Retour
Partie II
Pathologies de la rétine et du vitré
CHAPITRE 9
Pathologies choroïdiennes

Ce chapitre décrit les pathologies choroïdiennes non inflammatoires avec participation rétinienne. Les pathologies inflammatoires de la rétine et de la choroïde sont présentées au chapitre 10. Voir également la Section 9 du BCSC, Intraocular Inflammation and Uveitis. Les tumeurs intraoculaires, comme le mélanome, sont détaillées dans la Section 4 du BCSC, Anatomie pathologique en ophtalmologie. Tumeurs intraoculaires.

Choriorétinopathie séreuse centrale

La choriorétinopathie séreuse centrale (CRSC), moins souvent appelée rétinopathie séreuse centrale ou choroïdopathie séreuse centrale, est une affection idiopathique caractérisée par le développement d'un décollement séreux rétinien typique bien circonscrit. Ce décollement séreux est attribué à une altération des barrières et des fonctions de réabsorption au niveau de l'épithélium pigmentaire (EP), bien que l'origine de la pathologie reste débattue : un dysfonctionnement de la choriocapillaire, une hyperperméabilité choroïdienne et/ou un épaississement anormal de la choroïde sont les mécanismes initiaux les plus probables. Certains cas de CRSC sont associés à un décollement séreux de l'EP, le plus souvent en dessous de la moitié supérieure du décollement séreux rétinien. Souvent, des petits précipités blanchâtres sous-rétiniens ou des plaques gris-blanc sous-rétiniennes peuvent être observés ; ils indiquent probablement la présence de débris de segments externes ou de fibrine. De manière occasionnelle, un décollement séreux localisé de l'EP peut être présent sans décollement séreux rétinien associé. La CRSC est souvent bilatérale avec une présentation asymétrique.

Des épisodes précédents de CRSC sont souvent suggérés par des zones d'atrophie maculaire et/ou extramaculaire, pouvant prendre l'aspect de coulées gravitationnelles. Ces zones sont identifiées de la manière la plus efficace en utilisant l'imagerie en autofluorescence. Un travail récent a décrit un groupe de patients présentant des altérations de l'EP très proches associées à un épaississement choroïdien mais sans décollement séreux : cette présentation clinique appelée épithéliopathie pigmentaire pachychoroïdienne pourrait être une forme fruste de CRSC.

La CRSC peut se présenter sous une forme très sévère, mais ce n'est pas le cas le plus fréquent. Certains patients peuvent présenter une atteinte multifocale d'emblée s'étendant vers la périphérie. Rarement, un décollement séreux rétinien bulleux subtotal peut se voir, alors souvent bilatéral. Ces formes sévères de CRSC sont compliquées à prendre en charge, car les traitements focaux seront difficiles à réaliser au travers d'une rétine décollée.

La CSRC survient le plus souvent chez des hommes en bonne condition physique, âgés de 25 à 55 ans. La plupart des patients sont asymptomatiques à moins que la macula ne soit atteinte. La CRSC est la quatrième maculopathie non chirurgicale la plus courante après la dégénérescence maculaire liée à l'âge, la rétinopathie diabétique et l'occlusion de branche veineuse rétinienne. Bien que divers auteurs aient rapporté des taux de survenue différents en fonction des ethnies, des travaux récents ne confirment pas ces prédispositions. Les patients symptomatiques décrivent une vision devenue brutalement floue et assombrie, associée à une micropsie (les objets apparaissent plus petits qu'ils ne sont), à des métamorphopsies (les objets apparaissent déformés), à un scotome paracentral, ou à une altération de la vision colorée. De manière générale, l'acuité visuelle est mesurée entre 1/10 et 10/10 mais, dans la majorité des cas, elle est supérieure à 6/10. La baisse d'acuité visuelle peut souvent être compensée par une correction hypermétropique. Dans de rares cas, ces symptômes s'accompagnent de maux de tête de type migraineux.

L'étiologie de la CRSC est inconnue. Des associations communes ont été avancées avec la prise de corticoïdes, une personnalité de type « A », le stress, un hypercorticisme endogène (syndrome de Cushing), une greffe d'organe, un lupus érythémateux systémique, une hypertension artérielle, des apnées du sommeil, un reflux gastro-œsophagien, l'utilisation de médicaments psychotropes, ainsi que la grossesse.

Carvalho-Recchia CA, Yannuzzi LA, Negrão S, et al. Corticosteroids and central serous chorioretinopathy. Ophthalmology. 2002 ; 109(10) : 1834–1837.

Desai UR, Alhalel AA, Campen TJ, Schiffman RM, Edwards PA, Jacobsen GR. Central serous chorioretinopathy in African Americans. J Natl Med Assoc. 2003 ; 95(7) : 553–559.

Haimovici R, Koh S, Gagnon DR, Lehrfeld T, Wellik S ; Central Serous Chorioretinopathy Case-Control Study Group. Risk factors for central serous chorioretinopathy : a case-control study. Ophthalmology. 2004 ; 111(2) : 244–249.

Maruko I, Iida T, Sugano Y, Ojima A, Ogasawara M, Spaide RF. Subfoveal choroidal thickness after treatment of central serous chorioretinopathy. Ophthalmology. 2010 ; 117(9) : 1792–1799.

Tsai DC, Chen SJ, Huang CC, et al. Epidemiology of idiopathic central serous chorioretinopathy in Taiwan, 2001–2006 : a population-based study. PLoS One. 2013 ; 8(6) : e66858.

Warrow DJ, Hoang QV, Freund KB. Pachychoroid pigment epitheliopathy. Retina. 2013 ; 33(8) : 1659–1672.

Tomographie par cohérence optique

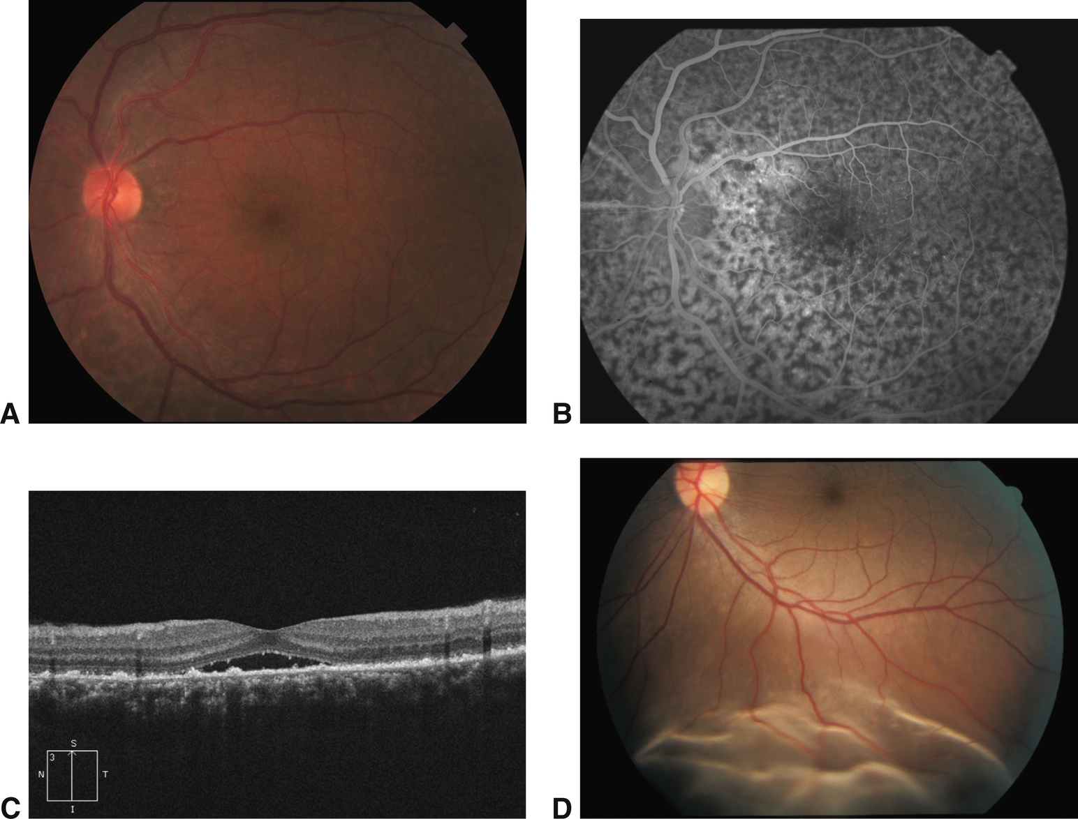
La tomographie en cohérence optique (optical coherence tomography [OCT]) est une méthode non invasive excellente pour le diagnostic et le suivi de la CRSC. Elle retrouve un décollement séreux rétinien, un décollement séreux de l'EP (fig. 9-1) et une choroïde épaissie. Pour visualiser au mieux l'épaississement choroïdien, le mode enhanced depth imaging (EDI) de l'OCT spectral-domain (SD-OCT) ou le swept-source OCT (SS-OCT) sont utiles.

Figure 9-1
Choriorétinopathie séreuse centrale. A. Rétinophotographie couleur d'un patient présentant une choriorétinopathie séreuse centrale. B. Phase précoce de l'angiographie à la fluorescéine retrouvant une hyperfluorescence en têtes d'épingle. C. Phase tardive de l'angiographie à la fluorescéine montrant la fuite progressive de colorant en tache d'encre. D. La coupe en tomographie en cohérence optique (OCT) objective l'accumulation de liquide sous-rétinien. L'accumulation de dépôt de matériel sur la surface externe des photorécepteurs est visible. Ce matériel correspondrait au renouvellement des segments externes des photorécepteurs ou à de la fibrine.
(Remerciements au Dr Richard B. Rosen.)

Angiographie à la fluorescéine

La CRSC a une présentation caractéristique en angiographie à la fluorescéine avec une diffusion de colorant venant de l'EP associée à des effets fenêtres irréguliers. La diffusion à point de départ épithélial peut prendre trois aspects évocateurs : 1) un point de fuite s'étendant progressivement comme une tache d'encre, 2) un aspect en cheminée ou jet de vapeur, ou 3) une hyperfluorescence plus diffuse, irrégulière.

L'aspect de l'hyperfluorescence en tache d'encre (ou encore comme un phare dans le brouillard) est le plus courant. Il apparaît à la phase précoce de la séquence angiographique et augmente en taille et intensité sur les temps moyens et tardifs (voir fig. 9-1). Chez certains patients, plusieurs points de fuite peuvent être présents.

Dans la forme classique en cheminée ou en jet de vapeur, un point de fuite hyperfluorescent très localisé apparaît à la phase précoce de la séquence, s'étendant d'abord verticalement puis latéralement sur les temps tardifs, prenant alors un aspect de jet de vapeur ou en plumeau. Cette présentation unique serait secondaire à des courants de convection et à un gradient de pression entre la concentration protéique du liquide sous-rétinien et le colorant fluorescéinique entrant dans le décollement séreux. Bien que très évocatrice, cette présentation angiographique ne se voit que dans 10 % des cas.

Dans de rares cas, un décollement séreux rétinien de grande taille, avec une extension souvent gravitationnelle, peut se développer à partir d'un ou de plusieurs points de fuite situés en dehors de la zone centromaculaire, ou être associé à une hyperfluorescence diffuse irrégulière. Il y a alors rarement un point de fuite prédominant.

Angiographie au vert d'indocyanine

L'angiographie au vert d'indocyanine (indocyanine green [ICG]) peut mettre en évidence des anomalies vasculaires choroïdiennes, parmi lesquelles un retard de perfusion des artères choroïdiennes et de la choriocapillaire, une dilatation veineuse, une hyperperméabilité des vaisseaux choroïdiens et, parfois, des plaques choroïdiennes multifocales hyperfluorescentes aux temps précoces. Ces plaques ont tendance à s'élargir au cours de la séquence angiographique mais sont moins évidentes sur les temps tardifs. De plus, un aspect caractéristique de wash-out est souvent constaté ; il persiste de manière stable pendant les phases cliniquement asymptomatiques. L'angiographie ICG peut également être utile pour aider à différencier une CRSC diffuse atypique chez des patients âgés d'une néovascularisation choroïdienne occulte de dégénérescence maculaire exsudative ou d'une vasculopathie polypoïdale choroïdienne.

Imagerie en autofluorescence

Dans les formes de CRSC récentes, une hypoautofluorescence relative peut être observée au niveau du point de fuite de l'EP identifié en angiographie à la fluorescéine et dans la zone de décollement séreux. Dans les formes chroniques, les zones où il y a eu un décollement séreux prolongé apparaissent nettement hypoautofluorescentes. L'imagerie en autofluorescence du fond d'œil peut retrouver des remaniements importants même lorsque l'examen clinique semble normal ou simplement légèrement modifié, mettant en évidence une coulée gravitationnelle. Une augmentation de l'autofluorescence peut être constatée dans la zone du décollement séreux en cas d'atrophie de la rétine externe, par augmentation de la perception de l'autofluorescence de l'EP.

Imamura Y, Fujiwara T, Margolis R, Spaide RF. Enhanced depth imaging optical coherence tomography of the choroid in central serous chorioretinopathy. Retina. 2009 ; 29(10) : 1469–1473.

Spaide RF, Klancnik JM Jr. Fundus autofluorescence and central serous chorioretinopathy. Ophthalmology. 2005 ; 112(5) : 825–833.

Diagnostics différentiels

La principale difficulté est probablement de différencier une CRSC d'une dégénérescence maculaire liée à l'âge ou d'une vasculopathie polypoïdale choroïdienne idiopathique. La présence d'un saignement ou d'exsudats lipidiques est très en faveur d'un néovaisseau choroïdien ou d'une vasculopathie polypoïdale choroïdienne idiopathique. En l'absence de ces signes au fond d'œil, l'aspect en angiographie à la fluorescéine et l'évolution de la pathologie permettent de différencier ces différentes affections. Les autres diagnostics différentiels sont la fossette colobomateuse, le syndrome d'effusion uvéale et le syndrome de Vogt-Koyanagi-Harada. À noter que, chez certains patients âgés présentant un néovaisseau choroïdien, on retrouve parfois des altérations épithéliales pouvant évoquer des épisodes antérieurs de CRSC.

Évolution spontanée et traitement

Le pronostic visuel dans la CRSC est généralement bon, mis à part les formes chroniques, récurrentes ou bulleuses. La plupart (80 à 90 %) des yeux présentant une CRSC évoluent vers la résorption spontanée du liquide sous-rétinien en 3 à 4 mois ; la récupération de l'acuité visuelle suit le plus souvent la disparition du décollement mais peut prendre jusqu'à un an. Des métamorphopsies modérées, des microscotomes, des anomalies de la sensibilité aux contrastes et des légers déficits dans la vision des couleurs persistent de manière fréquente. Certains yeux conservent une perte permanente et définitive de leur acuité visuelle, et beaucoup (40 à 50 %) auront une ou plusieurs récidives.

Dans un premier temps, une simple surveillance est recommandée, à moins que la profession ou le mode de vie du patient ne soient compromis en raison des troubles visuels présentés. Si le décollement séreux persiste au-delà de 3 à 6 mois, un traitement pourra être proposé : photocoagulation au laser thermique, thérapie photodynamique ou traitement systémique.

La photocoagulation au laser thermique du point de fuite identifié en angiographie à la fluorescéine peut permettre une rémission rapide. Un suivi pendant 3 à 4 semaines après traitement reste nécessaire afin de détecter les rares cas de complications néovasculaires. Bien que rares, les complications néovasculaires surviennent chez 2 % des patients présentant une CRSC typique, même en l'absence de traitement laser.

La photothérapie dynamique (PDT) après injection de vertéporfine, à fluence normale (600 mW/cm2) ou à semi-fluence (300 mW/cm2), permet la résorption du liquide sous-rétinien et souvent l'amélioration de l'acuité visuelle. Par ailleurs, de nombreux auteurs ont décrit une efficacité du laser infraliminaire micropulse dans les décollements chroniques de CRSC. Les résultats rapportés doivent être confirmés.

Plusieurs agents pharmacologiques ont montré une efficacité dans le traitement de certains cas de CRSC chroniques, récidivants ou résistants, parmi lesquels la mifépristone, le finastéride, le kétoconazole, la spironolactone, l'acide valproïque et l'éplérénone. Le fondement de leur utilisation repose essentiellement sur leur impact sur le métabolisme des corticoïdes.

Loo RH, Scott IU, Flynn HW Jr, et al. Factors associated with reduced visual acuity during long-term follow-up of patients with idiopathic central serous chorioretinopathy. Retina. 2002 ; 22(1) : 19–24.

Anomalies de la perfusion choroïdienne

Bien que la majorité de l'apport sanguin oculaire soit destiné à la choroïde, les anomalies de la perfusion choroïdienne restent difficiles à diagnostiquer. Une occlusion vasculaire rétinienne est rapidement visible au biomicroscope et confirmée par l'angiographie en fluorescence. Une occlusion vasculaire choroïdienne, en revanche, peut induire des modifications assez subtiles. De plus, il n'est pas rare que des anomalies vasculaires choroïdiennes soient occultées par des anomalies vasculaires rétiniennes sus-jacentes, comme des nodules cotonneux ou des hémorragies intrarétiniennes. Les causes à l'origine d'anomalies vasculaires choroïdiennes pourraient affecter la circulation depuis l'artère ophtalmique jusqu'à la choriocapillaire. Bien que les variations interindividuelles soient importantes, il y a souvent une artère ciliaire postérieure nasale et une temporale, avec une ligne de partage verticale qui sépare le fond d'œil au niveau ou à proximité immédiate du nerf optique. À partir des artères ciliaires postérieures naissent les artères ciliaires postérieures courtes et longues, chacune d'entre elles irriguant des territoires de choroïde d'aspect triangulaire. La figure 9-2 décrit une distribution typique du réseau vasculaire choroïdien dans la région temporale du fond d'œil avec ses lignes de partage. Ainsi, les occlusions d'artères ciliaires postérieures courtes induisent le plus souvent une ischémie choroïdienne d'aspect triangulaire.

Figure 9-2
Représentation schématique de la distribution choroïdienne des artères ciliaires postérieures (ACP) courtes et longues émergeant de l'ACP temporale, et leurs lignes de partage. Les détails de ramification de l'ACP nasale ne sont pas représentés. Le cercle en pointillés indique la région maculaire.
(Source : Hayreh SS. Submacular choroidal vascular pattern : experimental fluorescein fundus angiographic studies. Graefes Arch Clin Exp Ophthalmol. 1974 ; 192(3) : 181–196. Reproduction autorisée.)

Hayreh SS. Posterior ciliary artery circulation in health and disease : the Weisenfeld lecture. Invest Ophthalmol Vis Sci. 2004 ; 45(3) : 749–757 ; 748.

Augmentation de la pression veineuse

Bien que rare, les anomalies du flux sanguin choroïdien peuvent être secondaires à une hyperpression veineuse, comme une malformation d'une artère durale ou une fistule carotidocaverneuse. Le diagnostic d'anomalie du flux sanguin choroïdien requiert souvent une angiographie en fluorescence et en ICG, et parfois un stéthoscope, pour détecter un souffle.

Hypertension artérielle

Les affections qui compromettent le plus fréquemment la vascularisation choroïdienne sont celles qui provoquent une augmentation importante et aiguë de la pression artérielle, parmi lesquelles l'hypertension maligne, l'éclampsie ou la toxicomanie à la cocaïne. En plus d'anomalies rétiniennes, ces affections induisent un décollement séreux rétinien associé à des zones de décoloration placoïde jaunâtres de l'EP (fig. 9-3). Les anomalies de perfusion peuvent alors aller de l'infarcissement local de la choriocapillaire à la nécrose fibrinoïde d'artérioles plus importantes. Bien que la choroïde possède une circulation riche, le flux sanguin est organisé de manière terminale au niveau de la choriocapillaire ; ainsi, une occlusion focale n'est pas ou peu compensée par un flux collatéral. La cicatrisation des petits infarcissements, qui apparaissent au début plutôt foncés, aboutit à de petites zones d'atrophie et d'hyperplasie pigmentée appelées taches d'Elschnig. L'agrégation linéaire de ces zones punctiformes est appelée stries de Siegrist.

Figure 9-3
Prééclampsie au cours d'un HELLP syndrome (hemolysis, elevated liver enzymes, and low platelet count, ou hémolyse, élévation des enzymes hépatiques et thrombopénie). A. Rétinophotographie couleur retrouvant un décollement séreux rétinien et de multiples plaques jaunâtres au niveau de l'épithélium pigmentaire rétinien (EP) et de la choroïde interne. B. La phase précoce de l'angiographie à la fluorescéine montre des défauts de perfusion choroïdienne jouxtant des zones hyperfluorescentes. La diffusion précoce de l'EP est évidente et augmente aux phases tardives de l'examen (C). On note également une imprégnation et une diffusion du nerf optique. D. L'angiographie au vert d'indocyanine (ICG) met en évidence un aspect rare associant des défauts de remplissage importants et des zones de diffusion et d'imprégnation vasculaires anormales. E. À la phase tardive, de nombreuses artérioles présentent une imprégnation de leurs parois, indiquant une altération vasculaire importante.
(Source : Spaide RF, Goldbaum M, Wong DW, Tang KC, Iida T. Serous detachment of the retina. Retina. 2003 ; 23(6) : 820–846. Reproduction autorisée.)

Pathologies inflammatoires

Plusieurs types de vascularites systémiques peuvent affecter la choroïde. L'artérite à cellules géantes peut provoquer l'occlusion d'une ou de plusieurs artères ciliaires postérieures courtes, conduisant à un territoire triangulaire étendu de non-perfusion choroïdienne, et ce dans n'importe quel méridien (signe d'Amalric ; fig. 9-4). Les patients peuvent présenter de manière concomitante une occlusion de l'artère centrale de la rétine et une hypoperfusion choroïdienne nasale, suggérant l'implication du premier segment de l'artère ophtalmique. La granulomatose avec polyangéite (auparavant appelée granulomatose de Wegener) est une affection caractérisée par des lésions granulomateuses nécrosantes touchant la sphère ORL et les poumons, une glomérulonéphrite et des vascularites nécrosantes systémiques. Des manifestations oculaires sont présentes dans 30 à 50 % des cas, parmi lesquelles des vascularites occlusives rétiniennes et/ou choroïdiennes (fig. 9-5). D'autres pathologies inflammatoires ont été associées à des cas d'infarcissement choroïdien, parmi lesquelles le lupus érythémateux disséminé, la périartérite noueuse et le syndrome des antiphospholipides.

Figure 9-4
Artérite à cellules géantes. Patient présentant une baisse de vision brutale due à une neuropathie ischémique antérieure artéritique. L'ICG réalisée un jour après le début des troubles visuels retrouve un territoire triangulaire de non-perfusion choroïdienne (flèche courbe). Le sommet du triangle de non-perfusion est dirigé vers le territoire de l'artère ciliaire postérieure courte occluse.
(Remerciements au Dr Richard F. Spaide.)
Figure 9-5
Granulomatose avec polyangéite (anciennement granulomatose de Wegener). La phase précoce de l'angiographie ICG grand-champ de cet œil gauche met en évidence un défaut de perfusion des artérioles et de la choriocapillaire en inférieur (flèche courbe) et dans un territoire segmentaire en supérieur (astérisque).
(Source : Iida T, Spaide RF, Kantor J. Retinal and choroidal arterial occlusion in Wegener's granulomatosis. Am J Ophthalmol. 2002 ; 133(1) : 151–152. Copyright © 2002, reproduit avec l'autorisation d'Elsevier.)

Amalric P. Acute choroidal ischaemia. Trans Ophthalmol Soc U K. 1971 ; 91 : 305–322.

Pathologies thrombo-emboliques

Des phénomènes vaso-occlusifs par migration de micro-emboles peuvent survenir dans différentes pathologies systémiques. La circulation choroïdienne peut ainsi être affectée, avec un risque théorique supérieur à celui de la circulation rétinienne puisque le volume du flux sanguin de la choroïde est dix fois plus important que celui de la rétine (ce qui procure aux emboles plaquettaires davantage de possibilités de circuler et de provoquer un épisode vaso-occlusif). Le purpura thrombotique thrombocytopénique se caractérise par : 1) une anémie hémolytique micro-angiopathique, 2) une thrombocytopénie, 3) de la fièvre, 4) des troubles neuronaux et 5) une altération de la fonction rénale. Au fond d'œil, les patients peuvent présenter des plaques jaunes multiples associées à un décollement séreux rétinien. Un tableau ophtalmologique similaire peut également se voir en cas de coagulation intravasculaire disséminée (CIVD), au cours de laquelle la consommation diffuse et non régulée de facteurs de coagulation induit des phénomènes thrombotiques associés à un syndrome hémorragique et à la libération de produits de dégradation de la fibrine.

Causes iatrogènes

Rarement, une ischémie choroïdienne peut résulter d'une cause iatrogène. La photocoagulation au laser thermique comme la photothérapie dynamique ont, très rarement, induit des occlusions vasculaires choroïdiennes avec ischémie segmentaire. La compression oculaire au cours de chirurgies de la cataracte a pu provoquer une ischémie choroïdienne chez certains patients. Enfin, d'autres causes d'emboles choroïdiens ont été décrites : injections sous-cutanées de matrice de régénération dermique ou de graisse dans la région du front (voir fig. 6-19), injections périoculaires de corticoïdes ou injections intracaverneuses de papavérine associées à une augmentation rapide et spectaculaire de la pression intracrânienne.

Gaudric A, Coscas G, Bird AC. Choroidal ischemia. Am J Ophthalmol. 1982 ; 94(4) : 489–498.

Iida T, Spaide RF, Kantor J. Retinal and choroidal arterial occlusion in Wegener's granulomatosis. Am J Ophthalmol. 2002 ; 133(1) : 151–152.

Spaide RF, Goldbaum M, Wong DW, Tang KC, Iida T. Serous detachment of the retina. Retina. 2003 ; 23(6) : 820–846.

Hémangiomes choroïdiens

Les hémangiomes choroïdiens isolés sont des tumeurs rouge orangé, bien circonscrites, d'épaisseur variable. Ils peuvent être diagnostiqués de manière fortuite lors d'un examen de routine ou lors d'un bilan pour flou visuel en raison de l'hypermétropisation induite ou d'un décollement séreux rétinien secondaire. Les hémangiomes circonscrits sont facilement transilluminables et présentent des caractéristiques échographiques et angiographiques particulières (fig. 9-6). On observe ainsi des vaisseaux choroïdiens de calibre important aux temps précoces de l'angiographie ICG, et un aspect de wash-out de la zone tumorale aux temps tardifs.

Figure 9-6
Hémangiome choroïdien. A. Rétinophotographie couleur d'une lésion en relief rouge orangé correspondant à un hémangiome choroïdien circonscrit. B. Rapidement après l'injection d'ICG, la nature vasculaire de l'hémangiome apparaît. C. La tumeur est hyperfluorescente aux temps moyens par la combinaison, d'une part, du colorant présent dans la lumière des vaisseaux de l'hémangiome et, d'autre part, de la diffusion à partir de ces vaisseaux. D. À la phase tardive de la séquence, le colorant est lavé des vaisseaux tumoraux (effet wash-out), à l'inverse de l'hyperfluorescence des tissus adjacents.
(Source : Spaide RF, Goldbaum M, Wong DW, Tang KC, Iida T. Serous detachment of the retina. Retina. 2003 ; 23(6) : 820–846. Reproduction autorisée.)

À l'inverse, l'hémangiome associé au syndrome de Sturge-Weber (hémangiomatose encéphalo-trigéminée) est diffus et peut se présenter initialement comme un glaucome ou une amblyopie chez un enfant. Au biomicroscope, les territoires correspondant à l'hémangiome ont un aspect tomato-ketchup, au sein duquel les repères choroïdiens ne sont pas visibles. Les hémangiomes du syndrome de Sturge-Weber peuvent parfois passer inaperçus en raison de leur aspect diffus et peuvent se mélanger de manière imperceptible à la choroïde normale adjacente. Un angiome plan facial (tache lie de vin) ipsilatéral est typiquement présent chez ces patients.

Les altérations rétiniennes et de l'épithélium pigmentaire causées par les hémangiomes choroïdiens vont de l'œdème rétinien kystique au décollement neurosensoriel voire au développement d'une membrane épichoroïdienne calcifiée et ossifiée. La présentation clinique est donc variable en fonction des altérations rétiniennes associées. La présence d'une exsudation rétinienne avec exsudats lipidiques n'est pas classique.

Différents traitements ont été utilisés sur les hémangiomes, notamment la photocoagulation laser, la cryopexie, l'irradiation externe ou la curiethérapie et la thérapie photodynamique. L'utilisation de chacun de ces traitements avant l'apparition des modifications rétiniennes chroniques a démontré une certaine efficacité. La thérapie photodynamique présente le taux de morbidité associée le plus faible.

Beardsley RM, McCannel CA, McCannel TA. Recurrent leakage after Visudyne photodynamic therapy for the treatment of circumscribed choroidal hemangioma. Ophthalmic Surg Lasers Imaging Retina. 2013 ; 44(3) : 248–51.

Blasi MA, Tiberti AC, Scupola A, et al. Photodynamic therapy with verteporfin for symptomatic circumscribed choroidal hemangioma : five-year outcomes. Ophthalmology. 2010 ; 117(8) : 1630–1637.

Madreperla SA, Hungerford JL, Plowman PN, Laganowski HC, Gregory PT. Choroidal hemangiomas : visual and anatomic results of treatment by photocoagulation or radiation therapy. Ophthalmology. 1997 ; 104(11) : 1773–1778.

Tsipursky MS, Golchet PR, Jampol LM. Photodynamic therapy of choroidal hemangioma in Sturge-Weber syndrome, with a review of treatments for diffuse and circumscribed choroidal hemangiomas. Surv Ophthalmol. 2011 ; 56(1) : 68–85.

Syndrome d'effusion uvéale

L'équilibre des mouvements aqueux à travers la cavité vitréenne et les parois postérieures de l'œil peut être altéré par une réduction du flux aqueux transscléral. Cette altération peut être secondaire à une anomalie de composition de la sclère ou de son épaisseur, comme dans la nanophtalmie, les sclérites, le syndrome d'effusion uvéale idiopathique, ainsi que d'autres affections. L'hypermétropie est fréquemment associée à ces affections, comme le glaucome. Un épaississement choroïdien ou des corps ciliaires, des altérations de l'EP et un décollement de rétine exsudatif peuvent survenir de manière transitoire ou permanente. L'angiographie à la fluorescéine retrouve en général un aspect en peau de léopard avec hypofluorescence sans diffusion associée (fig. 9-7).

Figure 9-7
Effusion uvéale idiopathique. A–C. Dans l'œil gauche de ce patient, l'acuité visuelle est réduite à 2,5/10 et le bilan général négatif. A. La rétinophotographie retrouve un reflet fovéolaire atténué et irrégulier, ainsi que des dépôts sous-rétiniens discrets. B. L'angiographie à la fluorescéine montre un aspect diffus en peau de léopard construit par la juxtaposition d'effets masque et d'effets fenêtre sur tout le pôle postérieur. C. La coupe OCT met en évidence une petite accumulation de liquide sous-rétinien ainsi que des dépôts au niveau de la rétine externe. Un décollement séreux rétinien périphérique non visible sur ce cliché était également présent. D. Rétinophotographie d'un autre patient présentant un syndrome d'effusion uvéale d'apparition récente, avec un décollement séreux rétinien associé à un décollement choroïdien sous-jacent, aspect assez courant dans ce syndrome.
(Parties A–C, remerciements au Dr Ronald C. Gentile ; partie D, remerciements au Dr Colin A. McCannel.)

Au cours du syndrome d'effusion uvéale, les signes cliniques au pôle postérieur peuvent être associés à un décollement ciliochoroïdien et à des vaisseaux épiscléraux anormaux. L'acuité visuelle peut fluctuer au cours de l'évolution de la pathologie. Bien que des approches chirurgicales puissent permettre une restitution anatomique (par exemple la réalisation d'une sclérectomie lamellaire), les résultats visuels sont souvent décevants en raison des altérations rétiniennes chroniques et irréversibles. Le syndrome d'effusion uvéale doit être fortement suspecté devant un jeune patient hypermétrope se présentant avec un diagnostic de CRSC ou de décollement de rétine sans déhiscence ou trou rétinien visible.

Brockhurst RJ. Nanophthalmos with uveal effusion. A new clinical entity. Arch Ophthalmol. 1975 ; 93(12) : 1989–1999.

Elagouz M, Stanescu-Segall D, Jackson TL. Uveal effusion syndrome. Surv Ophthalmol. 2010 ; 55(2) : 134–145.

Johnson MW, Gass JD. Surgical management of the idiopathic uveal effusion syndrome. Ophthalmology. 1990 ; 97(6) : 778–785.

Prolifération bilatérale mélanocytaire uvéale diffuse

La prolifération bilatérale mélanocytaire uvéale diffuse ou BDUMP (pour bilateral diffuse uveal melanocytic proliferation) est un syndrome paranéoplasique rare touchant la choroïde, responsable d'un épaississement diffus de la choroïde, d'une décoloration choroïdienne brun rougeâtre, d'un décollement séreux rétinien et d'une cataracte. Cette prolifération bilatérale de mélanocytes bénins est le plus souvent associée à un cancer systémique et peut précéder son diagnostic. Ces proliférations peuvent prendre l'aspect de nævus étendus (fig. 9-8). Certaines lésions de BDUMP apparaissent comme des zones de dépigmentation rougeâtre de l'EP hyperfluorescentes en angiographie à la fluorescéine. Le plus couramment, les cancers associés sont le cancer des ovaires, de l'utérus et des poumons, mais le BDUMP se rencontre aussi lors des cancers du côlon, du pancréas, de la vésicule biliaire ou de l'œsophage.

Figure 9-8
Prolifération bilatérale mélanocytaire uvéale diffuse. A. Noter les régions étendues de pseudo-nævus avec augmentation de la pigmentation et épaississement choroïdien sur cette rétinophotographie. B. L'angiographie à la fluorescéine retrouve une diminution de la fluorescence dans la région de prolifération mélanocytaire supéronasale et un aspect en peau de léopard au pôle postérieur lié à l'accumulation chronique de liquide sous-rétinien.
(Remerciements au Dr Mark Johnson.)

  • Gass JD, Gieser RG, Wilkinson CP. Bilateral diffuse uveal melanocytic proliferation in patients with occult carcinoma. Arch Ophthalmol 1990 ; 108(4) : 527–33.
  • Mets RB, Golchet P, Adamus G, et al. Bilateral diffuse uveal melanocytic proliferation with a positive ophthalmoscopic and visual response to plasmapheresis. Arch Ophthalmol 2011 ; 129(9) : 1235–8.