Retour
Partie II
Pathologies de la rétine et du vitré
CHAPITRE 12
Dystrophies rétiniennes et choroïdiennes héréditaires

Les dystrophies héréditaires du segment postérieur constituent un groupe de pathologies vaste et potentiellement déroutant. Le site Internet Online Mendelian Inheritance in Man (OMIM) liste plus de 750 pathologies génétiques avec une implication rétinienne, choroïdienne ou mixte. Une autre excellente source Internet, RetNet, détaille plus de 200 pathologies dégénératives rétiniennes pour lesquelles le site chromosomique et souvent le défect génétique spécifique ont été identifiés. Les mutations responsables sont hétérogènes, et les patients affectés peuvent avoir des présentations cliniques variées. Traditionnellement, les classifications anatomiques ont divisé ces pathologies en fonction de la topographie apparente ou de la zone touchée, comme la rétine, la macula, l'épithélium pigmentaire (EP), la choroïde, ou la zone vitréorétinienne. Cette approche n'est cependant pas suffisante car beaucoup de dystrophies se chevauchent et peuvent affecter plusieurs couches cellulaires ou zones. Un deuxième type d'organisation, fondé sur l'histoire familiale du patient, est utilisé pour établir le mode de transmission de l'affection. L'analyse méthodique des ascendants donne une information utile dans 60 % des cas. Une troisième approche dans l'évaluation diagnostique consiste à établir le phénotype de la maladie par l'examen clinique, les tests électrophysiologiques et psychophysiques. L'analyse approfondie des informations issues de ces trois approches permet de rattacher la plupart de ces affections à un groupe de pathologies, avec pour beaucoup un diagnostic clinique spécifique pouvant être confirmé par une analyse moléculaire.

Les pathologies héréditaires oculaires, à de rares exceptions près, sont bilatérales et symétriques. En cas d'atteinte unilatérale, d'autres causes – comme une anomalie congénitale, une infection in utero ou anténatale, une pathologie inflammatoire – doivent être envisagées avant de poser le diagnostic de dystrophie héréditaire. Les affections dégénératives rétiniennes pouvant faire partie d'un trouble syndromique général, le recueil exhaustif de l'histoire médicale est crucial, permettant d'écarter toute cause réversible de dégénérescence ou dysfonction rétinienne, comme le déficit en vitamine A (voir aussi chapitre 13).

Obtenir une histoire familiale précise est essentiel pour déterminer le mode de transmission. Les modes mendéliens de transmission héréditaire sont bien connus – à savoir : autosomique dominant, autosomique récessif et récessif lié à l'X. Des affections rétiniennes mitochondriales et dominantes liées à l'X ont par ailleurs été décrites. Certains patients présentant une affection dégénérative rétinienne peuvent n'avoir aucune histoire familiale. Ces patients peuvent présenter une mutation de novo, ou, de manière alternative, l'atteinte des autres membres de la famille peut être modérée, les rendant relativement asymptomatiques. Pour cette raison, il peut être important d'examiner les apparentés, lorsque cela est possible, afin de détecter tout signe de dégénérescence rétinienne.

La recherche du défect génétique et des mécanismes physiopathologiques responsables des dystrophies rétiniennes est en cours. Peut-être que l'avancée obtenue la plus importante est qu'en fonction de la localisation de la mutation dans un gène, il peut y avoir une expression variable ou même différents phénotypes. Ce phénomène a été observé pour de nombreux gènes autosomiques dominants. Par exemple, les mutations sur le gène de la RDS/périphérine (PRPH2) ont été associées au phénotype de la rétinopathie pigmentaire à cônes prédominants (cone-rod dystrophy), à celui de la rétinopathie pigmentaire (RP) et à celui de la dystrophie réticulée. Les mutations sur le gène de la rhodopsine (RHO) peuvent causer une cécité nocturne stationnaire congénitale ou une RP. Les mutations sur le gène cone-rod homeobox-containing gene (CRX) peuvent aboutir à un phénotype d'amaurose congénitale de Leber ou à un phénotype de RP à cônes prédominants (cone-rod dystrophy). Les gènes autosomiques récessifs ont aussi été associés à différents phénotypes en fonction de la localisation et du type de mutation à l'intérieur du gène. Par exemple, les mutations sur ABCA4 induisent une maladie de Stargardt comme des dystrophies maculaires juvéniles ou adultes, une RP, une RP à cônes prédominants (cone-rod dystrophy) qui peut être modérée à sévère et progressive.

Pour faciliter l'identification clinique et la prise en charge, les dystrophies avec atteinte primitive diffuse des photorécepteurs sont classées séparément de celles avec atteinte maculaire prédominante, pour lesquelles les symptômes et le pronostic sont généralement différents. La catégorie des dystrophies diffuses des photorécepteurs est sous-catégorisée en syndromes à bâtonnets ou à cônes prédominants. Les dystrophies choroïdiennes et vitréorétiniennes sont séparées pour faciliter la description clinique.

Daiger SP, Sullivan LS, Bowne SJ. Genetic mechanisms of retinal disease. In : Ryan SJ, Schachat AP, Wilkinson CP, Hinton DR, Sadda SR, Wiedemann P, eds. Retina. 5th ed. Philadelphia : Elsevier/Saunders ; 2013 : 624–634.

Heckenlively JR, Daiger SP. Hereditary retinal and choroidal degenerations. In : Rimoin DL, Connor JM, Pyeritz RE, Korf BR, eds. Emery and Rimoin's Principles and Practice of Medical Genetics. 3 vols. 5th ed. Philadelphia : Churchill Livingstone ; 2007 : chap. 137.

McKusick-Nathans Institute of Genetic Medicine, Johns Hopkins University School of Medicine. Online Mendelian Inheritance in Man website. at www.omim.org. Updated daily. Accessed September 5, 2014.

The University of Texas–Houston Health Science Center. RetNet, the Retinal Information

Network website. Available at www.sph.uth.edu/retnet. Accessed September 5, 2014.

Tests diagnostiques et pronostiques

L'électrorétinogramme (ERG) et la périmétrie jouent un rôle central dans le diagnostic et le suivi des dégénérescences choriorétiniennes. L'autofluorescence du fond d'œil et la tomographie en cohérence optique (optical coherence tomography [OCT]) jouent cependant un rôle de plus en plus important. La comparaison entre les réponses ERG sélectives pour les cônes, les bâtonnets et mixtes cônes-bâtonnets montre les aspects diagnostiques observés de manière commune dans les pathologies rétiniennes héréditaires (tableau 12-1). Les analyses en périmétrie, autofluorescence et spectral-domain optical coherence tomography (SD-OCT) peuvent objectiver des modifications qui peuvent aider à établir un diagnostic correct.

Tableau 12-1
Guide basique pour interpréter les réponses en électrorétinographie standardisée*
Aspects ERG Pathologie ou affection
Réponse ERG indétectable Amaurose congénitale de Leber
Aplasie rétinienne
Rétinopathie pigmentaire (RP)
Décollement de rétine complet
Réponse ERG photopique anormale ou indétectable, associée à des altérations modérées des bâtonnets à l'ERG Dégénérescence des cônes
Achromatopsie
Monochromatisme des cônes bleus lié à l'X
Dystrophie des cônes liée à l'X
Réponse ERG scotopique faiblement ou non détectable
Réponse ERG photopique avec une onde b anormale
RP à bâtonnets prédominants
Amaurose congénitale de Leber
Choroïdérémie
Choriorétinite (variable)
RP secondaire, incluant des pathologies de stockage
Rétinite ponctuée albescente
Amplitude anormale des ondes b des cônes et des bâtonnets
Atteintes des cônes relativement supérieure à celle des bâtonnets
Dégénérescences à cônes prédominants (cone-rod dystrophies) : autosomique dominantes, autosomique récessives, récessives liées à l'X
Dégénérescences post-inflammatoires
Ondes négatives – après adaptation à l'obscurité, la réponse au flash intense ERG est la suivante : l'onde a est normale ou atténuée, l'onde b ne revient pas au point isoélectrique Rétinoschisis lié à l'X
Cécité nocturne stationnaire congénitale Syndrome d'augmentation des cônes bleus (syndrome de Goldmann-Favre)
Certaines rétinopathies auto-immunes
Anomalies non spécifiques Corps étranger métallique
Choriorétinite (aiguë ou ancienne)
Dégénérescence rétinienne précoce
Occlusion vasculaire rétinienne partielle
Niveaux sériques en taurine bas
Vascularite
Rétinopathie diabétique

* Voir aussi Audo I, Robson aG, holder Ge, Moore at. the negative eRG : clinical phenotypes and disease mechanisms of inner retinal dysfunction. Surv Ophthalmol. 2008 ; 53(1) : 16–40.

Modifié à partir de Rimoin DL, Connor JM, pyeritz Re, Korf BR, eds. Emery and Rimoin's Principles and Practice of Medical Genetics. 4th ed. New York : Churchill Livingstone ; 2002 : 3566. Copyright © 2001, avec l'autorisation d'Elsevier.

Dystrophies diffuses des photorécepteurs

La dégénérescence panrétinienne est associée à de multiples affections rétiniennes héréditaires, la plupart étant des formes cliniques de RP, et ainsi des dystrophies à bâtonnets prédominants (rod-cone dystrophies). L'aspect de perte à l'ERG peut aussi traduire une atteinte prédominante des cônes (cone-rod dystrophy). Dans les cas avancés, le signal ERG peut être complètement éteint.

Les tests de champ visuel aident à mieux caractériser le diagnostic et documenter le niveau de fonction résiduelle du patient. Les RP à bâtonnets prédominants ont un champ visuel contracté. Des scotomes annulaires partiels ou complets sont courants dans les régions en moyenne périphérie, mais s'étendent souvent à la périphérie, ne laissant qu'un petit îlot de champ visuel central (fig. 12-1). Dans les RP à cônes prédominants (cone-rod RP), les scotomes annulaires sont plus proches du point de fixation. Chez les patients avec une dégénérescence primitive des cônes et dans les RP à cônes prédominants, les scotomes centraux sont fréquents.

Figure 12-1
Exemples de champ visuels de rétinopathies pigmentaires (RP), obtenus avec l'index Goldmann III-4. A. Pathologie débutante : scotomes en moyenne périphérie. B. Pathologie avancée : déficit sévère épargnant uniquement un tunnel central et un îlot en grande périphérie, qui peut à terme disparaître.
(Remerciements au Dr Michael F. Marmor.)

Rétinopathies pigmentaires

Les anomalies pigmentaires panrétiniennes de l'EP et de la rétine sont divisées en deux grands groupes : 1) les rétinopathies pigmentaires primitives et 2) les rétinopathies pigmentaires secondaires. Les rétinopathies pigmentaires primitives se rapportent aux affections héréditaires qui impliquent de manière diffuse le fonctionnement des photorécepteurs et de l'EP. Ces pathologies se caractérisent par une perte progressive du champ visuel et des réponses ERG anormales. L'évolution de la pathologie est restreinte aux yeux et n'est pas associée à d'autres manifestations systémiques. Les rétinopathies pigmentaires secondaires se rapportent à des pathologies dans lesquelles la dégénérescence rétinienne est associée à une atteinte organique systémique unique ou multiple. Les formes secondaires de RP sont détaillées dans le chapitre 13. Parfois, le terme de rétinopathie pigmentaire peut être utilisé de manière purement descriptive, sans qu'aucune pathologie associée ne soit présente. Ainsi, il est important de comprendre le contexte dans toute discussion à propos de rétinopathie pigmentaire.

Caractéristiques cliniques et diagnostic

Les signes cliniques typiques de RP au fond d'œil associent un rétrécissement artériolaire, une pâleur cireuse variable du nerf optique et une quantité variable de modifications pigmentaires ostéoblastiques (fig. 12-2). La rétine périphérique et l'EP apparaissent atrophiques même en l'absence de pigment (RP sine pigmento), et la macula présente typiquement une perte du reflet fovéolaire et des irrégularités de l'interface vitréorétinienne. Un œdème maculaire cystoïde (OMC) est présent de manière occasionnelle. Des cellules dans la cavité vitréenne et une cataracte sous-capsulaire postérieure modérée sont également couramment observées.

Figure 12-2
Différents aspects photographiques de fond d'œil de RP. A. Fond d'œil au pôle postérieur retrouvant une pâleur cireuse du nerf optique, une atténuation vasculaire et une macula terne. B. Fond d'œil avec des modifications ostéoblastiques denses périphériques. C. Fond d'œil retrouvant une atrophie périphérique mais sans migration pigmentaire visible. D. Image grand champ du fond d'œil d'un patient avec rétinopathie pigmentaire. Des anomalies pigmentaires extensives, dont des aspects ostéoblastiques, sont visibles.
(Parties A et C, remerciements au Dr Michael F. Marmor ; partie B, remerciements au Dr Carl D. Regillo ; partie D, remerciements au Dr Colin A. McCannel.)

Plusieurs dystrophies rétiniennes ont des phénotypes typiques, comme les points blancs profonds, ou flecks, dans la rétinite ponctuée albescente (fig. 12-3), l'atrophie choriocapillaire dans la choroïdérémie, l'atrophie de l'EP maculaire dans les mutations sur le gène PRPH2, ou la préservation de l'EP para-artériolaire dans le phénotype RP12. Les phénotypes distinctifs sont cependant l'exception, et la plupart des cas présentent des modifications diffuses de l'EP qui sont les effets secondaires de la dégénérescence diffuse des photorécepteurs.

Figure 12-3
Photographie couleur du fond d'œil d'un patient présentant une rétinite ponctuée albescente et montrant de nombreux points blancs profonds.
(Remerciements au Dr John R. Heckenlively.)

La réponse ERG dans la RP retrouve typiquement une perte, ou une diminution importante, des réponses dérivées des bâtonnets, plus marquées que celles dérivées de cônes. Les ondes a et b sont réduites en raison de l'atteinte primitive des photorécepteurs. Les ondes b sont, de manière caractéristique, prolongées dans le temps avec une amplitude diminuée. Les personnes conductrices de RP liée à l'X ont souvent une réduction modérée ou un retard de l'onde b.

Au stade très avancé de beaucoup de types de RP, les réponses ERG peuvent devenir indétectables par les moyens d'analyse conventionnels. Un ERG indétectable n'est pas synonyme de RP mais documente simplement une altération sévère de la fonction visuelle.

Lors d'un bilan pour suspicion de RP chez un patient sans histoire familiale évocatrice (RP simplex), le clinicien devra envisager les causes de dégénérescences rétiniennes acquises pouvant mimer une RP, incluant un antécédent d'occlusion de l'artère ophtalmique, une uvéite diffuse, des infections comme la syphilis, des syndromes paranéoplasiques, et la toxicité rétinienne de certains produits. Les formes secondaires de RP associées à des pathologies métaboliques ou d'autres atteintes organiques devront aussi être envisagées (voir chapitre 13).

Gregory-Evans K, Pennesi ME, Weleber RG. Retinitis pigmentosa and allied disorders. In : Ryan SJ, Schachat AP, Wilkinson CP, Hinton DR, Sadda SR, Wiedemann P, eds. Retina. Vol 2. 5th ed. Philadelphia : Elsevier/Saunders ; 2013 : 761–835.

Variations régionales de rétinopathie pigmentaire

Plusieurs formes cliniques de RP se présentent avec une distribution inhabituelle ou régionale de dégénérescence rétinienne. Beaucoup de ces cas ont une démarcation anormalement nette entre les zones rétiniennes affectées et les zones préservées, contrastant avec les anomalies diffuses de RP plus typique (fig. 12-4). Il est important de reconnaître ces formes parce que certaines peuvent être soit non progressives, soit très lentement progressives.

Figure 12-4
Rétinophotographies couleurs de formes délimitées de RP. Noter la démarcation nette entre les zones de dégénérescence rétinienne et les autres régions du fond d'œil apparaissant plutôt saines. A. Fond d'œil avec des modifications dégénératives à proximité des arcades. B. Fond d'œil de RP sectorielle (entre les flèches), objectivant un rétrécissement vasculaire et des migrations ostéoblastiques uniquement dans le quadrant inféronasal.
(Remerciements au Dr Michael F. Marmor.)

La RP sectorielle est une atteinte limitée à 1 ou 2 secteurs du fond d'œil. Cette atteinte est généralement symétrique dans les deux yeux, ce qui aide à éliminer une altération acquise (par exemple suite à un traumatisme, une atteinte vasculaire ou une inflammation).

Les patients présentant une dystrophie à cônes prédominants (cone-rod dystrophy), pour lesquels les réponses ERG dérivées des cônes sont plus altérées que celles des bâtonnets, ont une atteinte maculaire ou une diminution marquée de l'acuité visuelle très tôt dans la maladie, ce qui est inhabituel en cas de RP. Les déficits au champ visuel peuvent progresser de manière centrifuge plutôt que centripète (RP centrale). Certains patients présentent un scotome annulaire serré à l'intérieur des 20° ou 30° centraux (RP péricentrale). Ce groupe de formes cliniques régionales est probablement hétérogène parce que la plupart des cas paraissent sporadiques et peu sont bien caractérisés cliniquement et génétiquement.

La RP unilatérale est rare, et la plupart des cas de RP unilatérale inexpliquée sont probablement post-inflammatoires ou post-traumatiques. Dans les cas authentiques, la présentation clinique et les résultats dans l'œil atteint sont proches de ceux de RP typique. Avant d'arrêter un diagnostic de RP unilatérale, le clinicien doit en premier lieu écarter les causes secondaires, s'assurer de la réponse ERG normale de l'œil non atteint, et suivre le patient pendant au moins 5 ans de manière à éliminer toute pathologie bilatérale mais asymétrique.

Considérations génétiques

Actuellement, plus de 100 types génétiques différents de RP (ou affections similaires) ont été décrits ; plus de 50 gènes responsables de RP ont été identifiés ; et tous les modes de transmissions héréditaires sont représentés. La RP autosomique dominante (RP-AD) est responsable de 10 à 20 % des cas de RP, en fonction des pays étudiés. Les premières mutations découvertes induisant une RP étaient sur le gène codant pour la rhodopsine, le pigment visuel des bâtonnets qui permet la vision nocturne. La sévérité de l'atteinte résultant des mutations de la rhodopsine varie considérablement. Par exemple, une atteinte modérée (une forme de cécité nocturne stationnaire congénitale) est associée aux mutations du codon 90, alors que des formes sévères résultent des mutations qui interfèrent avec l'attachement de la vitamine A à la protéine rhodopsine. Les mutations sur PRPH2 ont une expression clinique particulièrement étendue, allant de la RP aux dystrophies maculaires dites « pattern » (par exemple dystrophie pseudovitelliforme, dystrophie réticulée), mais sont la cause la plus fréquente de maculopathie héréditaire dominante. La mutation 172, qui est la plus courante, peut induire une variété de phénotypes incluant la dystrophie maculaire, la dystrophie des cônes et la RP à cônes prédominants (cone-rod dystrophy). Des études fonctionnelles sont nécessaires pour permettre un conseil adapté.

La RP autosomique récessive (RP-AR) représente environ 20 % des cas de RP, bien que ce pourcentage augmente quand la définition inclut les familles avec plusieurs cas dans la fratrie (RP multiplex) ou une consanguinité des parents. La RP liée à l'X (RP-XL) représente environ 10 % des cas de RP aux États-Unis et jusqu'à 25 % des cas en Angleterre. Ce pourcentage exclut la choroïdérémie, une dystrophie des bâtonnets puis des cônes liée à l'X, débutant dans l'enfance, qui se caractérise par des déficits du champ visuel proches de ceux de RP typique.

Jusqu'à 40 % des cas aux États-Unis n'ont pas d'antécédents familiaux. La plupart sont généralement supposés être des RP-AR, bien que, indubitablement, un petit nombre de cas soient autosomiques dominants avec une pénétrance réduite, ou récessifs liés à l'X avec un dernier sujet masculin atteint plusieurs générations auparavant. De rares cas de transmission mitochondriale et de transmission dominante liée à l'X ont été rapportés chez des patients atteints de RP.

Berger W, Kloeckener-Gruissem B, Neidhardt J. The molecular basis of human retinal and vitreoretinal diseases. Prog Retin Eye Res. 2010 ; 29(5) : 335–375.

Prise en charge

Les patients présentant une RP de découverte récente sont souvent préoccupés par le risque de cécité. Le clinicien doit dissiper les idées populaires fausses sur cette affection. Les patients atteints de RP peuvent craindre de devenir aveugles en moins d'un an, mais en fait l'affection est un problème dégénératif chronique, et la plupart des patients conservent leur acuité visuelle pendant des décennies. La cécité complète est une extrémité peu fréquente, et les patients qui désirent avoir des enfants mais qui s'inquiètent de transmettre cette affection doivent bénéficier d'un conseil génétique. Beaucoup de patients présentant une RP tirent bénéfice des aides pour adapter les champs visuels rétrécis et la vision nocturne réduite. Les aides de basse vision soulagent fréquemment les patients ayant une acuité visuelle subnormale, et les patients à un stade avancé peuvent nécessiter une rééducation professionnelle ainsi qu'un entraînement à la mobilité.

La prise en charge des RP inclut une évaluation ophtalmologique tous les 1 ou 2 ans. Bien que, à ce jour, la mort des cellules photoréceptrices dans la RP ne puisse être arrêtée ou inversée, les visites de suivi sont nécessaires pour régler des problèmes réfractifs et contrôler l'apparition d'un OMC, qui se développe chez 10 à 20 % des patients. L'OMC peut être traité par la prise orale d'inhibiteurs de l'anhydrase carbonique, comme l'acétazolamide (fig. 12-5), ou l'injection intravitréenne d'acétonide de triamcinolone dans les cas résistants. La résistance au traitement des OMC est courante.

Figure 12-5
Œdème maculaire cystoïde répondant au traitement au cours d'une RP. A. Fuite de colorant visible sur l'image d'angiographie fluorescéinique. B. Œil du même patient après 2 semaines de traitement par acétazolamide par voie orale.
(Remerciements au Dr Michael F. Marmor.)

Les suppléments nutritionnels ont été testés comme traitement dans la RP. Une grande étude a rapporté que la prise quotidienne de fortes doses de palmitate de vitamine A (15 000 UI/jour) peut ralentir la diminution des réponses ERG d'environ 20 % par an. Cependant, ces bénéfices doivent être pondérés par les risques de toxicité hépatique sur le long terme et la tératogénicité de la molécule. L'acide docosahexaénoïque (DHA), un acide gras oméga 3 présent dans les huiles de poissons et supposé être important pour le fonctionnement des photorécepteurs, a été évalué dans deux essais cliniques pour son potentiel dans le retardement de la perte de la vision dans la RP. Aucune étude n'a montré un bénéfice clair.

Une exposition excessive à la lumière pourrait jouer un rôle dans les dégénérescences rétiniennes causées par des mutations de la rhodopsine. Les recommandations pour les patients d'utiliser des lunettes de soleil absorbant les UV et des chapeaux à larges bords afin de se protéger des forts niveaux d'exposition à la lumière apparaissent prudentes malgré l'absence de preuve directe de bénéfice.

Les efforts pour restaurer au moins un certain degré de vision chez des patients devenus complètement aveugles en raison d'une RP incluent l'utilisation de puces électroniques connectées au tissu rétinien résiduel. Un des dispositifs, le système prothétique rétinien Argus II™ (Second Sight Medical Products, Sylmar, Californie, États-Unis), est maintenant commercialisé, et d'autres sont en développement. L'implant comprend une caméra externe et des électrodes posées à la surface de la rétine qui stimulent les cellules rétiniennes résiduelles, permettant une vision rudimentaire minimale. Il existe un important espoir que la thérapie génique et les stratégies médicales régénératives puissent conduire à des traitements pouvant modifier l'évolution de la RP et/ou restaurer la vision chez des patients atteints de RP.

Berson EL, Rosner B, Sandberg MA, et al. A randomized trial of vitamin A and vitamin E supplementation for retinitis pigmentosa. Arch Ophthalmol. 1993 ; 111(6) : 761–772.

Fishman GA, Gilbert LD, Fiscella RG, Kimura AE, Jampol LM. Acetazolamide for treatment of chronic macular edema in retinitis pigmentosa. Arch Ophthalmol. 1989 ; 107(10) : 1445–1452.

Hartong DT, Berson EL, Dryja TP. Retinitis pigmentosa. Lancet. 2006 ; 368(9549) : 1795–1809.

Maguire AM, High KA, Auricchio A, et al. Age-dependent effects of RPE65 gene therapy for Leber's congenital amaurosis : a phase 1 dose-escalation trial. Lancet. 2009 ; 374(9701) : 1597–1605.

Amaurose congénitale de Leber

Les dystrophies rétiniennes à début précoce sont communément appelées amaurose congénitale de Leber (ACL ; voir aussi la Section 6 du BCSC, Pediatric Ophthalmology and Strabismus, chapitre 25). Actuellement, trois mutations autosomiques dominantes et 18 mutations récessives ont été identifiées. L'ACL se caractérise typiquement par une réduction importante de la vision depuis la naissance, associée à un nystagmus avec une errance du regard. L'acuité visuelle est comprise entre 1/10 et absence de perception lumineuse. Aux stades débutants, les modifications du fond d'œil évidentes sont rares. À un stade ultérieur, des amas pigmentaires sous-rétiniens arrondis peuvent se développer chez certains patients. Certains nouveau-nés présentant une ACL frottent leurs yeux ou appuient sur ceux-ci (réflexe oculodigital), comme le font d'autres nouveau-nés avec une vision basse. La plupart des enfants atteints d'ACL ont une intelligence normale, et certains des déficits psychomoteurs observés pourraient être secondaires à la déprivation sensorielle. La cataracte et le kératocône peuvent être présents chez des enfants plus âgés.

La réponse ERG est typiquement minimale ou indétectable. Cette absence de réponse différencie l'ACL des dystrophies au cours desquelles la réponse ERG diminue avec l'âge, et des syndromes avec une présentation clinique similaire, comme l'albinisme, l'achromatopsie et la cécité nocturne stationnaire congénitale.

Une forme d'ACL résultant d'une mutation sur RPE65 a été traitée avec succès par thérapie génique dans des essais cliniques utilisant un virus adéno-associé. Les résultats de l'essai de phase I ont montré une amélioration prolongée chez 12 patients présentant une ACL due à RPE65 après une thérapie de remplacement génique.

den Hollander AI, Roepman R, Koenekoop RK, Crèmers FP. Leber congenital amaurosis : genes, proteins and disease mechanisms. Prog Retin Eye Res. 2008 : 27(4) : 391–419.

Dystrophies des cônes

Les dystrophies des cônes ne doivent pas être confondues avec les dyschromatopsies congénitales, dans lesquelles il y a des déficits pour des couleurs spécifiques mais qui ne sont pas associés à une dégénérescence rétinienne, ou avec les dystrophies maculaires, pour lesquelles le défect est réduit en grande partie aux cônes rétiniens centraux. Les patients atteints de dyschromatopsie congénitale (protanopie, deutéranopie ou tritanopie) ont une acuité visuelle normale et ne montrent pas de signe d'affection progressive. Les déficits congénitaux de la vision des couleurs et autres syndromes stationnaires de dysfonctionnement des cônes, incluant le monochromatisme à bâtonnets et le monochromatisme à cônes bleus, sont abordés au chapitre 11.

Les dystrophies des cônes progressives sont un groupe hétérogène d'affections qui débutent à l'adolescence ou à l'âge adulte. Chez certains patients, une atteinte secondaire des bâtonnets se développe plus tard, conduisant à des chevauchements nosologiques entre les dystrophies des cônes évolutives et les rétinopathies pigmentaires à cônes prédominants (cone-rod dystrophies). Les dystrophies des cônes sont diagnostiquées quand les résultats ERG indiquent une réponse ERG photopique anormale ou indétectable associée à une réponse ERG normale ou subnormale des bâtonnets. Quand elle est présente, la réponse ERG des cônes aux flickers est invariablement retardée, en accord avec le dysfonctionnement généralisé du système des cônes. Les champs visuels périphériques peuvent rester normaux. Les trois modes de transmission mendéliens sont associés aux dystrophies des cônes.

Un diagnostic de dystrophie des cônes est suggéré par une baisse progressive de l'acuité visuelle et de la perception des couleurs, souvent accompagnée d'une héméralopie (cécité diurne) et d'une photophobie (intolérance à la lumière). L'ophtalmoscopie peut montrer un aspect symétrique d'atrophie maculaire en œil de bœuf (fig. 12-6) ou une atrophie plus sévère, comme une atrophie maculaire arrondie à l'emporte-pièce. Une atrophie optique temporale modérée à sévère et des reflets rétiniens (un éclat verdâtre ou un reflet doré) peuvent également être présents. Les patients atteints de dystrophies des cônes peuvent également avoir un fond d'œil d'aspect normal, surtout aux stades débutants, et peuvent être suspectés d'être des simulateurs.

Figure 12-6
Rétinophotographie couleur d'une dystrophie des cônes montrant l'aspect d'atrophie central en œil de bœuf.

Sélection de dystrophies des cônes

Actuellement, plus de 25 mutations génétiques sont connues comme étant à l'origine de dystrophies des cônes progressives ou de rétinopathies pigmentaires à cônes prédominants (cone-rod dystrophies). La dystrophie des cônes dominante liée à 6p21.1 est causée par des mutations sur le gène codant pour l'activateur de guanylate cyclase 1A (GUCA1A), une protéine de liaison du calcium exprimée dans les segments externes des photorécepteurs. Des mutations sur GUCY2D localisées à 17p13.1 ont été identifiées dans une famille ayant une dégénérescence des cônes progressive autosomique dominante. Des mutations différentes sur les deux allèles du même gène entraînent une ACL autosomique récessive. Ces patients présentent une atrophie fovéolaire qui peut être confondue avec une maladie de Stargardt, mais les analyses ERG de ces patients objectivent une réponse photopique sévèrement perturbée, des réponses scotopiques conservées, et le champ visuel de Goldmann est complet. Une dystrophie des cônes récessive liée à l'X, débutant à l'âge adulte, avec un reflet postérieur métallique et un phénomène de Mizuo-Nakamura (au cours duquel l'aspect du fond d'œil est modifié par l'adaptation à l'obscurité), a été décrite dans plusieurs familles, mais le gène impliqué n'a pas encore été identifié.

Une affection spécifique appelée dystrophie des cônes avec ERG supernormal, secondaire à une mutation sur KCNV2, présente des aspects ERG pathognomoniques (diagnostiques). Elle a été la première affection du système visuel humain identifiée comme étant liée à un canal potassique. La pathologie est de transmission récessive, et les patients rapportent classiquement une baisse d'acuité visuelle. Il n'y a pas d'aspect spécifique au fond d'œil (il y a souvent des modifications maculaires aspécifiques), et le diagnostic est posé à l'ERG.

Robson AG, Webster AR, Michaelides M, et al. « Cone dystrophy with supernormal rod electroretinogram » : a comprehensive genotype/phenotype study including fundus autofluorescence and extensive electrophysiology. Retina. 2010 ; 30(1) : 51–62.

Vincent A, Robson AG, Holder GE. Pathognomonic (diagnostic) ERGs. A review and update. Retina. 2013 ; 33(1) : 5–12.

Rétinopathies pigmentaires à cônes prédominants (cone-rod dystrophies)

Le terme de cone-rod vient des analyses électrorétinographiques, au cours desquelles les signaux ERG issus des cônes sont plus affectés que ceux issus des bâtonnets, les deux étant anormaux. De nombreuses entités peuvent donner cet aspect ERG. La génétique moléculaire permet de différencier les causes spécifiques parmi les membres de ce groupe. Récemment, il est apparu que certaines des mutations responsables du phénotype sévère d'ACL pouvaient causer une RP à cônes prédominants en cas de mutation différente sur le même gène ou si la mutation n'affecte qu'un seul allèle. Des gènes importants pour lesquels une mutation peut être associée à des dégénérescences à cônes prédominants sont ceux de la maladie de Stargardt (ABCA4), de la maladie d'Alström (ALMS1) et de l'ataxie spinocérébelleuse dominante (SCA7). La cone-rod dystrophy dominante peut aussi résulter de mutations sur GUCY2D, alors que les mutations récessives donnent une ACL. De manière similaire, des mutations variées sur CRX peuvent induire une RP, une ACL ou une RP à cônes prédominants.

Les patients ayant une RP à cônes prédominants progressive présentent des scotomes centraux qui s'étendent avec le temps. L'ophtalmoscopie aux stades tardifs peut retrouver des hyperpigmentations de type ostéoblastique (intrarétiniennes) et une atrophie en périphérie rétinienne ; les patients peuvent rapporter une cécité nocturne, une acuité visuelle faible et des symptômes de dyschromatopsie. L'expression de ces pathologies varie beaucoup, et les patients doivent être suivis sur le long terme pour préciser l'évolution de la maladie.

Hamel CP. Cone rod dystrophies. Orphanet J Rare Dis. 2007 ; 2 : 7.

Michaelides M, Hardcastle AJ, Hunt DM, Moore AT. Progressive cone and cone-rod dystrophies : phenotypes and underlying molecular genetic basis. Surv Ophthalmol. 2006 ; 51(3) : 232–258.

Dystrophies maculaires

Les dystrophies maculaires peuvent être difficiles à prendre en charge. Le diagnostic différentiel est parfois compliqué, et plusieurs de ces pathologies sont responsables d'une perte visuelle à 1/10 ou moins à un âge relativement jeune. Ces pathologies ne peuvent pas actuellement être freinées ou inversées ; néanmoins, les patients peuvent être rassurés sur le fait que la pathologie évolue lentement.

Maladie de Stargardt

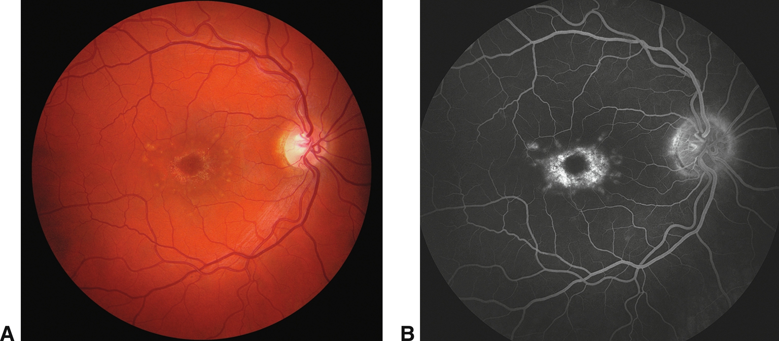
La maladie de Stargardt est la plus fréquente des dystrophies maculaires juvéniles et c'est une cause courante de perte de la vision centrale chez les adultes de moins de 50 ans. La grande majorité des cas sont autosomiques récessifs. L'acuité visuelle dans la maladie de Stargardt varie typiquement entre 4/10 et 1/10. La plupart des patients conservent une acuité visuelle raisonnable (c'est-à-dire entre 2,5/10 et 2/10) au moins pour un œil.

Le phénotype classique du Stargardt se caractérise par une atrophie fovéale débutant dans l'enfance, entourée par des flecks ronds ou pisciformes, jaunâtres, discrets au niveau de l'EP (fig. 12-7A). Si les flecks sont dispersés de manière large au fond d'œil, l'affection est communément appelée fundus flavimaculatus. Le diagnostic clinique peut être confirmé par l'aspect de « silence choroïdien » à l'angiographie à la fluorescéine. Ce phénomène – au cours duquel la circulation rétinienne est accentuée par le fond hypofluorescent en raison du blocage de la fluorescence choroïdienne – est présent chez au moins 80 % des patients atteints de cette pathologie (fig. 12-7B). L'imagerie en autofluorescence du fond d'œil peut également montrer des détails caractéristiques : l'épargne péripapillaire des remaniements de l'EP, l'hypoautofluorescence maculaire centrale et, avec le temps, l'expansion centripète des aspects de flecks hyperautofluorescents, laissant place à des flecks hypoautofluorescents. Les anomalies constatées semblent varier en fonction du génotype.

Figure 12-7
Maladie de Stargardt. A. Rétinophotographie couleur montrant des flecks périmaculaires jaunâtres et une atrophie maculaire centrale en « bronze martelé ». B. Angiographie à la fluorescéine du même œil montrant le silence choroïdien, l'hyperfluorescence associée aux flecks et l'aspect en œil de bœuf par effet fenêtre des défects maculaires.
(Remerciements au Dr Mark W. Johnson.)

L'âge de début et les caractéristiques de présentation clinique de la maladie de Stargardt sont assez variables, parfois même parmi les membres d'une même famille. Pour la plupart des patients, l'affection est lentement progressive avec l'accumulation de matériel lipofuscine-like au niveau de l'EP (fig. 12-8). Le diagnostic différentiel de la maladie de Stargardt inclut les pathologies qui peuvent induire une maculopathie atrophique en œil de bœuf (tableau 12-2). La supplémentation en vitamine A accélère l'accumulation de granules de lipofuscine dans l'EP et doit être évitée chez les patients atteints de maladie de Stargardt. Des éléments récents ont montré que l'enregistrement ERG aurait une utilité pour le pronostic.

Figure 12-8
Microscopie électronique de l'épithélium pigmentaire (EP) dans la maladie de Stargardt. Les flecks représentent des régions où les cellules de l'EP sont engorgées de matériel lipofuscine-like anormal.
(Source : Eagle RC Jr, Lucier AC, Bernardino VB Jr, Yanoff M. Retinal pigment epithelial abnormalities in fundus flavimaculatus : a light and electron microscopic study. Ophthalmology. 1980 ; 87(12) : 1189–1200.)
Tableau 12-2
Diagnostics différentiels de la maculopathie en « œil de bœuf »
Maladie de Stargardt
Dystrophies des cônes et RP à cônes prédominants
Toxicité rétinienne hydroxychloroquine/chloroquine
Dégénérescence maculaire liée à l'âge
Trou maculaire ancien
Sclérose aérolaire centrale
Atrophie olivo-ponto-cérébelleuse
Lipofuscinose céroïde

La maladie de Stargardt est secondaire à des mutations sur le gène ABCA4, qui code pour une protéine transporteur à ATP-binding cassette (ABC) exprimée par les segments externes des bâtonnets. Ce gène est très long (50 exons) et peut avoir de nombreux polymorphismes ; en 2014, plus de 650 variants à l'origine de la maladie avaient été identifiés. D'autres causes moins fréquentes peuvent induire un phénotype similaire : des mutations sur les gènes dominants STGD4 et ELOVL4 (ce dernier code pour un composant du système d'élongation des acides gras spécifique des photorécepteurs) et des mutations sur PRPH2.

American Academy of Ophthalmology. SmartSight website. http://one.aao.org/smart-sight-low-vision. Consulté le 15 septembre 2014.

Koenekoop RK, Lopez I, den Hollander AI, Allikmets R, Cremers FP. Genetic testing for retinal dystrophies and dysfunctions : benefits, dilemmas and solutions. Clin Experiment Ophthalmol. 2007 ; 35(5) : 473–485.

Walia S, Fishman GA. Natural history of phenotypic changes in Stargardt macular dystrophy. Ophthalmic Genet. 2009 ; 30(2) : 63–68.

Dégénérescences vitelliformes
Maladie de Best ou dystrophie vitelliforme de Best

La maladie de Best est une maculopathie autosomique dominante causée par des mutations sur le gène BEST1 (ou VMD2), qui est localisé sur le bras long du chromosome 11 et code pour la protéine bestrophine. La bestrophine est localisée sur la membrane plasmatique basolatérale de l'EP et fonctionne comme un canal chlorure transmembranaire (voir le site Internet RetNet). L'accumulation secondaire de lipofuscine pourrait être secondaire à un flux d'ions anormal.

Les individus atteints présentent fréquemment une lésion maculaire jaune, prenant un aspect d'œuf sur le plat (vitelliforme) dans l'enfance, qui à terme se rompt, laissant un aspect d'atrophie géographique irrégulière (fig. 12-9). Aux stades tardifs, l'atrophie géographique peut être difficile à différencier des autres types de dégénérescence maculaire ou de dystrophie. Certains patients (jusqu'à 30 % dans certaines séries) ont des lésions vitelliformes extrafovéolaires au fond d'œil. Cependant, l'aspect maculaire est trompeur à tous les stades, la majorité des patients conservant une relative bonne vision durant toute l'évolution de la maladie. Même les patients avec des lésions maculaires « en œuf brouillé » conservent typiquement 6/10 d'acuité visuelle. Chez environ 20 % des patients, une membrane choroïdienne néovasculaire se développe dans un œil au cours de l'évolution de la maladie et, en l'absence de traitement, peut aboutir à une vision basse.

Figure 12-9
Rétinophotographie couleur d'une dystrophie vitelliforme de Best. A. Stade d'œuf sur le plat caractéristique, durant lequel l'acuité visuelle est typiquement bonne. B. Atrophie et cicatrice après la fragmentation du matériel.
(Remerciements au Dr Mark W. Johnson.)

La réponse ERG est de manière caractéristique normale, et l'électro-oculogramme (EOG) constamment perturbé. Le light peak à l'EOG (voir chapitre 3) est typiquement sévèrement réduit ou absent. Les anomalies EOG sont toujours présentes dans la maladie de Best et constituent un marqueur de la maladie, même chez les sujets asymptomatiques avec un fond d'œil normal. Plutôt que d'essayer d'enregistrer un EOG chez un enfant présentant des lésions vitelliformes, de nombreux cliniciens réalisent des enregistrements EOG chez les parents afin d'identifier le conducteur. L'EOG peut être utile afin d'évaluer des lésions maculaires centrales mal définies.

Bestrophinopathie autosomique récessive

Une pathologie récessive récemment décrite, la bestrophinopathie autosomique récessive (autosomal recessive bestrophinopathy [ARB]), aussi secondaire à une mutation sur BEST1, est associée à une perte sévère du light peak à l'EOG, mais également à un dysfonctionnement rétinien progressif à l'ERG. Les patients atteints d'ARB se présentent souvent avec une perte de l'acuité visuelle et ont des irrégularités diffuses de l'EP et des flecks punctiformes dispersés, qui se différencient de lésions vitelliformes extramaculaires.

Agarwal A. Gass' Atlas of Macular Diseases. 5th ed. Philadelphia : Saunders ; 2012 : 278–280.

Boon CJ, Klevering BJ, Leroy BP, Hoyng CB, Keunen JE, den Hollander AI. The spectrum of ocular phenotypes caused by mutations in the BEST1 gene. Prog Retin Eye Res. 2009 ; 28(3) : 187–205.

Lésions vitelliformes de l'adulte

Plusieurs types de dépôts jaunes symétriques ressemblant à la maladie de Best peuvent se développer au niveau maculaire chez des adultes âgés. L'affection la plus courante, la dystrophie vitelliforme fovéomaculaire de l'adulte, est une pattern dystrophie (voir plus loin dans ce chapitre), causée le plus souvent par des mutations sur PRPH2. Cette affection se caractérise par des lésions rétrofovéolaires jaunes, bilatérales, arrondies ou ovalaires et typiquement une taille correspondant au tiers du diamètre de la papille optique ; les lésions présentent souvent un point central pigmenté (fig. 12-10). Parfois, les lésions sont plus grandes et prises à tort pour une maladie de Best ou même une dégénérescence maculaire liée à l'âge. Cette dystrophie apparaît généralement entre les quatrième et sixième décennies chez des patients qui n'ont pas de symptômes visuels ou présentent un léger flou et des métamorphopsies. À terme, les lésions peuvent disparaître, laissant une zone d'atrophie de l'EP, mais la plupart des patients conservent une vision de lecture dans au moins un œil pendant toute leur vie. L'aspect de l'EOG chez ces patients tend à la normalité ou alors est seulement légèrement subnormal. Une transmission autosomique dominante a été identifiée dans certaines familles.

Figure 12-10
Pattern dystrophy vitelliforme de l'adulte. Les images de gauche de chaque partie sont les images de l'œil gauche, et les images de droite, celles de l'œil droit du même patient. A. Rétinophotographies couleurs montrant des lésions rétrofovéolaires de petite taille, rondes et jaunes, hyperautofluorescentes sur l'imagerie en autofluorescence (B). C. Les images en tomographie par cohérence optique spectral-domain montrent le dépôt de matériel sous-fovéolaire, en forme de dôme, réflectif, soulevant la rétine neurosensorielle sus-jacente.
(Remerciements au Dr Stephen J. Kim.)

Des patients ayant de nombreux drusen cuticulaires (basal laminar drusen) peuvent développer un décollement maculaire exsudatif vitelliforme inhabituel (fig. 12-11). Le liquide sous-rétinien jaunâtre bloque la fluorescence précoce de l'arrière-plan, retient le colorant tardivement au cours de la séquence angiographique, et peut être pris pour une néovascularisation choroïdienne. Les patients ayant un soulèvement maculaire jaunâtre conservent souvent une bonne acuité visuelle pendant plusieurs mois, mais finissent par perdre la vision centrale par atrophie géographique ou néovascularisation choroïdienne et cicatrice disciforme.

Figure 12-11
A. Rétinophotographie couleur d'une lésion vitelliforme sur des multiples drusen cuticulaires (basal laminar drusen). B. Image angiographique correspondant à la phase tardive de la séquence montrant une imprégnation des drusen et de la lésion vitelliforme.
(Remerciements au Dr Michael F. Marmor.)

Chez certains patients ayant des drusen séreux importants, la coalescence centrale des drusen, ou décollement de l'épithélium pigmentaire drusénoïde, peut parfois mimer une lésion maculaire vitelliforme (fig. 12-12). Ce type de lésion présente souvent un amas pigmentaire à sa surface et est entouré par de multiples autres drusen séreux isolés ou confluents. Ils peuvent rester stables (et permettre une bonne vision) pendant de nombreuses années, mais finissent par s'aplatir et évoluer vers l'atrophie géographique.

Figure 12-12
Rétinophotographie couleur montrant la coalescence de grands drusen simulant une lésion maculaire vitelliforme.
(Remerciements au Dr Mark W. Johnson.)

Agarwal A. Gass' Atlas of Macular Diseases. 5th ed. Philadelphia : Saunders ; 2012 : 278–280.

Drusen à début précoce

Les drusen à début précoce (ou familiaux) se manifestent typiquement à un âge plus jeune que ceux de la dégénérescence maculaire liée à l'âge dans la majorité des cas. Les drusen sont le plus souvent nombreux et de taille variable, s'étendant typiquement au-delà des arcades vasculaires et en nasal du nerf optique (fig. 12-13). Bien que les drusen à début précoce soient présumés être d'origine génétique, le mode de transmission dans la grande majorité des cas de patients jeunes n'est jamais établi. Néanmoins, les drusen à début précoce ont été classés en trois entités : 1) les grands drusen colloïdes, 2) la Malattia leventinese, et 3) les drusen cuticulaires. À l'examen du fond d'œil, les grands drusen colloïdes apparaissent comme des lésions grandes, jaunâtres et bilatérales, localisées au niveau maculaire et/ou en périphérie rétinienne. Ils sont hyperautofluorescents.

Figure 12-13
Rétinophotographies couleurs de différentes manifestations de drusen à début précoce. La variabilité de taille et de distribution des drusen apparaît évidente.
(Remerciements au Dr Michael F. Marmor.)

La Malattia leventinese et la dystrophie de Doyne en nid d'abeilles sont deux phénotypes d'une même affection : les classiques drusen autosomiques dominants. Cette affection est causée par une mutation autosomique dominante sur le gène EFEMP1, qui est localisé sur le chromosome 2 et code pour la fibuline 3 (connue aussi en tant qu'epidermal growth factor-containing fibulin-like extracellular matrix protein 1). Le phénotype est caractéristique car les drusen se développent souvent avec une disposition radiaire depuis la fovéa.

Le phénotype de drusen cuticulaires ou basal laminar drusen est un syndrome clinique qui survient à un âge moyen (fig. 12-14). Les patients présentant ce phénotype sont à plus haut risque de dégénérescence maculaire en vieillissant. Le syndrome implique des drusen innombrables, homogènes, arrondis, mieux visibles en angiographie qu'en biomicroscopie et qui donnent un aspect de « ciel étoilé ». Ces drusen sont associés à un soulèvement maculaire vitelliforme. Les images en SD-OCT révèlent que ces drusen sous-épithéliaux ont un aspect pointu ou conique. Le phénotype est fortement associé à la mutation Tyr402His sur le gène CFH.

Figure 12-14
Drusen cuticulaires (basal laminar drusen). Rétinophotographies couleurs de l'œil gauche (A) et de l'œil droit (B) d'un patient de 38 ans présentant de multiples drusen arrondis, jaunes, dispersés au niveau maculaire. Les drusen cuticulaires résultent de l'épaississement nodulaire de la membrane basale de l'EP et sont plus facilement visibles en angiographie et chez les patients jeunes avec un fond d'œil pigmenté.
(Remerciements au Dr Stephen J. Kim.)

D'autres dépôts drusen-like peuvent se manifester avant l'âge de 50 ans, parmi lesquels les dépôts associés à des pathologies rénales héréditaires avec anomalies des membranes basales. Ces pathologies incluent le syndrome d'Alport et la glomérulonéphrite membranoproliférative de type II.

Grassi MA, Folk JC, Scheetz TE, Taylor CM, Sheffield VC, Stone EM. Complement factor H polymorphism p. Tyr402His and cuticular drusen. Arch Ophthalmol. 2007 ; 125(1) : 93–97.

Kim DD, Mieler WF, Wolf MD. Posterior segment changes in membranoproliferative glomerulonephritis. Am J Ophthalmol. 1992 ; 114(5) : 593–599.

Stone EM, Lotery AJ, Munier FL, et al. A single EFEMP1 mutation associated with both Malattia Leventinese and Doyne honeycomb retinal dystrophy. Nat Genet. 1999 ; 22(2) : 199–202.

Pattern dystrophies

Les pattern dystrophies sont un groupe d'affections caractérisées par le développement, typiquement à un âge moyen, de dépôts pigmentaires jaunes, oranges ou gris, de formes variables, situés au niveau de l'EP de la région maculaire. Le mode de transmission est typiquement autosomique dominant. Ces dystrophies peuvent être sous-divisées en quatre grands types selon la distribution des dépôts pigmentaires : 1) la dystrophie vitelliforme fovéomaculaire de l'adulte (décrite plus haut dans ce chapitre), 2) la dystrophie en ailes de papillon (fig. 12-15), 3) la dystrophie réticulée (fig. 12-16), et 4) le fundus pulverulentus (gros amas pigmentaires). À noter, cependant, qu'il existe de grandes variations de présentation clinique.

Figure 12-15
Pattern dystrophy en ailes de papillon. A. Rétinophotographie couleur d'une patiente de 56 ans montrant une distribution typique de pigment jaune dans la région maculaire. B. Cliché d'angiographie à la fluorescéine montrant un blocage de la fluorescence par le pigment de la lésion elle-même et un anneau d'hyperfluorescence secondaire à l'atrophie périlésionnelle de l'EP.
(Source : Song M-K, Small KW. Macular dystrophies. In : Regillo CD, Brown GC, Flynn HW Jr, eds. Vitreoretinal Disease : The Essentials. New York : Thieme ; 1999 : 297. © Thieme. Reproduction autorisée.)
Figure 12-16
Rétinophotographies couleurs montrant deux exemples de pattern dystrophies de type réticulé, caractérisées par une distribution en « filet de pêche » des dépôts pigmentaires jaune orangé (A) ou marrons (B) au pôle postérieur.
(Remerciements au Dr Mark W. Johnson.)

La distribution des dépôts pigmentaires peut varier parmi les personnes affectées au sein d'une même famille, ou même entre les deux yeux d'un patient donné, et peut évoluer d'un type de distribution à un autre avec le temps. Les caractéristiques ophtalmoscopiques de ces différentes distributions de dépôts pigmentaires se chevauchent, et leurs conséquences cliniques similaires suggèrent qu'elles sont soit des affections très proches, soit l'expression variable d'un même défect génétique. La majorité des pattern dystrophies autosomiques dominantes ont été associées à une mutation sur PRPH2. La confusion des pattern dystrophies avec la dégénérescence maculaire liée à l'âge peut conduire à la prise inutile par les patients de compléments alimentaires de la formule de l'Age-Related Eye Disease Study (AREDs).

Le symptôme le plus courant justifiant la consultation d'un patient atteint de pattern dystrophy est une diminution légère de l'acuité visuelle ou des métamorphopsies modérées. Mais les patients sont souvent asymptomatiques, et l'atteinte est seulement identifiée devant des lésions maculaires inhabituelles lors d'une ophtalmoscopie systématique. Les résultats des tests fonctionnels et électrophysiologiques sont généralement normaux, excepté l'EOG qui peut être limite ou légèrement réduit, en rapport avec l'altération diffuse de l'EP. Le risque de néovascularisation choroïdienne est faible, et une atrophie maculaire géographique peut se développer de manière progressive.

Agarwal A. Gass' Atlas of Macular Diseases. 5th ed. Philadelphia : Saunders ; 2012 : 278–280.

Marmor MF. The pattern dystrophies. In : Heckenlively JR, Arden GB, eds. Principles and Practice of Clinical Electrophysiology of Vision. 2nd ed. Cambridge, MA : MIT Press ; 2006 : 757–761.

Dystrophie maculaire de Sorsby

La dystrophie maculaire de Sorsby, une affection à transmission dominante, implique le développement de lésions néovasculaires choroïdiennes, rétrofovéales, bilatérales à environ 40 ans (fig. 12-17). Au fur et à mesure que les lésions maculaires évoluent, elles prennent l'aspect d'une atrophie géographique avec des amas prononcés de pigmentation noire autour de la zone centrale ischémique et atrophique (aspect pseudo-inflammatoire). Un signe précoce de l'affection est la présence de multiples dépôts ressemblant à de fins drusen ou une plaque confluente de matériel légèrement jaune sous l'EP au pôle postérieur. Les spécimens histologiques montrent des dépôts riches en lipides situés entre la membrane basale de l'EP et les couches collagènes internes de la membrane de Bruch qui pourraient compromettre le transport et contribuer à la pathogénie. Le gène responsable de la dystrophie de Sorsby, TIMP3 (sur le chromosome 22), code pour un inhibiteur tissulaire de métalloprotéinase, qui est impliqué dans le remodelage de la matrice extracellulaire.

Figure 12-17
Rétinophotographies couleurs d'une dystrophie maculaire de Sorsby. A. Drusen pâles caractéristiques. B. Cicatrice disciforme tardive après le développement d'une néovascularisation choroïdienne.
(Remerciements au Dr Alan Bird.)

Dystrophies choroïdiennes

Dans de nombreuses affections, l'atteinte primitive de la rétine ou de l'EP cause l'atrophie de la choriocapillaire. Historiquement, ces affectons ont été appelées en tenant compte de l'implication cliniquement évidente de la choroïde, mais ces noms ne reflètent pas les connaissances moléculaires actuelles.

Dégénérescences diffuses
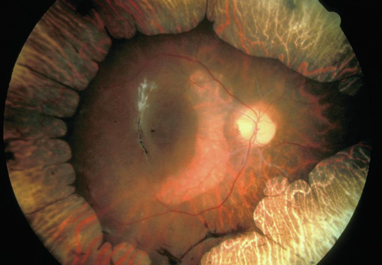
Choroïdérémie

La choroïdérémie est une dystrophie choriorétinienne liée à l'X, caractérisée par la dégénérescence diffuse et évolutive de l'EP et de la choriocapillaire (fig. 12-18). Chez les hommes atteints, la dégénérescence se manifeste initialement par des zones de pigmentation mouchetée en avant de l'équateur et au niveau maculaire. Les zones antérieures dégénèrent progressivement en zones d'atrophie de l'EP et de la choriocapillaire, échancrées et confluentes. Les gros vaisseaux choroïdiens sont préservés. Les vaisseaux rétiniens apparaissent normaux par ailleurs, et il n'y a pas d'atrophie optique. Les patients présentent une cécité nocturne et ont une perte progressive du champ visuel périphérique en 3 à 5 décennies. La plupart des patients conservent une bonne acuité visuelle.

Figure 12-18
Photographie du fond d'œil d'un patient atteint de choroïdérémie.
(Source : Fishman GA, Birch DG, Holder GE, Brigell MG. Electrophysiologic Testing in Disorders of the Retina, Optic Nerve, and Visual Pathways. 2nd ed. Ophthalmology Monograph 2. San Francisco : American Academy of Ophthalmology ; 2001 : 67.)

Les modifications en angiographie à la fluorescéine sont marquées. Les zones échancrées d'atrophie choriocapillaire apparaissent hypofluorescentes, jouxtant des zones hyperfluorescentes de choriocapillaire perfusées. L'autofluorescence du fond d'œil retrouve une hypofluorescence des zones d'atrophie, ainsi qu'un aspect moucheté caractéristique de l'autofluorescence dans les zones non atrophiées. La réponse en ERG est normale au début de la maladie et généralement absente à un âge moyen. Le diagnostic différentiel de la choroïdérémie inclut l'atrophie gyrée (décrite dans le paragraphe suivant), la toxicité rétinienne de la thioridazine et la dystrophie cristalline de Bietti.

L'affection est causée par des mutations sur CHM, qui est localisé en Xq21.2 et code pour une protéine d'escorte géranylgéranyl transférase Rab. Les analyses histologiques de choroïdérémie et les études de localisation de la protéine CHM placent le défect originel dans l'EP, et non dans la choroïde. Les résultats initiaux d'un essai de phase I/II ont démontré une amélioration de la vision chez 5 des 6 patients traités par thérapie génique. Les conductrices de la choroïdérémie liée à l'X ont souvent des zones de pigment noir moucheté en sous-rétinien et, parfois, les conductrices âgées ont un aspect lobulaire de perte de la choriocapillaire et de l'EP. Les conductrices pour la choroïdérémie restent le plus souvent asymptomatiques et ont des signaux ERG normaux.

MacLaren RE, Groppe M, Barnard AR, et al. Retinal gene therapy in patients with choroideremia : initial findings from a phase 1/2 clinical trial. Lancet. 2014 ; 383(9923) : 1129–1137.

Atrophie gyrée

L'atrophie gyrée est une dystrophie autosomique récessive causée par des mutations sur le gène de l'ornithine aminotransférase (OAT), localisé sur le chromosome 10. La pathologie est la conséquence d'une augmentation d'un facteur 10 des niveaux plasmatiques en ornithine, qui est toxique pour l'EP et la choroïde. Les patients présentant une atrophie gyrée ont un fond d'œil hyperpigmenté, accompagné d'une perte lobulaire de l'EP et de la choroïde. L'aspect d'hyperpigmentation généralisée de l'EP restant permet de différencier cliniquement l'atrophie gyrée de la choroïdérémie. Aux stades débutants de la maladie, les patients présentent des zones d'atrophie périphériques de l'EP et de la choriocapillaire, pavimenteuses, géographiques, étendues, qui confluent progressivement pour constituer une limite échancrée caractéristique à la jonction entre l'EP normal et anormal (fig. 12-19). La cécité nocturne se développe classiquement au cours de la première décennie, et les patients ressentent une perte progressive du champ visuel et de l'acuité visuelle plus tard au cours de l'évolution de l'affection. Le diagnostic clinique peut être confirmé par l'élévation sérique ou plasmatique des niveaux d'ornithine ; la confirmation moléculaire peut être obtenue par la recherche d'une mutation sur OAT.

Figure 12-19
Atrophie gyrée. Cliché couleur grand angle d'un fond d'œil montrant les bords échancrés de la rétine postérieure résiduelle, comme typiquement observé dans l'atrophie gyrée. Un croissant nasal d'atrophie maculaire est également présent.
(Remerciements au Dr Colin A. McCannel.)

Dystrophies choroïdiennes régionales et centrales

De nombreuses dystrophies se présentent avec une dégénérescence maculaire ou choroïdienne régionale. Les plus caractéristiques sur le plan ophtalmoscopique sont les atrophies centrales, qui incluent la dystrophie centrale aérolaire de la choroïde (ou sclérose aérolaire centrale) et la dystrophie maculaire de Caroline du Nord, toutes les deux étant des affections autosomiques dominantes. Plusieurs types génétiques de dystrophie centrale choroïdienne existent, avec un chevauchement des caractéristiques cliniques. Toutes se caractérisent par une atrophie circonscrite de l'EP et de la choriocapillaire dans la région maculaire et des signaux à l'ERG global normaux ; il peut cependant y avoir des différences dans le mode de début et l'évolution. Les lésions atrophiques centrales doivent être distinguées de celles de pathologies acquises comme la toxoplasmose et, chez les patients âgés, la dégénérescence maculaire liée à l'âge ou des stades évolués d'autres dystrophies maculaires qui pourraient induire une atrophie de l'EP ronde centrale ou un aspect en œil de bœuf (voir tableau 12-2).

Les jeunes patients affectés de dystrophie centrale aérolaire choroïdienne ont une dépigmentation mouchetée aspécifique de la macula qui, avec le temps, aboutit à une zone d'atrophie géographique bien circonscrite, arrondie ou ovalaire (fig. 12-20). L'acuité visuelle se stabilise typiquement autour de 1/10. Une néovascularisation choroïdienne secondaire se développe rarement. Plusieurs mutations sur PRPH2, chacune affectant un résidu arginine, et une mutation sur GUCY2D ont été rapportées comme responsables de dystrophie centrale choroïdienne autosomique dominante.

Figure 12-20
Rétinophotographie couleur d'une dystrophie centrale aérolaire choroïdienne chez un patient avec un mode de transmission autosomique dominant.
(Remerciements au Dr Mark W. Johnson.)

La dystrophie maculaire de Caroline du Nord débute dans la petite enfance par un regroupement de lésions blanc jaunâtre particulières au niveau de l'EP maculaire. Ces lésions tendent à augmenter en nombre et deviennent confluentes ; chez certains patients, elles progressent vers des lésions maculaires atrophiques sévères qui peuvent apparaître excavées ou staphylomateuses (fig. 12-21). L'évolution de la maladie semble se stabiliser chez la plupart des patients au début de l'adolescence, et l'acuité visuelle est classiquement meilleure que ne le laisserait supposer l'aspect ophtalmoscopique, allant typiquement de 10/10 à 1/10. Le gène responsable de cette pathologie a été localisé sur le bras long du chromosome 6.

Figure 12-21
Rétinophotographies couleurs montrant les variations cliniques de la dystrophie maculaire de Caroline du Nord. A. Fond d'œil d'un garçon de 7 ans avec un regroupement de lésions atrophiques blanc jaunâtre particulières dans la région maculaire. B. Exemple de défect maculaire sévère, presque colobomateux.
(Partie A, remerciements au Dr Mark W. Johnson ; partie B, remerciements au Dr Kent Small.)

Dystrophies rétiniennes internes et vitréorétiniennes
Rétinoschisis lié à l'X

Le rétinoschisis correspond à un clivage de la rétine neurosensorielle. Le phénotype du rétinoschisis lié à l'X (RS-XL) est assez variable, même à l'intérieur des familles. Un élément diagnostique courant, facilement observé chez les patients pédiatriques, est le fovéoschisis, qui apparaît comme de petits espaces cystoïdes et de fines stries radiaires centromaculaires (fig. 12-22), et qui est souvent mieux observé sur l'imagerie du fond d'œil en autofluorescence. Dans les cas sévères avec schisis périphérique, il peut y avoir des zones étendues d'élévation de la rétine interne pouvant prendre l'aspect d'un décollement de rétine total ou subtotal. Une étude récente de corrélation génotype-phénotype, la plus grande à ce jour, a identifié d'autres signes cliniques, comme des points blancs parafovéaux, et a montré que le schisis est parfois absent sur l'imagerie OCT, même dans les affections confirmées sur le plan moléculaire. La vision centrale peut initialement être plutôt bonne mais, avec le temps, une dégénérescence survient et l'acuité visuelle diminue à 1/10. Le rétinoschisis périphérique n'est pas un élément constant et surviendrait chez 50 % des hommes atteints. Les études histologiques ont montré que le clivage dans le RS-XL périphérique survient au niveau de la couche des fibres optiques, alors que, dans le rétinoschisis dégénératif, le siège du clivage est variable et souvent profond dans la rétine (voir chapitre 15). Des dépôts pigmentaires peuvent se développer dans les zones périphériques détruites par l'évolution de la maladie ; ainsi, les cas avancés de RS-XL peuvent être confondus avec une RP. Les garçons avec un RS-XL se présentent fréquemment avec une hémorragie intravitréenne par déchirure de vaisseaux rétiniens dans les zones de rétinoschisis.

Figure 12-22
Rétinoschisis juvénile. A. Rétinophotographie couleur montrant l'aspect caractéristique de schisis maculaire qui est un élément plus important que les modifications périphériques. Les coupes en tomographie en cohérence optique verticale (B) et horizontale (C) montrent les espaces de schisis dans les couches moyennes de la macula.
(Remerciements au Dr Mark W. Johnson.)

L'atteinte panrétinienne et la localisation au niveau de la rétine interne de l'affection se traduisent sur la réponse ERG, qui présente une onde négative correspondant à une onde a normale ou presque normale, mais l'onde b est réduite (voir fig. 3-2). Des ondes négatives après adaptation à l'obscurité à l'ERG flash surviennent dans les pathologies avec atteinte de la rétine interne et conservation des photorécepteurs (voir tableau 12-1).

Le gène associé au RS-XL, RS1, code pour une protéine d'adhésion nommée rétinoschine, présente dans tous les neurones rétiniens, et initialement au niveau des cellules ganglionnaires au cours du développement embryonnaire. De manière présumée, la rétinoschisine serait essentielle pour la santé des cellules de Müller car les mutations dans son codage induisent la dégénérescence des cellules de Müller. Les cellules de Müller traversent les couches de la rétine ; leurs terminaisons constituent la membrane limitante interne, et leurs extrémités distales forment la membrane limitante externe entre les segments internes. La perte de cette matrice de liaison cellulaire apparaît être la clé des modifications pathologiques observées dans le rétinoschisis congénital.

American Academy of Ophthalmology. SmartSight website. http://one.aao.org/smart-sight-low-vision. Consulté le 15 septembre 2014.

Vincent A, Robson AG, Neveu MM, et al. A phenotype-genotype correlation study of X-linked retinoschisis. Ophthalmology. 2013 ; 120(7):1454–1464.

Syndrome d'augmentation des cônes bleus (enhanced S-cone syndrome)

Initialement décrit en 1990, le syndrome d'augmentation des cônes bleus (enhanced S-cone syndrome [ESCS], où « S » signifie « short » pour longueur d'onde courte) est apparenté au syndrome de Goldmann-Favre. Ses principales caractéristiques incluent une cécité nocturne, une augmentation de la sensibilité à la lumière bleue, une dégénérescence rétinienne pigmentaire, un vitré chargé, des anomalies pathognomoniques à l'ERG, et des degrés variables de perte du champ visuel en périphérie et moyenne périphérie. Le pôle postérieur peut présenter des lésions brillantes, jaunes, rondes le long des arcades, accompagnées de zones de dégénérescence diffuses. Des dépôts pigmentaires nummulaires profonds sont couramment observés au niveau de l'EP autour des arcades vasculaires ; leur présence peut conduire au diagnostic erroné de RP « atypique ». Un schisis maculaire (et parfois périphérique) peut être présent. La réponse ERG associe une réponse indétectable aux faibles flashes, signal spécifique des bâtonnets, des réponses retardées et simplifiées aux flashes plus importants avec une onde d'aspect identique dans des conditions d'adaptation à l'obscurité et à la lumière, et une réponse à l'ERG flicker d'amplitude plus faible que celle de l'onde a photopique simple flash.

Cette pathologie autosomique récessive résulte de mutations sur NR2E3, qui code pour un facteur de transcription dépendant d'un ligand. Il y a des preuves que cette affection est la conséquence d'une détermination cellulaire anormale, conduisant à un excès de cônes bleus au détriment des autres sous-types de photorécepteurs.

  • Marmor MF, Jacobson SG, Foerster MH, et. al. Diagnostic clinical findings of a new syndrome with night blindness, maculopathy, and enhanced S cone sensitivity. Am J Ophthalmol 1990 ; 110(2) : 124-34.