizadeh R, Hassan TS, Ruby AJ, et al. Incidence of retinal detachment and visual outcome in eyes presenting with posterior vitreous separation and dense fundus-obscuring vitreous hemorrhage. Ophthalmology. 2001 ; 108(12) : 2273–2278.

Witmer MT, Cohen SM. Oral anticoagulation and the risk of vitreous hemorrhage and retinal tears in eyes with acute posterior vitreous detachment. Retina. 2013 ; 33(3) : 621–626.

Cellules pigmentées

Chez un patient sans uvéite, sans rétinopathie pigmentaire et sans antécédent de chirurgie oculaire ou de traumatisme, la présence de cellules pigmentées dans le vitré antérieur (« tobacco dust »), connue sous le nom de signe de Shafer, doit faire craindre une déchirure rétinienne (voir chapitre 15).

Synchisis étincelant

De nombreux cristaux de cholestérol blanc jaune, dorés ou multicolores sont présents dans le vitré et la chambre antérieure dans le synchisis étincelant. Celui-ci apparaît presque exclusivement dans les yeux qui ont subi des traumatismes accidentels ou chirurgicaux répétés provoquant des hémorragies intravitréennes denses. Le terme descriptif de synchisis étincelant renvoie à l'aspect hautement réfractif des cristaux contenant du cholestérol. Contrairement aux yeux avec une dégénérescence astéroïde, où les opacités sont uniformément réparties dans la cavité vitréenne, dans le synchisis étincelant il existe souvent un DPV, ce qui entraîne une sédimentation inférieure des cristaux.

Amylose vitréenne

Des opacifications vitréennes bilatérales peuvent apparaître comme une manifestation précoce de la forme héréditaire dominante d'amylose familiale, qui est le plus souvent associée à une mutation de la transthyrétine (fig. 16-10). L'infiltration amyloïde du vitré est rare dans les formes non familiales. En plus du vitré, les dépôts amyloïdes peuvent être déposés dans le système vasculaire rétinien, la choroïde et le réseau trabéculaire.

Figure 16-10
Amylose. Images d'une femme de 57 ans ayant une histoire de vitrectomie pour des corps flottants de l'œil droit. En postopératoire, la patiente présente une cataracte à l'œil droit qui est opérée. Une baisse d'acuité visuelle de son œil gauche survient, et la patiente l'attribue à tort à une cataracte. A. Rétinophotographie couleur de l'œil gauche montrant une infiltration vitréenne dense ; il n'y avait pas de cataracte, et la pression intraoculaire était nettement élevée. L'examen général a révélé un syndrome du canal carpien dans les deux poignets. B. Après la chirurgie de vitrectomie sur l'œil gauche, la rétinophotographie retrouve des hémorragies rétiniennes le long de l'arcade vasculaire inférotemporale. C. L'analyse du vitré prélevé, coloré au rouge Congo, montre une biréfringence (D). On a retrouvé une mutation affectant la transthyrétine chez la patiente. Le glaucome est une complication fréquente chez les patients atteints de polyneuropathie secondaire à l'amylose familiale liée à la transthyrétine.
(Remerciements au Dr Richard F. Spaide.)

L'atteinte rétinienne peut associer des hémorragies, des exsudats, des nodules cotonneux et des néovascularisations rétiniennes périphériques. De plus, des infiltrations peuvent être présentes dans l'orbite, au niveau des muscles oculomoteurs, des paupières, de la cornée et de l'iris. Les manifestations extraoculaires de l'amylose sont des polyneuropathies des extrémités des membres inférieurs et supérieurs et des anomalies du système nerveux central. Les dépôts amyloïdes peuvent s'accumuler au niveau de plusieurs organes comme le cœur, la peau et le système gastro-intestinal.

Initialement, les opacités vitréennes extracellulaires apparaissent de façon adjacente aux vaisseaux rétiniens postérieurs ; puis elles se développent plus tard en avant. Au début, les opacités apparaissent granulaires avec de « fines spéculations », mais, à mesure qu'elles s'élargissent et s'accumulent, le vitré prend une apparence de « laine de verre ». Avec la liquéfaction vitréenne ou le DPV, les opacités peuvent être déplacées dans l'axe visuel, entraînant une réduction de la vision et une photophobie.

Les diagnostics différentiels sont l'hémorragie vitréenne chronique (déhémoglobinisation), le lymphome, la sarcoïdose et la maladie de Whipple. La vitrectomie peut être indiquée lorsque les symptômes visuels justifient l'intervention, mais les opacités peuvent récidiver à partir du vitré résiduel. L'examen histologique du vitré retrouve un aspect fibrillaire et des réactions de coloration caractéristique de l'amylose. Les études de biréfringence et en microscopie électronique confirment le diagnostic. L'immunohistochimie a montré que le composant principal des dépôts amyloïdes était une protéine ressemblant à la préalbumine.

Sandgren O. Ocular amyloidosis, with special reference to the hereditary forms with vitreous involvement. Surv Ophthalmol. 1995 ; 40(3) : 173–196.

Anomalies vitréennes secondaires à une chirurgie

L'incarcération du vitré au niveau de l'incision lors de la chirurgie de la cataracte ou de la chirurgie vitréenne peut entraîner de nombreuses complications postopératoires. Suite à la chirurgie de la cataracte avec issue vitréenne, il existe un risque accru d'endophtalmie infectieuse, d'invasion épithéliale, d'hypotonie, d'athalamie, de synéchies antérieures périphériques et de glaucome secondaire. Le vitré incarcéré dans l'incision et les adhérences iridovitréennes peuvent entraîner des troubles oculaires chroniques comme une inflammation, un œdème maculaire cystoïde et un œdème papillaire (syndrome d'Irvine-Gass). Ces complications peuvent être réduites par l'ablation de tout vitré de la chambre antérieure et par la libération des adhérences et incarcérations par vitrectomie.

Le décollement de rétine peut faire suite à la contraction du vitré incarcéré dans l'incision de la chirurgie de cataracte ou de vitrectomie. Ces décollements peuvent être rhegmatogènes ou tractionnels et nécessitent un traitement par vitrectomie et/ou indentation sclérale (voir chapitre 19).

Le risque de complications de l'issue de vitré pendant la chirurgie de la cataracte peut être fortement diminué par une vitrectomie antérieure attentive suivie d'une fermeture méticuleuse de toutes les incisions. Pour les complications de la chirurgie de la cataracte et leur prise en charge, voir la Section 11 du BCSC, Lens and Cataract. Pour plus d'informations sur l'endophtalmie postopératoire, voir la Section 9 du BCSC, Intraocular Inflammation and Uveitis.

  • Harbour JW, Smiddy WE, Rubsamen PE, Murray TG, Davis JL, Flynn HW Jr. Pars plana vitrectomy for chronic pseudophakic cystoid macular edema. Am J Ophthalmol 1995 ; 120(3) : 302–307.